Diagnosis of metastatic melanoma by fine-needle aspiration biopsy and primary melanoma by using the skin and mucousa imprints
- Authors: Grigoruk O.G.1,2, Pupkova E.E.1, Bazulina L.M.1, Vikhlyanov I.V.1,2
-
Affiliations:
- Altai Regional Oncology Dispensary
- Kemerovo State Medical University
- Issue: Vol 28, No 3 (2023)
- Pages: 119-129
- Section: Original Study Articles
- Submitted: 07.02.2024
- Accepted: 28.02.2024
- Published: 10.07.2024
- URL: https://rjonco.com/1028-9984/article/view/626586
- DOI: https://doi.org/10.17816/onco626586
- ID: 626586
Cite item
Abstract
BACKGROUND: Determination of the cytogenetic origin and morphological type of metastatic or primary tumor determines the prescription of therapy and affects the efficiency of patient’s treatment. Currently, a number of publications evaluate the potential of cytological diagnostics of melanoma.
AIM: To evaluate the significance of diagnosing metastatic melanoma by fine-needle aspiration biopsy and primary melanoma by using the skin and mucosa imprints.
METHODS: In a retrospective study, a comparative analysis of cytological melanoma samples, in comparison with clinical and anamnestic information and the results of histological, immunohistochemical, and molecular genetic studies, was carried out. Information about 109 patients from the cancer registry of the Altai Regional Oncology Dispensary (Barnaul, Russia) for 2022 was used in the study. Traditional and liquid-based methods for preparing samples were used. The samples were stained using Pappenheim and Papanicolaou methods. In some observations, cytological material was used for molecular genetic studies. Using the cancer registry data of the dispensary, the results of histological and of molecular genetic studies, and a final conclusion was given about each patient.
RESULTS: Fine-needle aspiration biopsy was carried out in 80 patients. Tumor smears were obtained from 29 patients. The cytological diagnose “melanoma” was consistent with the data of histological and immunohistochemical studies (p <0.001) for all 109 patients. Melanoma was diagnosed for the first time in 66 (60.5%) patients. In other cases, the process of progression was noted within the period from one year to 20 years. Epidermal melanoma was noted in 101 (92.7%) cases, including 9 patients with acral melanoma, and 2 cases with localization on the vulva. Melanomas of mucosa were found in 5 cases (4.5%): in the rectum and anal canal, vagina, and in 2 cases on the hard palate. Non-epidermal (uveal) melanomas metastases were diagnosed in liver by fine-needle aspiration biopsy in 3 patients (2.8%). Based on the cellular composition, epithelioid cell melanoma was determined in 81 (74.3%) patients, mixed cell in 14 (12.8%) cases, spindle cell in 9 (8.2%), pigmentless in 2 (1.8%) cases and nevoid melanoma in 1 (0.9%) case. The mutation status was determined in 96 patients (88.1%). Of these, in 8 patients it was determined using cytological material. In epidermal melanomas, mutations in codon 600 of exon 15 of the BRAF gene were found in 43 (44.8%) patients, including 2 cases of acral melanoma. Mutations V600K, V600E/Ec were found in one patient each. In mucousal melanomas: Q61R mutation was found in exon 3 of the NRAS gene (vaginal melanoma), G12C mutation was identified in exon 2 of the NRAS gene (anal canal melanoma). In uveal melanomas, the assessed mutations were absent (it is necessary to determine mutation is GNAQ11 and BAP1 genes).
CONCLUSION: Cytological diagnosis of melanoma by fine-needle aspiration biopsies and imprints from the tumor mass is a highly informative method that allows diagnosing melanoma and verifying the tumor subtype. The obtained results indicate tumor heterogeneity and differences in mutational status depending on the location of melanomas. The molecular classification of melanoma is important when choosing individualized therapy.
Full Text
ОБОСНОВАНИЕ
Меланома — злокачественное новообразование нейроэктодермального происхождения, агрессивная и непредсказуемая опухоль, обладающая быстрым ростом и высоким потенциалом метастазирования. Заболеваемость меланомой растёт во всем мире, в последние десятилетия (за 40 лет) она увеличилась среди молодых женщин в 8 раз, а среди молодых мужчин — в 4 раза [1, 2]. Соотношение женщин к мужчинам среди заболевших меланомой в возрасте 20–24 лет составляет 10:4; среди пациентов в возрасте >55 лет преобладают мужчины (отношение 16:10) [3]. Меланома составляет 5% общего числа злокачественных опухолей кожи, но при этом является причиной более 80% смертей, приходящихся на эту группу новообразований, в отличие от базальноклеточного и плоскоклеточного рака кожи [4]. В среднем ежегодный прирост показателя заболеваемости меланомой кожи составляет 3–7% у представителей европеоидной расы в зависимости от той или иной этнической принадлежности [4]. Ежегодно в России меланома диагностируется у ~12 тысяч человек (4588 мужчин и 6824 женщин, по данным за 2021 год), что составляет 5–8 человек на 100 тыс. населения для обоих полов [5]. В Алтайском крае в 2022 году было зарегистрировано 220 новых случаев меланомы. Из них 74 у мужчин, и 146 — у женщин.
Меланома кожи возникает из клеток кожи (меланоцитов) в тканях, содержащих пигмент (кожа, слизистые оболочки, глаза, центральная нервная система). Основной фактор риска развития меланомы кожи — это ультрафиолетовое солнечное излучение. Меланоцитарные опухоли на участках кожи делятся на две группы: подвергающиеся периодической и хронической инсоляции. На восприимчивость меланоцитов к ультрафиолетовому излучению могут влиять разные, в том числе генетические (наследственные), факторы.
