Optimization of algorithms for in vivo preclinical screening of compounds with an alleged antitumor effect
- Authors: Dodokhova M.A.1, Voronova O.V.1,2, Alkhusein-Kulyaginova M.S.1, Gulyan M.V.1, Kotieva E.M.1, Korobka S.Y.1, Kotieva V.M.1, Karapetyan K.K.1, Vlasova N.D.1, Shpakovsky D.B.3, Milaeva E.R.3, Kotieva I.M.1
-
Affiliations:
- Rostov State Medical University
- Rostov-on-Don Clinical Hospital «Russian Railways-Medicine»
- Lomonosov Moscow State University
- Issue: Vol 28, No 2 (2023)
- Pages: 119-135
- Section: Original Study Articles
- Submitted: 30.06.2023
- Accepted: 27.09.2023
- Published: 22.12.2023
- URL: https://rjonco.com/1028-9984/article/view/501804
- DOI: https://doi.org/10.17816/onco501804
- ID: 501804
Cite item
Abstract
BACKGROUND: Despite a large number of publications on preclinical studies of compounds with a suspected antitumor effect on in silico and in vitro models, in vivo studies are the most informative. The experimental part of the work on laboratory animals has its own peculiarities in the field of preclinical research: a large number of animals and analog compounds in the series, two- and three-phase staging, and, consequently, high cost and labor-intensive execution.
AIM: Optimization of algorithms for screening preclinical in vivo studies of compounds with a suspected antitumor effect.
MATERIALS AND METHODS: To form the algorithm in the preclinical study, primary data was obtained using standard pharmacological (determination of the toxicity class index, antitumor and antimetastatic activity, inhibition of tumor growth by weight, average life expectancy of animals) and morphological (autopsy, micropreparations with hematoxylin and eosin staining, as well as immunohistochemical study using monoclonal antibodies) methods with the selection of leading compounds for in-depth study with a description of the mechanism of pharmacological activity.
RESULTS: Based on a series of comparative experiments, the following algorithm of preclinical in vivo study for newly synthesized compounds with an alleged antitumor effect has been tested.
Stage 1. Determination of the toxicity class with a single intragastric administration to Wistar rats according to the Organization for Economic Co-operation and Development 420 protocol and selection of candidates for antitumor drugs according to the principle of the greatest safety of use.
Stage 2. Determination of the presence/absence of pharmacological activity of the tested compounds. Compounds of toxicity classes IV and V (according to the Globally Harmonized System of Hazard Classification and Labeling of Chemical Products) in a wide range of doses (doses are selected depending on the toxicity class) are examined for pharmacological activity before the natural death of tumor-bearing animals with the identification of leader substances, in-depth study of which is appropriate. The selection of promising substances and total doses for administration at the next stage is determined by the life expectancy of tumor-bearing animals.
Stage 3. Determination of indicators of antitumor and antimetastatic activity of leader substances with a fixed euthanasia period for all tumor-bearing animals and determination of possible mechanisms for the implementation of the therapeutic effect using immunohistochemical analysis.
Stage 4. To study the effect of the tested compounds on the growth rates of the primary tumor node and metastatic foci at different stages of the development of the tumor process, when administered in different modes, as part of combined and monochemotherapy, with mandatory clarification of the mechanisms for the implementation of antitumor and antimetastatic activity using biochemical and immunohistochemical techniques.
Stage 5. The study of the most promising compounds according to the guidelines for preclinical safety studies for the purpose of clinical trials and registration of medicines (the document was approved by the decision of the Board of the Eurasian Economic Commission of November 26, 2019, N 202): «Toxicity studies with repeated (multiple) administration of the drug, preclinical studies conducted in order to justify the conduct of exploratory clinical studies, studies of local tolerability of the drug, studies of genotoxicity of the drug, carcinogenicity of the drug, etc.»
CONCLUSIONS: The step-by-step exclusion of the tested compounds from the line of similarly-structured substances described by us will increase the efficiency of selecting promising candidates for antitumor drugs and reduce the cost of conducting preclinical studies of compounds with an alleged antitumor effect.
Full Text
ОБОСНОВАНИЕ
Несмотря на то, что большие усилия были направлены на терапевтическое лечение злокачественных новообразований, они по-прежнему остаются основной причиной смертности в мире [1]. Количественно измеримый вклад в снижение этого интегрального показателя принесли современные противоопухолевые препараты [2]. Тем не менее их клиническая эффективность носит временный характер из-за токсичности, неожиданной резистентности и отсутствия селективности [1]. В настоящее время в качестве перспективных кандидатов в противоопухолевые лекарственные средства (ЛС) широко исследуются элементоорганические соединения [3]. Вероятность разработки на основе данной группы соединений инновационных ЛС для применения в онкологии значительно выросла благодаря возможности направленного синтеза и тщательному дизайну библиотек скрининга [4].
Доклинические исследования — неотъемлемый элемент процесса создания многих ЛС, их результаты напрямую влияют на возможность дальнейшей клинической разработки препарата, определяют её стратегию и тактику [5]. Несмотря на большое количество публикаций о доклинических исследованиях соединений с предполагаемым противоопухолевым действием (ППД) на моделях in silico и in vitro, наиболее информативными являются исследования in vivo. Однако экспериментальная часть работы на лабораторных животных имеет свои особенности в области доклинических исследований: большое количество животных и соединений-аналогов в серии, двух- и трёхфазная этапность проведения — из всего этого следует высокая стоимость и трудозатратность исполнения.
Одна из важных составляющих экспериментальной разработки новых противоопухолевых субстанций — методология отбора для обнаружения противоопухолевой активности [6], которая обеспечит последующее внедрение научных разработок в фармацевтическую отрасль [7]. Наиболее высокая доля молекул-кандидатов отсеивается на ранних этапах исследования (скрининг), в ходе которых получают предварительную информацию о токсичности и эффективности новых соединений [8]. В этой связи особую актуальность имеет вопрос разработки общих алгоритмов выбора доз и определения необходимых объёмов исследования, а также более широкое использование иммуногистохимических биомаркёров в доклинических исследованиях. Это позволит исключить дальнейшие исследования не перспективных для фармацевтической области соединений и увеличит эффективность отбора [9].
Цель. Оптимизация алгоритмов скринингового (этапы 1–3) доклинического исследования in vivo элементоорганических соединений с ППД.
МЕТОДЫ
Дизайн исследования
Простое, проспективное, интервенционное (экспериментальное), контролируемое, слепое и рандомизированное исследование.
Критерии соответствия
Для формирования алгоритма описанного доклинического скрининга использовались первичные данные, полученные (с применением приёмов и методов, различных на каждом этапе изучения) в ходе разработки нового класса гибридных оловоорганических соединений в качестве перспективных кандидатов в противоопухолевые ЛС.
Условия проведения
Все тестируемые оловоорганические соединения были получены по известным методикам [10, 11] на кафедре органической химии и тонкого органического синтеза химического факультета Федерального государственного бюджетного образовательного учреждения высшего образования «Московский государственный университет имени М.В. Ломоносова» под руководством заведующего кафедрой, доктора химических наук, профессора Милаевой Е.Р. Они были наработаны в количествах, необходимых для проведения всего цикла экспериментальной работы. Строение всех соединений подтверждено сравнением температур плавления исходных веществ, а чистота доказана данными элементного анализа и спектроскопии ядерного магнитного резонанса (1Н и 13С).
Органические производные олова являются кристаллическими веществами, устойчивыми на воздухе. Исследуемые вещества нерастворимы в воде, поэтому для введения животным исходные соединения суспензировали в 1% растворе желатина. Навески рассчитывали индивидуально в зависимости от массы тела животного (мг/кг).
