Intracranial hemangiopericytoma: long-term surgical outcomes
- Authors: Andrushkevich O.M.1,2, Anisimov E.D.1, Zotov A.V.1, Gormolysova Е.V.1, Uzhakova E.K.1, Kasymov А.R.1, Abdilatipov А.А.1, Galushko Е.V.1, Kalinovskiy A.V.1,2,3
-
Affiliations:
- Federal Neurosurgical Center
- Novosibirsk State Medical University
- Krasnoyarsk State Medical University
- Issue: Vol 27, No 3 (2022)
- Pages: 107-116
- Section: Clinical investigations
- Submitted: 21.12.2022
- Accepted: 30.05.2023
- Published: 14.10.2022
- URL: https://rjonco.com/1028-9984/article/view/119849
- DOI: https://doi.org/10.17816/onco119849
- ID: 119849
Cite item
Abstract
BACKGROUND: According to 2021 WHS Classification, intracranial hemangiopericytomas or solitary fibrous tumors are rare meningeal neoplasms involving blood vessels and soft tissues. Such neoplasms are commonly classified as malignant due to their aggressive growth, metastasizing beyond the cranial cavity, and frequent recurrencies. Since these tumors rarely occur in neurosurgical patients, publications in Russian do not cover big cohorts of patients whose conditions would be assessed during both early and late observation periods.
AIM: The present study analyzed our experience in surgical treatment of hemangiopericytomas and its long-term results.
METHODS: The study was arranged as a single-center, pro-and retrospective trial that included hemangiopericytomas patients (n=17), whose tumors of different grades of malignancy (1–3) were operated at the Federal Neurosurgical Center in Novosibirsk from 2013 to 2021. The follow-up estimates included survivability; physical status (Karnofsky’s Scale); radicality; metastatic foci; need for postoperative chemo-and radiation therapy; adjuvant therapy effect on patients’ survivability, and delaying time to relapse.
RESULTS: In total, 17 patients were included. 11 of them underwent total hemangiopericytomas removal (65%), and 6 — subtotal removal (35%). Their survivability within the first year after the operation was 100%. As for the 5-year follow up, only 8 patients out of 17 were available, their mean observation time comprising 64.7 months. The 5-year survivability was 75% (6 out of 8 patients). A relapse occured in 3 out of 17 (17.5%). The mean delaying time comprised 67 months. 6 out of 17 patients (35%) underwent radiation therapy. Among the patients with total and subtotal removals who underwent postoperative radiation treatment neither a relapse nor tumor growth nor metastases were found.
CONCLUSION: Intracranial hemangiopericytoma is a rare malignant space-occupying neoplasm. Considering our experience and published data, its treatment requires aggressive tactics that includes a radical removal of the tumor followed by early irradiation of the tumor’s residual volume or bed either in a proton accelerator or a gamma-knife facility notwithstanding its malignancy grade. It is also recommended to extend the follow-up period for such patients to 10–15 years that should include annual cancer screening to detect local relapses and metastases.
Full Text
ОБОСНОВАНИЕ
Гемангиоперицитомы, или солитарные фиброзные опухоли, по классификации ВОЗ 2021 года, — редко встречающиеся, богато васкуляризированные, объёмные образования мезенхимальной природы, развивающиеся из перицитов Циммермана. Гемангиоперицитомы имеют три степени злокачественности по классификации ВОЗ (Grade 1–3). По разным оценкам, интракраниальные гемангиоперицитомы составляют приблизительно 2,5% опухолей мозговых оболочек, 1% всех опухолей внутричерепной локализации и 0,4% всех первичных опухолей центральной нервной системы [1, 2]. Макроскопически гемангиоперицитомы схожи с менингиомами. Как правило, они вовлекают в свой рост арахноидальную и твёрдую мозговые оболочки. Традиционно гемангиоперицитомы относят к злокачественным объёмным образованиям из-за склонности к агрессивному типу роста, метастазированию за пределы внутричерепного пространства и высокой частоты рецидивов. Средний возраст пациентов составляет 40–50 лет [3–5].
Пятилетняя и десятилетняя выживаемость пациентов с гемангиоперицитомами при условии хирургического и последующих адъювантных методов лечения составляет 92 и 68% соответственно [6].
Ввиду редкой встречаемости данных опухолей у пациентов нейрохирургического профиля в отечественной литературе не представлены работы с крупными когортами обследуемых, оценивающие результаты хирургического лечения как в раннем, так и в отдалённом периоде наблюдения.
Цель исследования — анализ опыта хирургического лечения интракраниальных гемангиоперицитом и отдалённых результатов лечения.
