A case of successful treatment of pancreatic cancer
- Authors: Ilyushin A.L.1, Ben Ammar A.M.1
-
Affiliations:
- OncoCare Clinic 308
- Issue: Vol 27, No 5 (2022)
- Pages: 243-250
- Section: Case Reports
- Submitted: 25.05.2023
- Accepted: 27.08.2023
- Published: 09.12.2022
- URL: https://rjonco.com/1028-9984/article/view/456482
- DOI: https://doi.org/10.17816/onco456482
- ID: 456482
Cite item
Abstract
BACKGROUND: Treatment of pancreatic cancer presents significant difficulties due to the aggressive course of the disease and the extremely low sensitivity of the tumor to standard chemotherapy. In recent years, researchers have increasingly considered the possibility of using immunotherapeutic drugs capable of potentiating the effectiveness of cytostatic therapy as part of antitumor treatment of such patients. They draw particular attention to the combination of interferon-γ and recombinant tumor necrosis factor thymosin-α-1, capable of activating an antitumor immune response, stimulating apoptosis of tumor cells, having a direct antiproliferative effect, causing destruction of neoplasm vessels, stimulating necrosis of tumor tissue.
DESCRIPTION: The patient with stage IV pancreatic head cancer underwent 13 courses of FOLFIRINOX therapy. Treatment was terminated because of increasing toxicity. According to computed tomography, disease progression was detected. The patient referred to cytokinogenetic therapy. After completion of the fourth treatment course, the partial response was seen on computed tomography scan. The TNFα level and the Karnofsky score both grew during the therapy.
CONCLUSION: Cytokinogenetic therapy made it possible to improve the patient’s quality of life, to stabilize his general condition and functional activity, to achieve partial regression of the tumor, and to increase the chances of survival.
Full Text
АКТУАЛЬНОСТЬ
Рак поджелудочной железы (РПЖ) — одна из наиболее агрессивно протекающих форм злокачественных опухолей с высоким метастатическим потенциалом. В последние годы в промышленно развитых странах наблюдается рост показателей заболеваемости и смертности от РПЖ. По прогнозам ряда авторов [1], к 2030 году это заболевание может стать второй ведущей причиной смерти от онкопатологии. Известно, что к моменту установления диагноза до 40% больных имеют местнораспространённый РПЖ, почти у трети обследованных пациентов выявляются отдалённые метастазы [2]. У 80–85% больных со впервые выявленным РПЖ невозможно выполнить радикальное хирургическое вмешательство в связи с большой распространённостью опухолевого процесса [3]. Даже в тех случаях, когда удаётся провести радикальную операцию, медиана продолжительности жизни пациентов обычно не превышает 20 месяцев, а 5-летняя выживаемость — 11%. Чаще всего РПЖ развивается в головке поджелудочной железы [4]. По мнению некоторых исследователей, любая радикальная операция, выполненная при этой локализации РПЖ носит циторедуктивный характер [5].
Проведение в послеоперационном периоде лекарственной терапии не отодвигает сроки прогрессирования заболевания, но средняя продолжительность жизни увеличивается с 20,5 месяца до 29,9 месяца у больных, получавших полихимиотерапию (ПХТ) [3]. Применение современных комбинаций цитостатиков, включающих Паклитаксел, способствует улучшению показателей общей выживаемости у неоперабельных пациентов по сравнению с лечением схемами, не содержащими Паклитаксел (6,94 месяца против 3,75 месяца соответственно), однако эффективность терапии остаётся достаточно низкой [6].
