The role of tumor-associated neutrophils in early luminal HER2-negative breast cancer progression
- 作者: Bagateliya Z.A.1, Titov K.S.1, Zakurdaev E.I.1, Lorie Z.V.1, Chizhikov N.P.1, Kharina D.V.1
-
隶属关系:
- S.P. Botkin City Clinical Hospital
- 期: 卷 28, 编号 3 (2023)
- 页面: 111-117
- 栏目: Original Study Articles
- ##submission.dateSubmitted##: 04.12.2023
- ##submission.dateAccepted##: 06.02.2024
- ##submission.datePublished##: 10.07.2024
- URL: https://rjonco.com/1028-9984/article/view/624111
- DOI: https://doi.org/10.17816/onco624111
- ID: 624111
如何引用文章
详细
BACKGROUND: Luminal HER2-negative breast cancer is the most common type of tumor in women diagnosed with early-stage breast cancer. Stromal cells and immune cells in tumor microenvironment have been reported to play a significant role in cancer prognosis. The prognostic role of tumor-associated neutrophils in early breast cancer remains mostly unclear.
AIM: To study predictive role tumor-associated neutrophils in early luminal HER2-negative breast cancer.
MATERIALS AND METHODS: The dataset consisted of 60 patients with early luminal HER2-negative breast cancer treated in S.P. Botkin City Clinical Hospital (Moscow, Russia). We first estimated basic morphological signs: tumor size, tumor grade (by Nottingham Histologic Score), tumor-infiltrating lymphocytes, lymphovascular invasion, hormonal receptors status, proliferative index, regional lymph nodes status. The expression of intratumoral neutrophils was studied using immunohistochemistry with CD15.
RESULTS: High tumor-associated neutrophils concentration was correlated with tumor size, high grade tumors, proliferative index, tumor-infiltrating lymphocytes, lymphovascular invasion and positive regional lymph nodes.
CONCLUSION: Tumor-associated neutrophils predicted a worse prognosis in early luminal HER2-negative breast cancer.
全文:
ОБОСНОВАНИЕ
В России рак молочной железы находится на первом месте в структуре онкологической заболеваемости (20,9%) и смертности (16,2%). С 2008 по 2018 год количество диагностированных случаев рака молочной железы I–II стадий увеличилось с 62,7% до 71,2%. Стандартизованный показатель смертности при этом снизился с 17,05 до 14,02 [1].
Наиболее благоприятные по прогнозу и выживаемости люминальные HER2-негативные ранние карциномы молочной железы в течение 5 лет дают до 8% случаев рецидивов заболевания [2]. Для понимания, в каких случаях карциномы люминального типа могут протекать агрессивно, а в каких нет, оцениваются различные морфологические прогностические факторы: размеры и дифференцировка опухоли, микроокружение опухоли, статус гормональных рецепторов и экспрессия биомаркёров (HER2, Ki67, PD-L1 и др.) [3].
Опубликовано много работ по изучению прогностического значения опухолевого микроокружения рака молочной железы, при этом довольно подробно исследованы опухоль-инфильтрирующие лимфоциты, а такие клетки, как макрофаги, тучные клетки и нейтрофилы, к сожалению, исследованы недостаточно [4].
Цель. Исследовать прогностическую роль нейтрофилов опухолевого микроокружения для ранних стадий люминального HER2-негативного рака молочной железы.
МАТЕРИАЛЫ И МЕТОДЫ
Объектом патоморфологического исследования стали 60 женщин в возрасте от 31 года до 79 лет (средний возраст — 60±11 лет), прооперированных по поводу люминального HER2-негативного протокового рака молочной железы:
- радикальная резекция молочной железы с биопсией сторожевого лимфатического узла была выполнена в 15 случаях (25%);
- радикальная резекция с биопсией сторожевого лимфатического узла и Z-пластикой — в 2 случаях (3%);
- радикальная резекция с аксиллярной лимфодиссекцией — в 16 случаях (27%);
- радикальная мастэктомия по Маддену — в 23 случаях (38%);
- радикальная подкожная мастэктомия с одномоментной пластикой — в 3 случаях (5%).