МЕТОДЫ
Дизайн исследования
Исследование носило смешанный (про- и ретроспективный) одноцентровый характер. При сборе данных о периоде госпитализации проводили ретроспективный анализ электронных историй болезней с использованием программного обеспечения «1С: Медицина. Больница». Сбор данных в отдалённом периоде наблюдения осуществляли проспективно в рамках поликлинических очных осмотров, заочных консультаций и телефонных опросов пациентов.
Критерии включения
Критерии включения в исследование: возраст старше 18 лет; подтверждённый по данным гистологического исследования диагноз «гемангиоперицитома Grade 1–3», период наблюдения более 1 года, наличие на момент последней консультации полного архива исследований: данных магнитно-резонансной томографии (МРТ) головного мозга с контрастным усилением до/после операции и в отдалённом периоде наблюдения, результатов мультиспиральной компьютерной томографии органов грудной клетки (МСКТ ОГК), данных МРТ органов брюшной полости (ОБП) с контрастным усилением либо УЗИ ОБП и забрюшинного пространства, а также результатов УЗИ органов малого таза.
Критерии исключения
Возраст младше 18 лет, период наблюдения за пациентом менее 1 года, отсутствие результатов МРТ головного мозга с контрастным усилением до/после операции и в отдалённом периоде наблюдения, отсутствие результатов МСКТ ОГК, данных МРТ ОБП с контрастным усилением либо УЗИ ОБП и забрюшинного пространства, а также результатов УЗИ органов малого таза.
Условия проведения
В исследование включены пациенты с гистологически верифицированными интракраниальными гемангиоперицитомами различной степени злокачественности (Grade 1–3), прооперированные в ФГБУ «Федеральный центр нейрохирургии» Минздрава России (Новосибирск) в период с 2013 по 2021 год.
Все пациенты наблюдались у онкологов по месту жительства с периодичностью визитов 1 раз в 6 мес. В протокол обследования включено проведение ежегодного онкоскрининга на наличие отдалённых метастазов, включающее МСКТ ОГК, МРТ ОБП с контрастным усилением или УЗИ ОБП и забрюшинного пространства, УЗИ органов малого таза.
Все пациенты, включённые в группу исследования, были осмотрены в рамках очной или заочной консультации.
Описание медицинского вмешательства
Всем участникам исследования проводили микрохирургическое удаление гемангиоперицитом интракраниальной локализации с использованием операционного микроскопа и нейронавигационной станции. Хирургические манипуляции выполняли под эндотрахеальным наркозом. В раннем послеоперационном периоде (24–48 ч) все пациенты находились в отделении анестезиологии и реанимации для осуществления мониторинга и поддержания витальных функций, проведения симптоматической, анальгетической терапии. Во всех случаях проводили гистологическое исследование операционного материала (фрагменты опухолевой ткани).
Основной исход исследования
При сборе катамнестических данных оценивали выживаемость пациентов, радикальность удаления, наличие метастатических очагов, химиолучевое лечение (либо его отсутствие) в послеоперационном периоде, длительность безрецидивного периода. Анализировали также влияние радикальности резекции опухолей, применения последующих адъювантных методов лечения на общую выживаемость, функциональный статус пациентов и длительность безрецидивного периода.
Дополнительные исходы исследования
Дополнительно оценивали функциональный статус (индекс Карновского) пациентов на всех этапах лечения, локализацию гемангиоперицитом, интраоперационную кровопотерю.
Анализ в подгруппах
В ходе исследования были сформированы подгруппы по следующим критериям: радикальность резекции опухолей, проведение лучевого лечения в послеоперационный период.
Оценивали выживаемость пациентов в течение первого года наблюдения и пятилетнюю выживаемость в зависимости от радикальности хирургического вмешательства и проведённого лучевого лечения в послеоперационный период.
Методы регистрации исходов
Оценка наличия метастазов: все пациенты, включённые в группу исследования, наблюдаются у онкологов по месту жительства. В протокол обследования включено проведение ежегодного онкоскрининга на наличие отдалённых метастазов, включающего МСКТ ОГК, МРТ ОБП с контрастным усилением, УЗИ ОБП и забрюшинного пространства, УЗИ органов малого таза.
Оценку радикальности резекции осуществляли на основании общепринятой классификации радикальности удаления менингиом по Simpson [2, 7]. При этом тотальным удалением считали Grade 1–3 по Simpson, субтотальным — Grade 4, биопсией — Grade 5.
Этическая экспертиза
Исследование одобрено местным этическим комитетом (протокол № 8 от 17.08.21). Во всех случаях получено информированное добровольное согласие на проведение оперативного вмешательства, обеспечение необходимого анестезиологического пособия и обработку персональных данных.