Наследственная предрасположенность является значимым фактором риска. В 2002 г. было обнаружено, что приблизительно в 40–60% образцов меланомы кожи присутствуют мутации гена, кодирующего протеинкиназу BRAF, причём наиболее частой мутацией в гене BRAF при меланоме кожи (около 90%) является мутация V600 [6, 7]. Реже встречаются мутации генов NRAS (25%), NF-1 (10%) и с-KIT (6%) [8–10]. В исследованиях российских учёных было обнаружено, что соматические мутации гена BRAF выявляются в ~60–64% первичных опухолей кожи с наибольшей распространённостью среди пациентов молодого и среднего возраста [9, 10].
Меланомы, в зависимости от места локализации первичного очага, различаются клиническим поведением, связаны с разными этиологическими факторами и проявляют различные молекулярно-генетические профили [8–10]. Меланомы подразделяются на 3 группы:
- Эпидермальные меланомы. Отмечаются чаще всего, составляют 88–90% всех случаев.
- Меланомы слизистых (полость рта, влагалище, шейка матки и др.). На них приходится 1–4% случаев.
- Неэпидермальные (увеальные) меланомы. Составляют 3,7–5% случаев [11].
В зависимости от клеточного состава выделяют пять основных морфологических типов: эпителиоидные, веретеноклеточные, невоидные, беспигментные и смешанные. Эпителиоидноклеточные экземпляры встречаются наиболее часто и обычно не вызывают трудностей диагностики при типичной морфологической картине.
Нередко на момент обнаружения заболевания у пациентов уже отмечаются метастазы. Региональные лимфатические узлы — первые и наиболее распространённые места метастазирования, за ними следуют отдалённые метастазы в лёгкие, печень, головной мозг и кости [1]. В такой клинической ситуации тонкоигольная аспирационная биопсия (ТИАБ) часто является первой диагностической процедурой. ТИАБ позволяет получить быстрый и точный диагноз в сочетании с инструментальными методами и молекулярным анализом. Кроме того, ТИАБ даёт возможность провести повторное исследование при неудачном получении материала первично, а также получить цитологический материал из анатомических участков, биопсия которых невозможна.
Доказательства диагностической эффективности ТИАБ при оценке метастатической опухоли представлены в научной литературе. Чувствительность и специфичность ТИАБ оцениваются от 86,5% до 100% [12, 13], в среднем — 92,3% и 100% соответственно. Частота ложноположительных и ложноотрицательных результатов колеблется от 0,6% до 2% и от 0% до 8% соответственно [12, 13].
Цель — оценить значение диагностики метастатической меланомы методом ТИАБ и диагностики первичной меланомы по отпечаткам с кожи и слизистых оболочек.
МЕТОДЫ
Дизайн исследования
Наблюдательное одномоментное одноцентровое ретроспективное сплошное исследование.
Критерии соответствия, условия проведения и продолжительность исследования
Исследование выполнено в Краевом государственном бюджетном учреждении здравоохранения «Алтайский краевой онкологический диспансер» (г. Барнаул). Используя базу данных канцер-регистра учреждения, проведён сравнительный анализ результатов цитологических исследований пункционного материала, а также отпечатков с кожи и слизистых оболочек различных органов пациентов, имеющих в заключении диагноз «меланома», с клинико-анамнестическими сведениями и результатами гистологических, иммуногистохимических и молекулярно-генетических исследований. В исследование были включены все 109 пациентов, диагностированных в течение 2022 года.
Методы диагностики
Для цитологической диагностики использовали материал ТИАБ, полученный под ультразвуковым контролем. Отпечатки с образований кожи и различных органов получали традиционным способом. Препараты окрашивали по методу Паппенгейма и Папаниколау. В некоторых наблюдениях применяли метод жидкостной цитологии с использованием процессора ThinPrep™ (Hologic Inc., США) с приготовлением препаратов для иммуноцитохимического исследования c антителом HMB-45.
При отсутствии возможности использования ткани опухоли, в некоторых наблюдениях использовали цитологический материал для проведения молекулярно-генетических исследований на амплификаторах Cobas Z480 (Roche, США) и CFX-96 (BioRad, США). Оценивали мутации в 600-м кодоне 15-го экзона гена BRAF, а также мутации в 12-м кодоне 2-го экзона (G12D, G12C, G12S), в 13-м кодоне 2-го экзона (G13D, G13R) и в 61-м кодоне 3-го экзона (Q61K, Q61L, Q61R) гена NRAS.
Используя информацию канцер-регистра диспансера, результаты гистологического исследования и молекулярно-генетические данные, проводили окончательное суждение о каждом пациенте с применением методов доказательной медицины. Морфологическое исследование удалённого очага с последующим иммуногистохимическим исследованием является определяющим в диагностике.
Статистический анализ
Статистический анализ выполнен в программе Statistica 10.0 (Stat. Soft Inc., США). Оценку различий частот для двух групп проводили по двустороннему точному критерию Фишера, для трёх и более групп — по критерию хи-квадрат Пирсона. Для применённых статистических критериев принят критический уровень значимости p <0,05.
РЕЗУЛЬТАТЫ
В исследование вошли 109 пациентов в возрасте от 30 до 88 лет, обследованных и пролеченных в КГБУЗ «Алтайский краевой онкологический диспансер» в течение 2022 года. Женщин было 59 (54,1%), мужчин — 50 (45,9%). Впервые установлена меланома у 66 (60,6%) пациентов (табл. 1).
