Diagnostic errors in patients with diseases of the chest cavity and ways to reduce them
- Authors: Lukyanenko N.Y.1, Shoikhet Y.N.1, Lazarev A.F.1, Lubennikov V.A.2, Vikhlyanov I.V.2
-
Affiliations:
- Altai State Medical University
- Altai regional cancer clinic
- Issue: Vol 24, No 3-6 (2019)
- Pages: 96-101
- Section: Basic Science - Practical Health Care
- Submitted: 18.08.2020
- Published: 18.08.2020
- URL: https://rjonco.com/1028-9984/article/view/42477
- DOI: https://doi.org/10.18821/1028-9984-2019-24-3-6-96-101
- ID: 42477
Cite item
Full Text
Abstract
This paper presents an algorithm for reducing the risk of errors in the diagnosis of diseases of the chest cavity within 14 days after treatment of patients. The developed algorithm, based on multivariate analysis of the integrated assessment of clinical and radiological descriptors (signs) of diseases, determination of the probability coefficient of errors, software for comparing individual integral data with established typical characteristics for differentiable pathological processes, improved diagnostics, aimed the doctor at an adequate examination, and reduced the risk of error by 20.1%.
Full Text
Актуальность
Проблема диагностики и лечения болезней органов дыхания остаётся актуальной вследствие продолжающегося роста заболеваемости и частоты регистрации, которые занимают первое ранговое место в общей заболеваемости населения [1, 4–7, 12–17, 19, 20].
Заболеваемость острыми пневмониями не имеет тенденции к снижению и составляет 678,8 на 100000 населения, растёт заболеваемость раком лёгкого [13, 14, 17, 18, 20]. Увеличивается показатель хронизации заболеваемости и смертности от пневмоний [13].
Несмотря на некоторое снижение, остаётся стабильно неблагополучной эпидемиологическая ситуация по заболеваемости туберкулёзом в РФ. Исходы лечения заболеваний лёгких во многом зависят от их диагностики в ранней стадии [1, 4, 9].
Современные методы клинического обследования с использованием рентгенологического, бронхоскопического исследования, туберкулинодиагностики, тепловидения и др. не позволяют в полной мере обеспечить качественную и своевременную диагностику [3, 8, 11]. Методы интроскопии: мультиспиральная компьютерная томография (МСКТ), магнитно-резонансная томография (МРТ) органов грудной клетки определяют топику процесса и его распространённость [11]. Частота диагностических ошибок при различных патологических процессах в лёгких варьирует от 19 до 89,5% [11, 16].
Автоматизация диагностического процесса является весьма актуальной при большом наборе диагностических признаков и требует, по мнению авторов, использования компьютерных моделей, созданных на основе баз данных изображений лёгких для уточнения диагноза [17, 18]. Однако в пульмонологии данные модели, основанные на многофакторном анализе интегральной оценки значимости дескрипторов, остаются недостаточно разработанными [17, 18].
Цель: уменьшить риск ошибок при диагностике заболеваний органов грудной полости в первые 14 сут с момента обращения больных на основе многофакторного анализа интегральной оценки клинико-диагностических признаков (дескрипторов).
Материалы и методы
В основу работы положены данные о 1819 больных с заболеваниями органов грудной полости, находившихся на обследовании в течение 2012– 2019 гг. в медицинских учреждениях Алтайского края.
Изучению и сравнению подверглись как различные патологии органов грудной полости, имеющие сходные рентгенодиагностические и клинические симптомы, так и внутри каждой группы. В общей структуре заболеваний органов грудной полости 73,8% составляли заболевания лёгких. У 16,9% пациентов были заболевания средостения, у 9,3% – плевры.
Критерием отбора для исследования больных основных групп заболеваний грудной полости был срок установления окончательного диагноза позднее 14 дней от даты обращения в лечебно-профилактическое учреждение – 966 больных. В группу сравнения вошли пациенты, у которых срок установления окончательного диагноза был меньше 14 дней, – 853.
