The comparative analysis of transradial and transfemoral vascular approaches for chemoembolization of pancreatic cancer
- Authors: Khayrutdinov E.R.1, Gromov D.G.1,2, Arablinskiy A.V.3
-
Affiliations:
- Pirogov Russian National Research Medical University (Pirogov Medical University)
- State Clinical Hospital named after F.I. Inozemtsev
- State Clinical Hospital named after S.P. Botkin
- Issue: Vol 26, No 5 (2021)
- Pages: 155-162
- Section: Original Study Articles
- Submitted: 06.07.2022
- Accepted: 04.10.2022
- Published: 15.10.2021
- URL: https://rjonco.com/1028-9984/article/view/109224
- DOI: https://doi.org/10.17816/onco109224
- ID: 109224
Cite item
Abstract
BACKGROUND: Pancreatic cancer is one of the most aggressive malignant neoplasms, and the results of treatment of which remain extremely unsatisfactory. One of the methods to increase the effectiveness of surgical treatment of pancreatic cancer is selective oil chemoembolization of the pancreatic arteries. Transfemoral access is typically used as a vascular access during this type of intervention, in which complications from the vascular access are often observed.
AIM: This study aimed to analyze the results of the use of transradial and transfemoral approaches for chemoembolization of pancreatic cancer.
MATERIALS AND METHODS: We analyzed the results of chemoembolization of pancreatic arteries in 32 patients with pancreatic cancer. Transfemoral access was used in 16 (50%) patients and transradial access in 16 (50%) patients. According to the main clinical and anamnestic data, both groups were comparable. The endpoints of the study were technical success and complication rate of chemoembolization, total duration of the procedure, time needed for catheterization of the target artery, radiation exposure, and degree of discomfort for the patient.
RESULTS: Chemoembolization of pancreatic arteries was successfully performed in 100% of patients in both groups. Major vascular complications were observed in three (18.8%) patients in the transfemoral access group and in one (6.3%) in the transradial access group (p=0.6). The total duration of the procedure and the time needed for catheterization of the target artery were 54.54±6.61 and 51.30±6.46 min (p=0.17) and 12.7 and 13.25 min (p=0.72), respectively. Radiation exposure was 0.68±0.10 mSv in the transfemoral access group and 0.65±0.10 mSv in the transradial access group (р=0.4). Transradial access was associated with a statistically significant reduction in all parameters of procedural discomfort.
CONCLUSION: In terms of efficiency and safety of use, the transradial approach is not inferior to the traditional transfemoral approach, and in terms of patient comfort, it can be recommended as a priority for chemoembolization of the pancreatic arteries.
Full Text
ОБОСНОВАНИЕ
Рак поджелудочной железы (РПЖ) – один из самых агрессивных злокачественных новообразований, результаты лечения которого остаются крайне неудовлетворительными [1]. Максимально положительных результатов в этом направлении удаётся добиться путём радикальных хирургических вмешательств, но и они не всегда возможны (например, лишь у 20% пациентов с раком головки поджелудочной железы), а медиана постоперационной выживаемости колеблется в пределах 8–18 мес [2]. К важнейшим задачам лечения данной патологии относят повышение частоты резектабельности опухоли, увеличение безрецидивного периода и продолжительности жизни пациентов.
Повысить эффективность хирургического лечения РПЖ (за счёт уменьшения размера опухоли и предотвращения микрометастазирования во время операции) позволяет применение неоадъювантной химиотерапии [3], а одним из методов, который усиливает её воздействие, является селективная масляная химиоэмболизация артерий поджелудочной железы (МХЭАПЖ). В результате применения последней максимальная концентрация препарата в зоне интереса сохраняется длительное время, что в свою очередь способствует успеху химиотерапии в целом, повышает частоту резектабельности опухоли в пограничных случаях и увеличивает продолжительность жизни неоперабельных пациентов [4].
В качестве сосудистого доступа при проведении химиоэмболизации РПЖ, как правило, используют трансфеморальный доступ (ТФД). При отсутствии такой возможности вмешательство чаще всего выполняют через плечевую или подмышечную артерии. Риск геморрагических осложнений со стороны сосудистого доступа при этом значительно возрастает.
