Differential cytological diagnosis of typical and atypical lung carcinoids
- Authors: Grigoruk O.G.1,2, Vikhlyanov I.V.1,2, Tsoy D.A.1, Bazulina L.M.1
-
Affiliations:
- Altai Regional Oncological Dispensary
- Kemerovo State Medical University
- Issue: Vol 29, No 2 (2024)
- Pages: 93-103
- Section: Original Study Articles
- Submitted: 10.06.2024
- Accepted: 09.11.2024
- Published: 20.12.2024
- URL: https://rjonco.com/1028-9984/article/view/633385
- DOI: https://doi.org/10.17816/onco633385
- ID: 633385
Cite item
Abstract
Background: The potential for diagnosing lung carcinoids using cytological methods has been underexplored, with limited publications available to support evidence-based conclusions.
Aim: This study aims to evaluate the of cytological diagnostic capabilities for differentiating typical and atypical lung carcinoids.
Materials and Methods: The study included cytological examination results from 18 patients diagnosed with carcinoid tumor at the cytological laboratory of the Altai Regional Oncology Dispensary (Barnaul). The cell material of carcinoid tumors was obtained during diagnostic video bronchoscopy and stained using the Pappenheim method. In all observations, the final diagnosis was the result of histological examination of tumors with immunohistochemical reactions. The obtained results were evaluated using Microsoft Office Excel 2010 and Statistica 10.0. Significant cellular signs (using multivariate analysis) were determined which were assessed to solve diagnostic problems when establishing a cytological diagnosis. Differences between carcinoids were assessed using discriminant analysis with Fisher’s F-test.
Results: Carcinoid tumors accounted for 2.72% of the number of neuroendocrine lung neoplasms. Typical carcinoid was diagnosed in 13 patients, atypical carcinoid was observed in 5 cases. The average age at onset of typical carcinoid was 58.46±19.04 years, of atypical carcinoid — 63.2±4.66 years. Cellular features of typical and atypical carcinoids were assessed, which formed the basis for the statistical analysis. To identify the most informative combinations of cellular features, a multivariate analysis was used that determined the main cytological features for carcinoids characterization, using only light microscopy. The values of the first, second, and third factors were determined; the factor value of the cellular feature variants was 96.02% of the sample (variance). In the discriminant analysis, 14 initial tumor cell parameters (discriminant indices) were used to classify patients into one of two groups (typical and atypical carcinoids), on the basis of which the results of the carcinoid study were classified. Step-by-step assessment using Fisher’s F-test revealed differences that amounted to 37.97% only, suggesting that the cellular features are statistically insignificant.
Conclusion: The data obtained demonstrate the possibilities of cytological diagnosis of lung carcinoids using only light microscopy at the first stage of patient examination. Cellular features enable to diagnose the carcinoid tumor with an accuracy of more than 96%. However, it is possible to differentiate between typical and atypical carcinoids in less than 40% of cases due to the large number of similar features.
Full Text
ВВЕДЕНИЕ
Нейроэндокринные неоплазии лёгких составляют гетерогенное семейство новообразований, которые включают как индолентные нейроэндокринные опухоли, так и чрезвычайно агрессивные карциномы (НЭК).
В классификации Всемирной организации здравоохранения 2021 года нейроэндокринные новообразования лёгких делятся на четыре основных типа: типичный карциноид (ТК), атипичный карциноид (АК) и нейроэндокринные карциномы — крупноклеточная (ККНЭК) и мелкоклеточная (МКНЭК) [1]. Такая классификация основывается на результатах клинического течения опухолей в зависимости от морфологического строения. ТК имеет низкую степень злокачественности (G1), AК — среднюю (G2), ККНЭК и МКНЭК являются карциномами высокой степени злокачественности с очень плохим прогнозом. Такое разделение нейроэндокринных опухолей определено биологическим проявлением опухоли, поскольку ТК и АК не являются предшественниками НЭК. При молекулярных исследованиях подтверждено представление о том, что опухоли отличаются друг от друга по молекулярному статусу: ТК и АК характеризуются мутацией MEN1, которая отсутствует при ККНЭК и МКНЭК [2]. Мутации в генах ТР53, RB1, PTEN, NOTCH1 определяются в ККНЭК и МКНЭК, однако отсутствуют в карциноидах [2].