Среди клинических форм у больных неспецифическими воспалительными заболеваниями лёгких и плевры превалировали острая пневмония – 45,6% и острый абсцесс лёгких – 34,1%. Ограниченный плеврит составил 12,1%, плевроцирроз – 8,2%. Нозологические формы туберкулёза лёгких представлены инфильтративным туберкулёзом лёгких с распадом 183 пациентами (33,3%), в том числе 89 основной и 94 – группы сравнения, без распада – 226 пациентами (41,1%), в т.ч. 141 – основной и 85 – группы сравнения, туберкулёмой лёгкого 141 пациентом (35,6%), в т.ч. 76 – основной и 85 – группы сравнения. Среди 452 злокачественных новообразований лёгких периферический рак составил – 66,4% (300 пациентов), в том числе с распадом – 31,0% (140 пациентов), без распада – 35,4% (160 пациентов), центральный рак – 33,6% (152 пациента). В основную группу входило 79 пациентов, в группу сравнения – 61, без распада 81 и 71 соответственно. Центральный рак представлен 78 больными основной группы и 74 сравнения.
Проанализировано 1168 заключений по полученному гистологическому материалу в основной и группе сравнения.
Среди клинических форм злокачественных и доброкачественных образований средостения в 33,4% случаев были тимомы (103 больных), в 25,6% – гиперплазии вилочковой железы (79 больных), в 41,0% – дермоидные кисты (126 больных). Основная группа больных с тимомами составила 45 больных и 58 группа сравнения, с гиперплазией вилочковой железы 37 и 42 соответственно. Злокачественные и доброкачественные образования плевры представлены мезотелиомами – в 78,1% (100 больных), в т.ч. основная группа – 51 пациентом, группа сравнения – 49, и доброкачественными кистами – в 21,9% (28 больных), в т.ч. основная группа – 13 пациентами, группа сравнения – 15.
В работе применены проспективные и ретроспективные методы исследования клинико-лабораторных данных и результатов лучевой диагностики. Методы лучевой диагностики включали традиционные (рентгенография, линейная томография, флюорография, рентгеноскопия), усовершенствованные традиционные и реконструктивные (КТ, МРТ, УЗИ) при 14 заболеваниях органов грудной полости.
Основная и группа сравнения обследованы как традиционными, так и реконструктивными методами.
Использовались методики контрастирования при рентгеновской компьютерной томографии.
В разработке математического алгоритма интегральной оценки дескрипторов использованы методы расчёта критерия Стьюдента, ранговой корреляции Спирмена, точный критерий вероятности Фишера, дискриминантный анализ, позволившие изучить различия между основной и контрольной группами пациентов по нескольким переменным признакам одновременно и определить его принадлежность к группе, где ошибки маловероятны, группе риска и группе пациентов, где ошибки наиболее вероятны.
Результаты и обсуждение
Таблица 1. Учитываемые дескрипторы
№ | Название дескриптора |
| Клинические |
1 | Гипертермическая реакция выше 38°С |
2 | Субфебрилитет |
3 | Наличие влажного кашля |
4 | Наличие сухого кашля |
5 | Наличие боли в грудной клетке |
6 | Наличие одышки |
7 | Наличие кровохарканья |
8 | Миастения |
9 | Увеличение лимфатических узлов |
| Лабораторные |
10 | Бактериологическое подтверждение |
11 | Гистологическое подтверждение (атипичные клетки) |
12 | Сдвиг лейкоцитарной формулы влево |
13 | Ускоренная СОЭ |
| Рентгенологические |
14 | Контуры образования внутренние ровные |
15 | Контуры образования наружные чёткие |
16 | Контуры образования, неравномерно утолщённые к корню |
17 | Образование расположено в паренхиме |
18 | Образование расположено в ядре |
19 | Наличие реакции паракостальной плевры |
20 | Плотность образования от +30 до +40 Н |
21 | Наличие дорожки к корню лёгкого |
22 | Наличие единичных полостей в центре |
23 | Наличие полостей, щелевидных к краю |
24 | Наличие жидкости в полости |
25 | Количество жидкости большое |
26 | Окружающая ткань изменена |
27 | Наличие лучистости |
28 | Структура образования неоднородная |
29 | Форма образования овоидная |
30 | Форма образования округлая |
31 | Форма образования полигональная |
32 | Форма образования лентовидная |
33 | Наличие деструкции образования |
34 | Локализация: переднее средостение, верхняя треть |
35 | Локализация: переднее средостение, средняя треть |
36 | Локализация: переднее средостение, нижняя треть |
37 | Осложнение: обызвествление |
38 | Осложнение: абсцедирование |
39 | Осложнение: кисты |
40 | Процесс односторонний |
41 | Положительная динамика |
Для разработки программного обеспечения анализа персонализированных данных обследуемых пациентов проведена интегральная оценка значимости патологических признаков (дескрипторов) в диагностике каждого изучаемого заболевания органов грудной полости:
- Предварительный отбор дескрипторов на основе стандартов клинических, лабораторных и инструментальных признаков, характеризующих заболевание. При предварительном отборе включен 41 дескриптор (табл. 1). Полученные данные сгруппированы в таблицу, в которой каждая строка соответствовала пациенту, а каждый столбец – дескриптору, оказывающему влияние на появление ошибки и единому для основных групп и групп сравнения.