Существенно снизить частоту подобных осложнений позволяет трансрадиальный доступ (ТРД). В настоящее время он широко используется для выполнения чрескожных коронарных вмешательств и всё чаще – для эмболизации периферических артерий [5–9]. Результаты применения ТРД при МХЭАПЖ впервые опубликованы в 2017 году [10]. Тем не менее до сих пор отсутствуют литературные данные по сравнению эффективности и безопасности использования вышеупомянутых доступов при МХЭАПЖ, что и определило цель нашего исследования.
Цель исследования – провести сравнительный анализ результатов применения трансрадиального и трансфеморального сосудистых доступов при масляной химиоэмболизации злокачественных новообразований поджелудочной железы.
МАТЕРИАЛЫ И МЕТОДЫ
Изучены результаты селективной масляной химиоэмболизации правой желудочно-сальниковой артерии у 32 больных РПЖ: у 16 пациентов (50%) вмешательство выполняли через ТФД и у 16 (50%) – через ТРД.
Масляную химиоэмболизацию артерий поджелудочной железы проводили с целью повышения эффективности неоадъювантной химиотерапии у больных с вариантами резектабельного либо нерезектабельного местно-распространённого РПЖ. Основные противопоказания к вмешательству: наличие отдалённых метастазов в другие органы (за исключением печени); механическая желтуха; асцит; субкомпенсированный стеноз двенадцатиперстной кишки; признаки печёночной недостаточности (общий билирубин >50 мкмоль/л, альбумин <25 мг/л, протромбиновое время <50%); сопутствующая соматическая патология в стадии суб- или декомпенсации.
Всем пациентам на предоперационном этапе проведено лабораторное и инструментальное обследование, включавшее общий анализ крови; биохимический анализ крови; эзофагогастродуоденоскопию; ультразвуковое исследование органов брюшной полости и забрюшинного пространства; чрескожную тканевую биопсию поджелудочной железы; мультиспиральную компьютерную томографию с контрастированием грудной клетки, брюшной полости и малого таза.
Противопоказаниями к доступу через бедренную артерию служили выраженные стенозы или окклюзия подвздошно-бедренных сегментов либо брюшного отдела аорты, протезирование подвздошно-бедренных сегментов; противопоказаниями к доступу через лучевую артерию – отсутствие пульса на лучевой артерии, артериовенозный шунт для проведения почечного диализа, болезнь Бюргера или болезнь Рейно.
В группе ТФД в 7 случаях (43,8%) вмешательство выполняли через интродьюсер диаметром 5 Fr и в 9 случаях (56,2%) – через интродьюсер диаметром 6 Fr, который устанавливали в правую или левую общую бедренную артерию. Перед вмешательством в интродьюсер вводили 5000 Ед гепарина. Катетеризацию чревного ствола и верхней брыжеечной артерии через ТФД осуществляли с помощью катетеров Cobra, Simmons 1 или Shepherd Hook.
В группе ТРД в 7 случаях (43,8%) вмешательство выполняли через интродьюсер диаметром 5 Fr и в 9 случаях (56,2%) – через интродьюсер диаметром 6 Fr, который устанавливали в левую лучевую артерию. Перед вмешательством в интродьюсер последовательно вводили верапамил в дозе 2,5 мг и гепарин в дозе 5000 Ед. Катетеризацию чревного ствола и верхней брыжеечной артерии через ТРД осуществляли с помощью катетеров Cobra или Ultimate длиной 100 см.
В обеих группах после выполнения ангиографии верхней брыжеечной артерии и чревного ствола (рис. 1) с помощью микрокатетера селективно катетеризировали правую желудочно-сальниковую артерию (рис. 2). С целью тотальной эмболизации опухоли поджелудочной железы и предотвращения нецелевой эмболизации применяли перераспределительную технику вмешательства: через упомянутый выше микрокатетер в правую желудочно-сальниковую артерию дистальнее отхождения всех кровоснабжающих опухоль ветвей последовательно имплантировали 2–3 толкаемые спирали (рис. 3), после чего вводили смесь липиодола в дозе 5 мл и гемцитабина в дозе 1000 мг (рис. 4).