Исследование было произведено на самках двух видов животных: крыс Wistar и мышей линии C57Bl/6. Животные были получены из разведения Федерального государственного бюджетного учреждения «Питомник лабораторных животных “Рапполово”» при Национальном исследовательском центре «Курчатовский институт».
После окончания срока карантинного изолирования (14 суток) животные были осмотрены с целью выявления внешних признаков заболеваний. Здоровые животные были стандартизированы по полу, возрасту и весу, и затем — рандомизированы с помощью таблицы случайных чисел. Последовательность случайных чисел была сгенерирована программой, опубликованной в открытом доступе: https://www.randomizer.org. Животные, не соответствующие критериям, были исключены из исследования.
1-й этап
Цель этапа — определение класса токсичности соединений и отбор кандидатов в противоопухолевые ЛС по принципу наибольшей безопасности применения.
Класс токсичности определяли при однократном внутрижелудочном введении исследуемых веществ крысам линии Wistar по протоколу Organization for Economic Cooperation and Development (OECD) 420 [12] по описанной схеме (рис. 1 и рис. 2).
Рис. 1. Схема определения класса токсичности по методу «фиксированной дозы» по протоколу Organization for Economic Cooperation and Development 420 в предварительном испытании. СГС — Согласованная на глобальном уровне система классификации опасности и маркировки химической продукции.
Fig. 1. Scheme for determining the toxicity class (according to the Globally Harmonized System of Classification and Labelling of Chemicals) by the “fixed dose” method using the Organization for Economic Co-operation and Development 420 protocol in a preliminary test.
Рис. 2. Схема определения класса токсичности по методу «фиксированной дозы» по протоколу Organization for Economic Cooperation and Development 420 при основном испытании. СГС — Согласованная на глобальном уровне система классификации опасности и маркировки химической продукции.
Fig. 2. Scheme for determining the toxicity class (according to the Globally Harmonized System of Classification and Labelling of Chemicals) by the “fixed dose” method using the Organization for Economic Co-operation and Development 420 protocol during the main test.
Согласно методическим рекомендациям для доклинических исследований на животных [13], на токсикологическом этапе в течение всего срока эксперимента каждая особь осматривалась через 1, 3 и 24 часа после введения субстанций, и далее ежедневно на протяжении 14 суток. При осмотре оценивали общее состояние животных по следующим показателям: динамика изменения массы тела; клиническая картина интоксикации; летальность.
В результате проведения протокола из большой линейки оловоорганических соединений, отличающихся между собой количеством и качеством органических групп у олова, были выбраны пять соединений (табл. 1), относящихся к различным классам токсичности по Согласованной на глобальном уровне системе классификации и маркировки химических веществ (СГС).
Таблица 1. Тестируемые оловоорганические соединения
Table 1. Tested organotin compounds
Класс токсичности по СГС | Структурная формула | Лабораторный шифр/международное название |
I | (СН3)3SnCl | ТМОХ/триметилолова хлорид |
II | Ме-4/(3,5-ди-трет-бутил-4-гидроксифенилтиолат) триметилолова | |
III | АК-26/комплекс хлорида трифенилолова с N-(3-(1H-имидазол-1-ил)пропил)-3,5-ди-трет-бутил-4-гидроксибензамидом | |
IV | Ме-5/(3,5-ди-трет-бутил-4-гидроксифенилтиолат) трифенилолова | |
V | Ме-3/бис(3,5-ди-трет-бутил-4-гидроксифенилтиолат) диметилолова |
Примечание. tBu — трет-бутил, Ph — фенил, Ме — метил; СГС — Согласованная на глобальном уровне система классификации опасности и маркировки химической продукции.
Note. tBu — tert-butyl, Ph — phenyl, Me — methyl; СГС — Globally Harmonized System of Hazard Classification and labeling of chemical products.
После проведения протокола OECD 420 для данной работы были выбраны животные, получившие максимально переносимые дозы тестируемых соединений. Было выполнено рутинное гистологическое исследование.
Образцы ткани (печень) для световой микроскопии фиксировали в 10% забуференном нейтральном формалине с последующим заключением в парафин и микротомированием по классической методике подготовки гистологических препаратов. На ротационном микротоме из парафиновых блоков с образцами ткани изготавливали серийные срезы толщиной 3–5 мкм и наносили их на предметные стёкла. Для визуализации морфологических изменений использовали обзорный метод окраски гематоксилином и эозином по классическому протоколу. Микроскопическое исследование и фотофиксацию полученных гистологических препаратов осуществляли с помощью светового микроскопа LEICA DM4000 B (Leica Microsystems, Германия) с цифровой камерой Leica DFC490.
2-й этап
Цель этапа — определение наличия/отсутствия фармакологической активности тестируемых соединений.
Проводили введение исследуемых субстанций в широком диапазоне доз. Эксперимент заканчивался естественной гибелью животных-носителей меланомы В16 и выявлением лидерных соединений и максимально эффективных доз. Штаммы опухолевых клеток были получены из банка опухолевых материалов Научно-исследовательского института экспериментальной диагностики и терапии опухолей при Федеральном государственном бюджетном учреждении «Национальный медицинский исследовательский центр онкологии имени Н.Н. Блохина» Министерства здравоохранения Российской Федерации. Поддержание и перевивку опухолевого штамма осуществляли в соответствии с общепринятыми методиками опытов на мышах линии C57Bl/6, подробно описанными в работах наших соавторов [14]. Отбор перспективных субстанций и суммарных доз для введения на следующем этапе определялся продолжительностью жизни животных-опухоленосителей.
Изменение средней продолжительности жизни (Δt, %) определялось как
Δt=(tC–tT)/tC,
где tС и tТ — средняя продолжительность жизни (в днях) мышей в группах контрольных (С) и пролеченных (Т) животных.
3-й этап
Цель этапа — определение показателей противоопухолевой и антиметастатической активности лидерных субстанций и возможных механизмов реализации терапевтического эффекта с помощью иммуногистохимического анализа.
На основном этапе на день проведения одномоментной эвтаназии были определены следующие показатели:
- масса опухоли (М, г);
- процент торможения роста опухоли по массе (ТРОм, %);
- количество метастазов в лёгких на 1 мышь (q, шт);
- частота метастазирования опухоли (ЧМ, %);
- индекс ингибирования метастазирования (ИИМ, %) [15, 16].
Иммунофенотипирование образцов ткани органов и первичного опухолевого узла, полученных в эксперименте, проводили c использованием первичных антител: TGFb1, Bcl-2, VEGF, Melan A.
Из парафиновых блоков с образцами ткани изготавливали срезы толщиной 2–3 мкм и наносили на предметные стёкла с поли-L-лизиновым покрытием. Предподготовка стёкол для иммуногистохимического окрашивания включала депарафинизацию и демаскировку антигенов. Буфер для температурной демаскировки брался с рН 6,0 или рН 9,0 — в соответствии с аннотацией к первичным антителам.
Микроскопическое исследование и фотофиксацию полученных иммуногистохимических препаратов осуществляли с помощью светового микроскопа LEICA DM4000 В. Уровень экспрессии иммуногистохимических маркёров оценивался полуколичественным способом в баллах:
- 0 — отсутствие реакции;
- 1 — слабая реакция;
- 2 — умеренная реакция;
- 3 — выраженная реакция маркёр-позитивных элементов.
4-й этап
Цель этапа — изучение влияние тестируемых соединений на темпы роста первичного опухолевого узла и метастатических очагов на разных стадиях развития опухолевого процесса, при введении в разных режимах, в составе комбинированной и монохимиотерапии.
