Primary-multiple gastrointestinal stromal tumor of the stomach
- Authors: Fokeev S.D.1, Kapitulin S.U.1, Kazantseva E.S.2, Belokrilova U.G.1
-
Affiliations:
- Altai state medical University
- Autonomous non-Profit Organization «NIITO Clinic»
- Issue: Vol 24, No 3-6 (2019)
- Pages: 84-88
- Section: Case Reports
- Submitted: 18.08.2020
- Published: 18.08.2020
- URL: https://rjonco.com/1028-9984/article/view/42475
- DOI: https://doi.org/10.18821/1028-9984-2019-24-3-6-84-88
- ID: 42475
Cite item
Full Text
Abstract
The result of the radical treatment for multiple gastrointestinal stromal tumors of large size (GIST) coming from the anterior wall of the stomach has been represented.
Conducted researches at the prehospital stage are not indicated on the GIST of the stomach. The GIST presence was confirmed by the immunohistochemical study.
Full Text
Гастроинтестинальные стромальные опухоли (GIST – Gastrointestinal Stromal Tumors) – это наиболее распространённые мезенхимальные новообразования желудочно-кишечного тракта (ЖКТ) [1–4].
Считается, что GIST происходят из интерстициальных клеток Кахала, которые являются пейсмекерами, играющими важную роль в регуляции спонтанной моторики различных отделов ЖКТ. При выполнении гистологических исследований на световом микроскопе GIST часто путают, из-за их схожести, с истинными образованиями, происходящими из гладких мышц. Применение иммуно-гистохимического исследования тирозинкиназы c-kit (CD117) выявило данный рецептор у 95% всех больных с GIST, что позволило проводить дифференциальный диагноз с другими мезенхимальными гладкомышечными образованиями [2–5].
Ежегодно в мире диагностируется 15 случаев GIST на миллион населения, из них до 30% являются злокачественными с наличием метастазов преимущественно в пределах брюшной полости и печени [2–5], что составляет 0,1–3% от всех злокачественных новообразований ЖКТ [1, 5]. Наиболее часто поражается: желудок – 60–70%; на 2-м месте тонкая кишка – 25–35%; реже встречаются опухоли ободочной кишки и пищевода, а также описаны опухоли забрюшинного пространства, сальника и брыжейки [7, 8].
Пик заболевания GIST приходится на средний возраст – 55–60 лет. При этом клиническая картина гастроинтестинальных стромальных опухолей стёрта и не имеет специфических симптомов [3, 8], протекает бессимптомно и выявляется только при дополнительных методах исследования, хотя в некоторых случаях они становятся причиной желудочно-кишечных кровотечений [9]. В большинстве наблюдений опухоль локализуется в слизистой и/или мышечной оболочке, иногда отмечается прорастание в близлежащие органы и ткани. Размеры GIST колеблются от 1 мм до 20 см. Форма опухоли в основном округлая, может быть полиповидной, гантелевидной, редко отмечается диффузно-инфильтративная форма роста. На разрезе цвет опухоли может быть беловатым, желтоватым, бежевым, красно-коричневым. Могут встречаться участки кровоизлияний, некрозов и кистозной дегенерации [9, 10].
Основным методом лечения пациентов с локализованными и местнораспространёнными стромальными опухолями желудочно-кишечного тракта в настоящее время остаётся хирургический [11].
На наш взгляд, представляет интерес наблюдение GIST, исходящей из передней стенки желудка в брюшную полость размерами 15×12×11 см и в просвет желудка диаметром до 7 см.
Описание наблюдения
Пациент 63 лет в апреле 2019 г. после приёма жирной пищи заметил образование в брюшной полости, которое ничем не беспокоило. На медицинском осмотре в июне 2019 г. обратил внимание участкового терапевта на образование в брюшной полости. По поводу данного заболевания прошёл обследование:
- УЗИ брюшной полости и забрюшинного пространства от 27.05.2019 г. Заключение: Объёмное образование брюшной полости, в эпимезогастральной области лоцируется неоднородное кистозно-солидное образование, контуры ровные, чёткие, с кровотоком внутри, размером около 15×9 см.
- Ирригоскопия от 04.06.2019 г. Заключение: Долихосигма. Недостаточность Баугиньевой заслонки.