В последние годы стали появляться исследования о возможности дополнения схем цитостатической терапии иммунологическими препаратами. Результаты таких исследований в экспериментах и в клинике свидетельствуют о том, что применение цитокинов — в частности, интерферона-γ (ИФН-γ) — дозозависимо потенцирует эффективность цитостатических препаратов и ингибиторов PD-1/PDL-1 [7–9]. По-видимому, применение комбинированной терапии с использованием ИФН-γ и может повысить эффективность лечения опухолей, малочувствительных к стандартным схемам ПХТ, в том числе при рецидивах заболевания и большой распространённости опухолевого процесса. Кроме того, представляется целесообразным использование такого подхода к лечению пациентов с симптомокомплексом усталости от химиотерапии, тяжёлой сопутствующей патологией, не позволяющей в полном объёме провести запланированное лечение, или при отказе больного от применения цитостатиков. Эффективность использования цитокиногенетической терапии (ЦГТ) связана со свойствами ИФН-γ и рекомбинантного фактора некроза опухолей тимозина-α1 (ФНТα1) активировать противоопухолевый иммунный ответ [10], оказывать прямое антипролиферативное действие на малигнизированные клетки [11], индуцировать их апоптоз [12], вызывать деструкцию сосудов новообразования, стимулировать некроз опухолевой ткани [13].
ОПИСАНИЕ СЛУЧАЯ
Пациент Н., 63 года, обратился в клинику в октябре 2022 г. с диагнозом «карцинома головки поджелудочной железы, Т3N0M1, осложнённая опухолевым блоком общего желчного протока, билиарной гипертензией, механической желтухой, холангитом, хронической дуоденальной непроходимостью».
Анамнез
Март 2022 г. — Пациент впервые отметил появление желтушности кожных покровов. В связи с нарастанием желтушности обратился в поликлинику по месту жительства, в состоянии средней степени тяжести был экстренно госпитализирован в стационар для обследования и лечения с диагнозом «механическая желтуха».
10.03.2022 г. — При проведении мультиспиральной компьютерной томографии органов брюшной полости была выявлена картина объёмного образования головки поджелудочной железы (43×49 мм), билиарной гипертензии, увеличения мезентериальных лимфоузлов (наибольший лимфоузел был размером 21×10 мм).
17.03.2022 г. — Пациенту была выполнена лапаротомия с гастроэнтеростомией и гепатикоеюностомией по Ру. Выполнение радикальной операции оказалось невозможно вследствие вовлечения в опухолевый процесс верхний брыжеечных артерии и вены. Гистологически (№6449-53 от 27.03.2022) имела место цистаденокарцинома поджелудочной железы.
21.03.2022 г. — В послеоперационном периоде у пациента была выявлена острая язва гастроэнтероанастомоза, осложнившаяся кровотечением.
28.04.2022 г. — Выполнено тестирование на наличие мутаций BRCA1/2. Результат исследования отрицательный. Пациенту была назначена ПХТ по схеме FOLFIRINOX. Проведено 5 курсов лечения.
05.07.2022 г. — По данным мультиспиральной компьютерной томографии, сохраняется образование головки поджелудочной железы (44×44 мм) с вовлечением в процесс верхних брыжеечных артерии и вены. Состояние после выполнения лапаротомии с гастроэнтеростомией и гепатикоеюностомии по Ру: аэрохолия, гепатомегалия, гепатоз, дилатация портальной вены, увеличение мезентериальных лимфоузлов (наибольший лимфоузел размером 21×12 мм). Достигнута стабилизация опухолевого процесса, по сравнению с 10.03.2023 г. — уменьшение образования в головке поджелудочной железы на 10,2%.
04.08.2022 г. — Решением онкоконсилиума решено продолжить проведение ПХТ по схеме FOLFIRINOX до 9 курсов.
04.10.2022 г. — При повторном проведении онкоконсилиума решено продолжить ПХТ по схеме FOLFIRINOX до 13 курсов лечения. Весь период времени проведения ПХТ состояние пациента оценивалось как средней степени тяжести, сохранялась желтушность кожных покровов.
В связи с плохой переносимостью лечения, появлением симптомокомплекса усталости от химиотерапии и отсутствием выраженной динамики со стороны опухолевого процесса, решением онкоконсилиума лечение было остановлено в ноябре 2022 г. Пациент отпущен под наблюдение онколога по месту жительства.