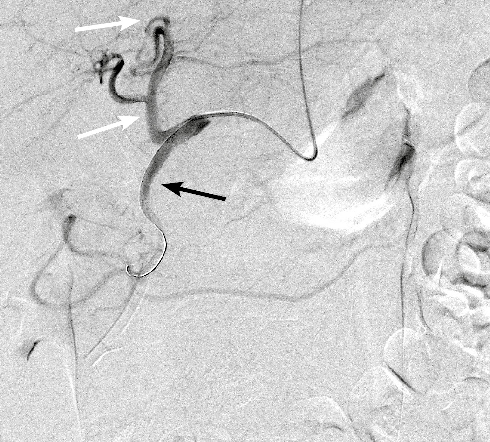
Рис. 1. Ангиограмма общей печёночной артерии: левая печёночная артерия (белая стрелка) и гастродуоденальная артерия (чёрная стрелка).
Fig. 1. Angiogram of the common hepatic artery: left hepatic artery (white arrows) and gastroduodenal artery (black arrow).
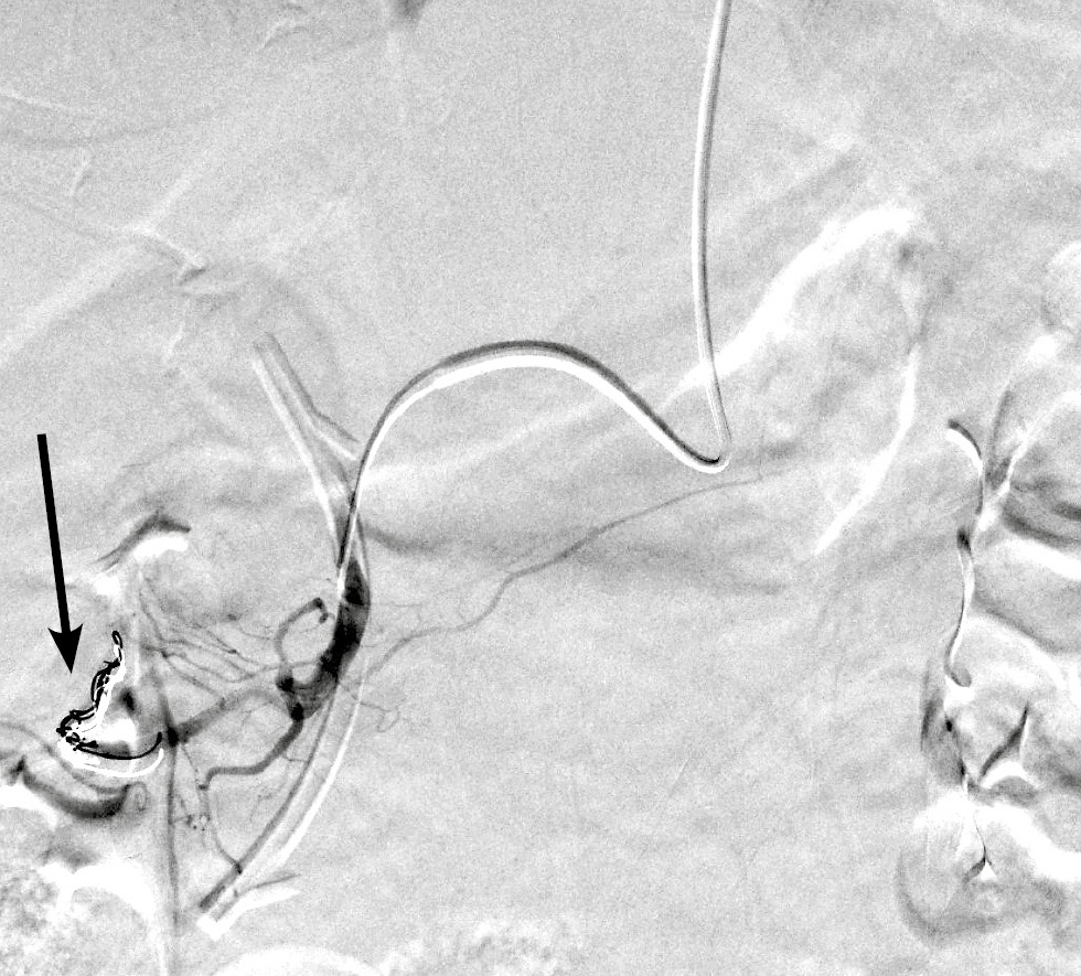
Рис. 2. Ангиограмма правой желудочно-сальниковой артерии, выполненная через микрокатетер (чёрная стрелка).