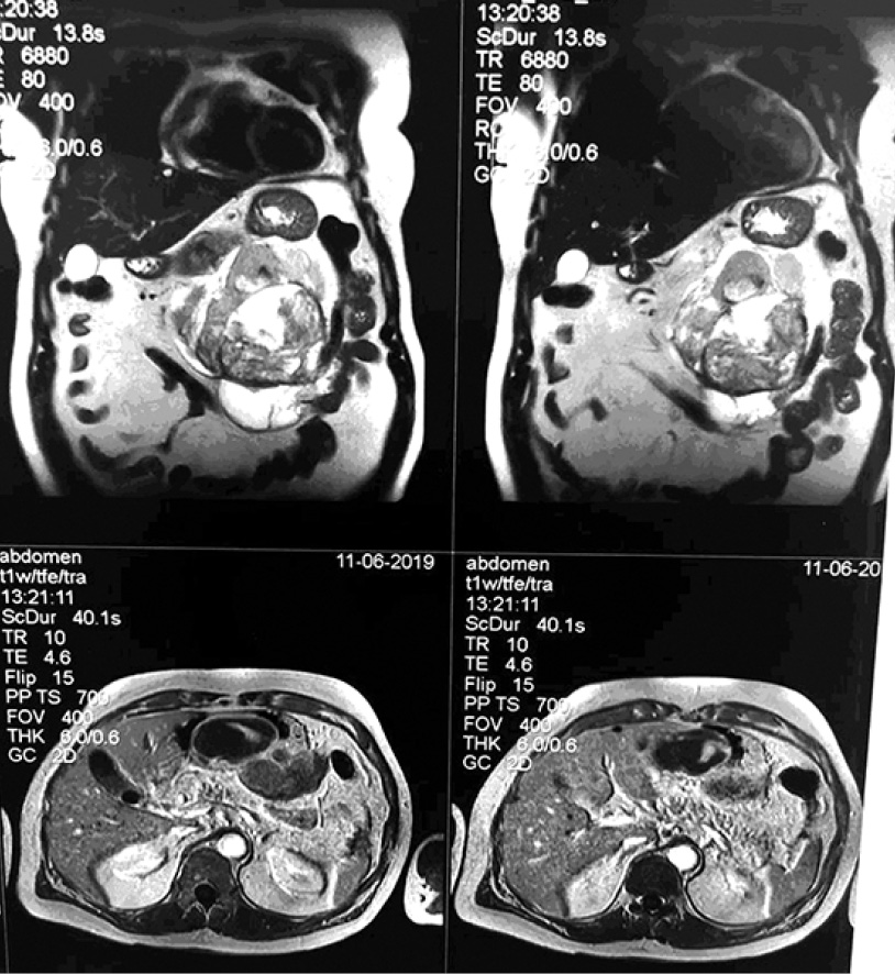
- МРТ с контрастированием от 11.06.2019 г. Заключение: Объёмное образование брюшной полости слева, кистозно-солидной структуры со сдавлением желудка (tumor). Множественные кисты обеих долей печени. Конкремент желчного пузыря. Увеличенные забрюшинные лимфатические узлы (рис. 1–4).
Рис. 1. Увеличенные забрюшинные лимфатические узлы
Рис. 2. Увеличенные забрюшинные лимфатические узлы
Рис. 3. Увеличенные забрюшинные лимфатические узлы
Рис. 4. Увеличенные забрюшинные лимфатические узлы
- ФГДС от 13.06.2019 г. Заключение: Подслизистое образование тела желудка. Эритематозная гастропатия.
С диагнозом: «Tumor брюшной полости» поступил 02.07.2019 г. в хирургическое отделение КГБУЗ «Городская больница № 5 г. Барнаула», где провели уточняющую диагностику – эндоультрасонография от 03.07.2019 г. Видеогастроскоп проведён в желудок. Стенки желудка хорошо расправляются воздухом. В просвете желудка на большой кривизне дистальной части тела желудка на 2/3 шаровидное эластичное выбухание с подвижной гиперемированной слизистой оболочкой диаметром до 70 мм (рис. 5–7), эндосонограф свободно проведён. Сканирование в режиме 7,5–10,0 МГц. Полостное жидкостное образование диаметром 63 мм, пристеночно содержит гипоэхогенную ткань толщиной местами до 15 мм. Капсула гиперэхогенная до 1,4 мм. ЦДК (-). Образование расположено в подслизистом слое. Чётко прослеживается мышечный слой за её пределами (рис. 8, 9). Между желудком и печенью гипоэхогенная ткань с наличием сосудов и анэхогенной полостью до 10 мм (рис. 10).