- Анализ значимости дескрипторов на основе использования t-критерия Стьюдента. Для оценки информативности использовалась также формула Кульбака (уровень значимости 95%).
- Анализ функциональной связи между факторами производился на основе корреляционного анализа Спирмена. На основании перечисленных этапов определялся сокращённый набор дескрипторов, которые использовались в дальнейшем для постановки диагноза пациентам, – дескрипторы, имеющие низкую значимость или корреляционно связанные с другими, исключались из стандарта. Однако использованы методы логики, основанной на врачебном опыте, который свидетельствовал о том, что ряд признаков (несмотря на то, что их оценка Pi>3mi) не могут быть удалены, т. к. весьма значимы при постановке диагноза.
- Для каждого дескриптора с помощью четырехпольных таблиц рассчитаны коэффициенты влияния:
Для каждого значения i фактора j строилась четырехпольная таблица:
Группы больных | Основная группа | Контрольная группа |
Количество человек с данным значением признака | A | b |
Прочие | C | d |
- Далее для каждого пациента рассчитываются значения прогностической суммы по формуле (1):
Формула (1)
где i – номер дескриптора, n – количество дескрипторов, j – номер пациента, ri – значение коэффициента влияния, хi – значение дескриптора (0 или 1).
Определялось максимальное и минимальное значение прогностической суммы Smax1, Smax2, Smin1, Smin2. Для любого нового обследуемого по результатам анализа стандартных признаков проводился расчёт прогностической суммы S* и принималось решение об отнесении его к группе 1 (группа риска) или 2 – отсутствие риска (Smin1S³max2).
- Проводился расчёт коэффициента вероятности ошибки (Р) по формуле (2):
Формула (2)
Далее формировалась область вероятности диагностической ошибки, сокращение которой зависело от набора использованных дескрипторов и точности их определения. Выведена вероятность диагностической ошибки. На основе разработана компьютерная программа прогнозирования вероятностей ошибок в диагностике.
Определён коэффициент (Р) вероятностей ошибок в диагностике заболеваний органов грудной полости (табл. 2).
Таблица 2. Вероятность диагностической ошибки для некоторых заболеваний органов грудной полости
№ | Заболевания | Вероятность диагностической ошибки | Максимальный % |
1 | Пневмония | от 0 до 0,089 | 8,9 |
2 | Инфильтративный туберкулёз с распадом | от 0 до 0,121 | 12,1 |
3 | Центральный рак лёгких | от 0 до 0,214 | 21,4 |
4 | Туберкулёма лёгкого | от 0 до 0,131 | 13,1 |
5 | Дермоидная киста средостения | недоступно |
|
6 | Периферический рак лёгкого с распадом | от 0 до 0,368 | 36,8 |
7 | Инфильтративный туберкулёз лёгкого без распада | от 0 до 0,06 | 6,0 |
8 | Тимома | от 0 до 0,067 | 6,7 |
9 | Гиперплазия вилочковой железы | от 0 до 0,318 | 31,8 |
10 | Периферический рак лёгкого без распада | от 0 до 0,312 | 31,2 |
11 | Абсцесс лёгкого | от 0 до 0,086 | 8,6 |
Данные, полученные при оценке коэффициента (Р) вероятностей ошибок в диагностике заболеваний органов грудной полости, свидетельствовали о сложности диагностики и высоком риске ошибок при периферическом раке лёгкого с распадом (Р=0,368) и без распада (Р=0,312), гиперплазии вилочковой железы (Р=0,318). Риск ошибок в диагностике был минимальным при инфильтративной форме туберкулёза лёгкого без распада (Р=0,06), тимоме (Р=0,067). При пневмонии, инфильтративном туберкулёзе лёгкого с распадом, центральном раке лёгкого, туберкулёме лёгкого, абсцессе лёгкого риск ошибок в диагностике колебался от 0,086 (абсцесс лёгкого) до 0,21 (центральный рак лёгкого). Вероятность диагностической ошибки при диагностике дермоидной кисты средостения была выше допустимого предела (1,0) и не определялась.