Fig. 2. Angiogram of the right gastroepiploic artery, performed through a microcatheter (black arrow).
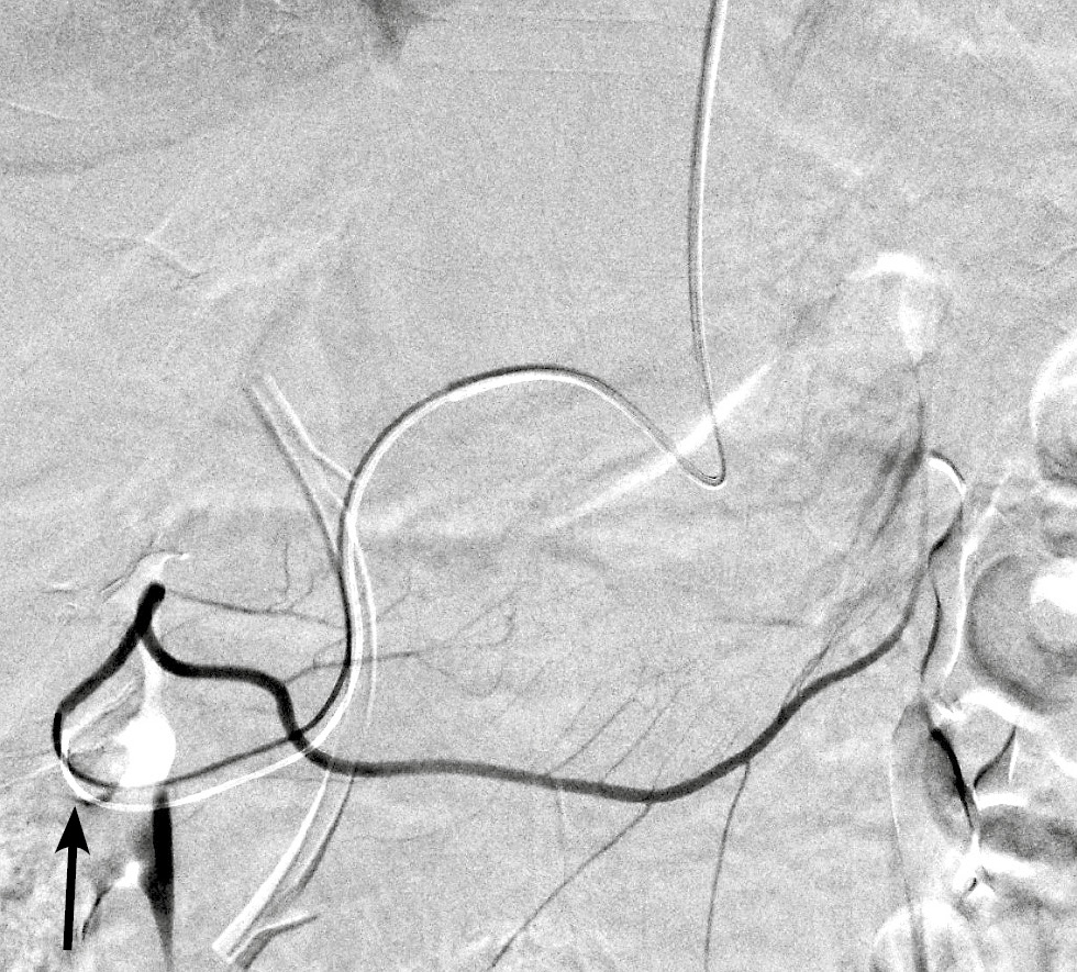
Рис. 3. Эмболизация правой желудочно-сальниковой артерии двумя толкаемыми спиралями (чёрная стрелка).
Fig. 3. Embolization of the right gastroepiploic artery with two pushing coils (black arrow).
Рис. 4. Масляная химиоэмболизация артерий поджелудочной железы: признаки накопления химиоэмболизата в головке поджелудочной железы (чёрные стрелки).
Fig. 4. Oil chemoembolization of pancreatic arteries: signs of accumulation of chemoembolizate in pancreatic head (black arrows).
В группе ТФД интродьюсер удаляли сразу же после извлечения диагностического катетера. После достижения гемостаза на место пункции накладывали компрессионную давящую повязку на 12 ч. Продолжительность постельного режима после процедуры также составляла 12 ч. У 5 пациентов (31,25%) для закрытия сосудистого доступа использовали устройство Perclose ProGlide (Abbott, США), в этом случае продолжительность постельного режима после процедуры сокращалась до 4 ч.