При изучении операционного материала карциномы молочной железы размером 5–10 мм были выявлены в 7 наблюдениях (12%), 10–20 мм — в 35 (58%), более 20 мм — в 18 (30%).
Опухоли I степени дифференцировки по системе Nottingham Histologic Score были обнаружены в 10 случаях (16%), II степени — в 34 (57%), III степени — в 16 (27%).
Лимфоваскулярная инвазия определялась в 23 наблюдениях (38%), а периневральная инвазия — в 14 (23%).
Количество опухоль-ассоциированных лимфоцитов варьировало от 0 до 14 и в среднем составило 4,2±0,5%.
Люминальный А фенотип опухоли был выявлен в 35 случаях (58%), а люминальный B HER2-негативный — в 25 (42%).
У 19 (32%) женщин имелись метастазы в регионарных лимфатических узлах (N+).
В начале ретроспективно изучались протоколы патоморфологического исследования операционного материала. В случае недостающих данных гистологический архив дополнительно анализировался.
Далее проводилось иммуногистохимическое исследование опухолевых нейтрофилов с использованием тканевых микрочипов. Метод тканевых микрочипов считается лучшим методом оценки большой выборки, несмотря на некоторые ограничения в виде среза небольшого участка опухоли [5]. Для нивелирования недостатков метода тканевых микрочипов выбирались наиболее репрезентативные участки опухоли. Всего было приготовлено 120 тканевых микрочипов из 60 парафиновых блоков опухоли. В качестве внешнего контроля использовался тканевой микрочип нёбной миндалины. Использование метода тканевых микрочипов в конечном итоге позволило сэкономить реактивы.
Перед изготовлением тканевых микрочипов архивные гистопрепараты, окрашенные гематоксилином и эозином, сканировались с помощью гистосканера Pannoramic Desk (3DHistech, Венгрия). В программе Pannoramic Viewer (3DHistech, Венгрия) производилась отметка двух наиболее репрезентативных фокусов опухоли.
На аппарате TMA Master (3DHistech, Венгрия) (рис. 1) из парафиновых блоков опухоли (блоков-доноров) высверливались столбики диаметром 2 мм. Далее они перемещались в заранее просверленные отверстия в пустом парафиновом блоке (блоке-реципиенте). Всё это производилось автоматизировано по ранее нанесённым разметкам.
Рис. 1. Аппарат TMA Master (3DHistech, Венгрия).
Fig. 1. TMA Master device (3DHistech, Hungary).
В конечном итоге получались новые парафиновые блоки с 4–8 тканевыми микрочипами опухоли разных случаев.
С парафиновых блоков-реципиентов с тканевыми микрочипами выполнялись срезы толщиной 4 мкм. Проводилась депарафинизация, гидратация, термическая демаскировка, инкубация срезов. В качестве антитела использовалось мышиное моноклональное антитело anti-CD15 (Roche Diagnostics, Швейцария). Иммуногистохимические реакции проводились в полностью автоматизированной системе Ventana (Roche Diagnostics, Швейцария).
Готовые иммуногистохимические препараты исследовались на микроскопе Axio Scope.A1 (Zeiss, Германия). В сомнительных случаях гистопрепараты сканировались и просматривались в программе Pannoramic Viewer (рис. 2).
Рис. 2. Иммуногистохимический препарат блока-реципиента с 4 тканевыми микрочипами опухоли разных случаев.
Fig. 2. Immunohistochemical sample of the recipient block with 4 tumor tissue microarrays from different cases.
По методике E. Soto-Perez-de-Celis и соавт. [6] в 5 полях высокой мощности (5 HPF) подсчитывалось общее количество CD15-нейтрофилов среди раковых клеток, то есть опухолевых нейтрофилов.