На основании полученных данных разработан алгоритм последовательности этапов работы, который включал:
- сбор врачом данных клинико-диагностических, рентгенологических данных (дескрипторы) обследуемых пациентов;
- сравнение наличия клинико-диагностических, рентгенологических данных (дескрипторов) обследуемых пациентов по набору и правильности их описания со стандартом;
- дополнение и (или) исправление клинико-диагностических, рентгенологических данных дескрипторов обследуемых пациентов по набору и правильности описания в сравнении с базой данных программы;
- внесение в экранную форму программы исходных данных обследуемых пациентов;
- при необходимости запрос графического изображения областей S, которое даёт возможность определить области: отсутствия диагностической ошибки, риска диагностической ошибки, наличия диагностической ошибки;
- оценку врачом коэффициента вероятности диагностической ошибки (таблица программы) изучаемой патологии (согласно расчётной величины) и сравнение его со значениями при других заболеваниях органов грудной полости;
- при определении области риска диагностической ошибки или наличия диагностической ошибки принятие решения о дополнительных исследованиях пациента.
Программа на основе (в файле MSExcel «AVO.xls») табличного процессора Excel с использованием программ VBA, предназначенная для прогнозирования вероятностей врачебных ошибок по 11 нозологиям, содержит данные о 1436 пациентах.
За период её применения полученные данные клинико-диагностических, рентгенологических дескрипторов проанализированы у 85 пациентов с заболеваниями органов грудной полости (основная группа) и 92 в группе сравнения, где программа не применялась.
Иллюстрацией может служить следующее клиническое наблюдение:
Больной, 55 лет, с длительностью заболевания в течение 8 мес.
В марте 2012 г. госпитализирован в ЦРБ с диагнозом пневмония, где проведены клинико-лабораторное и рентгенологическое обследования, антибактериальная терапия. Выписан с улучшением.
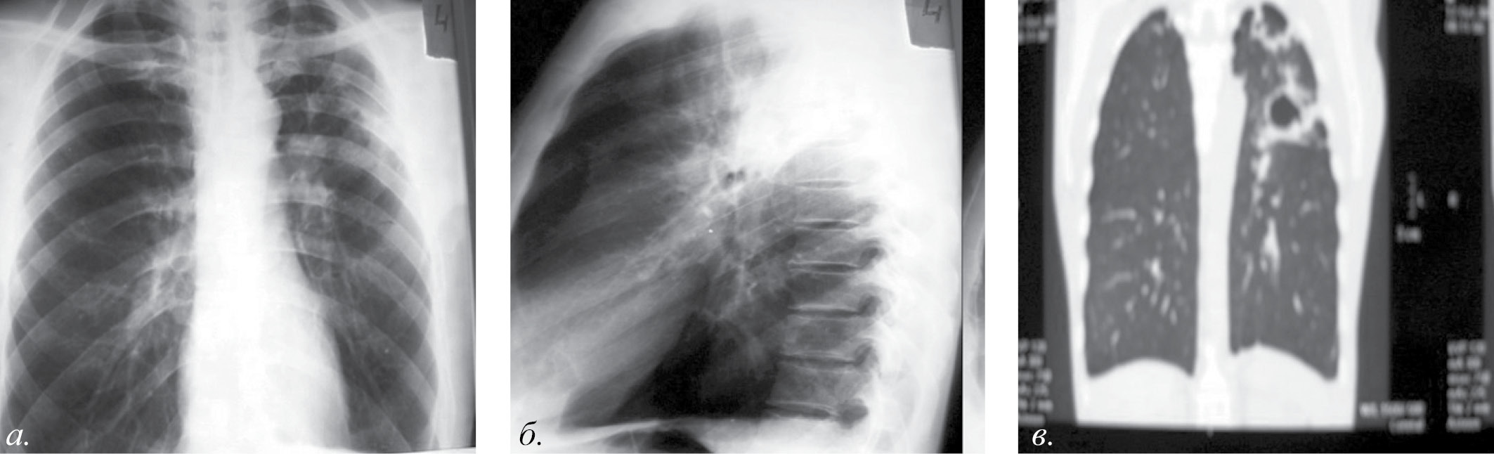
В сентябре при появлении кровохарканья больной повторно госпитализирован в ЦРБ с диагнозом пневмония (рис. 1 – а, б, в).
При анализе клинико-диагностических, рентгенологических дескрипторов обследуемого пациента по набору и качеству в ЦРБ из 41 (в соответствии с базой данных) описано 12, в специализированном хирургическом отделении – 32. При внесении в экранную форму программы исходных данных пациента 55 лет с центральным эндобронхиальным раком верхнедолевого бронха слева с переходом на главный бронх, метастазами в лимфатические узлы средостения получены вероятности диагностических ошибок для заболеваний (табл. 3).