В группе ТРД интродьюсер удаляли также сразу же после извлечения диагностического катетера. На место пункции накладывали устройство для компрессии лучевой артерии TR Band (Terumo International Systems, Япония) на 4 ч. Продолжительность постельного режима после вмешательства составляла 1 ч, после чего пациенту разрешали вставать.
В качестве конечных точек исследования были выбраны успех и частота осложнений, связанных с процедурой; общая продолжительность вмешательства; время, потраченное на катетеризацию целевой артерии; лучевая нагрузка; степень дискомфорта для пациента. Последнюю определяли с помощью специального опросника, в котором каждый параметр оценивали по шкале от 0 до 10 баллов.
Статистический анализ результатов исследования проводили с использованием программы SPSS Statistics 26 (IBM, США). Различия считали статистически значимыми при р <0,05. Проверку количественных показателей в исследуемых группах на нормальность распределения выполняли с помощью критерия Шапиро–Уилка. Нормальное распределение выявлено среди следующих показателей: возраст, рост, вес, индекс массы тела (ИМТ), продолжительность вмешательства, лучевая нагрузка, общий дискомфорт, болевые ощущения от давящей повязки. Оставшиеся количественные показатели (время катетеризации целевой артерии; количество использованных катетеров; дискомфорт, связанный с постельным режимом; трудности при приёме пищи; трудности при мочеиспускании) имели распределение, отличное от нормального. Оценка с помощью теста Ливиня нормально распределённых показателей выявила равенство дисперсий в исследуемых группах. Таким образом, во всех группах сравнение проводили с помощью t-критерия Стьюдента. Количественные показатели, имеющие распределение, отличное от нормального, оценивали с помощью U-критерия Манна–Уитни. Анализ качественных показателей в исследуемых группах выполняли с помощью точного критерия Фишера.
РЕЗУЛЬТАТЫ
Исследуемые группы были сопоставимы по возрасту, росту, весу, ИМТ и количеству использованных во время вмешательства катетеров (табл. 1). Технический успех МХЭАПЖ составил 100% в обеих группах.
Таблица 1. Общая характеристика исследуемых групп
Table 1. General characteristics of study groups
Параметры | Трансфеморальный доступ | Трансрадиальный доступ | р | ||
M±SD | 95% ДИ | M±SD | 95% ДИ | ||
Возраст, лет | 57,87±9,37 | 52,90–62,90 | 58,50±9,02 | 53,70–63,30 | 0,85 |
Рост, см | 170,70±8,50 | 166,20–175,20 | 172,06±5,33 | 169,20–174,90 | 0,58 |
Вес, кг | 73,40±5,97 | 70,20–76,60 | 69,20±6,42 | 65,80–72,60 | 0,06 |
ИМТ, кг/м2 | 25,25±1,96 | 24,20–26,30 | 23,47±2,26 | 22,30–24,70 | 0,025 |
Количество использованных катетеров, шт. | Mе | Q1–Q3 | Mе | Q1–Q3 | p |
1 | 1–1 | 1 | 1–1 | 0,56 | |
Частота встречаемости мужского пола и сахарного диабета, частота использования интродьюсеров 5 и 6 Fr были сопоставимы между исследуемыми группами (табл. 2). Сложности при катетеризации целевой артерии возникли в 3 случаях (18,8%) в группе ТФД и в 1 случае (6,3%) в группе ТРД (различие не достигло порога статистической значимости). Общих осложнений во время процедуры в обеих группах не зарегистрировано. Из местных сосудистых осложнений в группе ТФД у 2 пациентов развилась бессимптомная подкожная гематома (диаметром более 5 см) и в 1 случае – псевдоаневризма правой общей бедренной артерии, которая была устранена путём повторного мануального гемостаза. В группе ТРД у 1 больного (6,3%) после вмешательства наблюдалась бессимптомная окклюзия левой лучевой артерии. В целом по частоте осложнений, связанных с вмешательством, статистически значимых различий между исследуемыми группами не получено: 3 случая (18,8%) и 1 случай (6,3%) соответственно (р=0,6).