Карциноиды определяются у более молодых пациентов со средним возрастом 45 лет для ТК, и 55 лет — для АК [3], причём чаще встречаются у женщин. Факторы риска развития карциноидной опухоли не известны. Генетические причины включают мутации гена MEN1 в составе наследственной множественной эндокринной неоплазии 1-го типа, чаще наблюдаются при AК.
У пациентов с карциноидом, поражающим сегментарные и более крупные бронхи, могут проявляться симптомы, связанные с обструкцией, включая кашель, «свистящее» дыхание, кровохарканье, которые могут имитировать астму, а также нередко возникают рецидивирующие пневмонии [1, 4]. При проведении бронхоскопии центральные карциноиды имеют вид эндобронхиальных, полиповидных и гиперваскулярных новообразований. Периферические карциноиды, как правило, протекают бессимптомно и обычно выявляются как случайная находка при рентгенологическом исследовании органов грудной клетки [1, 4]. Периферические карциноиды чаще являются АК, преобладают у мужчин и ассоциированы с курением. Симптомы, связанные с секрецией гормонов (например, карциноидный синдром или синдром Кушинга), встречаются редко [5].
Пятилетняя выживаемость пациентов с ТК после резекции составляет выше 90%, с АК — 60% [6]. Метастазируют карциноиды редко. Чаще всего карциноиды лёгких метастазируют в печень, кости и головной мозг [7, 8], реже — в кожу, глаза и яичники [8]. Метастазы в регионарных лимфатических узлах встречаются примерно в 10 и 50% случаев ТК и АК соответственно [1].
Нейроэндокринные опухоли лёгких составляют около 20% всех злокачественных новообразований этого органа. Низкодифференцированные опухоли высокой степени злокачественности из них составляют 95%, в том числе МКНЭК — 79% и ККНЭК — 16% [9, 10]. Карциноиды составляют лишь небольшую долю: ТК — 2–5%, АК — 0,2–0,5% [9, 10]. При гистологическом исследовании нейроэндокринной опухоли на уровне световой микроскопии диагноз может вызывать затруднения и требует подтверждения с помощью нейроэндокринных иммуногистохимических маркёров. Значимым иммуногистохимическим маркёром также является белок Ki-67, который определяет биологическое поведение опухоли [1].
Термин «карциноидная опухоль, Без Дополнительного Уточнения (БДУ)» используется, когда разграничить ТК и АК при световой микроскопии невозможно [11]. В таких случаях предлагается подсчитывать количество митозов, оценивать наличие или отсутствие некроза и индекс Ki-67. При ТК и АК индекс Ki-67 составляет 5% и <30% соответственно, при нейроэндокринных карциномах — от 30 до 100%. В небольших биопсиях и в цитологических препаратах различить карциноиды в большинстве случаев сложно из-за ограниченного количества клеток опухоли.
Для назначения вариантов лечения важно различать дифференцированные опухоли - низкой, промежуточной степени и опухоли высокой степени злокачественности. Диагностика опухолей сложна и требует междисциплинарного подхода, при этом точная морфологическая диагностика имеет важное значение. Поскольку более 90% карциноидных опухолей операбельны, практически все эти опухоли могут быть оценены в операционном материале. В последнее время большинство опубликованных морфологических, генетических и клинических данных о карциноидных опухолях основаны на образцах операционного материала, включая критерии для диагностики TК и AК. В отличие от МКНЭК карциноиды (ТК и АК) отличаются морфологией опухолевых клеток и числом митозов, оцениваемых по гистологии. Число митозов при карциноидах составляет ≤10 на 2 мм2. Индекс Ki-67 в карциноидных опухолях ниже, чем при МКНЭК, и составляет <30% [1, 12]. Цитоплазма более выражена в опухолевых клетках карциноидов, чем в опухолевых клетках МКНЭК, а некроз в карциноидных опухолях очаговый.