Обследование
На момент начала лечения пациент жаловался на слабость, отсутствие аппетита, постоянную тошноту, потерю веса. Объективно состояние средней степени тяжести. Индекс Карновского у пациента не превышал 70%. Кожные покровы и видимые слизистые — желтушные, повышенной сухости. Периферические отёки не определяются. Аускультативно дыхание везикулярное, прослушивается над всей поверхностью лёгких. Хрипы, крепитация, шум плевры отсутствуют. Тоны сердца приглушены, ритмичны. Язык суховат, обложен белым налётом. Живот не вздут, симметричен, участвует в акте дыхания, при пальпации мягкий, безболезненный во всех отделах, перистальтика выслушивается. Печень увеличена, +1,5 см по срединно-ключичной линии из-под края рёберной дуги, селезёнка не увеличена. Мочеиспускание без особенностей. Симптом поколачивания отрицательный с обеих сторон.
Лабораторная и инструментальная диагностика
31.10.2022 г. — Мутация гена TNF308 не обнаружена.
06.11.2022 г. — Концентрация фактора некроза опухоли альфа (ФНОα) составила 1,5 пг/мл.
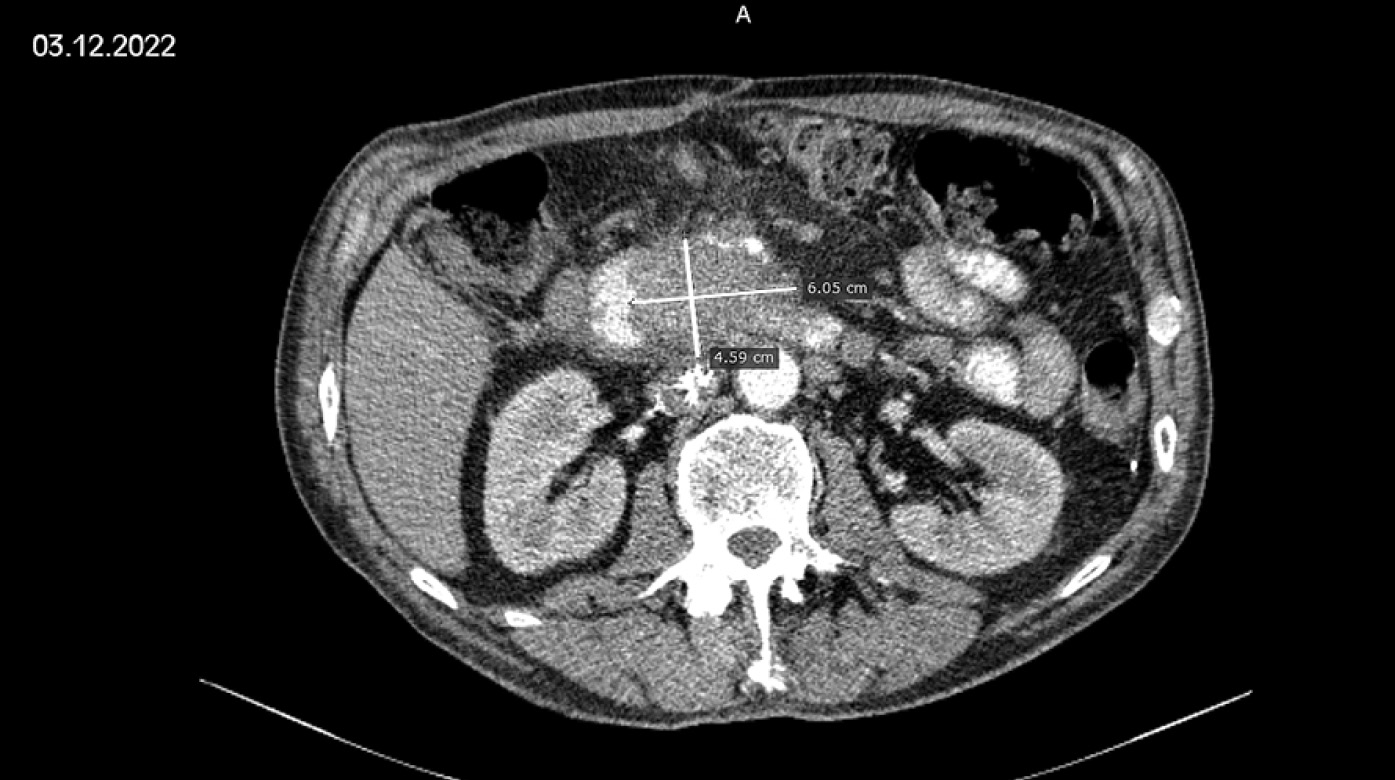
03.12.2022 г. — Компьютерная томография (КТ) показала увеличение образования головки поджелудочной железы (60,5×45,9 мм) на 37,5% по сравнению с проведённым ранее исследованием (05.07.2022 г.), установлена прогрессия заболевания (рис. 1).