Таблица 2. Оценка качественных показателей в исследуемых группах, абс. число/%
Table 2. Comparative analyses of qualitative parameters in study groups, n/%
Параметры | Трансфеморальный доступ | Трансрадиальный доступ | р | ОШ; 95% ДИ |
Пол (мужской) | 11/68,8 | 11/68,8 | 1,0 | 1,0; 0,22–4,46 |
Сахарный диабет | 2/12,5 | 3/18,8 | 1,0 | 1,61; 0,23–11,26 |
Осложнения сосудистого доступа | 3/18,8 | 1/6,3 | 0,6 | 0,29; 0,02–3,13 |
Сложности катетеризации целевой артерии | 3/18,8 | 1/6,3 | 0,6 | 0,29; 0,02–3,13 |
Использование интродьюсера 5 Fr | 7/43,8 | 7/43,8 | 1,0 | 1,0; 0,25–4,04 |
Использование интродьюсера 6 Fr | 9/56,2 | 9/56,2 | 1,0 | 1,0; 0,25–4,04 |
Продолжительность вмешательства, а также время, необходимое для катетеризации целевой артерии, и лучевая нагрузка были сопоставимы в исследуемых группах (табл. 3).
Таблица 3. Непосредственные результаты масляной химиоэмболизации артерий поджелудочной железы
Table 3. Results of pancreatic arterial chemoembolization
Параметры | Трансфеморальный доступ | Трансрадиальный доступ | р | ||
M±SD | 95% ДИ | M±SD | 95% ДИ | ||
Продолжительность вмешательства, мин | 54,54±6,61 | 51,01–58,06 | 51,30±6,46 | 47,86–54,70 | 0,17 |
Лучевая нагрузка, мЗв | 0,68±0,10 | 0,63–0,74 | 0,65±0,10 | 0,60–0,70 | 0,4 |
Время катетеризации целевой артерии, мин | Mе | Q1–Q3 | Mе | Q1–Q3 | р |
12,7 | 11,17–15,82 | 13,25 | 12,15–14,87 | 0,72 | |
В результате опроса пациентов в группе ТРД установлена более низкая степень общего дискомфорта, чем в группе ТФД, в том числе дискомфорта, связанного с постельным режимом, с болевыми ощущениями от давящей повязки, с трудностями при приёме пищи и мочеиспускании (табл. 4).
Таблица 4. Оценка дискомфорта после проведенного вмешательства
Table 4. Discomfort scale after the intervention
Параметры | Трансфеморальный доступ | Трансрадиальный доступ | р | ||
M±SD | 95% ДИ | M±SD | 95% ДИ | ||
Общий дискомфорт | 5,69±1,35 | 4,97–6,40 | 3,0±1,15 | 2,38–3,61 | <0,001* |
Болевые ощущения от давящей повязки | 4,56±1,63 | 3,69–5,43 | 2,31±1,35 | 1,60–3,0 | <0,001* |
Дискомфорт, связанный с постельным режимом | Mе | Q1-Q3 | Mе | Q1-Q3 | р |
4,5 | 4,0–5,75 | 1 | 0–1 | <0,001* | |
Трудности при приёме пищи | 3 | 2–4 | 1 | 0–1,75 | <0,001* |
Трудности при мочеиспускании | 3 | 2–3 | 0 | 0–1 | <0,001* |
Примечания: * различия показателей статистически значимы (p <0,05).
Notes: * statistically significant differences (p <0,05).
ОБСУЖДЕНИЕ
Эмболизация периферических артерий традиционно выполняется через ТФД, при этом суммарная частота развития местных сосудистых осложнений (больших подкожных гематом, ложных аневризм, артериовенозных фистул и др.) относительно высока и, по некоторым данным, достигает 15% [7]. Использование устройств для закрытия артериального доступа позволяет снизить частоту развития подобных осложнений, но существенно увеличивает себестоимость процедуры [7]. Ещё один недостаток ТФД – необходимость соблюдения постельного режима в течение суток после вмешательства, что доставляет определённый дискомфорт пациенту и создаёт дополнительную нагрузку на медицинский персонал.
Снизить частоту развития местных сосудистых осложнений без увеличения себестоимости процедуры позволяет выполнение тех же вмешательств с использованием ТРД. Его применение ведет к снижению частоты развития кровотечений более чем на 75%, а частоты всех сосудистых осложнений в месте доступа – более чем на 60% [11]. Дополнительными преимуществами ТРД являются повышение комфорта для пациента, его ранняя активизация и сокращение сроков госпитализации [8, 9].