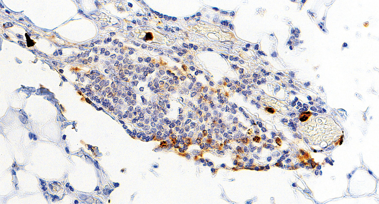
Интраваскулярные нейтрофилы (рис. 3) и нейтрофилы в зонах некроза опухоли не включались в исследование. Инфильтрация нейтрофилами опухоли считалась позитивной при наличии ≥1 нейтрофила, а негативной, соответственно, в случае отсутствия нейтрофилов.
Рис. 3. CD15-нейтрофилы в просвете сосудов.
Fig 3. Blood vessels with CD15 neutrophils.
При статистической обработке данных использовались критерии Манна–Уитни, Краскела–Уоллиса, коэффициент корреляции Спирмена, хи-квадрат Пирсона. Различия считались достоверными при p ≤0,05.
РЕЗУЛЬТАТЫ
Нейтрофилы опухолевого микроокружения достоверно чаще встречались при N+ люминальных HER2-негативных карциномах молочной железы (17% против 90%, p=0,001). Количество нейтрофилов опухолевого микроокружения при люминальных HER2-негативных карциномах молочной железы варьировало от 1 до 10 (подсчитано в 5 HPF) со средним показателем 2,7±0,4.
В зависимости от размеров опухоли не было достоверных различий в количестве нейтрофилов (p=0,1):
- при опухолях 5–10 мм — 0,4±0,2 нейтрофилов;
- при опухолях 10–20 мм — 1,4±0,4 нейтрофилов;
- при опухолях более 20 мм — 2,9±0,7 нейтрофилов.
Однако имелась достоверная статистическая зависимость между размером карцином молочной железы и самим фактом наличия и отсутствия опухолевых нейтрофилов (табл. 1).
Таблица 1. Опухоль-ассоциированные нейтрофилы при различных размерах карцином молочной железы
Table 1. Tumor-associated neutrophils at different sizes of breast cancer tumors
Размер опухоли | CD15+ | CD15– |
5–10 мм | 2 (28%) | 5 (72%)* |
10–20 мм | 15 (43%) | 20 (57%) |
>20 мм | 14 (78%)* | 4 (22%) |
* различия достоверны при p=0,05.
* statistically significant at p=0.05.
Не было статистически значимых различий количества нейтрофилов опухолевого микроокружения в зависимости от степени дифференцировки карцином: при I степени — 0,2±0,1, при II степени — 1,6±0,4, при III степени — 3,0±0,6 (p=0,2). Между тем отсутствие нейтрофилов достоверно чаще наблюдалось при карциномах I степени дифференцировки, а наличие нейтрофилов — при III степени (табл. 2).
Таблица 2. Опухоль-ассоциированные нейтрофилы при различной степени дифференцировки карцином молочной железы
Table 2. Tumor-associated neutrophils at different grades of breast cancer
Степень дифференцировки опухоли | CD15+ | CD15– |
G1 | 1 (10%) | 9 (90%)* |
G2 | 15 (44%) | 19 (56%) |
G3 | 15 (94%)* | 1 (6%) |
* различия достоверны при p=0,01.
* statistically significant at p=0.01.
В карциномах с лимфоваскулярной инвазией количество нейтрофилов было достоверно больше: 2,95±0,6 против 1,0±0,3 (p=0,01). Количество нейтрофилов не зависело от периневральной инвазии: 1,52±0,4 против 2,4±0,8 (p=0,1). С увеличением количества опухоль-ассоциированных лимфоцитов карциномы были более инфильтрированы нейтрофилами (r=0,5; p=0,05).
Количество нейтрофилов опухолевого микроокружения не было связано с экспрессией рецепторов эстрогена (r=0,18) и прогестерона (r=0,14), но позитивно коррелировало с экспрессией Ki67 (r=0,67; p=0,05).