Рис. 1. Компьютерная томография от 03.12.2022 г. (до начала цитокиногенетической терапии). Образование головки поджелудочной железы после 13 курсов полихимиотерапии по схеме FOLFIRINOX.
Fig. 1. Computed tomography from 03.12.2022 (before the start of cytokinogenetic therapy). Formation of the head of the pancreas after 13 courses of polychemotherapy according to the FOLFIRINOX regimen.
Окружающая образование парапанкреатическая клетчатка инфильтрирована; инфильтрация распространяется на область брыжейки тонкой кишки. Верхняя брыжеечная и гастродуоденальная артерии проходят в толще образования, сужены. Верхняя брыжеечная вена на фоне образования не прослеживается (вовлечена). Воротная вена прилежит к верхнему полюсу образования, граница между ними не прослеживается. Определяются увеличенные мезентериальные (21×9 мм), парааортальные (15×18 мм), межаортальные (16×17 мм) и паракавальные (16×18 мм) лимфатические узлы.
Заключение: опухоль головки поджелудочной железы с признаками распространения на окружающую клетчатку и вовлечения 12-перстной кишки, верхних брыжеечных артерии и вены; аэрохолия; забрюшинная лимфоаденопатия. По сравнению с исследованием от 05.07.2022 г. отмечается прогрессия заболевания, сумма наибольших/наименьших диаметров таргетных очагов (СНД) — 107,5 мм.
Терапия
20.11.2022 г. — Решением междисциплинарного консилиума клиники пациенту была назначена цитокиногенетическая терапия ИФН-γ в сочетании с гибридным препаратом рекомбинантного фактора некроза опухолей тимозина-α1 (под контролем уровня ФНОα и лучевых методов диагностики):
- ИФН-γ рекомбинантный — в дозе 500 000 МЕ через день подкожно, 10 введений;
- ФНТ-α1 рекомбинантный — в дозе 100 000 ЕД подкожно через день, 10 введений.
Интервалы между курсами лечения — 10 дней.
Контроль терапии проводился регулярно: КТ-исследо-вание выполнялось каждые 12 недель ±3 дня; определение индекса Карновского и контроль ФНОα крови — каждые 30 дней (табл. 1).
Таблица 1. Изменение показателей, характеризующих состояние пациента, в процессе лечения
Table 1. Changes in indicators characterizing the patient’s condition during treatment
Дата осмотра | ФНОα, пг/мл | Индекс Карновского, % | Результаты КТ- исследования, СНД, мм | Комментарии |
03.12.2022 | 1,5 | 60 | 107,5 | До начала ЦГТ |
18.12.2022 | 4,1 | 80 | – | После 1-го курса ЦГТ |
08.01.2023 | 3,9 | 80 | – | После 2-го курса ЦГТ |
27.02.2023 | 109 | 90 | 70 | После 3-го курса ЦГТ |
05.03.2023 | 50,20 | 90 | – | После 4-го курса ЦГТ |
Примечание: СНД — сумма наибольших/наименьших диаметров таргетных очагов.
Note: SND are the largest/smallest diameters of targeted lesions.
Забор крови для выполнения исследования ФНОα осуществляли натощак, в утренние часы (до 11:00), за 1 день до начала ЦГТ. По окончании каждого последующего курса лечения, на следующий день после последней инъекции, исследование повторялось. Пациента предупреждали о необходимости воздержаться от курения в течение 30 минут до сдачи крови на анализ. Для определения концентрации ФНОα в крови использовали метод иммуноферментного анализа.