Рис. 5. Подслизистое образование тела желудка
Рис. 6. Подслизистое образование тела желудка
Рис. 7. Подслизистое образование тела желудка
Рис. 8. Образование расположено в подслизистом слое. Чётко прослеживается мышечный слой за её пределами
Рис. 9. Образование расположено в подслизистом слое. Чётко прослеживается мышечный слой за её пределами
Рис. 10. Между желудком и печенью гипоэхогенная ткань с наличием сосудов и анэхогенной полостью до 10 мм
Заключение: подслизистое образование (киста) в теле желудка по большой кривизне. Кистозно-солидное образование между желудком и левой доли печени? Спаечный процесс?
При поступлении в клинику состояние больного удовлетворительное, нормального питания. Ps 74 уд/мин. АД 130/80 мм рт. ст. При аускульта- ции – в лёгких дыхание выслушивается во всех отделах, везикулярное, хрипов нет. Тоны сердца – глухие, ритмичные. Язык чистый, влажный. Живот не вздут, симметричный, участвует в дыхании. При пальпации в мезогастрии пальпируется безболезненное, плотное, подвижное образование, размерами 15×12×11 см.
08.07.2019 г. проведено хирургическое лечение: субтотально-дистальная резекция желудка по А.В. Мельникову – II, лимфодиссекция Д-1, удаление опухоли брюшной полости, исходящей из передней стенки желудка, удаление образования 0,8 мм в S5 печени.
Макроскопическое описание удалённых анатомических структур: опухоль брюшной полости покрыта плотной капсулой, при пальпации – плотной консистенции, размерами 15×12×11 см (рис. 11), на разрезе – множественные кистозные полости и очаги некроза, заполненные темно-коричневым содержимым (рис. 12).
Рис. 11. Опухоль покрыта плотной капсулой, размерами 15×12×11 см
Рис. 12. Множественные кистозные полости и очаги некроза, заполненные тёмно-коричневым содержимым
В культе желудка, после его вскрытия, имеется подслизистое образование размерами 6×5×5 см, по структуре аналогичное первому (рис. 13).
Рис. 13. Подслизистое образование размерами 6×5×5 см
Протокол патолого-анатомического исследования биопсийного операционного материала от 15.07.2019 г.
Микроскопическое описание: опухоль состоит из веретеновидных и эпителиоидных клеток, формирующих «разнонаправленные пучковые» структуры, со светлой эозинофильной цитоплазмой. Отмечаются фокальные зоны некроза. Клеточная плотность, от слабой до высокой. Полиморфизм от низкого до видимого в виде конденсации хроматина, уменьшения соотношения ядро/цитоплазма. Митотическая активность ввиду низкого качества препарата неопределённая. Слизистая оболочка желудка не представлена.
Мелкий инкапсулированный фрагмент печени с выраженными электротермическими повреждениями, без признаков роста GIST.
Патолого-анатомическое заключение: морфологическая картина на светооптическом уровне в большей степени соответствует гастроинтестинальной стромальной опухоли. Для уточнения диагноза требуется проведение ИГХ-исследования.
Результаты ИГХ-исследования:
CD117 – позитивно в опухолевых клетках.
S100 Protein – позитивно в нервных стволиках, опухоль – негативно.
Smuooth Muscle Actin – позитивно в опухолевых клетках.
Морфологическая картина и полученный иммунофенотип соответствуют гастроинтестинальной стромальной опухоли (GIST) желудка, смешанного типа строения (веретеноклеточная и эпителиоидноклеточная), с экспрессией CD117, Grade II, митотическая активность 8/5 mm2.
Риск прогрессирования процесса высокий (учитывая размер опухоли более 10 см из приложенных документов).
Послеоперационный период протекал гладко, швы с раны сняты на 9–10-е сут с момента операции. Выписан 18.07.2019 г.
Консультирован на расширенном консилиуме врачей Алтайского краевого онкологического диспансера. Диагноз: Первично-множественная GIST желудка T4N0M0, после оперативного лечения. Учитывая высокий риск прогрессирования, рекомендовано – иматиниб 400 мг/сут, в течение 3 лет.