Использовали расширенный спектр методик, включая иммуноферментный анализ, для выявления патогенетической схемы реализации фармакологической активности на первичный опухолевый очаг и интенсивность метастазирования, учитывая наиболее вероятный механизм/механизмы, выявленные на 3-м этапе.
5-й этап
Цель этапа — исследование наиболее перспективных соединений. Оно проводилось согласно Руководству по доклиническим исследованиям безопасности в целях проведения клинических исследований и регистрации ЛС (документ утверждён решением Коллегии Евразийской экономической комиссии от 26 ноября 2019 г., N 202): «Исследования токсичности при повторном (многократном) введении лекарственного препарата, доклинические исследования, проводимые в целях обоснования проведения поисковых клинических исследований, исследования местной переносимости лекарственного препарата, исследования генотоксичности лекарственного препарата, канцерогенности лекарственного препарата и др.»
Алгоритмы 4-го и 5-го этапов не входят в описание скринингового доклинического изучения элементоорганических соединений с ППД, поэтому они будут описаны в другой работе.
Статистический анализ
Для анализа всех первичных результатов применяли описательную статистику. Статистическую обработку полученных данных проводили с использованием пакета компьютерных программ Statistica 6.0 (Tibco, США). Нормальность распределения оценивали с помощью модифицированной версии метода Колмогорова–Смирнова, а именно — по методике Андерсона–Дарлинга. Оценку достоверности различий между сравниваемыми параметрами проводили с помощью t-критерия Стьюдента. В качестве количественной характеристики показателей в работе были проанализированы среднее арифметическое (М) и среднеквадратическое отклонение (M±m). Различия считали статистически значимыми при p ≤0,05. Сравнение групп производили попарно.
Этическая экспертиза
Исследования по диссертационной работе на тему: «Патогенетические механизмы влияния гибридных оловоорганических соединений на рост и развитие злокачественных новообразований» были одобрены локальным независимым этическим комитетом Федерального государственного бюджетного образовательного учреждения высшего образования «Ростовский государственный медицинский университет» Министерства здравоохранения Российской Федерации (протокол № 10/20 от 28.05.2020).
РЕЗУЛЬТАТЫ
Результаты работы описаны последовательно, отдельно для каждого этапа изучения.
1-й этап
Гипотеза
Характер и степень морфофункциональных изменений в органах экспериментальных животных можно предположить по токсикометрической характеристике элементоорганического соединения, а именно классу токсичности. В дальнейших скрининговых исследованиях для упрощения процедуры отбора перспективных субстанций достаточно определить класс токсичности по протоколу OECD 420.
Результат
Экспериментально полученные данные о величине максимально переносимой дозы тестируемых соединений отображены в табл. 2.
Таблица 2. Значение максимально переносимой дозы при однократном внутрижелудочном введении крысам линии Wistar (самки)
Table 2. The value of the maximum tolerated dose with a single intragastric administration to Wistar rats (females)
Лабораторный шифр/международное название | Класс токсичности по СГС | Максимально переносимая доза при однократном внутрижелудочном введении крысам линии Wistar (самки), мг/кг |
ТМОХ/триметилолова хлорид | I | 4 |
Ме-4/(3,5-ди-трет-бутил-4-гидроксифенилтиолат) триметилолова | II | 35 |
АК-26/комплекс хлорида трифенилолова с N-(3-(1H-имидазол-1-ил)пропил)-3,5-ди-трет-бутил-4-гидроксибензамидом | III | 250 |
Ме-5/(3,5-ди-трет-бутил-4-гидроксифенилтиолат) трифенилолова | IV | 750 |
Ме-3/бис(3,5-ди-трет-бутил-4-гидроксифенилтиолат) диметилолова | V | 2000 |
При гистологическом исследовании печени экспериментальных животных были получены следующие результаты:
Класс токсичности I
При введении TMOX в паренхиме печени регистрируется:
- резкое полнокровие венулярного аппарата;
- эктазия и полнокровие синусоидных капилляров;
- некроз центролобулярных гепатоцитов;
по периферии долек:
- состояние гидропической, гиалиново-капельной и крупнокапельной жировой дистрофии;
- незначительное расширение портальных трактов за счёт эктазии и резкого полнокровия сосудов, очагового фиброза;
- пролиферация эпителия желчных протоков;
- спазм артерий (плохо визуализируются);
- эктазия вен, резкое полнокровие;
- десквамация эндотелия.
В строме и паренхиме определяются единичные лимфоцитарные инфильтраты (рис. 3).
Рис. 3. Микроскопическая картина печени при введении ТМОХ. Крупнокапельная жировая дистрофия гепатоцитов (стрелки). Окраска гематоксилином и эозином; ×200.
Fig. 3. Microscopic picture of the liver with the introduction of trimethyltin chloride. Large-drop fatty dystrophy of hepatocytes (arrows). Staining with hematoxylin and eosin; ×200.
Класс токсичности II
При введении Me-4 в паренхиме печени визуализируется:
- резкий отёк, эктазия и полнокровие синусоидных капилляров;
- диффузная гидропическая дистрофия гепатоцитов;
- центролобулярные некрозы клеток печени;
- пролиферация клеток Купфера;
- незначительное увеличение портальных трактов за счёт отёка;
- артериолоспазм;
- эктазия и резкое полнокровие вен;
- дискретная десквамация эндотелия.
В строме и паренхиме определяются единичные лимфоцитарные инфильтраты (рис. 4).
Рис. 4. Микроскопическая картина печени при введении Me-4. Гидропическая дистрофия гепатоцитов (стрелки). Окраска гематоксилином и эозином; ×200.
Fig. 4. Microscopic picture of the liver with the introduction of Me-4. Hydropic dystrophy of hepatocytes (arrows). Staining with hematoxylin and eosin; ×200.
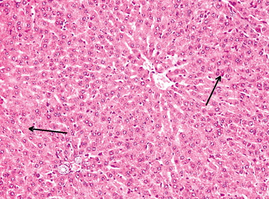
Класс токсичности III
После введения АК-26 в печени определяется:
- резкий отёк, эктазия и острое полнокровие синусоидных капилляров;
- гидропическая дистрофия гепатоцитов;
- пролиферация клеток Купфера;
- незначительное увеличение портальных трактов за счёт отёка;
- пролиферация клеток желчных протоков.
В сосудах:
- сладж эритроцитов;
- набухание эндотелиоцитов.
В строме:
- единичные скудные лимфоцитарные инфильтраты (рис. 5).
Рис. 5. Микроскопическая картина печени при введении АК-26. Локальные некрозы гепатоцитов (стрелки). Окраска гематоксилином и эозином; ×200.
Fig. 5. Microscopic picture of the liver with the introduction of AK-26. Local necrosis of hepatocytes (arrows). Staining with hematoxylin and eosin; ×200.
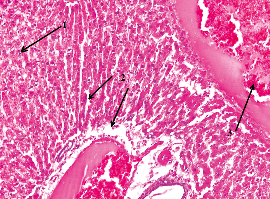
Класс токсичности IV
При введении Me-5 выявляется:
- резкий отёк, эктазия и полнокровие синусоидных капилляров (чётко визуализируются);
- пылевидная и мелкокапельная жировая дистрофия центролобулярных гепатоцитов (в состоянии апоптоза, местами некротизированы);
- очаговая пролиферация клеток Купфера;
- увеличение портальных трактов за счёт отёка;
- набухание эпителия желчных протоков.
В сосудах:
- сладж эритроцитов;
- неравномерная гиперплазия эндотелия.
В строме:
- единичные лимфоцитарные инфильтраты;
- кровоизлияния;
- периваскулярные экстравазаты (рис. 6).