На фоне лечения было отмечено значительное увеличение уровня ФНОα к окончанию 4-го курса терапии (см. табл. 1), что, по-видимому, отражает активацию противоопухолевого иммунитета. Одновременно было отмечено улучшение общего состояния пациента.
27.02.2023 г. — При осмотре пациент сообщил, что слабость и тошнота не беспокоят, аппетит нормализовался, вес стабилен. Объективно состояние удовлетворительное. Индекс Карновского повысился в 1,5 раза. Кожные покровы и видимые слизистые бледные, обычной влажности. Периферические отёки не определяются. Аускультативно дыхание везикулярное, прослушивается над всей поверхностью лёгких. Хрипы, крепитация, шум плевры отсутствуют. Тоны сердца приглушены, ритмичны. Язык влажный, чистый. Живот не вздут, симметричен, участвует в акте дыхания, при пальпации мягкий, безболезненный во всех отделах, перистальтика выслушивается. Печень и селезёнка не увеличены. Мочеиспускание без особенностей. Симптом поколачивания отрицательный с обеих сторон.
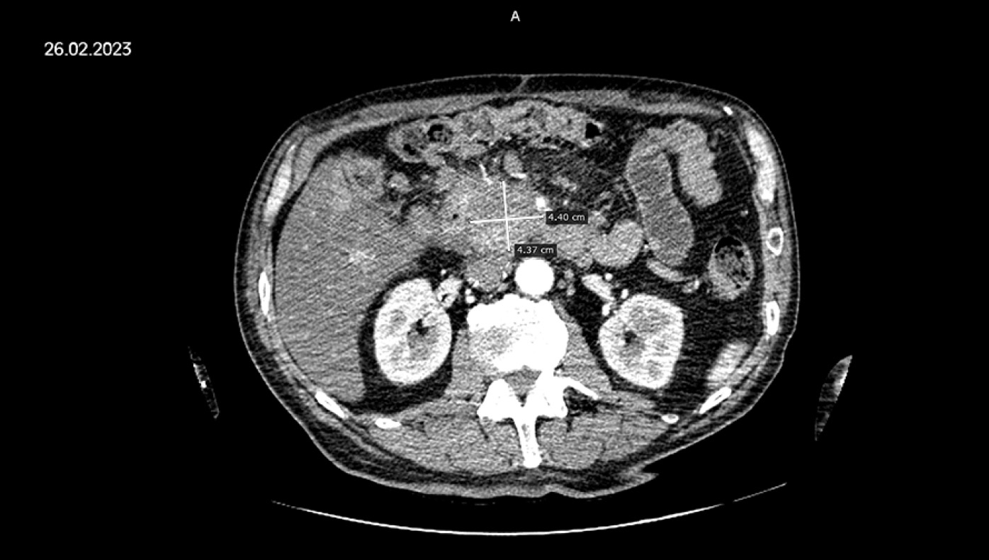
По данным контрольной инструментальной диагностики от 26.02.2023 г., в головке поджелудочной железы сохраняется образование размером 44,0×43,7 мм, прилегающее к петле 12-перстной кишки, воротной вене, чревному стволу (рис. 2). Верхняя брыжеечная артерия резко сужена, полностью в строме образования, верхняя брыжеечная вена не визуализируется (инвазирована).
Рис. 2. Компьютерная томография от 26.02.2023 г. Образование головки поджелудочной железы после трёх курсов цитокиногенетической терапии.
Fig. 2. Computed tomography from 26.02.2023. Formation of the head of the pancreas after three courses of cytokinogenetic therapy.
Сохраняются увеличенные мезентериальные лимфатические узлы (20×8 мм), тогда как ранее выявленные парааортальные (10×12 мм), межаортальные (8×9 мм) и паракавальные (8×10 мм) лимфатические узлы частично регрессировали. При КТ-оценке результата терапии по критериям RECIST 1.1 общий ответ частичный, СНД 70 мм (-34,9% СНД от 03.12.2022 г.).