Рис. 1. Центральный эндобронхиальный рак верхнедолевого бронха слева с переходом на главный бронх, метастазы в лимфатические узлы средостения (а – рентгенограмма органов грудной полости в прямой проекции; б – рентгенограмма в боковой проекции; в – МСКТ-изображение во фронтальной реконструкции)
Таблица 3. Вероятность диагностической ошибки для пациента 55 лет c центральным эндобронхиальным раком верхнедолевого бронха слева с переходом на главный бронх, метастазы в лимфатические узлы средостения
Заболевания | Вероятность диагностической ошибки |
Пневмония | 0,788 |
Инфильтративный туберкулёз с распадом | 0,856 |
Центральный рак лёгких | 0,116 |
Туберкулёма лёгкого | 0,501 |
Дермоидная киста средостения | недоступно |
Периферический рак лёгкого с распадом | 0,485 |
Инфильтративный туберкулёз лёгкого без распада | 0,627 |
Тимома | 0,623 |
Гиперплазия вилочковой железы | 0,451 |
Периферический рак лёгкого без распада | 0,543 |
Абсцесс лёгкого | 1,000 |
Вероятность диагностической ошибки для больного 55 лет была самой минимальной (0,116; 11,6%) при центральном раке лёгкого, при максимальной расчётной величине данной патологии 0,241.
При запросе графического изображения областей S (прогностической суммы) для больного проведено определение области, в которой, согласно введённым дескрипторам, находился пациент (рис. 2).
Рис. 2. Расположение прогностической суммы (*) для пациента, 55 лет, больного центральным эндобронхиальным раком верхнедолевого бронха слева с переходом на главный бронх, метастазы в лимфатические узлы средостения на фоне областей основной группы и группы сравнения (P – вероятность ошибки, S – прогностическая сумма)
Для данного пациента область S свидетельствовала об отсутствии диагностической ошибки, т. к. величина прогностической суммы составляет 0,81, что при расчёте соответствовало коэффициенту вероятности ошибки (Р) 0,116. Сравнение коэффициента вероятности ошибки при других изучаемых патологиях органов грудной полости (от 0,451 при гиперплазии вилочковой железы до 1,0 при абсцессе лёгкого) свидетельствовало о правильности поставленного пациенту диагноза. Через 9 дней больной переведён в специализированное хирургическое отделение, где ему установлен диагноз Центральный эндобронхиальный рак верхнедолевого бронха слева с переходом на главный бронх, метастазы в лимфатические узлы средостения, Т-3, Н-0, М-0, прорастание лёгочной артерии. Диагноз подтверждён цитологически (№ 19 118 от 16.10.12 г.), гистологически (№ 20387-96 от 31.10.12 г.) – плоскоклеточный рак. Больной прооперирован – расширенная пульмонэктомия слева.
В результате оценки эффективности работы с программой установлено, что в группе без применения программы правильный диагноз установлен своевременно у 71,7% пациентов с заболеваниями органов грудной полости. В группе с применением программы диагноз поставлен правильно у 91,8% пациентов.
Заключение
Разработанный алгоритм снижения риска ошибок в диагностике заболеваний органов грудной полости в течение 14 сут после обращения больных позволил повысить эффективность постановки правильного диагноза при инфильтративном туберкулёзе с распадом на 34,6% (р<0,001), при центральном раке лёгкого без распада – на 33,3% (р<0,001), при гиперплазии вилочковой железы – на 66,7% (р<0,001), при периферическом раке лёгкого без распада – на 32,0% (р<0,001) и улучшить диагностику, нацелить врача на адекватное обследование и снизить риск ошибки на 20,1%.
About the authors
N. Ya. Lukyanenko
Altai State Medical University
Author for correspondence.