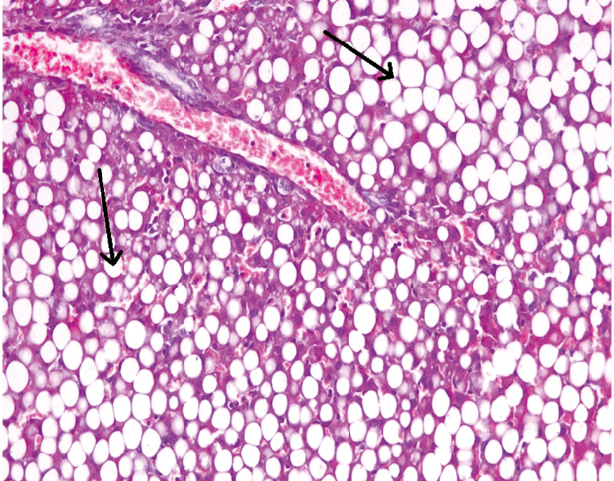
Рис. 6. Микроскопическая картина печени при введении Me-5. Мелкокапельная жировая дистрофия гепатоцитов (стрелка 1), межбалочный и переваскулярный отёк (стрелка 2), сладж эритроцитов в сосудах (стрелка 3). Окраска гематоксилином и эозином; ×200.
Fig. 6. Microscopic picture of the liver with the introduction of Me-5. Small-drop fatty dystrophy of hepatocytes (arrow 1), interblock and perivascular edema (arrow 2), erythrocyte sludge in the vessels (arrow 3). Staining with hematoxylin and eosin; ×200.
Класс токсичности V
При введении Me-3 выявляется:
- отёк, неравномерное полнокровие синусоидных капилляров, с хорошей их визуализацией;
- гиалиново-капельная дистрофия гепатоцитов центральной части долек;
- апоптоз единичных гепатоцитов (с набухшими ядрами).
По периферии долек:
- мелкокапельная жировая дистрофия гепатоцитов;
- обычный размер портальных трактов;
- очаговая десквамация эпителия и эндотелия в желчных протоках и венах триад.
В строме:
скудные лимфоцитарные инфильтраты (рис. 7).
Рис. 7. Микроскопическая картина печени при введении Me-3. Гепатоциты в состоянии гиалиново-капельной дистрофии (стрелки). Окраска гематоксилином и эозином; ×200.
Fig. 7. Microscopic picture of the liver with the introduction of Me-3. Hepatocytes in a state of hyaline-drip dystrophy (arrows). Staining with hematoxylin and eosin; ×200.
2-й этап
Гипотеза
В зависимости от класса токсичности тестируемого соединения по СГС возможно скорректировать разовые дозы, необходимые для определения фармакологической активности элементоорганических субстанций для исследования на перевиваемых моделях солидных опухолей мышей (меланома В16).
Результат
Полученные нами данные по изменению средней продолжительности жизни животных-носителей меланомы В16 в зависимости от введённой суммарной дозы (рис. 8) позволяют предложить более узкий диапазон суммарных доз для выявления противоопухолевой и антиметастатической активности.
Рис. 8. Изменение средней продолжительности жизни (в днях) животных-носителей меланомы В16 в зависимости от введённой суммарной дозы, мг/кг
Fig. 8. Change in the average life expectancy (days) of melanoma-carrying animals B16 depending on the total dose administered, mg/kg.
Для соединений класса токсичности IV по СГС с фармакологической точки зрения интересен диапазон доз 150–375 мг/кг, причём максимальная эффективность была отмечена при введении 250 мг/кг. Введение следующей дозы целесообразно при рассмотрении побочных эффектов при лечении, однако для животных-носителей меланомы В16 она является токсической.
Для соединений класса токсичности V по СГС научный интерес представляет диапазон доз 250–500 мг/кг, который охватывает ответ разной интенсивности: от минимального до токсического.
3-й этап
Гипотеза
С помощью иммуногистохимического метода возможно определить направление углублённого поиска патогенетических механизмов реализации противоопухолевого и антиметастатического действия тестируемых соединений.
Результат
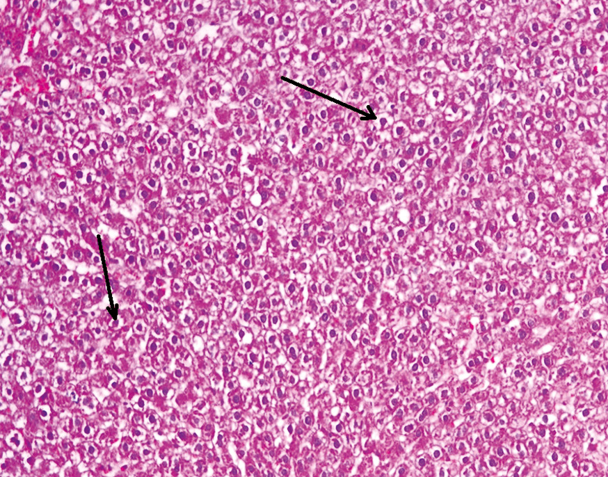
При выполнении испытаний противоопухолевой и антиметастатической активности лидерной субстанции (Ме-3) с установленным сроком эвтаназии (18 суток) было произведено полуколичественное определение выраженности экспрессии некоторых биомаркёров при иммуногистохимическом фенотипировании (табл. 3).
Таблица 3. Некоторые биомаркёры, применяемые для иммуногистохимического фенотипирования, и их прогностическое значение
Table 3. Some biomarkers used for immunohistochemical phenotyping and their prognostic value
Биомаркёр | Прогностическое значение |
TGFb1 | оказывает существенное влияние на регуляцию клеточного цикла, рост и развитие, дифференцировку, синтез внеклеточного матрикса, гемопоэз, хемотаксис и иммунный ответ; косвенный маркёр активности опухолевой прогрессии [17–20] |
VEGF | фактор роста с важной проангиогенной активностью, оказывающий митогенное и антиапоптотическое действие на эндотелиальные клетки, повышающий проницаемость сосудов, способствующий миграции клеток и т.д. [21–23] |
Bcl-2 | ключевой фактор в регуляции митохондриального пути апоптоза [24–26] |
Melan A | фактор визуализации опухолевых клеток меланомы В16, позволяет проследить тип метастазирования и наличие феномена васкулогенной мимикрии [27–29] |
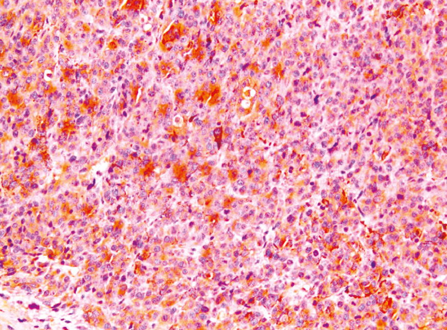
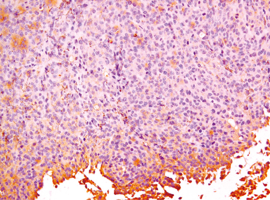
Иммуногистохимическая визуализация первичного опухолевого узла меланомы В16 при введении Ме-3 в максимально эффективной суммарной дозе (375 мг/кг) и в группе контрольных животных (без лечения) показала следующие результаты:
TGFb1
- Резко выраженная, неравномерная по интенсивности экспрессия в клетках первичного опухолевого узла без применения Me-3 — 2–3 балла (рис. 9);
- Слабая дискретная экспрессия в разных полях зрения в первичном опухолевом узле — 0–1 балл (рис. 10).
Рис. 9. Иммуновизуализация маркёра TGFb1 в первичном опухолевом узле без введения Ме-3. Мыши линии C57Bl/6 (самки), носители меланомы В16; ×200.
Fig. 9. Immunovisualization of the TGFb1 marker in the primary tumor node without the introduction of Me-3. Mice of the C57Bl/6 line (females), carriers of melanoma B16; ×200.