В настоящее время пациент получает 5-й курс цитогенетической терапии в прежнем дозовом режиме.
ОБСУЖДЕНИЕ
До настоящего момента остаются малоизученными характер и механизмы нарушений цитокинового статуса и опосредованного ФНОα противоопухолевого иммунитета при различных локализациях онкологической патологии, в частности, при злокачественном поражении поджелудочной железы. Наши собственные данные свидетельствуют о том, что добавление иммунотропных средств из группы цитокинов к стандартной противоопухолевой терапии может повысить вероятность объективного ответа на ПХТ и улучшить общее состояние пациента.
Под наблюдением находились 24 пациента с гистологически подтверждённой карциномой поджелудочной железы. Среди пациентов было 15 женщин и 9 мужчин в возрасте 54–83 года (медиана 69±4 года). На момент обращения в клинику в проведении стандартного противоопухолевого лечения по месту жительства было отказано 24% пациентов, им была рекомендована симптоматическая терапия. В остальных случаях пациенты получали цитостатические препараты в 1-й (47%) или во 2-й (53%) линии терапии в связи с прогрессией опухолевого процесса. Только в 12% наблюдений было выполнено оперативное вмешательство и назначена ПХТ в адъювантном режиме, в остальных случаях медикаментозное лечение проводилось по поводу местнораспространённого или метастатического процесса (29% и 70% наблюдений соответственно). Опухоли преимущественно были локализованы в головке поджелудочной железы (35% случаев), реже — в теле железы (29%), ещё реже — в хвосте (12%). У 24% больных новообразование одновременно распространялось на головку и тело поджелудочной железы. При обращении в клинику решением междисциплинарного консилиума пациентам была назначена ЦГТ.
Все больные, включённые в данное наблюдение, представили информированное согласие, одобренное Независимым этическим комитетом. Препараты были назначены вне инструкции к применению в соответствии с Распоряжением Правительства РФ № 1180-р от 16.05.2022 г. («Перечень заболеваний, при которых допускается применение лекарственного препарата вне инструкции по его применению, в том числе у детей») и Приказом Минздравсоцразвития Российской Федерации от 09.08.2005 г. № 494 («О порядке применения лекарственных средств у больных по жизненным показаниям»), а также в соответствии с ранее опубликованными данными об эффективности применения ЦГТ в онкологической клинике [14, 15].
Перед началом лечения у всех пациентов была оценена концентрация ФНОα в крови и определён статус Карновского. ФНОα — сывороточный фактор c уникальной способностью опосредовать геморрагический некроз некоторых опухолей, особенно в сочетании с ИФН-γ. Важным фармакологическим свойством ФНОα является цитостатический и цитолитический эффект широкого спектра в отношении трансформированных клеточных линий человека in vitro и различных опухолей in vivo [16].
Статистическая обработка результатов осуществлялась в операционной системе MacOS Monterey с использованием программ RStudio Version 1.3.1093 (RStudio public benefit corporation, США) и R версии 4.1.0 GUI 1.76 (R Foundation for Statistical Computing, Австрия). Для проверки гипотезы о соответствии распределения полученных вариантов нормальному распределению применяли критерий Шапиро–Уилка. Для нормально распределённых количественных данных определяли среднее арифметическое M и стандартное отклонение SD, в случаях ненормального распределения данных — медиану и интерквартильный размах Me (25–75 перцентиль). Переменные сравнивались с использованием двустороннего t-критерия Стьюдента, либо U-критерия Манна–Уитни. Различия считались статистически значимыми при р ≤0,05.