Статистический анализ
Статистический анализ не проводился ввиду малого объёма выборки пациентов.
РЕЗУЛЬТАТЫ
Объекты (участники) исследования
За период с 2013 по 2021 год проведено 22 оперативных вмешательства у 20 пациентов по поводу интракраниальных гемангиоперицитом. Из 20 пациентов 12 — мужского пола, 8 — женского. Средний возраст пациентов в общей группе составил 47,7 года.
Из исследования были исключены 3 пациента по причине отсутствия катамнестических данных в послеоперационном периоде. В итоговую группу исследования включили 17 пациентов с гистологически верифицированными гемангиоперицитомами различной степени злокачественности (Grade 1–3). Распределение гистологических типов опухоли: Grade 1 — 6 человек, Grade 2 — 8, Grade 3 — 3 пациента.
Радикальность удаления опухолей: тотальное удаление выполнено у 11/17 пациентов (65%), субтотальное удаление — у 6/17 пациентов (35%).
Основные результаты исследования
Анализу однолетней выживаемости пациентов с гемангиоперицитомами в течение первого года наблюдения были доступны все 17 исследуемых. Общая выживаемость пациентов в этот период составила 100% вне зависимости от степени злокачественности гемангиоперицитом.
Из 17 пациентов с гемангиоперицитомами анализу пятилетней выживаемости были доступны 8 человек, среднее время наблюдения — 64,7 мес. Пятилетняя выживаемость составила 75% (6 из 8 пациентов). Среднее время до появления локального рецидива в группе с тотальным удалением — 67 мес. Лучевое лечение после вмешательства получили 6 из 17 пациентов (35%). Адъювантную химиотерапию не получил ни один из 17 пациентов.
Локальный рецидив/продолженный рост опухоли был выявлен у 3 из 17 пациентов (18%), при этом один из них (с локальным рецидивом) имел отдалённые метастазы. В двух из трёх случаев локального рецидива/продолженного роста наступил летальный исход. В двух вышеописанных случаях летального исхода, по данным патоморфологического исследования, в первом случае была диагностирована гемангиоперицитома Grade 3, во втором — при первом оперативном вмешательстве гемангиоперицитома Grade 2, при повторном вмешательстве по поводу рецидива опухоли — гемангиоперицитома Grade 3.
Отдалённые метастазы выявлены у 1 из 17 пациентов через 72 мес с момента первого оперативного вмешательства, несмотря на тотальное удаление (радиохирургическое лечение не проводилось).
При анализе данных установлена зависимость между наличием локального рецидивирования опухоли и неблагоприятным прогнозом (летальный исход) и появлением отдалённых метастазов. Среди пациентов с тотальным (n=3) и субтотальным удалением опухоли (n=3), прошедших лучевое лечение в послеоперационном периоде (среднее время наблюдения — 40,5 мес), не было выявлено ни рецидива или продолженного роста объёмного образования, ни отдалённых метастазов (табл. 1).
Таблица 1. Влияние радикальности хирургического вмешательства и последующего лучевого лечения на наличие рецидивов и отдалённых метастазов
Table 1. The effect of the radicality of surgical intervention and subsequent radiation therapy on the presence of relapses and distant metastases
Радикальность лечения | Количество пациентов | Рецидив/продолженный рост | Метастазы | Летальность |
Тотальное удаление | 8 | 1 | 1 | 1 |
Субтотальное удаление | 3 | 2 | 0 | 1 |
Тотальное удаление с последующим радиохирургическим облучением | 3 | 0 | 0 | 0 |
Субтотальное удаление с последующим радиохирургическим облучением | 3 | 0 | 0 | 0 |
Можно предположить, что факторами неблагоприятного прогноза (летального исхода) и появления метастазов являются наличие локального рецидива опухоли и степень злокачественности гемангиоперицитомы Grade 3. В свою очередь фактором, благоприятно влияющим на выживаемость пациентов и частоту рецидивов, по нашему мнению, выступил факт наличия облучения в послеоперационном периоде.
Дополнительные результаты исследования
Дополнительно была изучена локализация опухолей. В 7 случаях наблюдалась конвекситальная локализация, при этом в 3 из 7 случаев в опухолевый рост были вовлечены синусы. Базальная локализация отмечена в 10 случаях.
При анализе особенностей хирургии гемангиоперицитом установлен средний уровень индекса Карновского у пациентов: при поступлении — 74 балла, при выписке — 81 балл. Средняя интраоперационная кровопотеря — 930 мл.