Рис. 10. Иммуновизуализация маркёра TGFb1 в первичном опухолевом узле при введении Ме-3 в максимально эффективной суммарной дозе 375 мг/кг. Мыши линии C57Bl/6 (самки), носители меланомы В16; ×200.
Fig. 10. Immunovisualization of the TGFb1 marker in the primary tumor node with the introduction of Me-3 at the maximum effective total dose of 375 mg/kg. Mice of the C57Bl/6 line (females), carriers
of melanoma B16; ×200.
VEGF
При анализе уровня экспрессии в первичном опухолевом узле как без введения соединения (рис. 11), так и при использовании максимальной эффективной суммарной дозы (рис. 12), прослеживается слабая дискретная реакция — 0–1 балл.
Рис. 11. Иммуновизуализация маркёра VEGF в первичном опухолевом узле без введения Ме-3. Мыши линии C57Bl/6 (самки), носители меланомы В16; ×200.
Fig. 11. Immunovisualization of the VEGF marker in the primary tumor node without the introduction of Me-3. Mice of the C57Bl/6 line (females), carriers of melanoma B16; ×200.
Рис. 12. Иммуновизуализация маркёра VEGF в первичном опухолевом узле при введении Ме-3 в максимально эффективной суммарной дозе 375 мг/кг. Мыши линии C57Bl/6 (самки), носители меланомы В16; ×200.
Fig. 12. Immunovisualization of the VEGF marker in the primary tumor node when Me-3 was administered at the maximum effective total dose of 375 mg/kg. Mice of the C57Bl/6 line (females), carriers of melanoma B16; ×200.
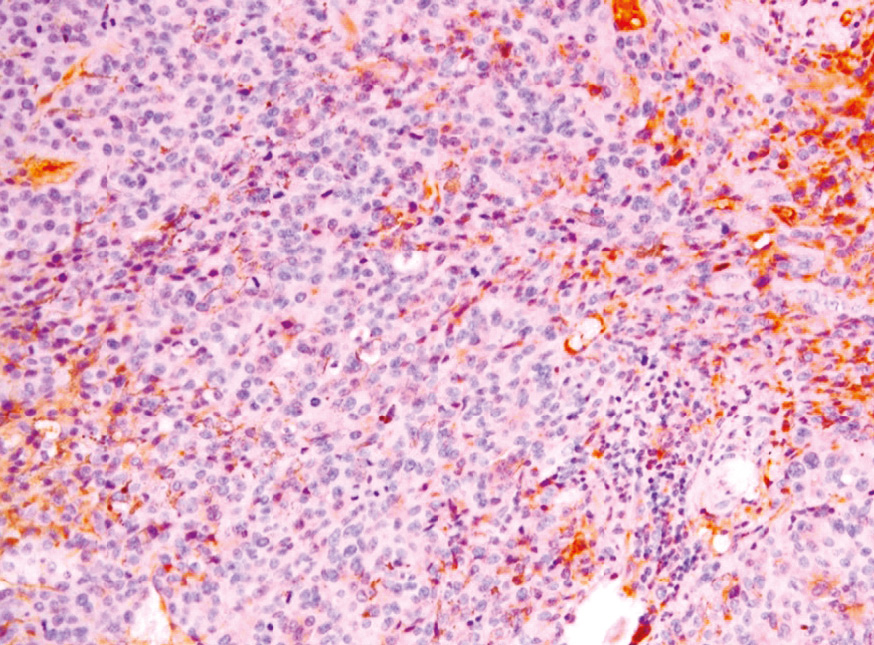
Bcl-2
- Регистрируется дискретная экспрессия в первичном опухолевом узле без введения Me-3 — 1–2 балла (рис. 13);
- Чётко визуализируется выраженная диффузная экспрессия при использовании в ходе эксперимента максимально эффективной суммарной дозы Ме-3 на первичный опухолевый узел — 3 балла (рис. 14).
Рис. 13. Иммуновизуализация маркёра Bcl-2 в первичном опухолевом узле без введения Ме-3. Мыши линии C57Bl/6 (самки), носители меланомы В16; ×200.
Fig. 13. Immunovisualization of the Bcl-2 marker in the primary tumor node without the introduction of Me-3. Mice of the C57Bl/6 line (females), carriers of melanoma B16; ×200.
Рис. 14. Иммуновизуализация маркёра Bcl-2 в первичном опухолевом узле при введении Ме-3 в максимально эффективной суммарной дозе 375 мг/кг. Мыши линии C57Bl/6 (самки), носители меланомы В16; ×200.
Fig. 14. Immunovisualization of the Bcl-2 marker in the primary tumor node when Me-3 was administered at the maximum effective total dose of 375 mg/kg. Mice of the C57Bl/6 line (females), carriers of melanoma B16; ×200.
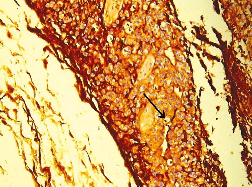
Melan A
Визуализация маркёра в сосудах опухоли и прилежащем микроциркуляторном русле позволяет на светооптическом уровне проследить этапы метастазирования опухоли, начиная от процесса сосудистой мимикрии, адгезии (врастания), разрушения стенки сосудов — и до формирования опухолевых эмболов и миграции в другие регионы организма (рис. 15 и рис. 16)
Рис. 15. Иммуновизуализация маркёра Melan A в первичном опухолевом узле при введении Ме-3 в максимально эффективной суммарной дозе 375 мг/кг. Мыши линии C57Bl/6 (самки), носители меланомы В16. Опухолевые клетки в просвете собственных капилляров опухоли (стрелка); ×200.
Fig. 15. Immunovisualization of the Melan A marker in the primary tumor node when Me-3 was administered at the maximum effective total dose of 375 mg/ kg. Mice of the C57Bl/6 line (females), carriers of melanoma B16. Tumor cells in the lumen of the tumor’s own capillaries (arrow); ×200.
Рис. 16. Иммуновизуализация маркёра Melan A по периферии первичного опухолевого узла при введении Ме-3 в максимально эффективной суммарной дозе 375 мг/кг. Мыши линии C57Bl/6 (самки), носители меланомы В16. Опухолевые клетки в просвете капилляров регионарного микроциркуляторного русла опухоли (стрелки); ×200.
Fig. 16. Immunovisualization of the Melan A marker along the periphery of the primary tumor node with the introduction of Me-3 at the maximum effective total dose of 375 mg/ kg. Mice of the C57Bl/6 line (females), carriers of melanoma B16. Tumor cells in the lumen of the capillaries of the regional tumor microcirculation (arrows); ×200.
ОБСУЖДЕНИЕ
Результаты годового отчёта «Фармацевтический рынок России за 2021 г.» убедительно показывают, что количество соединений, которые находятся на этапах доклинических и клинических исследований в качестве кандидатов в ЛС в России в 2015–2021 годах неуклонно растёт.
Стандартизация и создание новых алгоритмов доклинических исследований — прямая задача многих научных коллективов в России [9, 30–35]. Особенную роль эта работа играет при доклинических исследованиях соединений с ППД ввиду особенностей проведения экспериментальной части.
Присвоение класса токсичности по СГС соединениям, впервые тестируемым на модельных системах in vivo, — стандартизированная процедура, требующая минимального количества животных в экспериментальной серии. Однако она является отправной точкой для планирования дизайна дальнейших доклинических исследований элементоорганических соединений с ППД.