В этой связи некоторое преобладание нейтрофилов при люминальных B опухолях, которые отличаются высоким уровнем экспрессии Ki67, было вполне ожидаемым (3,2±0,6 против 0,6±0,2), хотя различия не были статистически достоверными (p=0,1).
Однако имелись статистически значимые различия между люминальными А и B карциномами в отношении самого факта наличия или отсутствия опухоль-ассоциированных нейтрофилов (табл. 3).
Таблица 3. Опухоль-ассоциированные нейтрофилы при различном подтипе люминальных карцином молочной железы
Table 3. Tumor-associated neutrophils at different subtypes of luminal breast cancer
Тип опухоли | CD15+ | CD15– |
Люминальный А | 13 (37%) | 22 (63%)* |
Люминальный B | 18 (72%)* | 7 (28%) |
* различия достоверны при p=0,01.
* statistically significant at p=0.01.
ОБСУЖДЕНИЕ
В настоящее время появляется всё больше доказательств важной роли нейтрофилов опухолевого микроокружения в инициации и прогрессии рака. Нейтрофилы способствуют и помогают росту и метастазированию злокачественной опухоли [3].
Довольно хорошо изучена роль нейтрофилов при раке желудка, толстой кишки, шейки матки, печени, поджелудочной железы и почки [7, 8]. Исследований нейтрофилов при раке молочной железы значительно меньше, что делает актуальным данную проблему. Большинство работ касается исследования агрессивных фенотипов рака молочной железы (тройные негативные и нелюминальные HER2-позитивные) [4], тогда как люминальные HER2-негативные опухоли исследуются, к сожалению, гораздо реже. В целом, несмотря на благоприятный прогноз, люминальный рак молочной железы тоже может рано метастазировать, но при этом неизвестна роль нейтрофилов.
В карциномах различают нейтрофилы опухолевого микроокружения и циркулирующие в крови нейтрофилы [6]. Нейтрофилы находятся среди клеток рака и относятся к микроокружению опухоли. Они индуцируют миграцию, инвазию и эпителиально-мезенхимальный переход опухолевых клеток. Циркулирующие нейтрофилы связывают клетки рака в просвете сосудов и способствуют их экстравазации во вторичные органы, то есть развитию метастазов. Для изучения роли нейтрофилов в развитии карцином рекомендовано исследовать только нейтрофилы опухолевого микроокружения, так как именно они непосредственно контактируют с клетками рака [4, 6].
Наиболее точная оценка количества нейтрофилов достигается иммуногистохимическим окрашиванием, например, CD15, что и было использовано в данной работе. Оценка нейтрофилов при стандартной окраске гематоксилином и эозином менее точна, так как их можно легко пропустить или перепутать с другими клетками.
В исследованной выборке количество нейтрофилов опухолевого микроокружения варьировало от 0 до 10 в 5 HPF, что несколько противоречит данным литературы. В работе E. Soto-Perez-de-Celis и соавт. [6] вариабельность нейтрофилов была меньше и составила 0–2 в 10 HPF, однако выборка включала все варианты иммунофенотипа карцином, а подсчёт клеток вёлся на фоне стандартной окраски гематоксилином и эозином. Вариация нейтрофилов в исследовании G. Sheng-Kai и соавт. [9] была больше и составила 0–225 в 5 HPF, при этом во всех случаях проводилась неоадъювантная системная химиотерапия, а нейтрофилы выявлялись иммуногистохимическим окрашиванием с более чувствительным антителом CD66b.
Исследования морфологических закономерностей нейтрофилов весьма точно характеризуют их роль в прогрессировании карцином молочной железы, в частности люминального HER2-негативного фенотипа. По данным E. Soto-Perez-de-Celis и соавт. [6], нейтрофилы опухолевого микроокружения при различных молекулярных типах рака молочной железы не связаны с размером опухоли и регионарными метастазами. С другой стороны, исследования A. Grassadonia и соавт. [2] доказали связь повышенного количества нейтрофилов в крови с прогрессированием люминальных карцином молочной железы.