Трансрадиальный доступ на протяжении многих лет широко и с успехом используется в ходе эндоваскулярных вмешательств на коронарных артериях [6], а в течение последних 5–7 лет – в ходе эмболизации периферических артерий [7–9]. В ранее опубликованных исследованиях, посвящённых МХЭАПЖ при РПЖ, сравнительный анализ результатов применения разных вариантов сосудистого доступа не проводили. Тем не менее в литературе имеются данные по сравнению ТРД и ТФД при химиоэмболизации печёночной артерии, в ходе которой, как и в ходе МХЭАПЖ, проводится селективная катетеризация чревного ствола. Так в исследование S. Shiozawa и соавт. [11], посвящённое результатам химиоэмболизации печёночной артерии у больных с гепатоцеллюлярной карциномой, было включено 327 пациентов: 177 – в группу ТРД и 150 – в группу ТФД. Успех процедуры сопоставим между группами: 98,3 и 100% соответственно. Малые осложнения наблюдались чаще при ТФД, чем при ТРД: 4,5 и 12,7% соответственно. Похожие результаты были получены J. Loewenstern с соавт. [12] при сравнительном анализе результатов использования ТРД (302 вмешательства) и ТФД (302 вмешательства) в ходе радиоэмболизации печёночной артерии. Исследуемые группы были сопоставимы в том числе по продолжительности флюороскопии и показателям лучевой нагрузки.
В исследование T. Wu и соавт. [13] вошли данные 284 пациентов с гепатоцеллюлярной карциномой, которым проводили химиоэмболизацию печёночной артерии: у 126 больных вмешательство было выполнено через ТРД и у 158 – через ТФД. Успех процедуры сопоставим между группами (99,2 и 100% соответственно), однако продолжительность катетеризации целевой артерии, показатели лучевой нагрузки, длительность госпитализации и затраты на лечение были статистически значимо ниже в группе ТРД.
В настоящем исследовании мы впервые провели сравнительный анализ результатов применения трансрадиального и трансфеморального доступов в ходе МХЭАПЖ у больных с РПЖ. Технический успех вмешательства составил 100% в обеих группах. Не получено статистически значимого различия между группами по частоте осложнений, продолжительности вмешательства, потраченному на катетеризацию целевой артерии времени и лучевой нагрузке. Однако применение ТРД ассоциировано с более ранней активизацией больных и снижением степени выраженности всех составляющих дискомфорта, связанного с вмешательством (по результатам опроса пациентов).
ЗАКЛЮЧЕНИЕ
Масляная химиоэмболизация целевых артерий при раке поджелудочной железы с целью повышения эффективности неоадъювантной химиотерапии технически возможна, высоко успешна и безопасна при использовании как трансрадиального, так и трансфеморального доступа. По эффективности и безопасности использования трансрадиальный доступ при масляной химиоэмболизации злокачественных новообразований поджелудочной железы не уступает традиционному трансфеморальному, а в отношении комфорта для пациента может быть рекомендован в качестве приоритетного.
ДОПОЛНИТЕЛЬНАЯ ИНФОРМАЦИЯ / ADDITIONAL INFORMATION
Конфликт интересов. Авторы данной статьи подтвердили отсутствие конфликта интересов, о котором необходимо сообщить.
Источник финансирования. Рукопись подготовлена и опубликована за счёт финансирования по месту работы авторов.
Вклад авторов. Е.Р. Хайрутдинов – сбор и обработка материала, написание статьи; Д.Г. Громов – сбор материала, прочтение и одобрение направления рукописи на публикацию; А.В. Араблинский – сбор материала, прочтение и одобрение направления рукописи на публикацию.
Conflict of interest. Authors declare no conflict of interest.
Funding. Article was funded by authors' affiliations.
Contributions. E.R. Khairutdinov – data gathering and analysis, article preparation; D.G. Gromov – data gathering, proofreading and acceptance of the final article; A.V. Arablinskiy – data gathering, proofreading and acceptance of the final article.
About the authors
Evgeny R. Khayrutdinov
Pirogov Russian National Research Medical University (Pirogov Medical University)
Author for correspondence.