1-й этап
При выполнении рутинного гистологического исследования печени после однократного внутрижелудочного введения максимально переносимой дозы органических производных олова с различными лигандными группировками была получена однотипная картина морфологических изменений ткани печени, причём их степень выраженности напрямую зависела от класса токсичности тестируемого соединения. Изменения при введении ТМОХ и Ме-4 были отнесены к потенциально необратимым ввиду выраженного некроза и дистрофии. III класс токсичности введённого соединения (АК-26) тоже соответствует морфологическим изменениям тяжёлой степени выраженности, но обратимость изменений возможна и может быть скорректирована в процессе эксперимента. Кроме того, введение оловоорганических соединений I–III класса токсичности по СГС не может обеспечить достаточную широту терапевтического индекса на дальнейших этапах доклинического изучения.
Соединения IV и V классов токсичности по СГС целесообразно исследовать в качестве кандидатов в противоопухолевые ЛС ввиду обнаружения умеренной/слабой степени выраженности морфологических изменений печени и большой широтой терапевтического индекса.
Оценка безопасности применения, на наш взгляд, должна проводиться на 1-м этапе скринингового доклинического исследования соединения с ППД. Этот приём позволит отсеять соединения, которые в перспективе не смогут стать ЛС по причине высокой системной токсичности.
2-й этап
Для обнаружения противоопухолевого и антиметастатического действия соединений с ППД на перевиваемых солидных опухолях мышей в Федеральном государственном бюджетном учреждении «Национальный медицинский исследовательский центр онкологии имени Н.Н. Блохина» Министерства здравоохранения Российской Федерации было разработано и апробировано множество режимов введения и дозирования [37, 38]. Однако при проведении классической процедуры для вновь синтезированных и впервые тестируемых in vivo субстанций целесообразно проводить пятикратное внутрибрюшинное введение в широком диапазоне суммарных доз (100, 150, 250, 350, 450–500 мг/кг) [39]. Сведения о классе токсичности позволят оптимизировать данный протокол с охватом искомой фармакологической активности от минимальной до токсической.
3-й этап
Конечный результат действия всех противоопухолевых ЛС — ингибирование клеточной пролиферации. Этот эффект достигается путём запуска различных патогенетических механизмов в клетке, основными из которых являются:
- прямое действие на ДНК, РНК и процессы матричных биосинтезов;
- антинеоангиогенное и проапоптотическое действие при условии некоторой селективности влияния на злокачественную и условно здоровую клетку [39, 40]
С помощью иммуногистохимического метода мы определили направление углублённого поиска патогенетических механизмов реализации противоопухолевого и антиметастатического действия тестируемого соединения Ме-3, обладающего максимальной эффективностью на модели меланомы В16 мышей. Используя иммуногистохимический метод исследования при изучении органов экспериментальных животных, можно получить предварительные данные о механизмах действия тестируемых соединений. Проведённое нами исследование также позволяет чётко регламентировать выбор в пользу тех маркёров, которые доступны, точны и помогают качественно оценить патологический процесс. Например, маркёр TGF-β1 — один из наиболее важных тканевых факторов, секретируемых при развитии опухолей, однако при прогрессии опухолевого роста он теряет свою специфичность и секретируется нормальными клетками из микроокружения. Маркёр Bcl-2 более чувствительный и показательный, что подтверждается при анализе материалов исследования. Melan A представляет собой диагностически значимый маркёр дифференцировки меланоцитов и является дополнительным маркёром для дифференциации немеланоцитарных опухолей от первичной или метастатической меланомы.
Разнообразие иммуногистохимических маркёров с разной направленностью их воздействия на клеточные структуры позволяет использовать этот метод для оптимизации процесса выбора различных соединений в поиске препаратов с высокой противоопухолевой активностью.
Выбор стратегии исследования
Исходя из полученной в результате иммуногистохимического анализа информации для углублённого изучения гибридных оловоорганических соединений была выбрана стратегия уточнения патогенетического механизма реализации противоопухолевого и антиметастатического действия через апоптоз.
На основании серии сравнительных экспериментов по диссертационной работе на тему: «Патогенетические механизмы влияния гибридных оловоорганических соединений на рост и развитие злокачественных новообразований» был апробирован следующий алгоритм доклинического исследования in vivo соединений с ППД:
1-й этап
Определение класса токсичности оловоорганических соединений при однократном внутрижелудочном введении крысам линии Wistar по протоколу OECD 420 и отбор кандидатов в противоопухолевые ЛС по принципу наибольшей безопасности применения.
2-й этап
Определение наличия/отсутствия фармакологической активности тестируемых органических соединений олова (IV). Соединения IV и V классов токсичности по СГС в широком диапазоне доз (дозы подбираются в зависимости от класса токсичности) исследуются на предмет фармакологической активности до естественной гибели животных-опухоленосителей с выявлением лидерных субстанций, углублённое изучение которых является целесообразным. Отбор перспективных субстанций и суммарных доз для введения на следующем этапе определяется продолжительностью жизни животных-опухоленосителей.
3-й этап
Определение показателей противоопухолевой и антиметастатической активности лидерных оловоорганических субстанций с установленным сроком эвтаназии для всех животных-опухоленосителей и определением возможных механизмов реализации терапевтического эффекта с помощью иммуногистохимического анализа.
4-й этап
Изучение влияния тестируемых соединений на темпы роста первичного опухолевого узла и метастатических очагов на разных стадиях развития опухолевого процесса, при введении в разных режимах, в составе комбинированной и монохимиотерапии. Обязательное уточнение механизмов реализации противоопухолевой и антиметастатической активности с помощью биохимических и иммуногистохимических методик.
5-й этап
Исследование наиболее перспективных соединений согласно Руководству по доклиническим исследованиям безопасности в целях проведения клинических исследований и регистрации лекарственных препаратов (документ утверждён решением Коллегии Евразийской экономической комиссии от 26 ноября 2019 г., N 202): «Исследования токсичности при повторном (многократном) введении лекарственного препарата, доклинические исследования, проводимые в целях обоснования проведения поисковых клинических исследований, исследования местной переносимости лекарственного препарата, исследования генотоксичности лекарственного препарата, канцерогенной лекарственного препарата и др.»
ЗАКЛЮЧЕНИЕ
Приведённая схема оптимизации алгоритмов скринингового (этапы 1–3) доклинического исследования in vivo соединений с ППД описана нами на примере оловоорганических субстанций различной структуры. Более широкое применение показателя «Класс токсичности» и методов иммуногистохимической визуализации позволило произвести комплексную оценку перспективности дальнейшей углублённой разработки данного класса субстанций и выбрать соединения-лидеры.
Описанное нами поэтапное исключение тестируемых элементоорганических соединений из линейки близких по строению субстанций требует дальнейшей апробации и в будущем позволит увеличить эффективность отбора перспективных кандидатов в противоопухолевые ЛС, а также снизить затраты на проведение доклинических исследований соединений с ППД.
ДОПОЛНИТЕЛЬНО
Источник финансирования. Авторы заявляют об отсутствии внешнего финансирования при проведении исследования и подготовке публикации.
Конфликт интересов. Авторы декларируют отсутствие явных и потенциальных конфликтов интересов, связанных с проведённым исследованием и публикацией настоящей статьи.
Вклад авторов. Все авторы подтверждают соответствие своего авторства международным критериям ICMJE (все авторы внесли существенный вклад в разработку концепции, проведение исследования и подготовку статьи, прочли и одобрили финальную версию перед публикацией). Наибольший вклад распределён следующим образом: И.М. Котиева, О.В. Воронова, М.А. Додохова — концепция и дизайн исследования; Д.Б. Шпаковский, Е.Р. Милаева — синтез и подготовка тестируемых соединений; О.В. Воронова, М.А. Додохова, М.В. Гулян, Е.М. Котиева, С.Ю. Коробка, М.С. Алхусейн-Кулягинова, В.М. Котиева, К.К. Карапетян, Н.Д. Власова — сбор и статистическая обработка материала; М.С. Алхусейн-Кулягинова, М.А. Додохова — написание текста; И.М. Котиева, О.В. Воронова, М.А. Додохова — редактирование; все авторы — утверждение окончательного варианта статьи.
