Positron emission tomography, combined with computed tomography, in resistent lesions of gestational trofoblastic tumors topical diagnostics
- Authors: Meshcheriakova L.A.1, Maslennikov A.F.1, Meshcheriakova N.A.1, Pronin A.I.1, Chekalova M.A.2, Komarov I.G.1
-
Affiliations:
- N.N. Blokhin National Medical Research Center of Oncology of Ministry of Health
- Federal Scientific and Clinical Center for Specialized Medical Assistance and Medical Technologies of the Federal Medical Biological Agency
- Issue: Vol 24, No 3-6 (2019)
- Pages: 89-95
- Section: Case Reports
- Submitted: 18.08.2020
- Published: 18.08.2020
- URL: https://rjonco.com/1028-9984/article/view/42476
- DOI: https://doi.org/10.18821/1028-9984-2019-24-3-6-89-95
- ID: 42476
Cite item
Full Text
Abstract
Introduction. Gestational trophoblastic neoplasias are rare tumors, which consist of about 1% of gynecological cancers. High rate of diagnostic and treatment mistakes leads to late diagnosis, metastatic appearance, resistance to chemotherapy, poor prognosis.
Aim. To demonstrate possibilities of 18F-FDG PET/CT to find resistant lesions of gestational trophoblastic neoplasias.
In the article, we analyze several medical reports to illustrate advantages of 18F-FDG PET/CT for evaluation of resistant gestational trophoblastic neoplasias.
Full Text
Трофобластические опухоли – уникальные опухоли человека, которые всегда ассоциированы с беременностью. Среди них выделяют группу доброкачественных новообразований (полный пузырный занос (ППЗ) и частичный пузырный занос (ЧПЗ)) и злокачественные трофобластические опухоли (ЗТО): инвазивный пузырный занос, метастатический пузырный занос, хориокарцинома, трофобластическая опухоль плацентарного ложа и эпителиоидная трофобластическая опухоль.
ЗТО встречаются редко, составляя 1% от всех онкогинекологических заболеваний, однако важность изучения их несомненна как с точки зрения социальной составляющей, так и с точки зрения перспектив и возможностей лечения. ЗТО в абсолютном большинстве наблюдений поражают женщин репродуктивного возраста, но встречаются и в более позднем возрастном диапазоне (перименопауза). ЗТО характеризуются высокой злокачественностью, быстрым отдалённым метастазированием, высокой чувствительностью к противоопухолевой лекарственной терапии и высокой частотой полных регрессий при адекватном лечении, возможностью сохранения репродуктивной функции у молодых пациенток и дальнейшего деторождения независимо от стадии болезни.
ЗТО могут развиться как во время, так и после нормальной или патологической беременности, независимо от сроков её завершения. Но наиболее часто ЗТО развивается после пузырного заноса. Так, в 50% наблюдений предшественником ЗТО является пузырный занос, в 25% – роды, в 25% – аборты (самопроизвольные, медицинские) и эктопическая беременность.
В настоящее время достаточно хорошо изучена клиническая картина трофобластической болезни (ТБ), разработаны и внедрены принципы диагностики и стратегия лечения ЗТО [1–4].
Результаты современного лечения больных ЗТО в «НМИЦ онкологии им. Н.Н. Блохина» МЗ РФ составляют 97,5% излеченных больных независимо от стадии опухолевого процесса, что соответствует лучшим мировым центрам по лечению ТБ [1–4].
К сожалению, в нашей стране до сих пор не ликвидирован пробел в клинической медицине как в вопросах диагностики, так и в выборе тактики лечения больных ЗТО.
Чрезвычайно высокая частота диагностических и тактических ошибок в регионах РФ приводит к запоздалой диагностике, диссеминации опухоли, развитию стойкой лекарственной резистентности опухоли к стандартной химиотерапии, что значительно ухудшает течение болезни и всегда негативно влияет на прогноз.
Как правило, все эти пациентки впоследствии обращаются в «НМИЦ онкологии им. Н.Н. Блохина». Лечение таких больных является всегда сложным и требует зачастую поиска оригинальных решений как в диагностическом плане, так и в выборе тактики [5].
В качестве иллюстрации возможностей оптимизации топической диагностики резистентной опухоли, определившей тактику лечения, приводим следующие клинические наблюдения, которые публикуются впервые в РФ.
Пациентка А., 27 лет, впервые обратилась в «НМИЦ онкологии им. Н.Н. Блохина» в июле 2011 г. с жалобами на слабость, головокружение, кашель с мокротой и прожилками крови, боли в правой половине грудной клетки, обильные кровянистые выделения из половых путей.