Таблица 1. Цитологическое исследование случаев меланом по локализациям
Table 1. Cytological study of melanoma cases by localization
Параметры Options | Локализация / Localization | |||
Лимфатические узлы The lymph nodes (Доля от всех пациентов, n=109) | Мягкотканые образования Soft tissue tumor masses (Доля от всех пациентов, n=109) | Печень / Liver (Доля от всех пациентов, n=109) | Отпечатки кожи и слизистых The skin and mucousa imprints (Доля от всех пациентов, n=109) | |
Количество пациентов Total number of patients | 51 (46,8%) | 26 (23,9%) | 3 (2,8%) | 29 (26,5%) |
Из них впервые установлена меланома First time diagnosed melanoma | 37 | – | – | 25 — кожа 4 — слизистые |
Меланома диагностирована ранее Melanoma previously diagnosed | 14 | 26 (23,9%) | 3 (2,8%) | – |
Чаще всего цитологическим методом диагностировали меланому при метастазах в лимфатические узлы: n=51, в числе которых 37 пациентов, обратившихся впервые в поликлинику онкологического диспансера. Цитологический метод диагностики при определении метастаза меланомы во время обследования пациентов без установленного первичного очага являлся пусковым процессом морфологической диагностики, опережая гистологические и иммуногистохимические исследования.
За изучаемый период диагностированы по материалу соскобов и отпечатков с кожи 2997 пациентов. Базальноклеточные карциномы установлены у 856 больных, плоскоклеточные карциномы и карциномы придатков кожи диагностированы у 216. Отпечатки с образований кожи при меланоме на цитологическое исследование делают редко, всего 29 наблюдений (0,97% обследуемых пациентов).
Прогрессирование процесса отмечено у 43 пациентов:
- в течение года — у 19 (44,2%) пациентов;
- в течение двух лет — у 9 (20,9%) человек;
- за период от 3 до 5 лет — у 10 (23,3%) человек;
- за период более 5 лет — у 4 (9,3%) человек;
- через 20 лет — у одного (2,3%) пациента.
Первичное образование (учитывая все наблюдения) располагалось на:
- спине, голени, бедре (n=17; n=12; n=5);
- грудной и брюшной стенке (n=8; n=4);
- плече и лопатке (n=8; n=4);
- поясничной и паховой области (n=3; n=3);
- щеке и носе (n=3; n=2);
- волосистой части головы, крестце, шее, кисти рук, а также на ушной раковине (по 2 наблюдения).