Email: nik.lukyanenko.50@mail.ru
ORCID iD: 0000-0002-8703-1277
MD, PhD, DSc, Professor
Russian Federation, BarnaulYa. N. Shoikhet
Altai State Medical University
Email: nik.lukyanenko.50@mail.ru
ORCID iD: 0000-0002-5253-4325
Russian Federation, Barnaul
A. F. Lazarev
Altai State Medical University
Email: nik.lukyanenko.50@mail.ru
ORCID iD: 0000-0003-1080-5294
Russian Federation, Barnaul
V. A. Lubennikov
Altai regional cancer clinic
Email: nik.lukyanenko.50@mail.ru
Russian Federation, Barnaul
I. V. Vikhlyanov
Altai regional cancer clinic
Email: nik.lukyanenko.50@mail.ru
Russian Federation, Barnaul
References
- Abasheev I. M. Risk factors for tuberculosis in the pre-trial detention center. In: Abasheev I. M. 80th anniversary of the Central Research Institute of Tuberculosis RAMS: session materials. Moscow: TSNIIT RAMS, 2001: 92. (In Russian)
- Vlasov P.V. Radiation diagnosis of the organs of the chest cavity. 2nd ed. revised. and add. Moscow: Vidar-M, 2008; 11–167. (In Russian)
- Vysotsky A.G., Patskan I. I. Comparative evaluation of perfusion pulmonoscintigraphy data with the results of multislice computed tomography in the diagnosis of pulmonary pulmonary emphysema. Ukrain. journal chir. 2010; 1: 82–6. (In Russian)
- Erokhin, V.V. Actual problems of the organization of the fight against tuberculosis in Russia. In: Erokhin V.V. Materials scientific. session dedicated. The 85th anniversary of the Central Research Institute of Tuberculosis of the Russian Academy of Medical Sciences. Moscow: TSNIIT RAMS, 2006: 13–14. (In Russian)
- Zaridze, D. G. Epidemiology, mechanisms of carcinogenesis and cancer prevention. In: Zaridze D. G. Materials of the III Congress of Oncologists and Radiologists of the CIS. Minsk, 2004: 31–36. (In Russian)
- Lazarev A. F. Petrova V. D., Lukyanenko N. Ya. Formation of cancer risk groups: background Problems of clinical medicine. 2005; 1: 112–1C. L. 18. (In Russian)
- Lukyanenko N.Ya., Shoikhet Ya.N., Leonov S.L. The mathematical algorithm for the integrated assessment of descriptors of patients with infiltrative pulmonary tuberculosis. Medical imaging. 2011; 2: 52–55. (In Russian)
- Lukyanenko N.Ya., Shoikhet Ya.N., Leonov S.L., The mathematical algorithm for constructing an optimal standard for constructing descriptors in the differential diagnosis of diseases of the chest cavity. Clinical Medicine. 2012; 90(4): 23–25 . (In Russian)
- Lazarev A.F. On some risk factors for cancer incidence in the Altai Territory / Lazarev A.F., Ushakov A.A., Lazarev .S.A., Lukyanenko N.Ya. // Epidemiology and Infectious Diseases 2011; 6: 23–28.
- Merabishvili, V. B. Lung cancer statistics: incidence, mortality, survival rate / V. B. Merabishvili, O. T. Dyatchenko // Practical Oncology. 2000; 3: 6–8.
- Pavlov, Yu. V. Use of ultrasound for the diagnosis and treatment of surgical diseases of the lungs and pleura. Surgery. 2002; 4: 82–86. (In Russian)
- Perelman, M. I. Surgery of pulmonary tuberculosis. Problems of tuberculosis. 2000; 3: 27–32. (In Russian)
- Starikov, V.I., Trunov, G.V. Lung cancer . Kharkov, 2002. 212 p. (In Russian)
- Tyurin, I. E. Computer tomography of the chest cavity. St. Petersburg : LLC ELBI-SPb, 2003: 168–276. (In Russian)
- Tyulyandin S.A., Moiseenko V.M. Practical oncology: selected lectures. St. Petersburg: TOMM Center, 2004; 431–342. (In Russian)
- Chuchalin, A. G. Guide to pulmonology in children. Moscow; 2011. (In Russian)
- Chissov V.I., Starinsky V.V., Petrova G.V. Malignant neoplasms in Russia in 2002. Moscow: Antif; 2004 . 236 p. (In Russian)
- Shoikhet, Ya. N., Lazarev A. F., Ageev A. G. Lung cancer in the Altai Territory. Barnaul, 2006: 5–53. (In Russian)
- Shelestyuk P.I. et al. Clinical oncology: a training manual. 2nd ed., revised. and add. – Novosibirsk: Sibmedizdat NSMU, 2006; 430 p.
- Tan J., Pu J., Zheng B. et al. Computerized comprehensive data analysis of lung imaging database consortium (LIDC). J. Med. Phys. 2010; 37 (7): 3802–8.
- Pu J., Fuhrman C., Durick J., Leaderet J. et al. Computerized assessment of pulmonary fissure integrity using high resolution CT. Med. Phys. 2010; 37 (9): 4661–72.
Supplementary files