Из анамнеза: беременностей – 2, первая в 2003 г. – срочные роды, вторая в 2005 г. – пузырный занос установлен в сроке 12 недель. Больной в клинике г. Махачкала выполнено малое кесарево сечение, эвакуация пузырного заноса. В послеоперационном периоде проводилась нестандартная химиотерапия. Динамического контроля за уровнем бета-хорионического гонадотропина (β-ХГЧ) не выполнялось. Через 6 мес возобновились маточные кровотечения. В онкодиспансере по месту жительства проведено 2 курса химиотерапии этопозидом. От дальнейшего лечения пациентка отказалась. Менструальный цикл не восстановился. Спустя 5 лет (2011 г.) у больной появился кашель с мокротой с прожилками крови, нарастающие боли в правой половине грудной клетки. В онкодиспансере по месту жительства в результате рентгенологического исследования у больной выявлены множественные метастазы в лёгких. Проводилась нестандартная химиотерапия в течение 3 мес без эффекта. Пациентка направлена в «НМИЦ онкологии им. Н.Н. Блохина». Доставлена на сидячей каталке в связи с выраженной слабостью, одышкой в покое.
В результате обследования установлено: уровень β-ХГЧ – 12 000 мМЕ/мл; по данным УЗИ матка увеличена до 7 нед, в проекции перешейка с переходом на шейку матки определялось опухолевое образование, достигающее внутреннего зева, размерами 3,2 × 2,6 см, с инвазией миометрия на половину его толщины. При КТ в лёгких определяются множественные метастазы от 0,5 до 3,9 × 3,7 см, увеличенные лимфатические узлы в средостении от 0,7 до 6,2 × 4,7 см, сливающиеся между собой в верхнем средостении справа. В корне правого лёгкого – опухолевый конгломерат 9,0 × 5,3 см в поперечнике, окутывающий верхнедолевой, среднедолевой и нижнедолевой бронхи. МРТ головного мозга – без патологических изменений.
В результате обследования установлен диагноз: Трофобластическая опухоль матки, множественные метастазы в лёгких, лимфоузлах средостения, IVВ стадия, состояние после нестандартного лечения, прогрессирование.
В «НМИЦ онкологии им. Н.Н. Блохина» начато лечение с июля 2011 г., проведено 4 курса химиотерапии в режиме ЕМА-СО, затем в связи с резистентностью опухоли проведено 5 курсов химиотерапии в режиме ЕМА-ЕР и 2 курса химиотерапии в режиме ТР/ТЕ. После трех линий химиотерапии зафиксировано плато β-ХГЧ – 27 мМЕ/мл.
В связи с развитием множественной лекарственной резистентности опухоли к стандартным режимам химиотерапии, для поиска резистентного очага опухоли пациентке выполнена ПЭТ/КТ с 18F-ФДГ. В результате исследования обнаружено: в проекции корня правого лёгкого визуализируется очаг накопления радиофармацевтического препарата (РФП) 18F-фтордезоксиглюкозы (18F-ФДГ) размерами до 1,8 см в диаметре. Других очагов накопления не выявлено.
В связи с особенностями локализации резистентной опухоли история болезни пациентки обсуждена на консилиуме во главе с академиком РАН и РАМН профессором М.И. Давыдовым. В связи с крайне высоким риском хирургического вмешательства (не исключена необходимость правосторонней пневмонэктомии), рекомендовано рассмотреть возможность стереотаксической лучевой терапии резистентной опухоли.
Больной проведена стереотаксическая лучевая терапия резистентной опухоли в СД 60Гр. В результате достигнута маркерная ремиссия. Лечение закончено в марте 2012 г.
Пациентка здорова, в 2016 г. у неё родился здоровый доношенный мальчик.
Пациентка С., 37 лет, впервые обратилась в ФГБУ «НМИЦ онкологии им. Н.Н. Блохина» МЗ РФ в 2010 г. Из анамнеза: 1 беременность – 2009 г., пузырный занос в сроке 10–11 нед. Выполнена эвакуация пузырного заноса в гинекологической клинике г. Рязани. В дальнейшем при динамическом контроле за сывороточным уровнем бета-хорионического гонадотропина отмечено его плато и увеличение. Пациентка направлена в «НМИЦ онкологии им. Н.Н. Блохина», где выполнено обследование и установлен диагноз: Персистирующая трофобластическая опухоль матки, IA стадия.