ADDITIONAL INFORMATION
Funding source. This study was not supported by any external sources of funding.
Competing interests. The authors declare that they have no competing interests.
Authors’ contribution. All authors made a substantial contribution to the conception of the work, acquisition, analysis, interpretation of data for the work, drafting and revising the work, final approval of the version to be published and agree to be accountable for all aspects of the work. Kotieva IM, Voronova OV, Dodokhova MA — the concept and design of the study; Milaeva ER — synthesis and preparation of tested compounds; Voronova OV, Dodokhova MA, Gulyan MV, Kotieva EM, Korobka SYu, Alkhusein-Kulyaginova MS, Kotieva VM, Karapetyan KK, Vlasova ND — collection and statistical processing of material; Alkhusein-Kulyaginova MS, Dodokhova MA, — writing the text; Kotieva IM, Voronova OV, Dodokhova MA — editing.
About the authors
Margarita A. Dodokhova
Rostov State Medical University
Author for correspondence.
Email: dodohova@mail.ru
ORCID iD: 0000-0003-3104-827X
MD, Dr. Sci. (Med.)
Russian Federation, Rostov-on-DonOlga V. Voronova
Rostov State Medical University; Rostov-on-Don Clinical Hospital «Russian Railways-Medicine»
Email: 9043401873@mail.ru
ORCID iD: 0000-0003-0542-6900
Cand. Sci. (Med.)
Russian Federation, Rostov-on-Don; Rostov-on-DonMargarita S. Alkhusein-Kulyaginova
Rostov State Medical University
Email: rita.kuljaginva@rambler.ru
ORCID iD: 0000-0001-5123-5289
Russian Federation, Rostov-on-Don
Marina V. Gulyan
Rostov State Medical University
Email: 25marinablik@mail.ru
ORCID iD: 0000-0001-6023-8916
MD, Cand. Sci. (Med.), Assistant Professor
Russian Federation, Rostov-on-DonElizaveta M. Kotieva
Rostov State Medical University
Email: elizaveta.kotieva@mail.ru
ORCID iD: 0000-0002-5595-8799
Russian Federation, Rostov-on-Don
Svetlana Yu. Korobka
Rostov State Medical University
Email: Svetlana_ik85@mail.ru
ORCID iD: 0009-0006-3978-9979
Russian Federation, Rostov-on-Don
Violetta M. Kotieva
Rostov State Medical University
Email: violetta.kotieva@mail.ru
ORCID iD: 0000-0003-1783-1073
Russian Federation, Rostov-on-Don
Kristina K. Karapetyan
Rostov State Medical University
Email: aparvarvaravrar@gmail.com
ORCID iD: 0000-0003-1247-7933
Russian Federation, Rostov-on-Don
Nadezhda D. Vlasova
Rostov State Medical University
Email: nadezhda.vlas161@yandex.ru
Russian Federation, Rostov-on-Don
Dmitry B. Shpakovsky
Lomonosov Moscow State University
Email: dmshpak@mail.ru
ORCID iD: 0000-0002-7824-3382
Cand. Sci. (Chem.)
Russian Federation, MoscowElena R. Milaeva
Lomonosov Moscow State University
Email: helenamilaeva@mail.ru
ORCID iD: 0000-0002-5489-3866
Dr. Sci. (Chem.), Professor
Russian Federation, MoscowInga M. Kotieva
Rostov State Medical University
Email: kukulik70@mail.ru
ORCID iD: 0000-0002-2796-9466
MD, Dr. Sci. (Med.), Professor
Russian Federation, Rostov-on-DonReferences
- Upadhyay N, Tilekar K, Loiodice F, et al. Pharmacophore hybridization approach to discover novel pyrazoline-based hydantoin analogs with anti-tumor efficacy. Bioorganic Chemistry. 2021;107:104527. doi: 10.1016/j.bioorg.2020.104527
- Avxentyev NA, SisiginaNN, Frolov MYu, Makarov AS. Analysis of novel antineoplastic drugs treatment impact on the federal project «cancer control» goals achievement. Problems in oncology. 2021;67(6):768–776. (In Russ). doi: 10.37469/0507-3758-2021-67-6-768-776
- Abakumov GA, Piskunov AV, Cherkasov VK, et al. Organoelement chemistry: promising growth areas and challenges. Russian Chemical Reviews. 2018;87(5):393–507. (In Russ). doi: 10.1070/RCR4795
- Bührmann M, Kallepu S, Warmuth JD, et al. Fragtory: Pharmacophore-Focused Design, Synthesis, and Evaluation of an sp3-Enriched Fragment Library. Journal of Medicinal Chemistry. 2023;66(9):6297–6314. doi: 10.1021/acs.jmedchem.3c00187
- Vasiliev AN, Niyazov RR, Gavrishina EV, Dranytsina MA, Kulichev DA. Problems of planning and conduct of preclinical trials in the Russian Federation. Remedium. Journal about the Russian market of medicines and medical equipment. 2017;(9):6–19. (In Russ). doi: 10.21518/1561-5936-2017-9-6-18
- Nehra B, Mathew B, Chawla PA. A Medicinal Chemist’s Perspective Towards Structure Activity Relationship of Heterocycle Based Anticancer Agents. Current Topics in Medicinal Chemistry. 2022;22(6):493–528. doi: 10.2174/1568026622666220111142617
- Semin AA. The question of strengthening the research capacities in drug innovation. Remedium. Journal about the Russian market of medicines and medical equipment. 2018;(3):6–15. (In Russ). doi: 10.21518/1561-5936-2018-3-6-15
- Melezhnikova NO, Domnina AP, Goryachaya TS, Petrosyan MA. Kletochnye tekhnologii v farmakologicheskikh issledovaniyakh. nastoyashchee i budushchee. Tsitologiya. 2018;60(9):673–678. (In Russ). doi: 10.7868/s0041377118090023
- Bezborodova OA, Pankratov AA, Nemtsova ER, et al. Anti-Tumour Drugs: Planning Preclinical Efficacy and Safety Studies. The Bulletin of the Scientific Centre for Expert Evaluation of Medicinal Products. 2020;10(2):96–110. (In Russ). doi: 10.30895/1991-2919-2020-10-2-96-110
- Shpakovsky DB, Banti CN, Mukhatova EM, et al. Synthesis, antiradical activity and in vitro cytotoxicity of novel organotin complexes based on 2,6-di-tert-butyl-4-mercaptophenol. Dalton Trans. 2014;43(18):6880–6890. doi: 10.1039/c3dt53469c
- Nikitin EA, Shpakovsky DB, Tyurin VYu, et al. Novel organotin complexes with phenol and imidazole moieties for optimized antitumor properties. Journal of Organometallic Chemistry. 2022;959:122212. doi: 10.1016/j.jorganchem.2021.122212
- OECD (2002), Test No. 420: Acute Oral Toxicity — Fixed Dose Procedure. OECD Guidelines for the Testing of Chemicals, Section 4. OECD Publishing, Paris. doi: 10.1787/9789264070943-en
- Avdeeva OI, Makarova MN, Kalatanova AV, Kovaleva MA. Bioethical And Economic Aspects In The Basis Of A Choice Of A Method Of Studying Of Toxicity Of Medical Products At Single Introduction. Laboratornye Zhivotnye dlya nauchnych issledovanii (Laboratory Animals for Science). 2018;(1):4–11. (In Russ). doi: 10.29296/2618723X-2018-01-01
- Kotieva IM, Frantsiyants EM, Kaplieva IV, et al. Influence of chronic pain on some metabolic processes in the skin of female mice. Russian Journal of Pain. 2018;4(58):46–54. doi: 10.25731/RASP.2018.04.027
- Karkishchenko NN, Grachev SV, editors. Rukovodstvo po laboratornym zhivotnym i al’ternativnym modelyam v biomeditsinskikh tekhnologiyakh. Moscow: Profil’; 2010. (In Russ).