У 9 пациентов первичный очаг обнаружен не был.
Эпидермальная меланома отмечена в 101 (92,7%) случае, в числе которых 9 пациентов с редкой акральной меланомой, 2 — с локализацией новообразований на вульве. Меланомы слизистых обнаружены в 5 наблюдениях (4,5%): в прямой кишке и анальном канале, влагалище, в 2 случаях — на твёрдом нёбе. Неэпидермальные (увеальные) меланомы диагностированы в пункционном материале печени у 3 пациентов (2,8%). Обнаружение элементов меланомы в цитологическом материале эпидермального, слизистого и неэпидермального происхождения полностью совпало с данными гистологических и иммуногистохимических исследований (p <0,001).
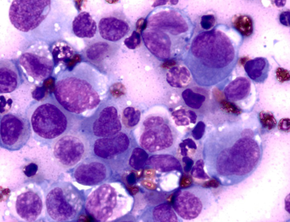
Гистологический тип меланомы определён цитологически в 107 (98,2%) наблюдениях:
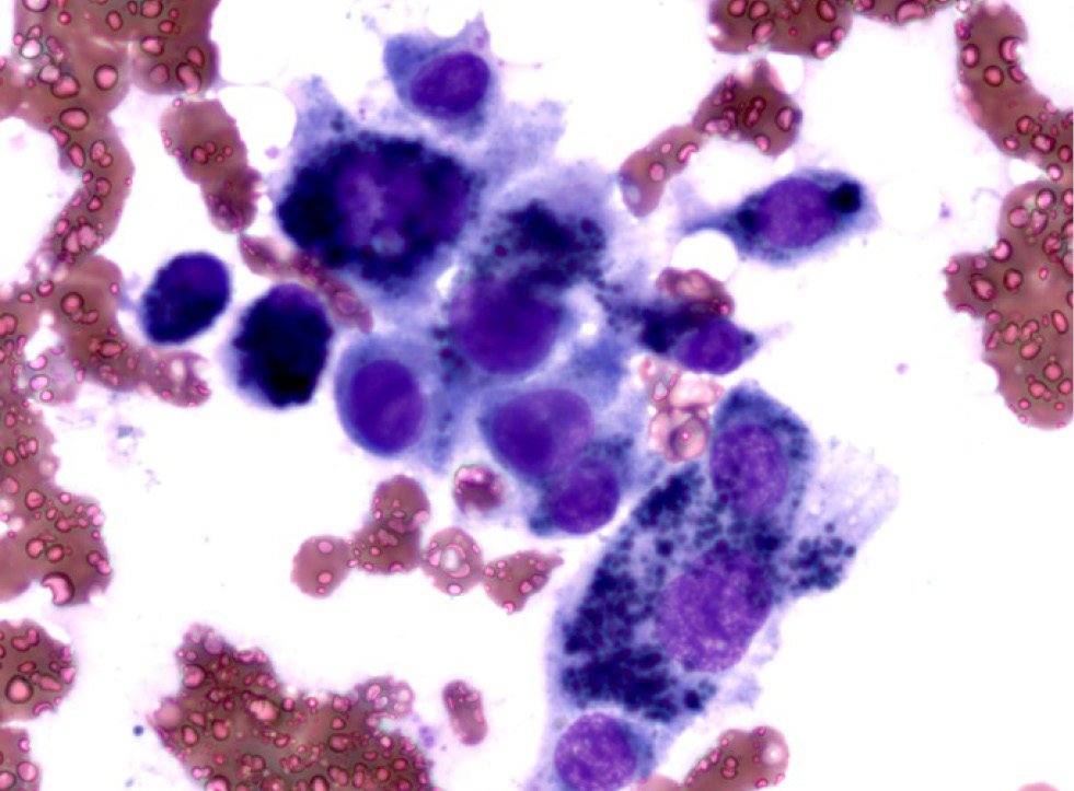
- эпителиоидноклеточная меланома (рис. 1) определена у 81 (74,3%) пациента (в одном из случаев в биопсийном материале установлена меланома in situ);
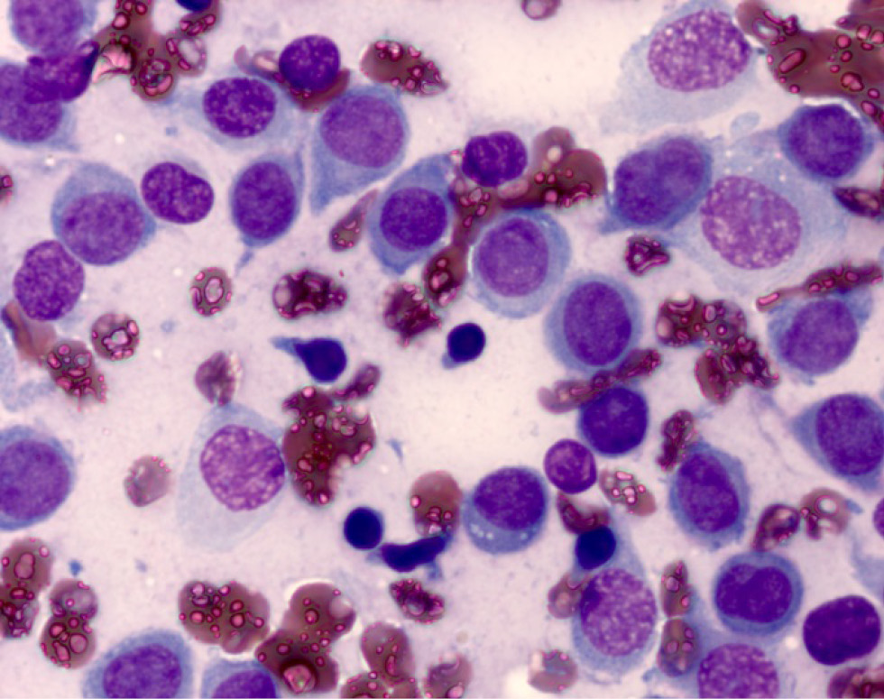
- смешанноклеточная (рис. 2) — у 14 (12,8%) пациентов;
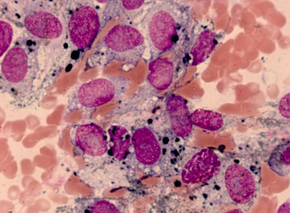
- веретеноклеточная (рис. 3) — у 9 (8,2%) пациентов;
- беспигментная — у 2 (1,8%) пациентов;
- невоидная — у 1 (0,9%) пациента.
Рис. 1. Тонкоигольная пункционная биопсия лимфатического узла. Эпителиоидноклеточная меланома. Окрашивание по Паппенгейму, ×1000.
Fig. 1. Fine-needle aspiration biopsy of the lymph node. Epithelioid cell melanoma. Pappenheim staining, ×1000.
Рис. 2. Тонкоигольная пункционная биопсия лимфатического узла. Смешанноклеточная меланома. Окрашивание по Паппенгейму, ×1000.
Fig. 2. Fine-needle aspiration biopsy of the lymph node. Mixed cell melanoma. Pappenheim staining, ×1000.
Рис. 3. Тонкоигольная пункционная биопсия печени. Веретеноклеточная меланома. Окрашивание по Паппенгейму, ×1000.
Fig. 3. Fine-needle aspiration biopsy of the liver. Spindle cell melanoma. Pappenheim staining, ×1000.
В двух (1,8%) наблюдениях меланомы гистотип указан не был.
Эпидермальные меланомы
При развитии эпидермального типа меланомы возможны различные гистологические типы опухоли. Эпителиоидноклеточная меланома представлена чаще всего. Определены основные клеточные признаки эпителиоидноклеточной меланомы (табл. 2).