Нежелательные явления
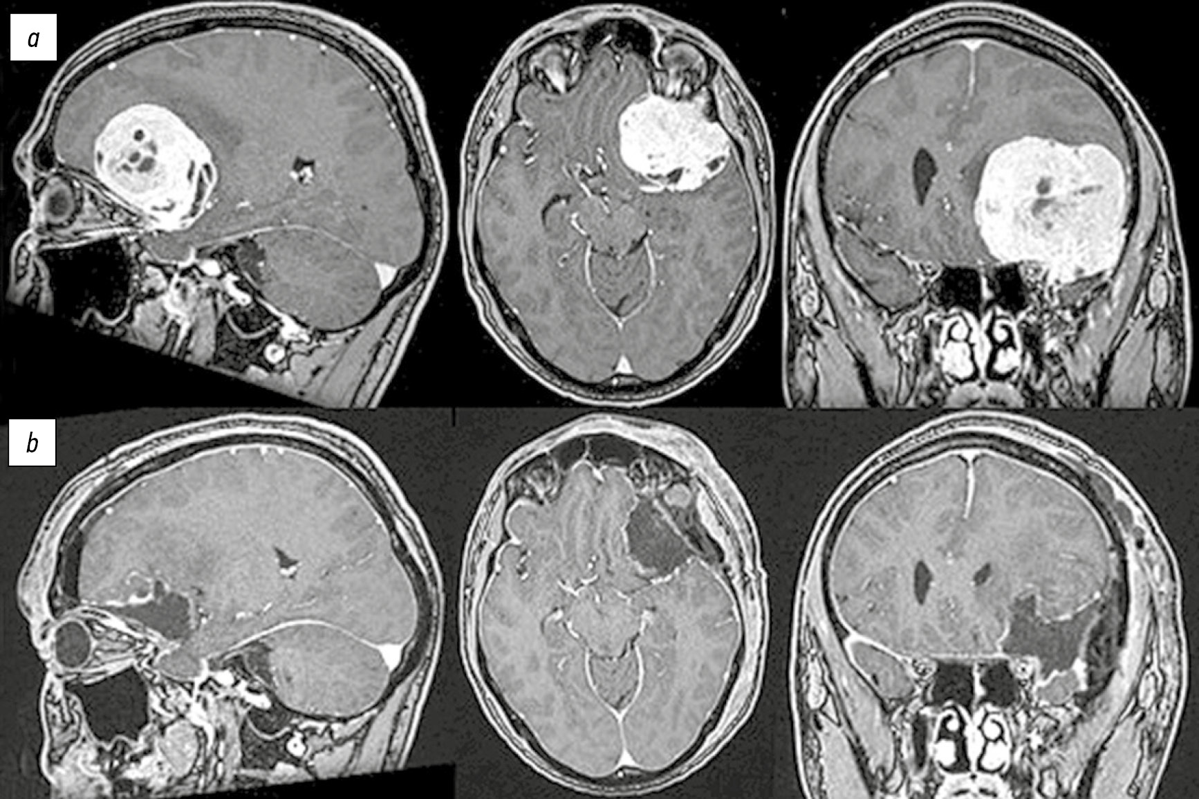
Осложнения в раннем послеоперационном периоде наблюдались у 2 из 17 пациентов (12%). Раневая ликворея, потребовавшая повторного оперативного вмешательства, отмечена у одного пациента с базальной локализацией объёмного образования (ольфакторная ямка). Развитие дополнительного неврологического дефицита в виде недостаточности функции глазодвигательного нерва, которая полностью регрессировала через 10 мес, отмечено также у одного пациента (рис. 1).
Рис. 1. Данные нейровизуализации пациента с гемангиоперицитомой (Grade 2) в области крыла основной кости слева: a — предоперационная МРТ головного мозга с контрастным усилением, визуализируется гемангиоперицитома с матриксом на большом крыле основной кости слева, размерами 57×42×52 мм, с признаками перифокального отёка, распространяющегося на левую лобную долю; b — послеоперационная МРТ головного мозга с контрастным усилением: патологического накопления контрастного вещества не выявлено, радикальность удаления по Simpson — 3.
Fig. 1. Neurovisualization data of a patient with a Grade 2 hemangiopericytoma in the left wing of the sphenoid bone: a — preoperative MRI of the brain with contrast enhancement, showing a hemangiopericytoma with a matrix on the large wing of the sphenoid bone on the left, measuring 57×42×52 mm, with signs of perifocal edema spreading to the left frontal lobe; b — postoperative MRI of the brain with contrast enhancement: no pathological accumulation of contrast agent was detected, Simpson’s resection grade — 3.