Рекомендована стандартная монохимиотерапия (метотрексат/лейковорин). В результате лечения (11 курсов химиотерапии) достигнута полная ремиссия. Менструальная функция восстановилась. Через 2 года (2013 г.) наступила беременность, которая завершилась срочными родами естественным путём. Спустя 9 мес после родов у больной развилось маточное кровотечение, в связи с чем обследована в клинике по месту жительства и направлена в «НМИЦ онкологии им. Н.Н. Блохина» с подозрением на трофобластическую болезнь. При обследовании по данным УЗИ определялось опухолевое образование в миометрии передней стенки матки диаметром 3,7 см; по данным КТ – множественные мелкие очаги в лёгких; уровень β-ХГЧ – 350 000 мМЕ/мл. В головном мозге очаговых изменений не выявлено. Установлен диагноз: Трофобластическая опухоль матки, множественные метастазы в лёгких, высокий риск резистентности, IIIB стадия. Рекомендовано проведение стандартной химиотерапии в режиме ЕМА-СО. Лечение пациентке проведено в онкологическом диспансере по месту жительства. После 11 курсов химиотерапии достигнута полная ремиссия (2015 г.), подтверждённая результатами обследования в «НМИЦ онкологии им. Н.Н. Блохина».
Спустя полтора года после окончания лечения (2016 г.) у пациентки зафиксировано динамическое увеличение уровня β-ХГЧ с 46 до 187 мМЕ/мл. При обследовании в «НМИЦ онкологии им. Н.Н. Блохина» (экспертное УЗИ брюшной полости и малого таза, забрюшинного пространства, КТ органов грудной полости) опухоли не обнаружено. Для уточнения локализации рецидивной опухоли выполнена ПЭТ/КТ с 18F-ФДГ в режиме от основания черепа до середины бедра, при которой определялось повышенное накопление РФП до макс SUV 3,77 в гиподенсном узловом образовании в серозной оболочке передней стенки верхней трети тела матки, размерами до 0,5 см в диаметре (рис. 1). Принято решение о выполнении органосохраняющей операции – гистеротомии, туморэктомии. Накануне операции больной повторно выполнено УЗИ малого таза и в серо-шкальном режиме визуализировалось опухолевое образование 0,7 см в диаметре.
Рис. 1. Позитронная эмиссионная томография (MIP-реконструкция) во фронтальной проекции (А), компьютерная томография с внутривенным контрастным усилением (Б), позитронная эмиссионная томография (В), совмещённое ПЭТ/КТ-изображение (Г) в аксиальной проекции. Стрелками указано очаговое патологическое накопление 18F-ФДГ (А, В, Г) в узловом образовании серозной оболочки верхней трети тела матки (Б)
Пациентке выполнена органосохраняющая гистеротомия, иссечена опухоль диаметром 0,7 см в пределах здоровых тканей. Послеоперационный период протекал без осложнений. В дальнейшем отмечалось снижение уровня β-ХГЧ и его нормализация через 3 нед. По результатам гистологического исследования – эпителиоидная трофобластическая опухоль. Дополнительного лечения не проводилось. Время наблюдения – 3,5 г.
Пациентка Ш., 27 лет, впервые направлена в «НМИЦ онкологии им. Н.Н. Блохина» в ноябре 2015 г. Всего беременностей – 4: 2006 г. – срочные роды, 2007, 2008 гг. – медицинские аборты; в 2010 г. – эвакуация пузырного заноса, динамического наблюдения за уровнем β-ХГЧ не проводилось.
В августе 2012 г. по поводу обильных кровянистых выделений из половых путей больной в стационаре по месту жительства, в г. Новосибирске, выполнено выскабливание полости матки, гистологическое заключение не представлено, дальнейшего лечения не проводилось.
С февраля 2015 г. пациентка стала отмечать отхождение мокроты при кашле с прожилками крови, обследовалась, принимала противовоспалительные препараты. В мае этого же года в клинике по месту жительства выполнена эндоваскулярная эмболизация бронхиальных артерий в связи с лёгочным кровотечением. При КТ в обоих лёгких определялись множественные образования с участком распада в нижней доле левого лёгкого. Учитывая данные клинической картины и обследования, выставлен предварительный диагноз: Гранулематоз Вегенера. Для уточнения диагноза выполнена трансторакальная биопсия образования нижней доли левого лёгкого, которая показала, что морфологических признаков гранулематозного воспаления и возбудителей туберкулёза не выявлено. В июле этого же года в связи с отрицательной рентгенологической динамикой выполнена нижняя лобэктомия слева, гистологическое заключение: хориокарцинома.