Таблица 2. Клеточные признаки (варианты) эпителиоидноклеточной меланомы
Table 2. Cellular characteristics (variants) of epithelioid cell melanoma
Клеточные признаки Cellular characteristics | Значение признака Value | p <0,05 |
Дискогезивное расположение опухолевых клеток Discohesive arrangement of tumor cells | 0,86 | p <0,001 |
Полиморфная форма клеток Polymorphic cell shape | – | – |
Полиморфные ядра Polymorphic nuclei | – | – |
Размеры клеток 20–60 мкм в диаметре Cell sizes 20–60 µm in diameter | – | – |
Особенность ядер, гранулы в цитоплазме (нейроэндокринные признаки клеток) Specific nuclei, granules in the cytoplasm (neuroendocrine characteristics of cells) | 0,77 | p <0,001 |
Сетчатая структура хроматина ядер с зонами просветления Netting nuclear chromatin structure with clearing zones | – | – |
Цитоплазма с наличием пигмента Cytoplasm with pigment | 0,88 | p <0,001 |
Признаки «траурной» каймы цитоплазмы Signs of the “mourning” border of the cytoplasm | – | – |
Образование крупных, оптически пустых, различных по размеру вакуолей Formation of large, optically empty, vacuoles of varying sizes | – | – |
Присутствие многоядерных клеток Presence of multinucleated cells | – | – |
Наличие митозов: от 1 до 4 в поле зрения Presence of mitoses: from 1 to 4 in the field of view | – | – |
Обнаружение псевдоцитоплазматических инклюзий Detection of pseudocytoplasmic inclusions | 0,58 | p <0,001 |
Цитоплазматические выступы Cytoplasmic protuberates | 0,86 | p <0,001 |
Железистоподобные скопления Glandular-like accumulations | – | – |
Присутствие веретеновидных клеток Presence of spindle cells | – | – |
Примечание. Признаки приведены в порядке уменьшения частоты выявления (значимости) согласно собственным данным. Не приводятся показатели с незначительным факторным весом. Критерий хи-квадрат Пирсона для частот морфологических вариантов эпителиоидноклеточной меланомы 37,9; p <0,001.
Note. The characteristics are given in order of decreasing frequency of detection (significance) according to our own data. Indicators with insignificant factor value are not shown. Pearson’s chi-square value for the frequencies of morphological variants of epithelioid cell melanoma is 37.9; p <0.001.
По результатам проведённой математической обработки, совокупность клеточных признаков характеризовала общий цитологический статус (тип) меланомы у 93,7% больных, который описывается как фактор «дискогезивно расположенных полиморфных клеток с пигментом и нейроэндокринными гранулами в цитоплазме».
В некоторых наблюдениях отмечаются клеточные скопления в виде железистоподобных образований, возникает необходимость дифференциальной диагностики с метастазом аденокарциномы. В связи с тем, что чаще всего диагностируются метастазы меланомы в различных лимфатических узлах, нами проведена статистическая оценка данных (табл. 3). Для статистической оценки критериев опухолей сопоставлены данные метастаза меланомы пациентов с впервые установленным заболеванием (n=37) и пациентов с метастазом аденокарциномы различной локализации (n=35).
Таблица 3. Дифференциальная диагностика метастазов эпителиоидноклеточной меланомы и карциномы в лимфатическом узле
Table 3. Differential diagnosis of metastases of epithelioid cell melanoma and carcinoma in a lymph node
Клеточные признаки (варианты) Cellular characteristics (variants) | Значение F-критерия F-test | p <0,05 |
Полиморфные опухолевые клетки округлой, кубической, полигональной и веретенообразной формы (1) Polymorphic tumor cells with round, cubic, polygonal and spindle shapes (1) | 10,59 | 0,087049 |
Расположение клеток разрозненное и в скоплениях (2) The arrangement of cells is scattered and in clusters (2) | 20,86 | 0,000011 |
Размеры клеток от 20 до 60 мкм (3) Cell sizes from 20 to 60 µm (3) | 12,38 | 0,066021 |
Присутствуют многоядерные клетки (4) Presence of multinucleated cells (4) | 11,37 | 0,070972 |
Ядра клеток разной величины и формы, округлые, расположенные центрально либо эксцентрически, окрашены неравномерно (5) Cell nuclei of different sizes and shapes, round, located centrally or eccentrically, unevenly colored (5) | 3,98 | 0,068170 |
В ядрах крупные округлые ядрышки (6) The nuclei have large round nucleoli (6) | 2,96 | 0,09432 |
Цитоплазма в виде узкого ободка, а также обильная, с выступами и чётко очерченными тёмными краями «траурной каймы» (7) Cytoplasm in the form of a narrow rim, and also abundant, with protuberates and clearly defined dark edges of the “mourning border” (7) | 18,86 | 0,009011 |
В отдельных клетках отмечались оксифильные фрагменты цитоплазмы (8) Oxyphilic fragments of the cytoplasm were observed in some cells (8) | 17,59 | 0,000049 |
Вакуолизация в виде клазмоцитоза (9) Vacuolization in the form of clasmocytosis (9) | 11,86 | 0,008025 |
Присутствие в цитоплазме гранул меланина в виде глыбок и зёрен разной величины (10) Presence of melanin granules in the cytoplasm in the form of lumps and grains of different sizes (10) | 22,38 | 0,000006 |
Железистоподобные скопления (14) Glandular-like clusters (14) | 1,82 | 0,099345 |
Примечание. F-критерий предназначен для проверки гипотезы однородности дисперсий в двух нормально распределённых совокупностях.
Note. The F-test is designed to test the hypothesis of homogeneity of variances in two normally distributed populations.
Значение F-критерия оказалось статистически значимым для 5 признаков. Точность диагностики метастаза меланомы в лимфатические узлы с применением дискриминантного анализа составила 92,44%, различия статистически достоверны (p <0,00001).
Акральная меланома встречается относительно редко и отличается от меланомы других локализаций. В данном исследовании выявлено 9 случаев меланомы кожи, располагающейся на акральных участках: стопы (n=6), подногтевая зона (n=2), пятка (n=1). Пациенты с этим типом меланомы — в основном женщины (n=8, 88,9%) среднего возраста (47,8 года). В одном наблюдении акральной меланомы отмечен смешанноклеточный вариант, в одном — веретеноклеточный (в гистологическом исследовании — лентигиозная меланома), в остальных — эпителиоидноклеточный вариант. Кожа вульвы относится к «специализированным» областям кожи, и, несмотря на то, что на её долю приходится всего 1% площади поверхности тела, на этом участке тоже диагностируются меланомы. В нашей работе отмечено два наблюдения меланомы вульвы: эпителиоидноклеточная и веретеноклеточная меланома.