ОБСУЖДЕНИЕ
Резюме основного результата исследования
Общая выживаемость пациентов в течение первого года наблюдения составила 100%, при анализе пятилетней выживаемости (75%) выявлено 2 летальных исхода по причине рецидива и прогрессирования заболевания, а среднее время до появления локального рецидива у пациентов с тотальным удалением опухоли составило 67 мес. В ходе исследования было установлено, что дальнейшее лучевое лечение после оперативного вмешательства получила только треть пациентов. У пациентов с тотальным и субтотальным удалением, прошедших лучевое лечение в послеоперационном периоде (среднее время наблюдения — 41 мес), не были выявлены ни отдалённые метастазы, ни локальный рецидив опухолей.
Отдалённые метастазы выявлены в одном случае через 72 мес с момента первого оперативного вмешательства.
Обсуждение основного результата исследования
Итоги лечения интракраниальных гемангиоперицитом. Проблема послеоперационного ведения пациентов с интракраниальными гемангиоперицитомами остаётся актуальной с учётом редкости данной патологии, высокой частоты локальных рецидивов и возможности метастазирования за пределы центральной нервной системы. По данным работы Ш.Т. Тайлакова и соавт. [8], интервал между клиническим дебютом и установкой диагноза короче у гемангиоперицитом по сравнению с менингиомами и в среднем составляет 3,1 мес, что связано с более агрессивным характером роста гемангиоперицитом. По данным работ [2–4, 6], пятилетняя и десятилетняя выживаемость пациентов с интракраниальными гемангиоперицитомами при условии тотального удаления опухолей составляет 92–93% и 67–68% соответственно. В свою очередь локальный рецидив гемангиоперицитом через 1 год наблюдается у 4% пациентов, через 5 лет — у 51% и через 10 лет — у 71% пациентов, а среднее время до развития рецидива составляет 5 лет, что согласуется с полученными в нашей работе данными (табл. 2).
Таблица 2. Данные литературы по хирургическому лечению интракраниальных гемангиоперицитом
Table 2. Literature data on surgical treatment of intracranial hemangiopericytomas
Автор, год | Количество пациентов | Радикальность | Выживаемость | Рецидивы, безрецидивное время | Метастазы | Адъювантные модальности лечения |
H. Mena и соавт., 1991 [3] | 94 | В статье не указаны критерии радикальности | 44 мес — только хирургия Дифференцированные опухоли: 67 — 99 мес без адъювантного лечения, 126 — с адъювантным | Рецидивы в 70% случаев Данных по безрецидивному времени нет | 22/94 (23,4%) | Радиотерапия, химиотерапия, радиотерапия + химиотерапия |
M.J. Rutkowski и соавт., 2012 [6] | 40 | Тотальное удаление — 46% Субтотальное удаление — 54% Предоперационная эмболизация — у 5 пациентов с тотальным удалением и у 5 пациентов с субтотальным удалением | 5-летняя — 92% 10-летняя — 68% Анапластические гемангиоперицитомы (27) — 62 мес | Среднее безрецидивное время — 5 лет Через 1 год рецидив наблюдался у 4% пациентов Через 5 лет — у 51% Через 10 лет — у 72% | 20% экстракраниальных метастазов | Линейный ускоритель, радиохирургия |
A.G. Me-lone и соавт., 2014 [4] | 43 | Тотальное удаление — 69,7% Субтотальное удаление — 30,3% 6 пациентов — пред-операционная эмболизация | Общая выживаемость — 235 мес в группе пациентов с тотальным удалением 175 мес — при субтотальном удалении | 72,2 мес до рецидива Через 5 лет — у 51% Через 10 лет — у 71% пациентов рецидив При тотальном удалении 117 мес безрецидивное время | У 6% пациентов — экстракраниальные метастазы | Облучение на линейном ускорителе, радиохирургия |
M. Schiariti и соавт., 2011 [2] | 39 | Тотальное удаление — 38% Субтотальное удаление — 51% Предоперационная эмболизация — 55% | 5-летняя — 93% 10-летняя — 67% 15-летняя — 45% 20-летняя — 23% | Среднее время до рецидива — 80 мес | 10/39 — 25,6% | Радиохирургия |
Итого | 216 | Тотальное удаление — 51,2%* Субтотальное удаление — 45,1%* | — | — | От 6 до 25,6% | Облучение на линейном ускорителе, радиохирургия, химиотерапия |
* среднее значение вышеуказанных работ [2, 4, 6].
* mean value of published data [2, 4, 6].