Контрольный осмотр 03.02.2020 г. КТ брюшной полости с в/в контрастированием, ФГС – без видимой патология.
Пациент принимает иматиниб 400 мг/сут.
Таким образом, к особенности наблюдения относится первично-множественные гастроинтестинальные стромальные опухоли желудка, представленные двумя большими образованиями, которые происходили из передней стенки желудка: в свободную брюшную полость – 15×12×11 см и в просвет желудка – 6×5×5 см. Проведённые на догоспитальном этапе обследования не указывали на GIST. Наличие двух образований больших размеров, исходящих из передней стенки желудка, не помешало выполнению радикальной операции, а отсутствие регионарных и отдалённых метастазов дало надежду на благоприятный прогноз у пациента.
About the authors
S. D. Fokeev
Altai state medical University
Author for correspondence.
Email: fokeev.sergey@yandex.ru
MD, PhD, DSc, Professor
Russian Federation, BarnaulS. U. Kapitulin
Altai state medical University
Email: fokeev.sergey@yandex.ru
Russian Federation, Barnaul
E. S. Kazantseva
Autonomous non-Profit Organization «NIITO Clinic»
Email: fokeev.sergey@yandex.ru
Russian Federation, Novosibirsk
U. G. Belokrilova
Altai state medical University
Email: fokeev.sergey@yandex.ru
Russian Federation, Barnaul
References
- Lewis J.J., Brennan M.F. Soft tissue sarcomas. Curr. Probl. Surg. 1996; 33: 817–72.
- Li P., Wei J., West A.B. et al. Epitheloid gastrointestinal stromal tumour of the stomach with liver metastases in a 12_year_old girl: aspiration cytology and molecular study. Pediatr. Dev. Pathol. 2002Jul-Aug:5 (4): 386–94.
- Yurichev I.N., Burdukov M.S., Nechipai A.M., Chistyakova O. V. Gastrointestinal stromal tumors: problems of diagnosis and treatment (literature review). Experimental’naya i klinicheskaya gastroenterologiya. 2012; No. 9: 60–6. (In Russian)
- Shestakov A.L., Kanner D.Yu., Kononets P.V., Shveykin A.O. Features of the surgical and complex treatment of patients with gastrointestinal stromal tumors. Klinicheskaya i experiman-tal’naya khirurfiya. Zhurnal imeni akademika B.V. Petrovskogo. 2017; 4: 85–91. (In Russian)
- Miettinen M., Lasota J. Gastrointestinal stromal tumors: pathology and prognosis at different sites. Semin. Diagn. Pathol. 2006; 23: 70–83.
- Novitskaya T.A., Chuprov I.N., Bratanchuk S.Y., Jelbunova E.A. Malignant stromal tumor of the stomach. Arch. pat. 2006; 68 (2): 44–5. (In Russian)
- Miettinen M., Lasota J. Gastrointestinal stromal tumors—definition, clinical, histological, immunohistochemical, and molecular genetic features and differential diagnosis. Virchows. Arch. 2001; 438: 1–12.
- Dubova E.A., Shchegolev A.I., Mishnev O.D., Karmazanovsky G.G. Gastrointestinal stromal tumors (lectures). Meditsinskaya vizualizatsiya. 2007; 1: 25–32. (In Russian)
- Demetri G., Benjamin R., Blanke C. et al. NCCN Task Force report: management of patients with gastrointestinal stromal tumor (GIST) — update of the NCCN clinical practice guidelines. J. Natl. Compr. Canc. Netw. 2007; 2007; Suppl 2: S1-29.
- Kopp M.V., Коroleva I.А. Multidisciplinary approach in the diagnosis and treatment of gastrointestinal stromal tumours. Zlokachestvennye opukholi. 2013; 1: 15–27 (In Russian)
- Rossi C.R., Mocellin S., Mencarelli R. et al. Gastrointestinal stromal tumor: from a surgical to a molecular approach. Int. J. Cancer. 2003; 107: 171–6.
- Stilidi I.S., Arhyri P.P., Nikulin M.P. Surgical treatment patients with primary localized and locally distributed gastrointestinal stromal tumors. Vestnik RONC imeni N.N. Blokhina RAMN. 2010; 21 (1): 77–82. (In Russian)
Supplementary files