При дальнейшем обследовании, по данным МРТ, в области дна матки, в миометрии, ближе к правому трубному углу выявлено образование 2,5×3,0 см, деформирующее полость матки. По результатам УЗИ, в мочевом пузыре пристеночно определяются образования 1,7×0,6 и 1,2×0,5 см. Уровень β-ХГЧ составлял 40 331 мМЕ/мл. Больной выполнена экстирпация матки с маточными трубами, гистологическое заключение – хориокарцинома. С июля по октябрь 2015 г. проведено 6 курсов химиотерапии ЕМА-СО с частичным эффектом, затем отмечен рост маркера. Пациентка направлена в «НМИЦ онкологии им. Н.Н. Блохина» для обследования и определения дальнейшей тактики лечения.
На момент обращения в нашу клинику в ноябре 2015 г., по данным УЗИ: в области культи влагалища определяется опухолевое образование до 1,0 см в диаметре, в стенке мочевого пузыря – образование размерами 1,7×0,9 см с патологической васкуляризацией. По результатам КТ – множественные метастазы в средней и нижней долях правого лёгкого. МРТ головного мозга – без особенностей. Уровень β-ХГЧ – 10049 мМЕ/мл.
Установлен диагноз: Резистентная трофобластическая опухоль матки, множественные метастазы в лёгких, метастаз в стенке мочевого пузыря, состояние после нижней лобэктомии левого лёгкого, гистерэктомии с двухсторонней тубэктомией, курсов химиотерапии (ЕМА-СО), прогрессирование, IVВ стадия.
С ноября 2015 г. по май 2016 г. больной в «НМИЦ онкологии им. Н.Н. Блохина» проведено 12 курсов химиотерапии в режиме ЕМА-ЕР в условиях гинекологического отделения с полным клиническим эффектом (маркерная ремиссия с адекватной консолидацией).
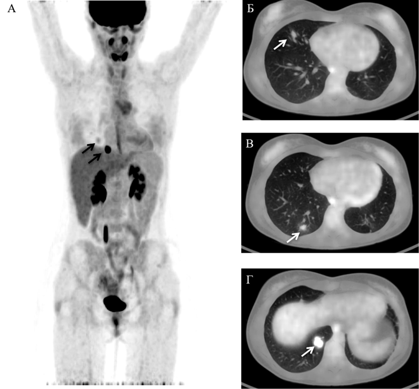
При динамическом наблюдении за уровнем β-ХГЧ через 6 мес после окончания химиотерапии зафиксировано его постепенное увеличение. В декабре 2016 г. в связи с этим выполнено обследование в «НМИЦ онкологии им. Н.Н. Блохина» (КТ органов грудной полости и экспертное УЗИ органов брюшной полости и малого таза): новых очагов опухоли не обнаружено, в лёгких – положительная динамика в виде уменьшения размеров и количества ранее определяемых метастазов. Уровень β-ХГЧ на момент обращения составлял 231 мМЕ/мл. Для уточнения локализации рецидивной опухоли выполнена ПЭТ/КТ с 18F-ФДГ. По результатам исследования установлено патологическое накопление 18F-ФДГ до макс SUV 1,31–5,68 в следующих образованиях правого лёгкого: в S5 размерами 1,3×1,0 см, в S9 размерами 0,9×0,6 см, в S10 размерами 1,9×1,3 см (рис. 2).
Рис. 2. Позитронная эмиссионная томография (MIP-реконструкция) во фронтальной проекции (А), совмещённые ПЭТ/КТ-изображения (Б, В, Г) в аксиальной проекции. Стрелками указаны очаги патологического накопления 18F-ФДГ в образованиях правого лёгкого
Больной выполнена торакоскопическая резекция правого лёгкого с метаболически активными метастазами (рис. 3).
Рис. 3. Этапы торакоскопической резекции лёгкого. Макропрепарат
В послеоперационном периоде через 4 нед отмечена нормализация уровня β-ХГЧ. Дополнительного лечения не проводилось. Гистологическое заключение: хориокарцинома.
Пациентка здорова. Длительность наблюдения – 3 г.
Пациентка Г., 22 года, направлена в «НМИЦ онкологии им. Н.Н. Блохина» в марте 2016 г. для лечения трофобластической опухоли.