В работе H. Mena c соавт. [3] с наибольшей выборкой пациентов, описанной в литературе, частота местного рецидивирования составила 70%, а метастазирование за пределы внутричерепного пространства наблюдалось в 23,4% случаев. По данным других авторов, частота экстракраниальных метастазов составила 20–25% случаев, при этом наиболее частыми органами-мишенями выступали лёгкие, селезёнка, кости и печень [2, 6]. Стоит отметить, что частота метастазирования зависит от периода наблюдения за пациентами. В исследовании K.N. Fountas c соавт. [1] метастазы были обнаружены в интервале 63–99 мес с момента постановки диагноза. Наличие местного рецидивирования опухоли служит прогностическим фактором появления экстракраниальных метастазов [9].
В табл. 2 представлены работы с наибольшими выборками. Описанными в литературе факторами, влияющими на рецидив заболевания, являются размер опухоли более 6 см, вовлечение синусов в состав опухолей, степень радикальности хирургии [4, 6]. Таким образом, по заключению M.J. Rutkowski и соавт. [6], в группе пациентов с тотальным удалением средняя продолжительность жизни увеличилась до 18,80 года в сравнении с 8,75 года в группе с субтотальным удалением и лучевым лечением.
Дополнительные модальности лечения. Наиболее часто используемыми модальностями лечения пациентов в послеоперационном периоде являются облучение ложа удалённой опухоли на аппарате гамма-нож, линейном или протонном ускорителе. Вопрос о применении конкретного лучевого метода лечения остаётся открытым. В настоящее время не разработаны общепринятые протоколы лучевого лечения ввиду редкой встречаемости данных опухолей [5]. В зарубежной литературе присутствуют противоречащие друг другу позиции: с одной стороны, по заключению A.G. Melone с соавт. [4], комбинация хирургического лечения с последующими лучевыми методами не увеличивает выживаемость пациентов, с другой стороны, существуют указания об эффективности применения линейного ускорителя у пациентов в группе с тотальным удалением гемангиоперицитом [2]. Так, в исследовании из Великобритании при применении линейного ускорителя в качестве адъювантного метода лечения после тотального хирургического удаления отмечалось увеличение среднего безрецидивного времени с 154 до 254 мес и, соответственно, общей выживаемости пациентов [2]. По заключению M.J. Rutkowski с соавт. [6], при сравнении результатов применения лучевых методов лечения в послеоперационный период не выявлено различий в группах пациентов с тотальным удалением против тотального удаления с последующим лучевым лечением. Такое же заключение было сделано при сравнении результатов в группах субтотального удаления против субтотального удаления с последующей радиотерапией [6]. Однако применение адъювантных лучевых методов лечения позволило увеличить среднее безрецидивное время с 3,9 до 6,6 года. В настоящем исследовании применение лучевых методов лечения повлияло на выживаемость пациентов, наличие локального рецидивирования и образование метастазов (см. табл. 1). В связи с вышеописанными результатами и данными литературы наш коллектив рекомендует направлять пациентов с гемангиоперицитомами любой степени злокачественности на дальнейшее радиохирургическое лечение.
Особенности ведения пациентов с гемангиоперицитомами на амбулаторном этапе лечения. При анализе катамнестических данных установлено, что подавляющее большинство пациентов (75%) не были своевременно направлены на лучевое или химиотерапевтическое лечение врачами онкологического звена. В особенности это относится к пациентам с гемангиоперицитомами Grade 1 и 2, поскольку данные градации условно относятся к доброкачественным объёмным образованиям и не рассматриваются в качестве источников метастазирования. Однако гемангиоперицитомы Grade 1 и 2 склонны к малигнизации и рецидивированию. По данным работы [10], малигнизация (переход от Grade 1 или 2 в Grade 3) наблюдается в 28% случаев, а локальный рецидив — в 37% случаев при периоде наблюдения от 3 до 13 лет с момента первого оперативного вмешательства.
В представленной группе пациентов в одном случае был выявлен переход гемангиоперицитомы Grade 2 в Grade 3, что было подтверждено серией гистологических исследований, и в одном случае наблюдался локальный рецидив гемангиоперицитомы Grade 1 через 34 мес с момента первого оперативного вмешательства.
Выявлено также, что в большинстве случаев у пациентов в послеоперационном периоде проводился исключительно локальный контроль (МРТ головного мозга с контрастным усилением), во всех наблюдаемых случаях отсутствовали рекомендации от врачей-онкологов на местах с периодическим проведением дополнительных инструментальных методов исследования на ОГК, брюшной полости и ОБП. Таким образом, в настоящее время существует проблема недостаточного контроля за отдалёнными метастазами у пациентов с гемангиоперицитомами и, следовательно, необходим консенсус в отношении ведения таких пациентов на послеоперационном этапе лечения.