Был отмечен статистически значимый рост показателя ФНОα в процессе лечения с 1,5 (0–4,9) пг/мл до 51,2 (4,6–65,95) пг/мл (р=0,0005391). Одновременно с этим у пациентов было выявлено клинически значимое повышение индекса Карновского: с 75,0% (55–75%) до 100,0±5,0% к концу 3-го курса терапии (р=0,0007167). Пациенты отмечали улучшение переносимости базового противоопухолевого лечения. Побочных эффектов при терапии цитокиногенетическими препаратами не наблюдалось. Выявлено наличие средней положительной корреляционной связи (r=0,57, р=0,0004) между концентрацией ФНОα в крови больных и величиной индекса Карновского, указывающее, что повышение содержания ФНОα сопровождается возрастанием функциональной активности пациентов.
В настоящее время 10 пациентам проведено 3 курса ЦГТ. По данным КТ, в соответствии с критериями RECIST 1.1, в одном случае достигнут частичный ответ, и у 9 пациентов — стабилизация опухолевого процесса. Стоит отметить, что половина пациентов получали ЦГТ без одновременного применения цитостатических препаратов. В остальных случаях пациенты ещё не прошли трёх курсов лечения, что не позволяет окончательно оценивать достигнутый эффект с помощью методов лучевой диагностики.
ЗАКЛЮЧЕНИЕ
Проведение цитокиногенетической терапии позволило улучшить качество жизни пациента и стабилизировать его общее состояние. По данным лучевой диагностики зарегистрирована частичная регрессия опухолевого процесса. Общая продолжительность жизни пациента с момента установления диагноза заболевания составила 13+ месяцев, с момента начала цитокиногенетической терапии в монорежиме — 5+ месяцев.
ДОПОЛНИТЕЛЬНО
Источник финансирования. Авторы заявляют об отсутствии внешнего финансирования при проведении исследования. Рукопись подготовлена на личные средства авторского коллектива.
Конфликт интересов. Авторы декларируют отсутствие явных и потенциальных конфликтов интересов, связанных с публикацией настоящей статьи.
Вклад авторов. Все авторы подтверждают соответствие своего авторства международным критериям ICMJE (все авторы внесли существенный вклад в разработку концепции, проведение исследования и подготовку статьи, прочли и одобрили финальную версию перед публикацией). Наибольший вклад распределён следующим образом: концепция статьи — А.Л. Илюшин; сбор и описание материала — А.М. Бен Аммар, А.Л. Илюшин; обзор литературы — А.М. Бен Аммар, А.Л. Илюшин; написание текста статьи — А.М. Бен Аммар; редактирование — А.Л. Илюшин.
Информированное согласие на публикацию. От пациента получено письменное информированное добровольное согласие на публикацию описания клинического случая, медицинских данных (результатов обследования, лечения и наблюдения) и изображений в медицинском журнале, включая его электронную версию (дата подписания 15.01.2023 г.)
ADDITIONAL INFORMATION
Funding source. This article was not supported by any external sources of funding.
Competing interests. The authors declare that they have no competing interests.
Authors’ contribution. All authors confirm the compliance of their authorship, according to international ICMJE criteria (all authors made a substantial contribution to the conception of the work, acquisition, analysis, interpretation of data for the work, drafting and revising the work, final approval of the version to be published, and agree to be accountable for all aspects of the work). The concept of the article — Ilyushin AL; collection and description of the material — Ben Ammar AM, Ilyushin AL; Literature review — Ilyushin AL, Ben Ammar AM; writing the text of the article — Ben Ammar AM; editing — Ilyushin AL.
Informed consent.
The patient signed the informed consent form for the publication of the clinical case description, medical data (results of examination, treatment and observation) and images in Russian Journal of Oncology, including its electronic version (signed 15.01.2023).
About the authors
Andrey L. Ilyushin
OncoCare Clinic 308
Email: onkolog_77@mail.ru
ORCID iD: 0009-0000-5065-4342
MD, Cand. Sci. (Med.)
Russian Federation, 4A Fadeeva street, 125047 MoscowAmir M. Ben Ammar
OncoCare Clinic 308
Author for correspondence.