При иммуногистохимическом исследовании карциноиды экспрессируют нейроэндокринные маркёры, такие как хромогранин А, синаптофизин, CD56 и INSM1 [13, 14]. Маркёр TTF1 имеет тенденцию быть положительным в периферических опухолях, но отрицательным в центральных опухолях [13]. Маркёр пролиферации Ki-67 не является частью диагностических критериев карциноидов лёгких, особенно при дифференциальной диагностике ТК и AК [15, 16]. Хотя опухоли с индексом Ki-67 >5% с большей вероятностью являются АК, это пороговое значение не является абсолютным [17].
Дифференциальная диагностика лёгочных карциноидов включает метастатические нейроэндокринные опухоли желудочно-кишечного тракта, опухоли слюнных желёз, дольковую карциному молочной железы, параганглиому, меланому и гломусную опухоль [1].
На амбулаторном этапе обследования пациента важно заподозрить карциноидную опухоль, которую в большинстве случаев можно диагностировать на основании небольших биопсий и цитологических образцов. Научных статей, посвящённых цитологической диагностике карциноидных опухолей, крайне мало. Общепризнанных дифференциально-диагностических цитологических критериев ТК и АК не существует.
Цель исследования — оценить возможности цитологической диагностики дифференцирования типичного и атипичного карциноидов лёгкого.
МАТЕРИАЛЫ И МЕТОДЫ
Дизайн исследования
Наблюдательное одноцентровое ретроспективное сплошное исследование, выполнено в Краевом государственном бюджетном учреждении здравоохранения «Алтайский краевой онкологический диспансер» (г. Барнаул). Цитологический метод диагностики при проведении видеобронхоскопии использован у 4456 пациентов в течение 3 лет. Злокачественные опухоли диагностированы у 1528 (34,3%) пациентов, в числе которых нейроэндокринные неоплазии (нейроэндокринные опухоли и НЭК) определены у 662 пациентов.
Критерии включения: цитологически установленная карциноидная опухоль (18 наблюдений, 2,72% всех нейроэндокринных опухолей лёгкого).
Пациентов, не включённых или исключённых из исследования, не отмечено.
Продолжительность исследования составила 3 года — с 01.01.2020 по 31.12.2022.
Цитологические препараты, приготовленные при проведении видеобронхоскопии, окрашивали традиционным методом окраски по Паппенгейму. Микроскопию проводили врачи цитологической лаборатории с использованием световых микроскопов Zeiss Axio Scope.A1 (ZEISS, Германия), оснащённого программой видеозахвата ZEN 3.1, которая позволяет оценивать клеточный состав препаратов на мониторе компьютера.
Анализ в группах
Были сформированы две группы пациентов: с цитологически установленными ТК и АК. Данные о каждом пациенте заносили в карту с сохранением цитологического препарата. Клеточные признаки описывали в составленной для этого таблице Excel.
Таблица 1. Цитологическая диагностика карциноидных опухолей лёгкого
Table 1. Cytological diagnosis of lung carcinoid tumors
Цитологическое заключение | Кол-во больных, n (%) |
Типичный карциноид | 13 (72,2) |
Атипичный карциноид | 5 (27,8) |
Нейроэндокринные опухоли | 18 (100) |
Наблюдения ТК отмечены у 13 пациентов, АК диагностирован в 5 случаях (табл. 1).
Соотношение пациентов в группе ТК: 6 мужчин (46,15%), 7 женщин (53,85%) в возрасте 57,83±13,76 и 58,29±19,48 года соответственно.