В анамнезе 2 беременности, первая – 2014 г. – срочные роды, вторая – 2015 г. – срочные роды. После родов появились ациклические кровотечения, к врачу обратилась через 6 мес, в феврале 2016 г. В клинике г. Махачкалы дважды выполнялось выскабливание полости матки. При гистологическом исследовании – плацентарный полип. Маточное кровотечение продолжалось. Уровень β-ХГЧ – 1 000 000 мМЕ/мл. Больная заочно консультирована в «НМИЦ онкологии им. Н.Н. Блохина». Рекомендована и начата экстренная химиотерапия «спасения» в режиме ЕР (цисплатин/этопозид), на фоне которой стабилизировалась клиническая ситуация, кровотечение прекратилось. Больная доставлена в «НМИЦ онкологии им. Н.Н.Блохина». По данным УЗИ: матка увеличена до 12 нед беременности, в правых отделах матки определяется опухолевое образование размерами 7,2 ×5,3×5,6 см, доходящее до серозной оболочки, рядом – «выбухающий» узел, деформирующий серозную оболочку матки, диаметром до 2,2 см. Образование аваскулярное, с умеренным периферическим кровотоком. В стенке влагалища справа – опухолевое образование 3,5×2,3 см, в параметральной клетчатке слева – узел диаметром 1,5 см. По данным КТ, в лёгких – без патологических изменений. Уровень β-ХГЧ – 199 мМЕ/мл.
Установлен диагноз: Трофобластическая опухоль матки, метастазы в стенке влагалища справа и параметральной клетчатке слева, IIВ стадия, состояние в процессе химиотерапии «спасения» с эффектом.
Больной проведено 6 курсов химиотерапии в режиме ЕМА-СО и 5 курсов ЕМА-ЕР (II линия) в связи с плато β-ХГЧ, свидетельствующем о резистентности опухоли. В результате не достигнута маркерная ремиссия, наметился незначительный рост уровня β-ХГЧ. При повторном обследовании новых очагов опухоли не выявлено. В ранее определяемых опухолевых образованиях отмечается положительная динамика в виде уменьшения размеров очагов и снижения их васкуляризации.
Для уточнения локализации резистентной опухоли больной выполнена ПЭТ/КТ с 18F-ФДГ. В результате установлено: в области дна матки справа отмечается невысокая фиксация 18F-ФДГ (макс SUV 2,73) по периферии крупного узлового образования размерами до 3,2 см (рис. 4).
Рис. 4. Позитронная эмиссионная томография (MIP-реконструкция) во фронтальной проекции (А), компьютерная томография без контрастного усиления (Б), КТ с внутривенным контрастным усилением (В), совмещённое ПЭТ/КТ-изображение (Г) в аксиальной проекции. Стрелками указано неинтенсивное повышение накопления 18F-ФДГ (Г) по периферии узлового образования в области дна матки справа (Б, В)
Больной выполнена органосохраняющая гистеротомия, иссечение резистентного узла матки в пределах здоровых тканей, тубэктомия справа (рис. 5).
Рис. 5. Этапы органосохраняющей операции. Макропрепарат
Гистологическое заключение: Фрагменты миометрия с полостью, выполненной некротическими массами, кальцинатами, гемосидерофагами, без признаков резидуальной опухоли.
В послеоперационном периоде отмечалась нормализация уровня β-ХГЧ. Дополнительное лечение не проводилось.
Пациентка здорова. Менструальная функция восстановилась полностью. Длительность наблюдения составила 3,5 г.
Обсуждение
Как известно, трофобластические опухоли обладают высоким метаболизмом, быстрым ростом и метастазированием. Первичная диагностика и оценка распространённости опухолевого процесса с помощью рутинных методов (серологическое исследование уровня β-ХГЧ, УЗИ, КТ) в настоящее время не представляет трудностей в абсолютном большинстве случаев. Адекватное планирование и проведение первичного лечения позволяет достичь высоких (до 98%) результатов выживаемости с сохранением большинству больных репродуктивной функции. Однако у части больных (от 12 до 24%) существует риск развития стойкой лекарственной резистентности опухоли. Это прежде всего пациентки, подвергшиеся ранее нестандартному лечению трофобластической болезни (произвольное назначение химиотерапии, различные хирургические вмешательства до начала стандартной химиотерапии, отсутствие мониторинга уровня β-ХГЧ после удаления пузырного заноса и другие варианты клинических ошибок). Своевременное выявление резистентности опухоли и принятие решения о смене тактики лечения дают больным дополнительные шансы на выздоровление и нередко – сохранение репродуктивной функции. Оптимизация возможностей топической диагностики резистентных очагов трофобластической опухоли – краеугольный камень в решении таких сложных и важных задач, как хирургическое лечение резистентной трофобластической опухоли.