В проведённой работе наличие опухолевых нейтрофилов в раке молочной железы коррелировало с увеличением размеров и ухудшением дифференцировки опухоли, развитием лимфоваскулярной инвазии и появлением метастазов в регионарных лимфатических узлах.
Согласно C. Criscitiello и соавт. [3], наличие опухоль-инфильтрирующих лимфоцитов более 5% способствует росту, лимфоваскулярной инвазии и метастазированию люминальных опухолей рака молочной железы.
В данной работе доказано прогностически неблагоприятное значение и опухоль-инфильтрирующих лимфоцитов, так как их количество позитивно коррелировало с количеством опухоль-ассоциированных нейтрофилов (r=0,5).
Известно о связи между периневральной инвазией и опухоль-ассоциированными нейтрофилами при карциномах желудочно-кишечного тракта и панкреатобилиарной области [7, 8]. При люминальном раке молочной железы такой закономерности, как оказалось, нет. Однако это не значит, что в других более агрессивных типах рака молочной железы (тройные негативные и нелюминальные HER2-позитивные опухоли) тоже не будет связи между опухолевыми нейтрофилами и периневральной инвазией. Агрессивные карциномы молочной железы, по данным O. Oğuzhan и соавт. [4], отличаются большим количеством лимфоцитов, макрофагов, нейтрофилов и других клеток опухолевого микроокружения. В этих опухолях чаще имеется и периневральная инвазия, которая, вполне возможно, коррелирует с количеством нейтрофилов.
ЗАКЛЮЧЕНИЕ
Опухолевые нейтрофилы в люминальном HER2-негативном раке молочной железы ассоциированы с увеличением размеров опухоли и уменьшением её дифференцировки, лимфоваскулярной инвазией и метастазами в регионарные лимфатические узлы. Логична разработка терапевтических препаратов, направленных на опухолевые нейтрофилы при раке молочной железы. Методология тканевых микрочипов в морфологических исследованиях сокращает расход дорогостоящих иммуногистохимических реактивов.
ДОПОЛНИТЕЛЬНАЯ ИНФОРМАЦИЯ
Источник финансирования. Авторы заявляют об отсутствии внешнего финансирования при проведении исследования и подготовке рукописи.
Конфликт интересов. Авторы декларируют отсутствие явных и потенциальных конфликтов интересов, связанных публикацией настоящей статьи.
Вклад авторов. Все авторы подтверждают соответствие своего авторства международным критериям ICMJE (все авторы внесли существенный вклад в разработку концепции, проведение исследования и подготовку статьи, прочли и одобрили финальную версию перед публикацией). Наибольший вклад распределён следующим образом: З.А. Багателия, К.С. Титов — редактирование статьи; Е.И. Закурдаев — обзор литературы, сбор и анализ данных, написание текста и редактирование статьи; З.В. Лорие, Н.П. Чижиков, Д.В. Харина — сбор и анализ данных.
Благодарности. Коллектив авторов выражает благодарность медицинскому технологу Р.Г. Ахмедханову за помощь с изготовлением тканевых микрочипов и иммуногистохимических препаратов.
ADDITIONAL INFORMATION
Funding source. This publication was not supported by any external sources of funding.
Competing interests. The authors declare that they have no competing interests.
Authors’ contribution. All authors made a substantial contribution to the conception of the work, acquisition, analysis, interpretation of data for the work, drafting and revising the work, final approval of the version to be published and agree to be accountable for all aspects of the work. Bagateliya ZA, Titov KS — editing the paper; Zakurdaev EI — literature review, collection and analysis of follow-up data, writing and editing the paper; Lorie ZV, Chizhikov NP, Kharina DV — collection and analysis of follow-up data.
Acknowledgements. The team of authors expresses gratitude to the medical technologist Akhmedkhanov RG for his help in making tissue microarrays and immunohistochemical tissue samples.