Смешанноклеточная меланома (см. рис. 2) отличается от эпителиоидноклеточной присутствием веретеновидных клеток, которые представляют от 10 до 50% клеточного состава. Как правило, в таком типе меланомы отмечаются многочисленные гранулы пигмента в клетках опухоли. Признаки злокачественности клеток выглядят убедительно.
Веретеноклеточная меланома (см. рис. 3) определяется опухолевыми клетками с овальными или веретеновидными ядрами. Клетки располагаются раздельно или образуют группы. Цитоплазма клеток опухоли обильная, в отростках определяется меланин. В веретеноклеточном варианте меланомы вульвы пигмент представлен особенно выраженно: клетки опухоли словно «растаяли» в меланине. Препарат имел «грязный» фон.
Невоидная меланома в работе отмечена в одном (0,9%) наблюдении (рис. 4). В сравнении с эпителиоидноклеточным типом меланомы, невоидные клетки меньше по размеру: мелкие и средние, напоминают клетки невуса. В клетках определяются нормохромные округлые и овальные ядра. Цитоплазма в части клеток имеет отростчатый вид, гранулы пигмента мелкие, присутствуют не во всех клетках. Цитологический диагноз при этом типе меланомы труден в связи с тем, что цитограмма имеет сходство с цитограммой невусов. Однако в невоидной меланоме, в отличие от цитограмм невусов, значительно больше клеточного состава.
Рис. 4. Тонкоигольная пункционная биопсия мягких тканей бедра. Невоидная меланома. Окрашивание по Паппенгейму, ×1000.
Fig. 4. Fine-needle aspiration biopsy of the soft tissues of the thigh. Nevoid melanoma. Pappenheim staining, ×1000.
Беспигментная меланома. Наибольшие трудности определения гистотипа меланомы отмечены при беспигментном типе (1,9% наблюдений). Это вариант опухоли, при котором клетки практически прекращают продуцировать меланин. При тщательном рассмотрении препаратов данного типа, в небольшом количестве клеток отмечены единичные мелкие, «песочные» гранулы меланина.
Использование жидкостного метода приготовления препаратов ТИАБ лимфатических узлов в настоящее время не получило достаточного развития. Клиницисты недооценили возможности данной методики, которая позволяет не только предположить метастаз меланомы (рис. 5), но и проводить иммуноцитохимические исследования в рутинной практике с использованием антител, характеризующих данную опухоль (HMB-45 Melanosome, clone M06634) (рис. 6).
Рис. 5. Тонкоигольная пункционная биопсия лимфатического узла, приготовленного методом жидкостной цитологии. Смешанноклеточная меланома. Окрашивание по Папаниколау, ×1000.
Fig. 5. Fine-needle aspiration biopsy of the lymph node by liquid based cytology. Mixed cell melanoma. Papanicolaou staining, ×1000.
Рис. 6. Тонкоигольная пункционная биопсия лимфатического узла, приготовленного методом жидкостной цитологии. Смешанноклеточная меланома. Иммунопозитивная (+++) реакция с маркёром HMB-45. Использование полимерной системы иммунодетекции, ×1000.
Fig. 6. Fine-needle aspiration biopsy of the lymph node by liquid based cytology. Mixed cell melanoma. Immunopositive (+++) reaction to HMB-45 marker. Use of a polymer immunodetection system, ×1000.
Меланомы слизистых
Меланомы слизистых обнаружены в 5 наблюдениях: эпителиоидноклеточная пигментная меланома установлена в 2 случаях — на твёрдом нёбе, по одному наблюдению — в анальном канале, влагалище и прямой кишке. Последнее указанное наблюдение у мужчины сопровождалось цитологическим исследованием метастаза пахового лимфатического узла.
Неэпидермальные (увеальные) меланомы
Неэпидермальные (увеальные) меланомы диагностированы в ТИАБ печени у 3 мужчин (2,8%). Два наблюдения в первичном образовании — меланома хориоидеи; одно — меланома цилиарного тела. Пациенты пролечены в офтальмологических клиниках, метастазы в печень отмечены через 5, 6 и 7 лет. Цитологические признаки опухолевых клеток с наличием пигмента соответствовали веретеноклеточной меланоме (см. рис. 3). Отмечено присутствие пигмента в большом количестве внеклеточно. Ядра клеток имели овальную и веретеновидную форму.
Генетическое тестирование меланомы
Определение мутационного статуса имеет важное значение для назначения таргетных препаратов. Мутационный статус определён у 96 (88,1%) пациентов, в том числе у 8 — на основании цитологического материала (табл. 4).