Соотношение пациентов в группе АК: 2 мужчин (40%), 3 женщины (60%) в возрасте 68,0±1,41 и 61,33±11,59 года соответственно. Средний возраст при развитии ТК составил 58,46±19,04 года, при АК — 63,2±4,66 года. Данные представлены в виде среднее ± стандартное отклонение.
Используя клинико-анамнестические сведения, полученные из медицинских журналов, результаты гистологического и иммуногистохимического исследования и информацию базы данных канцер-регистра учреждения, проведён сравнительный анализ результатов цитологических исследований карциноидов лёгкого с окончательным диагнозом.
Статистический анализ
Для оценки полученных результатов применяли программные продукты Microsoft Office Excel 2010 и Statistica 10.0 (StatSoft, США). Посредством многофакторного анализа определяли клеточные признаки, значимые для постановки цитологического диагноза. Возможности дифференциальной диагностики между ТК и АК оценивали с применением дискриминантного анализа по двухстороннему точному критерию Фишера. Для применённых статистических критериев принят критический уровень значимости p <0,05. Во всех наблюдениях цитологические заключения соответствовали результатам гистологического исследования удалённых опухолей с использованием иммуногистохимических реакций.
РЕЗУЛЬТАТЫ
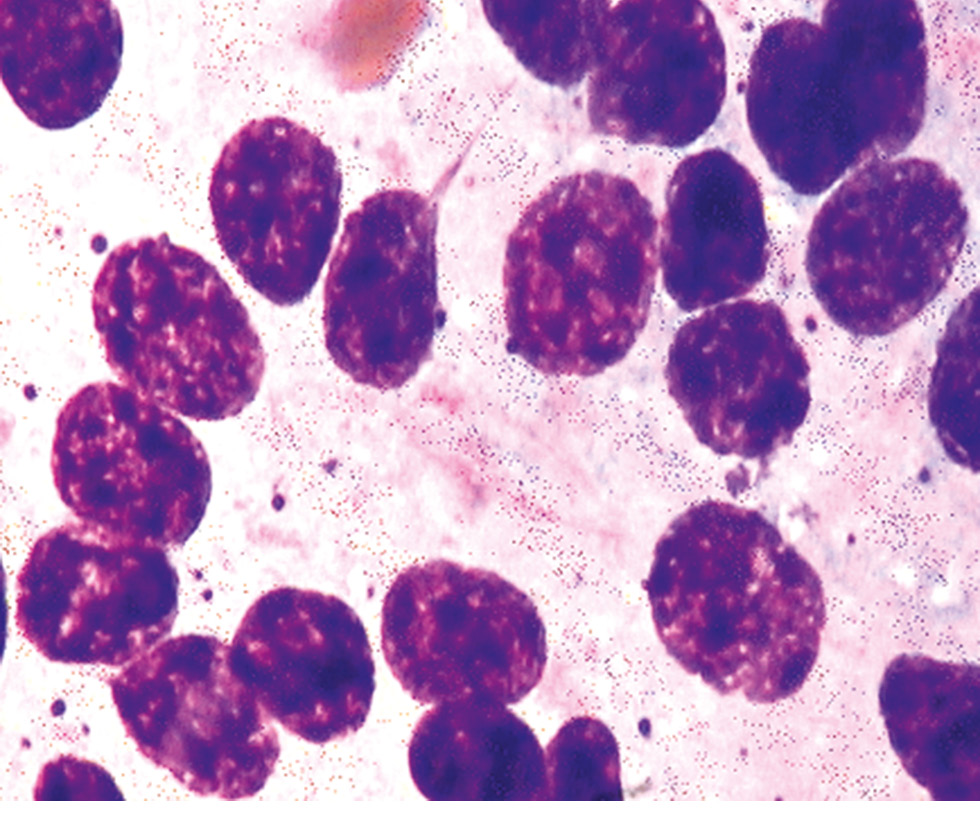
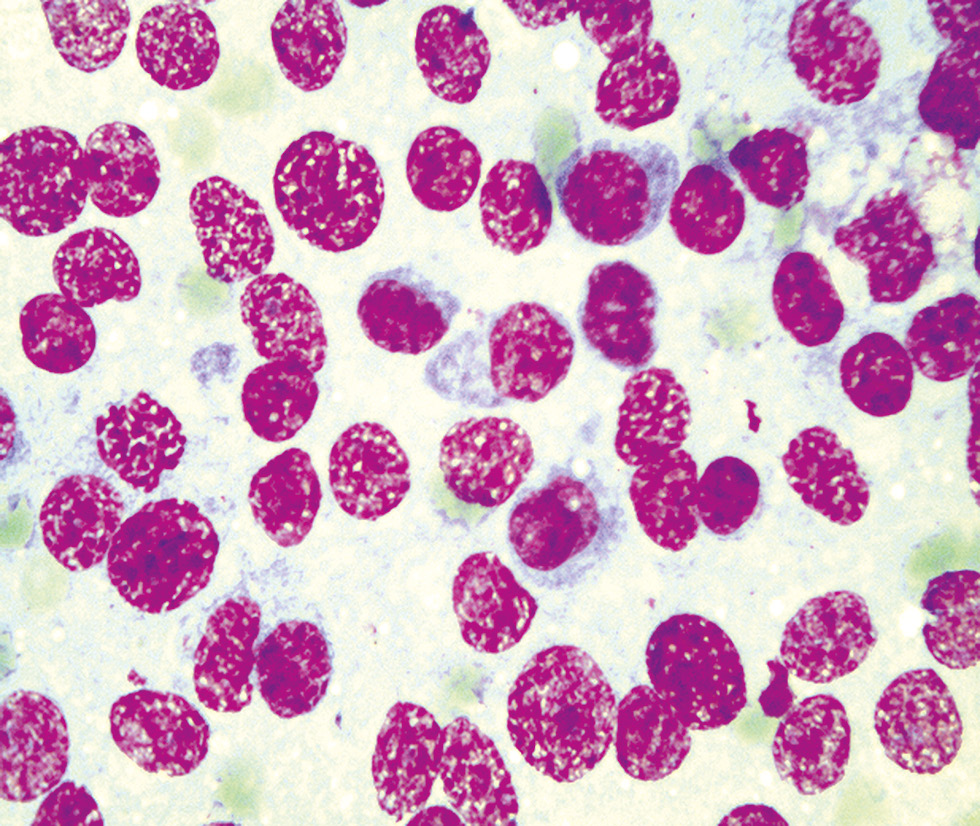
Рис. 1. Цитологический препарат типичного карциноида лёгкого. Мономорфные ядра с чёткими контурами и хроматином цвета «соли и перца» с мелкими ядрышками. Окрашивание по Паппенгейму. Увеличение ×400.
Fig. 1. Cytological preparation of a typical lung carcinoid. Monomorphic nuclei with clear contours and “salt-and-pepper” chromatin with small nucleoli. Pappenheim staining. Magnification ×400.
В результате проведённого исследования установлено, что ТК (G1) представлен клетками без выраженных признаков анаплазии, имеющих мономорфные ядра с чёткими контурами и хроматином «соль и перец» (рис. 1).
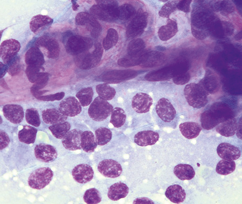
Ядрышки были мелкими плохо просматриваемыми. В мазках клетки, как правило, располагались раздельно или, образовывали небольшие группы. В некоторых образцах сохранялись нейроэндокринные розетки (рис. 2).
Рис. 2. Цитологический препарат типичного карциноида лёгкого. Розеткоподобная структура клеток в центре. Окрашивание по Паппенгейму. Увеличение ×400.
Fig. 2. Cytological preparation of a typical lung carcinoid. Rosette-like cell structure in the center. Pappenheim staining. Magnification ×400.