Особенность злокачественных трофобластических опухолей – высокий уровень метаболической активности – позволяет прогнозировать высокую чувствительность метода позитронной эмиссионной томографии, совмещённой с компьютерной томографией, с 18F-ФДГ. По мнению ряда авторов, ПЭТ/КТ обладает лучшими возможностями в топической диагностике распространённых трофобластических опухолей в сравнении с рутинными методами [6, 7].
Представленные клинические наблюдения отчётливо демонстрируют возможности и перспективы ПЭТ/КТ в топической диагностике резистентных трофобластических опухолей, значительно превосходящие возможности стандартных методов (УЗИ, КТ).
С помощью ПЭТ/КТ с 18F-ФДГ в представленных наблюдениях нам удалось своевременно и качественно определить локализацию резистентных очагов опухоли, выполнить их удаление, в том числе путём стереотаксического облучения. Это позволило достичь полного излечения без дополнительной химиотерапии и сохранения репродуктивной функции молодым женщинам.
About the authors
L. A. Meshcheriakova
N.N. Blokhin National Medical Research Center of Oncology of Ministry of Health
Author for correspondence.
Email: mdnadya@gmail.com
ORCID iD: 0000-0001-8479-3615
MD, PhD, radiologist
Russian Federation, MoscowA. F. Maslennikov
N.N. Blokhin National Medical Research Center of Oncology of Ministry of Health
Email: mdnadya@gmail.com
ORCID iD: 0000-0003-3959-3133
Russian Federation, Moscow
N. A. Meshcheriakova
N.N. Blokhin National Medical Research Center of Oncology of Ministry of Health
Email: mdnadya@gmail.com
ORCID iD: 0000-0003-0770-3406
Russian Federation, Moscow
A. I. Pronin
N.N. Blokhin National Medical Research Center of Oncology of Ministry of Health
Email: mdnadya@gmail.com
ORCID iD: 0000-0003-1632-351X
Russian Federation, Moscow
M. A. Chekalova
Federal Scientific and Clinical Center for Specialized Medical Assistance and Medical Technologies of the Federal Medical Biological Agency
Email: mdnadya@gmail.com
ORCID iD: 0000-0002-5565-2511
Russian Federation, Moscow
I. G. Komarov
N.N. Blokhin National Medical Research Center of Oncology of Ministry of Health
Email: mdnadya@gmail.com
ORCID iD: 0000-0002-3495-5521
Russian Federation, Moscow
References
- Meshcheryakova L.A. Gestational trophoblastic disease: diagnostics, treatment and prognosis. Dissertatsiya na soiskanie uchenoy stepeni doktora meditsinskikh nauk. Moscow; 2005. (In Russian)
- Meshcheryakova L.A., Kozachenko V.P., Kuznetsov V.V. Gestational trophoblastic disease. In: Kozachenko V.P., red. Klinicheskaya onkoginekologiya. 2-e izd. Moscow: Binom; 2016; 324–68. ( In Russian)
- Meshcheryakova L.A. Gestational trophoblastic disease. In: Kaprin A.D., Ashrafyan L.A., Stilidi I.S., red. Natsional’noe rukovodstvo po onkoginekologii. Moscow: GEOTAR-Media; 2019; 273–292. ( In Russian)
- Practical recommendations in gestational trophoblastic disease treatment. Spetsvypusk 2. Moscow; 2019; 201˗10. ( In Russian)
- Gasanbekova Z.A. Faults in gestational trophoblastic disease diagnostics and treatment. Dissertatsiya na soiskanie uchenoy stepeni kandidata meditsinskikh nauk. Moscow; 2019. ( In Russian)
- Numnum T.M., Leath C.A., Straughn J.M. et al. Occult choriocarcinoma discovered by positron emission tomography/computed tomography imaging following a successful pregnancy. Gynecol. Oncol. 2005; 97: 713–5.
- Kani K.K., Lee J.N., Dighe M. et al. Gestational trophoblastic disease: multimodality imaging assessment with special emphasis on spectrum of abnormalities and value of imaging in staging and management of disease. Current Problems in Diagnostic Radiology. 2012; 41 (1): 1–10.
Supplementary files