Таблица 4. Определение молекулярного статуса
Table 4. Determination of molecular status
Определение молекулярного статуса Determination of molecular status | Эпидермальные меланомы Epidermal melanomas | Меланомы слизистых Mucosal melanomas | Неэпидермальные меланомы Non-epidermal melanomas |
Мутации в 600-м кодоне 15-го экзона гена BRAF: V600Е, а также V600К, V600E/Ec Mutations in codon 600 of exon 15 of the BRAF gene: V600E, as well as V600K, V600E/Ec | Обнаружены мутации гена BRAF V600Е у 43 (44,8%) пациентов, из них 2 наблюдения в акральной меланоме. Обнаружены также мутации V600К и V600E/Ec (по одному наблюдению) | Не обнаружены | Не обнаружены |
Мутации гена NRAS: в 12-м кодоне 2-го экзона (G12D, G12C, G12S); в 13-м кодоне 2-го экзона (G13D, G13R); в 61-м кодоне 3-го экзона (Q61K, Q61L, Q61R) NRAS gene mutations: in codon 12 of the 2nd exon (G12D, G12C, G12S); in codon 13 of the 2nd exon (G13D, G13R); in codon 61 of the 3rd exon (Q61K, Q61L, Q61R) | Мутации гена NRAS обнаружены у 5 (9,6٪) пациентов | Мутации гена NRAS обнаружены: в меланоме влагалища — Q61R (3-й экзон); в меланоме анального канала — G12С (2-й экзон) | Не обнаружены |
Другие мутации Other mutations | — | — | В увеальных меланомах определяемые мутации отсутствовали (необходимо определение мутаций в генах GNAQ11 и BAP1) |
ОБСУЖДЕНИЕ
Проведён сравнительный ретроспективный анализ описательной и заключительной части традиционного цитологического исследования с результатами гистологических, иммуногистохимических, молекулярно-генетических исследований, а также с клинико-анамнестическими данными 109 пациентов с меланомой, выявленной методом световой микроскопии. Все цитологические заключения «меланома» для этих пациентов подтверждены результатами гистологических исследований с учётом принятой точности цитологического определения морфотипа опухоли (p <0,05).
Резюме основного результата исследования
В цитологической картине материала ТИАБ и отпечатков при первичном обследовании пациентов с меланомой и прогрессированием заболевания имелись паттерны признаков, позволяющих в большинстве наблюдений определить гистогенез опухоли. Отмечались цитологические различия, характеризующие эпителиоидноклеточную, смешанноклеточную, веретеноклеточную и невоидную меланому. Наибольшие трудности отмечены при диагностике беспигментной меланомы. Определена частота локализаций первичного очага меланомы. Верифицирование проводилось в последующем дообследовании, включая гистологические исследования биопсийного и/или операционного материала. Определены сроки прогрессирования заболевания от даты установления диагноза: в течение периода от одного года до 20 лет.
Препараты для лечения меланомы вемурафениб и дабрафениб блокируют активность белков, которые вырабатываются под действием мутирующего гена, и тем самым препятствуют дальнейшему росту опухоли. В эпидермальных меланомах случаи выявления мутаций гена BRAF V600Е составили 44,8%. Отмечены также мутации V600К и V600E/Ec (по одному случаю, 1,0% и 1,0% соответственно). Мутации гена NRAS обнаружены у 5 (9,6%) пациентов. В слизистых меланомах мутации гена BRAF V600Е не встречались, однако были обнаружены мутации гена NRAS: в меланоме влагалища Q61R (3-й экзон); в меланоме анального канала G12С (2-й экзон). В неэпидермальных меланомах определяемые мутации отсутствовали (необходимо определение мутаций в генах GNAQ11 и BAP1).
Обсуждение основного результата исследования
В существующих клинических рекомендациях России в алгоритме диагностического обследования при подозрении на меланому цитологический метод не указан. Окончательный диагноз устанавливается на основании результатов гистологического и иммуногистохимического исследования биоптатов/операционного материала, а также результатов визуализирующих методов. Несомненно, что в случае выявления злокачественного новообразования важно уже на первом этапе обследования пациента определить направление последующей дифференциальной диагностики. Цитологический метод диагностики при обнаружении метастаза меланомы без установленного первичного очага успешно справляется с этой задачей, в среднем на месяц сокращая время обследования и сроки диагностического поиска. Рациональная индивидуализированная тактика сокращает не только сроки обследования пациентов, но и ресурсы на его проведение, что особенно важно при агрессивном поведении меланомы.
Немаловажно, что, как показали результаты представленного исследования, цитологический материал с клеточным составом меланомы можно успешно использовать для обнаружения генных мутаций.
Полученные в проведённом исследовании результаты согласуются с данными аналогичных работ других исследователей [1]. Необходим достаточно большой опыт врача-цитолога, позволяющий указывать морфологический тип меланомы и дифференцировать меланому от других злокачественных опухолей. Однако применение жидкостной цитологии может способствовать более чёткому выявлению отдельных диагностически важных цитологических признаков меланомы с дополнительным иммуноцитохимическим типированием. Так, в препарате, приготовленном методом жидкостной цитологии, позитивные реакции на характерные для меланомы антитела позволяют с высокой точностью характеризовать данную опухоль. Необходимо подчеркнуть, что, безусловно, возможности традиционной световой микроскопии при диагностике меланомы — как первичной, так и метастатической — имеют ограничения, которые следует принимать во внимание.
Ограничения исследования
Учитывая немногочисленность публикаций по рассматриваемому вопросу и относительно невысокую частоту выявления различных морфологических вариантов меланомы, представляется необходимым дальнейшее накопление и систематизация фактов для окончательного формулирования заключений о цитологических особенностях эпидермальных, слизистых и неэпидермальных меланом.
ЗАКЛЮЧЕНИЕ
Проведённое исследование позволяет заключить, что цитологическая диагностика меланомы при ТИАБ и в отпечатках с патологического образования является высокоинформативным методом, позволяющим диагностировать меланому с указанием варианта опухоли. Полученные результаты указывают на гетерогенность опухоли и различие мутационного статуса в зависимости от локализации меланом. Молекулярная классификация меланомы не только интересна с точки зрения научных изысканий, но и практически значима при выборе индивидуализированной терапии.
ДОПОЛНИТЕЛЬНАЯ ИНФОРМАЦИЯ
Источник финансирования. Авторы заявляют об отсутствии внешнего финансирования при проведении исследования и подготовке публикации.