В диагностический минимум для пациентов с гемангиоперицитомами различной степени злокачественности должны быть включены ежегодные МСКТ ОГК, УЗИ ОБП и забрюшинного пространства, МРТ брюшной полости с контрастным усилением.
Стоит отметить, что особое внимание данной группе пациентов, независимо от степени злокачественности, следует уделять на 6-м, 7-м году с момента постановки диагноза ввиду пика локального рецидивирования и появления метастатических очагов в указанный период времени.
Ограничения исследования
Основным ограничением исследования является малый размер выборки пациентов, что может существенно повлиять на результаты. При этом размер выборки обусловлен редкой встречаемостью данного вида опухолей в нейрохирургической практике.
ЗАКЛЮЧЕНИЕ
Интракраниальные гемангиоперицитомы — это редко встречающиеся внутричерепные объёмные образования со злокачественным типом роста. По нашему мнению, при лечении интракраниальных гемангиоперицитом необходимо придерживаться агрессивной тактики, включающей в себя максимально радикальное удаление с последующим ранним облучением остаточного объёма или ложа удалённой опухоли на протонном ускорителе или аппарате гамма-нож вне зависимости от степени злокачественности опухолей. В свою очередь на амбулаторном этапе период наблюдения таких пациентов должен быть продлён до 10–15 лет с ежегодным проведением онкоскрининга на наличие локального рецидивирования и отдалённых метастазов.
ДОПОЛНИТЕЛЬНО
Источник финансирования. Авторы заявляют об отсутствии внешнего финансирования при проведении поисково-аналитической работы и подготовке рукописи.
Конфликт интересов. Авторы декларируют отсутствие явных и потенциальных конфликтов интересов, связанных публикацией настоящей статьи.
Вклад авторов. О.М. Андрушкевич — обзор литературы, сбор и анализ литературных источников, сбор и анализ данных катамнеза, написание текста и редактирование статьи; Е.Д. Анисимов — обзор литературы, написание текста; А.В. Зотов — курация, хирургическое лечение пациентов; Е.В. Гормолысова — курация, хирургическое лечение пациентов; Е.К. Ужакова — курация пациентов, рецензирование текста статьи; А.Р. Касымов — курация, хирургическое лечение пациентов, рецензирование текста статьи; А.А. Абдилатипов — курация пациентов, рецензирование текста статьи; Е.В. Галушко — курация пациентов, рецензирование текста статьи; А.В. Калиновский — подготовка и рецензирование текста статьи, хирургическое лечение пациентов. Все авторы подтверждают соответствие своего авторства международным критериям ICMJE (все авторы внесли существенный вклад в разработку концепции, проведение исследования и подготовку статьи, прочли и одобрили финальную версию перед публикацией).
Благодарности. Коллектив авторов выражает благодарность врачу-неврологу Г.И. Мойсак за ценные правки, внесённые в текст статьи. Коллектив авторов также благодарит клинического ординатора 2-го года обучения П.Ю. Иванову за помощь в сборе катамнестических данных.
ADDITIONAL INFORMATION
Funding source. This publication was not supported by any external sources of funding.
Competing interests. The authors declare that they have no competing interests.
Authors’ contribution. О.М. Andrushkevich — literature review, collection and analysis of published papers, collection and analysis of follow-up data, writing and editing the paper; Е.D. Anisimov — literature review, writing the paper; А.V. Zotov — surgical treatment and management of the patients; Е.V. Gormolysova — management of the patients, editing the paper; Е.К. Uzhakova — surgical treatment and management of the patients, editing the paper; А.R. Kasymov — management of the patients, editing the paper; А.А. Abdilatipov — management of the patients, editing the paper; Е.V. Galushko — writing and editing the paper, surgical treatment of the patients; А.V. Kalinovsky — writing and editing the paper, surgical treatment of the patients. All the authors confirm meeting the ICMJE criteria for authorship, i.e., all of them have substantially contributed to the conception or design of the work; the acquisition, analysis, interpretation of data for the work; drafting the work and revising it critically for important intellectual content.
Acknowledgements. The team of authors expresses gratitude to the neurologist G.I. Moysak for valuable corrections made to the article. Also, the team of authors thanks the clinical intern of the 2nd year of training P.U. Ivanova for assistance in collecting follow-up data.
About the authors
Oleg M. Andrushkevich
Federal Neurosurgical Center; Novosibirsk State Medical University
Author for correspondence.