- Khabriev RU, editor. Rukovodstvo po eksperimental’nomu (doklinicheskomu) izucheniyu novykh farmakologicheskikh veshchestv. 2nd edition. Moscow: Meditsina; 2005. (In Russ).
- Ma W, Qin Y, Chapuy B, Lu Ch. LRRC33 is a novel binding and potential regulating protein of TGF-β1 function in human acute myeloid leukemia cells. PLoS One. 2019;14(10):e0213482. doi: 10.1371/journal.pone.0213482
- Wang J, Xiang H, Lu Y, Wu T. Role and clinical significance of TGF β1 and TGF βR1 in malignant tumors (Review). International Journal of Molecular Medicine. 2021;47(4). doi: 10.3892/ijmm.2021.4888
- de Stree G, Lucas S. Targeting immunosuppression by TGF-β1 for cancer immunotherapy. Biochemical Pharmacology. 2021;192:114697. doi: 10.1016/j.bcp.2021.114697
- Sato R, Imamura K, Semba T, et al. TGFβ Signaling Activated by Cancer-Associated Fibroblasts Determines the Histological Signature of Lung Adenocarcinoma. Cancer Research. 2021;81(18):4751–4765. doi: 10.1158/0008-5472.can-20-3941
- Melincovici CS, Boşca AB, Şuşman S, et al. Vascular endothelial growth factor (VEGF) - key factor in normal and pathological angiogenesis. Romanian journal of morphology and embryology. 2018;59(2):455–467.
- Daneluzzi C, Seyed Jafari SM, Hunger R, Bossart S. The Immunohistochemical Assessment of Neoangiogenesis Factors in Squamous Cell Carcinomas and Their Precursors in the Skin. Journal of Clinical Medicine. 2022;11(15):4494. doi: 10.3390/jcm11154494
- Jiang X, Wang J, Deng X, et al. The role of microenvironment in tumor angiogenesis. Journal of Experimental & Clinical Cancer Research. 2020;39(1). doi: 10.1186/s13046-020-01709-5
- Adams JM, Cory S. The BCL-2 arbiters of apoptosis and their growing role as cancer targets. Cell Death & Differentiation. 2018;25(1):27–36. doi: 10.1038/cdd.2017.161
- Suraweera CD, Banjara S, Hinds MG, Kvansakul M. Metazoans and Intrinsic Apoptosis: An Evolutionary Analysis of the Bcl-2 Family. International Journal of Molecular Sciences. 2022;23(7):3691. doi: 10.3390/ijms23073691
- Krishna S, Kumar SB, Krishna Murthy TP, Murahari M. Structure-based design approach of potential BCL-2 inhibitors for cancer chemotherapy. Computers in Biology and Medicine. 2021;134:104455. doi: 10.1016/j.compbiomed.2021.104455
- Vincek E, Rudnick E. Melanocytic marker Melan-A detects molluscum contagiosum bodies. Journal of Histotechnology. 2022;45(1):36–38. doi: 10.1080/01478885.2021.1964872
- Ronchi A, Zito Marino F, Toni G, et al. Diagnostic performance of melanocytic markers for immunocytochemical evaluation of lymph-node melanoma metastases on cytological samples. Journal of Clinical Pathology. 2022;75(1):45–49. doi: 10.1136/jclinpath-2020-206962
- Shamanova AYu, Kazachkov EL, Panova IE, Rostovtsev DM Prediktivnye aspekty prizhiznennogo patologoanatomicheskogo issledovaniya uveal’nykh melanom. Voprosy Onkologii. 2022;68(3 suppl.):132–133. (In Russ).
- Gushchina SV, Makarova MN, Pozharitskaya ON. Sravnitel’noe toksikologicheskoe izuchenie nositelei dlya lekarstvennykh sredstv, primenyaemykh v doklinicheskikh issledovaniyakh. International bulletin of Veterinary Medicine. 2015;(3):92–98. (In Russ).
- Kazancheva OD, Gerasimenko AS. Search methodology of the new biologically active pharmaceutical substances with receptor activity. International Journal of Applied and Fundamental Research. 2016;(8 Pt 4):522–525. (In Russ).
- Kirichenko DV. The effect of physic-chemical properties of the components of dosage forms on the selection of vehicle for the administration to laboratory animals. Laboratornye Zhivotnye dlya nauchnych issledovanii (Laboratory Animals for Science). 2020;(2):76–81. (In Russ). doi: 10.29296/2618723X-2020-02-09
- Koptyaeva KE, Muzhikyan AA, Guschin YaA, et al. Technique Of Dissection And Extracting Organs Of Laboratory Animals. Message 1 (Rats). Laboratornye Zhivotnye dlya nauchnych issledovanii (Laboratory Animals for Science). 2018;1(2):71–92. (In Russ). doi: 10.29296/2618723X-2018-02-08
- Koptyaeva KE, Muzhikyan AA, Guschin YaA, et al. Technique Of Dissection And Extracting Organs Of Laboratory Animals. Message 2: Mouse. Laboratornye Zhivotnye dlya nauchnych issledovanii (Laboratory Animals for Science). 2018;1(4):50–73. (In Russ). doi: 10.29296/2618723X-2018-04-05
- Treshchalina EM, Zhukova OS, Gerasimova GK, Andronova NV, Garin AM. Metodicheskie rekomendatsii po doklinicheskomu izucheniyu protivoopukholevoi aktivnosti lekarstvennykh sredstv. In: Nauchnyi tsentr ekspertizy sredstv meditsinskogo primeneniya Minzdravsotsrazvitiya Rossii. Chast’ 1. Moscow: Grif i K; 2012. P. 642–657. (In Russ).
- Kiseleva MP, Pokrovsky VS, Borisova LM, Golubeva IS, Ektova LV. N-glycosidesindolo[2,3,-a]pyrrolo[3,4,-c]carbazole derivatives chemical structure influence on antitumor activity. Russian Journal of Biotherapy. 2019;18(2):32–39. (In Russ). doi: 10.17650/1726-9784-2019-18-2-32-39
- Abo Qoura L, Morozova EA, Koval VS, et al. Cytotoxic and antitumor properties of methionine γ-lyase conjugate in combination with S-alk(en)yl–L-cysteine sulfoxides. Russian Journal of Biotherapy. 2022;21(4):62–70. (In Russ). doi: 10.17650/1726-9784-2022-21-4-62-70
- Sof’ina ZP, Syrkin AB, Goldin AA, et al. Experimental evaluation of antitumor drugs in the USA and USSR and clinical correlations. Moscow: Meditsina; 1980. (In Russ).
- Kit OI, Kotieva IM, Frantsiyants EM, et al. Neurotransmitter systems of female mouse brain during growth of malignant melanoma modeled on the background of chronic pain. Pathogenesis. 2017;15(4):49–55. doi: 10.25557/GM.2018.4.9749
- Kit OI, Kotieva IM, Frantsiyants EM, et al. Angiogenesis growth factors in the intact and pathologically changed skin of female mice with malignant melanoma, which develops on the background of chronic pain. Russian Journal of Pain. 2017;3-4(54):17–25. (In Russ).
Supplementary files



