Email: eugkh@yandex.ru
ORCID iD: 0000-0003-1638-6385
SPIN-code: 2438-5311
Cand. Sci. (Med.)
Russian Federation, MoscowDmitriy G. Gromov
Pirogov Russian National Research Medical University (Pirogov Medical University); State Clinical Hospital named after F.I. Inozemtsev
Email: gromovdg@list.ru
ORCID iD: 0000-0001-7500-4987
SPIN-code: 3940-4190
Dr. Sci. (Med.)
Russian Federation, Moscow; MoscowAlexander V. Arablinskiy
State Clinical Hospital named after S.P. Botkin
Email: alexar-card@mail.ru
ORCID iD: 0000-0002-2117-5016
SPIN-code: 5221-4250
Dr. Sci. (Med.)
Russian Federation, MoscowReferences
- Kubyshkin VA, Vishnevskij VA. Rak podzheludochnoj zhelezy. Moscow: Medpraktika; 2003. 375 p. (In Russ).
- Nitecki SS, Sarr MG, Colby TV, van Heerden JA. Long-term survival after resection for ductal adenocarcinoma of the pancreas. Is it really improving? Ann Surg. 1995;221(1):59–66. doi: 10.1097/00000658-199501000-00007
- Ishikawa O, Ohigashi H, Imaoka S, et al. Is the long-term survival rate improved by preoperative irradiation prior to Whipple’s procedure for adenocarcinoma of the pancreatic head? Arch Surg. 1994;129(10):1075–1080. doi: 10.1001/archsurg.1994.01420340089017
- Kozlov AV, Tarazov PG, Pavlovskiy AV, et al. Arterial chemoembolization in patients with locally advanced pancreatic cancer. Grekov’s Bulletin of Surgery. 2018;177(1):31–36. doi: 10.24884/0042-4625-2018-177-1-31-36 (In Russ).
- Sherev DA, Shaw RE, Brent BN. Angiographic predictors of femoral access site complications: implication for planned percutaneous coronary intervention. Catheter Cardiovasc Interv. 2005;65(2):196–202. doi: 10.1002/ccd.20354
- Jolly SS, Yusuf S, Cairns J, et al. Radial versus femoral access for coronary angiography and intervention in patients with acute coronary syndromes (RIVAL): a randomised, parallel group, multicentre trial. Lancet. 2011;377(9775):1409–1420. doi: 10.1016/S0140-6736(11)60404-2
- Chu HH, Kim JW, Shin JH, Cho SB. Update on transradial access for percutaneous transcatheter visceral artery embolization. Korean J Radiol. 2021;22(1):72–85. doi: 10.3348/kjr.2020.0209
- Khayrutdinov ER, Vorontsov IM, Zharikov SB, et al. The advantage of the transradial approach for prostate artery embolization. Russian Journal of Oncology. 2017;22(2):84–88. doi: 10.18821/1028-9984-2017-22-2-84-88 (In Russ).
- Khayrutdinov ER, Arablinskiy AV. The advantages of transradial vascular access in epistaxis embolization. Russian Otorhinolaryngology. 2017;(1):98–104. (In Russ).
- Khayrutdinov ER, Tsurkan VA, Arablinskiy AV, Gromov DG. The first experience of radial artery approach for selective chemoembolization of pancreatic cancer. Diagnostic and Interventional Radiology. 2017;11(4):81–85. (In Russ).
- Shiozawa S, Tsuchiya A, Endo S, et al. Transradial approach for transcatheter arterial chemoembolization in patients with hepatocellular carcinoma: comparison with conventional transfemoral approach. J Clin Gastroenterol. 2003;37(5):412–417. doi: 10.1097/00004836-200311000-00013
- Loewenstern J, Welch C, Lekperic S, et al. Patient radiation exposure in transradial versus transfemoral yttrium-90 radioembolization: a retrospective propensity score-matched analysis. J Vasc Interv Radiol. 2018;29(7):936–942. doi: 10.1016/j.jvir.2018.02.011
- Wu T, Sun R, Huang Y, et al. Transradial arterial chemoembolization reduces complications and costs in patients with hepatocellular carcinoma. Indian J Cancer. 2015;52(Suppl 2):107–111. doi: 10.4103/0019-509X.172505
Supplementary files