Email: andrushkevich_oleg@mail.ru
ORCID iD: 0000-0001-7297-2843
SPIN-code: 4017-5396
Russian Federation, Novosibirsk; Novosibirsk
Egor D. Anisimov
Federal Neurosurgical Center
Email: e_anisimov@neuronsk.ru
ORCID iD: 0000-0003-1858-3745
SPIN-code: 7127-1453
Russian Federation, Novosibirsk
Alexander V. Zotov
Federal Neurosurgical Center
Email: a_zotov@neuronsk.ru
ORCID iD: 0000-0002-8122-4879
SPIN-code: 5475-5031
Russian Federation, Novosibirsk
Еkaterina V. Gormolysova
Federal Neurosurgical Center
Email: e_gormolysova@neuronsk.ru
ORCID iD: 0000-0002-7996-8449
SPIN-code: 1386-5514
Russian Federation, Novosibirsk
Elena K. Uzhakova
Federal Neurosurgical Center
Email: e_uzhakova@neuronsk.ru
ORCID iD: 0000-0003-1684-4921
SPIN-code: 5583-2284
Russian Federation, Novosibirsk
Аgadadash R. Kasymov
Federal Neurosurgical Center
Email: a_kasymov@neuronsk.ru
ORCID iD: 0000-0002-0331-625X
SPIN-code: 6210-4104
Russian Federation, Novosibirsk
Аbdishukur А. Abdilatipov
Federal Neurosurgical Center
Email: a_abdilatipov@neuronsk.ru
ORCID iD: 0000-0001-5583-0050
SPIN-code: 8224-1306
MD, Cand. Sci. (Med.)
Russian Federation, NovosibirskЕvgeniy V. Galushko
Federal Neurosurgical Center
Email: e_galushko@neuronsk.ru
ORCID iD: 0000-0002-6018-1398
SPIN-code: 5071-6779
Russian Federation, Novosibirsk
Anton V. Kalinovskiy
Federal Neurosurgical Center; Novosibirsk State Medical University; Krasnoyarsk State Medical University
Email: a_kalinovskiy@neuronsk.ru
ORCID iD: 0000-0001-7003-5549
SPIN-code: 1905-4765
MD, Cand. Sci. (Med.)
Russian Federation, Novosibirsk; Novosibirsk; KrasnoyarskReferences
- Fountas KN, Kapsalaki E, Kassam M, et al. Management of intracranial meningeal hemangiopericytomas: outcome and experience. Neurosurg Rev. 2006;29(2):145–153. doi: 10.1007/s10143-005-0001-9
- Schiariti M, Goetz P, El-Maghraby H, et al. Hemangiopericytoma: long-term outcome revisited. J Neurosurg. 2011;114(3):747–755. doi: 10.3171/2010.6.JNS091660
- Mena H, Ribas JL, Pezeshkpour GH, et al. Hemangiopericytoma of the central nervous system: a review of 94 cases. Hum Pathol. 1991;22(1):84–91. doi: 10.1016/0046-8177(91)90067-Y
- Melone AG, D’Elia A, Santoro F, et al. Intracranial hemangiopericytoma — our experience in 30 years: a series of 43 cases and review of the literature. World Neurosurg. 2014;81(3-4):556–562. doi: 10.1016/j.wneu.2013.11.009
- Ciliberti MP, D’Agostino R, Gabrieli L, et al. The radiation therapy options of intracranial hemangiopericytoma: an overview and update on a rare vascular mesenchymal tumor. Oncol Rev. 2018;12(2):354. doi: 10.4081/oncol.2018.354
- Rutkowski MJ, Jian BJ, Bloch O, et al. Intracranial hemangiopericytoma: clinical experience and treatment considerations in a modern series of 40 adult patients. Cancer. 2012;118(6):1628–1636. doi: 10.1002/cncr.26411
- Simpson D. The recurrence of intracranial meningiomas after surgical treatment. J Neurol Neurosurg Psychiatry. 1957;20(1):22–39. doi: 10.1136/jnnp.20.1.22
- Tailakov ST, Shishkina LV, Sinyavin GV. Meningeal’nye gemangiopericitomy (obzor literatury). Surgical Practice. 2014;(3):79–82. (In Russ).
- Shkarubo AN, Tailakov ST, Shishkina LV, et al. Osobennosti lechenija meningeal’nyh gemangiopericitom. Surgical Practice. 2014;(2):80–84. (In Russ).
- Apra C, Mokhtari K, Cornu P, et al. Intracranial solitary fibrous tumors/hemangiopericytomas: first report of malignant progression. J Neurosurg. 2018;128(6):1719–1724. doi: 10.3171/2017.1.JNS162593
Supplementary files