作者简介
Zurab Bagateliya
S.P. Botkin City Clinical Hospital
Email: zambotk@botkinmoscow.ru
ORCID iD: 0000-0001-5699-3695
SPIN 代码: 5391-5670
MD, Dr. Sci. (Medicine), Professor
俄罗斯联邦, MoscowKonstantin Titov
S.P. Botkin City Clinical Hospital
Email: ks-titov@mail.ru
ORCID iD: 0000-0003-4460-9136
SPIN 代码: 7795-6512
MD, Dr. Sci. (Medicine), Professor
俄罗斯联邦, MoscowEvgenii Zakurdaev
S.P. Botkin City Clinical Hospital
编辑信件的主要联系方式.
Email: ezakurdaev@yandex.ru
ORCID iD: 0000-0001-8613-9609
SPIN 代码: 2404-1579
MD, Cand. Sci. (Medicine)
俄罗斯联邦, MoscowZoya Lorie
S.P. Botkin City Clinical Hospital
Email: zoelorie@mail.ru
俄罗斯联邦, Moscow
Nikita Chizhikov
S.P. Botkin City Clinical Hospital
Email: chizhikovnp@yandex.ru
俄罗斯联邦, Moscow
Daria Kharina
S.P. Botkin City Clinical Hospital
Email: paukwwq@gmail.com
俄罗斯联邦, Moscow
参考
- Breast Cancer. Clinical guidelines. ID 379. Approved by the Scientific and Practical Council of the Ministry of Health of the Russian Federation. 2021. Available from: https://cr.minzdrav.gov.ru/schema/379_4 (In Russ)
- Grassadonia A, Graziano V, Iezzi L, et al. Prognostic Relevance of Neutrophil to Lymphocyte Ratio (NLR) in Luminal Breast Cancer: A Retrospective Analysis in the Neoadjuvant Setting. Cells. 2021;10(7):1685. doi: 10.3390/cells10071685
- Criscitiello C, Vingiani A, Maisonneuve P, et al. Tumor-infiltrating lymphocytes (TILs) in ER+/HER2-breast cancer. Breast Cancer Res Treat. 2020;183(2):347–354. doi: 10.1007/s10549-020-05771-7
- Okcu O, Öztürk SD, Öztürk Ç, et al. Tumor-infiltrating lymphocytes (TILs)/volume and prognosis: The value of TILs for survival in HER2 and TN breast cancer patients treated with chemotherapy. Ann Diagn Pathol. 2022;58. doi: 10.1016/j.anndiagpath.2022.151930
- Pawelczyk K, Piotrowska A, Ciesielska U, et al. Role of PD-L1 Expression in Non-Small Cell Lung Cancer and Their Prognostic Significance according to Clinicopathological Factors and Diagnostic Markers. Int J Mol Sci. 2019;20(4):824. doi: 10.3390/ijms20040824
- Soto-Perez-de-Celis E, Chavarri-Guerra Y, Leon-Rodriguez E, Gamboa-Dominguez A. Tumor-Associated Neutrophils in Breast Cancer Subtypes. Asian Pac J Cancer Prev. 2017;18(10):2689–2693. doi: 10.22034/APJCP.2017.18.10.2689
- Wang Y, Zhai J, Zhang T, et al. Tumor-Associated Neutrophils Can Predict Lymph Node Metastasis in Early Gastric Cancer. Front Oncol. 2020;10. doi: 10.3389/fonc.2020.570113
- Ji F, Kang Q, Wang L, et al. Prognostic significance of the neutrophil-to-lymphocyte ratio with distal cholangiocarcinoma patients. Medicine (Baltimore). 2020;99(43):e22827. doi: 10.1097/MD.0000000000022827
- Geng SK, Fu SM, Ma SH, Fu YP, Zhang HW. Tumor infiltrating neutrophil might play a major role in predicting the clinical outcome of breast cancer patients treated with neoadjuvant chemotherapy. BMC Cancer. 2021;21(1):68. doi: 10.1186/s12885-021-07789-6
补充文件