Конфликт интересов. Авторы декларируют отсутствие явных и потенциальных конфликтов интересов, связанных с проведённым исследованием и публикацией настоящей статьи.
Вклад авторов. Все авторы подтверждают соответствие своего авторства международным критериям ICMJE (все авторы внесли существенный равный вклад в разработку концепции, проведение исследования и подготовку статьи, прочли и одобрили финальную версию перед публикацией). Наибольший вклад распределён следующим образом: О.Г. Григорук — концепция и дизайн исследования, анализ полученных данных, написание текста рукописи, составление таблиц, съёмка микрофотографий; Е.Э. Пупкова — проведение молекулярных исследований, оценка и интерпретация результатов; Л.М. Базулина — информационный обзор литературы по данной теме, оформление списка литературы; И.В. Вихлянов — инициирование работы; редактирование текста.
ADDITIONAL INFORMATION
Funding source. This study was not supported by any external sources of funding.
Competing interests. The authors declare that they have no competing interests.
Authors’ contribution. All authors made a substantial contribution to the conception of the work, acquisition, analysis, interpretation of data for the work, drafting and revising the work, final approval of the version to be published and agree to be accountable for all aspects of the work. Grigoruk OG — developing the research concept and study design, performing data analysis, writing the article, preparing tables and microphotographs; Pupkova EE — performing molecular testing and interpreting the results; Bazulina LM — reviewing relevant publications, preparing the list of references; Vikhlyanov IV — initiation of the work, editing of the text.
About the authors
Olga G. Grigoruk
Altai Regional Oncology Dispensary; Kemerovo State Medical University
Author for correspondence.
Email: cytolakod@rambler.ru
ORCID iD: 0000-0001-9981-2348
SPIN-code: 7250-6259
Dr. Sci. (Biology), Professor
Russian Federation, Barnaul; KemerovoElena E. Pupkova
Altai Regional Oncology Dispensary
Email: elenapupkova@yandex.ru
ORCID iD: 0000-0001-7369-1883
Russian Federation, Barnaul
Larisa M. Bazulina
Altai Regional Oncology Dispensary
Email: lardoc69@mail.ru
ORCID iD: 0000-0002-7222-0657
Russian Federation, Barnaul
Igor V. Vikhlyanov
Altai Regional Oncology Dispensary; Kemerovo State Medical University
Email: akod@akod22.ru
ORCID iD: 0000-0003-3290-7187
Russian Federation, Barnaul; Kemerovo
References
- Ronchi A, Montella M, Marino FZ, et al. Cytologic diagnosis of metastatic melanoma by FNA: A practical review. Cancer Cytopathol. 2022;130(1):18–29. doi: 10.1002/cncy.22488
- Reed KB, Brewer JD, Lohse CM, et al. Increasing incidence of MM among young adults: an epidemiological study in Olmsted County, Minnesota. Mayo Clin Proc. 2012;87:328–334. doi: 10.1016/j.mayocp.2012.01.010
- Ali Z, Yousaf N, Larkin J. Melanoma epidemiology, biology and prognosis. EJC Suppl. 2013;11:81–91. doi: 10.1016/j.ejcsup.2013.07.012
- Erkenova FD, Puzin SN. Statistics of melanoma in Russia and Europe. Medical and Social Expert Evaluation and Rehabilitation. 2020;23(1):44–52. EDN: WIAAEF doi: 10.17816/MSER34259
- Kaprin AD, Starinskii VV, Shakhzadova AO, editors. Malignant neoplasms in Russia in 2021 (morbidity and mortality). Moscow: P.A. Herzen MNIOI — branch of FGBU NMC Radiology of the Ministry of Health of Russia; 2022. (In Russ).
- Pollock PM, Harper UL, Hansen KS, et al. High frequency of BRAF mutations in nevi. Nat Genet. 2003;33(1):19–20. doi: 10.1038/ng1054
- Davies H, Bignell GR, Cox C, et al. Mutations of the BRAF gene in human cancer. Nature. 2002;417(6892):949–954. doi: 10.1038/nature00766
- Wong CW, Fan YS, Chan TL, et al. BRAF and NRAS mutations are uncommon in melanomas arising in diverse internal organs. Cancer Genome Project. J Clin Pathol. 2005;58(6):640–644. doi: 10.1136/jcp.2004.022509
- Frank GA, Zavalishina LE, Kekeyeva TV, et al. First Russian nationwide molecular epidemiological study for melanoma: results of BRAF mutation analysis. Arkhiv Patologii. 2014;76(3):65–73. EDN: STSGUN
- Mazurenko NN. Genetic alterations and markers of melanoma. Advances in molecular oncology. 2014;2:26–35. EDN: TRRYPH doi: 10.17650/2313-805X.2014.1.2.26-35
- Semyanikhina AV, Filippova MG, Arkhipova ON, Lyubchenko LN. Hereditary uveal melanoma: a review of literature and a case report. Siberian journal of oncology. 2018;17(2):82–88. doi: 10.21294/1814-4861-2018-17-2-82-88
- Hall BJ, Schmidt RL, Sharma RR, Layfield LJ. Fine-needle aspiration cytology for the diagnosis of metastatic melanoma: systematic review and meta-analysis. Am J Clin Pathol. 2013;140(5):635–642. doi: 10.1309/AJCPWSDDHLLW40WI
- Murali R, Doubrovsky A, Watson GF, et al. Diagnosis of metastatic melanoma by fine-needle biopsy: analysis of 2,204 cases. Am J Clin Pathol. 2007;127(3):385–397. doi: 10.1309/3QR4FC5PPWXA7N29
Supplementary files