Email: amirbenammar94095@gmail.com
ORCID iD: 0000-0001-9239-2539
mammologist, oncologist, surgeon
Russian Federation, 4A Fadeeva street, 125047 MoscowReferences
- Siegel RL, Miller KD, Jemal A. Cancer statistics, 2016. CA: A Cancer Journal for Clinicians. 2016;66(1):7–30. doi: 10.3322/caac.21332
- Okeanov AE, Moiseev PI, Levin LF, et al. Cancer in Belarus: figures and facts. Analysis of data from the Belarusian Cancer Registry for 2009-2018. Sukonko OG, editor. Minsk: National Library of Belarus, 2019. (In Russ)
- Shchastny AT, Lud NG, Sobol VN, et al. The analysis of the patients’ survival rate in the comprehensive treatment for cancer of the head of the pancreas. Vestnik of Vitebsk State Medical University. 2020;5:66–71. (In Russ) doi: 10.22263/2312-4156.2020.5.66
- Foltz EE. Pancreatic cancer. Bulletin of Medical Internet Conferences. 2019;9(3):146–151. (In Russ)
- Shmak AI, Reutovich MJu, Yakoubovich IA. Results of complex treatment of resectable pancreatic head cancer. Oncological Journal. 2014;8(3):60–65. (In Russ)
- Imaoka H, Ikeda M, Maehara K, et al. Clinical outcomes of chemotherapy in patients with undifferentiated carcinoma of the pancreas: a retrospective multicenter cohort study. BMC Cancer. 2020;20(1). doi: 10.1186/s12885-020-07462-4
- Korentzelos D, Wells A, Clark AM. Interferon-γ Increases Sensitivity to Chemotherapy and Provides Immunotherapy Targets in Models of Metastatic Castration-Resistant Prostate Cancer. Scientific Reports. 2022;12(1). doi: 10.1038/s41598-022-10724-9
- Zhang M, Huang L, Ding G, et al. Interferon gamma inhibits CXCL8–CXCR2 axis mediated tumor-associated macrophages tumor trafficking and enhances anti-PD1 efficacy in pancreatic cancer. Journal for ImmunoTherapy of Cancer. 2020;8(1):e000308. doi: 10.1136/jitc-2019-000308
- Ardzha AYu, Nepomnyashchaya EM, Zlatnik EYu, et al. Characteristics of expression of some immunohistochemical markers in patients with stage IIIC-IV ovarian cancer as a criterion of effectiveness of chemoimmunotherapy. Nauka Molodykh (Eruditio Juvenium). 2020;8(4):582–590. (In Russ) doi: 10.23888/HMJ202084582-590
- Jorgovanovic D, Song M, Wang L, Zhang Y. Roles of IFN-γ in tumor progression and regression: a review. Biomarker Research. 2020;8(1). doi: 10.1186/s40364-020-00228-x
- Wang L, Wang Y, Song Z, et al. Deficiency of Interferon-Gamma or Its Receptor Promotes Colorectal Cancer Development. Journal of Interferon & Cytokine Research. 2015;35(4):273–280. doi: 10.1089/jir.2014.0132
- Wang QS, Shen SQ, Sun HW, et al. Interferon-gamma induces autophagy-associated apoptosis through in-duction of cPLA2-dependent mitochondrial ROS generation in colorectal cancer cells. Biochemical and Biophysical Research Communications. 2018;498(4):1058–1065. doi: 10.1016/j.bbrc.2018.03.118
- Kammertoens T, Friese C, Arina A, et al. Tumor ischaemia by interferon-γ resembles physiological blood vessel regression. Nature. 2017;545(7652):98–102. doi: 10.1038/nature22311
- Kadagidze ZG, Slavina EG, Chertkova AI. Interferon-gamma in oncology. Farmateka. 2013;17(270):40–44. (In Russ)
- Bryuzgin VV, Platinskij LV. The role of cytokines in the chemotherapy of malignant tumors: the practice of cytokines Refnot® and Ingaron® administration in advanced cancer with multiple metastases. Journal of Modern Oncology. 2014;16(1):70–75. (In Russ)
- Carswell EA, Old LJ, Kassel RL, et al. An endotoxin-induced serum factor that causes necrosis of tumors. Proceedings of the National Academy of Sciences. 1975;72(9):3666–
Supplementary files