Форма клеток: округлая, полигональная, кубическая, веретеновидная. Большинство клеток имели светлую и нежную цитоплазму (рис. 1). Карциноид из веретенообразных клеток был представлен в одном наблюдении, имитируя опухоль мезенхимального генеза. Митозы и некроз в большинстве наблюдений отсутствовали (табл. 2). Фон мазка, как правило, был чистым, присутствовали оксифильные слизеподобные массы. Микрокапилляры в цитологическом материале наблюдали в большинстве препаратов (рис. 3).
Рис. 3. Цитологический препарат типичного карциноида лёгкого. Розеткоподобная структура клеток в центре, присутствие микрокапилляров. Окрашивание по Паппенгейму. Увеличение ×400.
Fig. 3. Cytological preparation of a typical lung carcinoid. Rosette-like cell structure in the center, the presence of microcapillaries. Pappenheim staining. Magnification ×400.
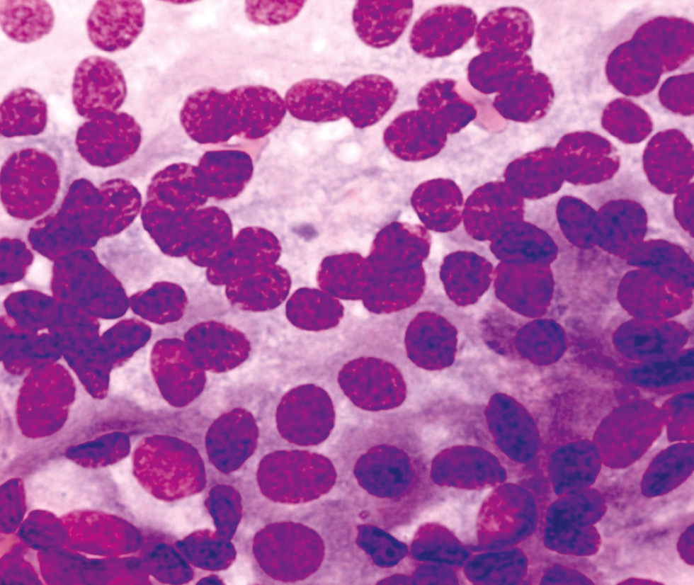
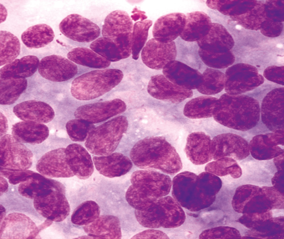
АК (G2) в цитологическом препарате отличался от ТК более крупными клетками опухоли, присутствием видимых ядрышек в ядре на фоне нежного хроматина, участками нитевидного детрита (рис. 4).
Рис 4. Цитологический препарат атипичного карциноида лёгкого. Крупные клетки с видимыми ядрышками в ядрах на фоне нежного хроматина. Окрашивание по Паппенгейму. Увеличение ×1000.
Fig. 4. Cytological preparation of atypical lung carcinoid. Large cells with visible nucleoli in the nuclei against a background of delicate chromatin. Pappenheim staining. Magnification ×1000.
Форма клеток была подобна ТК: округлая, веретеновидная, однако наблюдалось нарастание клеточного полиморфизма по сравнению с ТК (рис. 5). Ядра были округлые, овальные; глыбчатость хроматина сохранялась, сохранялись «розетки», как при ТК (рис. 6).
Рис. 5. Цитологический препарат атипичного карциноида лёгкого. Отмечается нарастание клеточного полиморфизма. Окрашивание по Паппенгейму. Увеличение ×1000.
Fig. 5. Cytological preparation of atypical lung carcinoid. There is an increase in cellular polymorphism. Pappenheim staining. Magnification ×1000.
Рис. 6. Цитологический препарат атипичного карциноида лёгкого. Отмечаются розетки (сверху справа). Окрашивание по Паппенгейму. Увеличение ×400.
Fig. 6. Cytological preparation of atypical lung carcinoid. The sockets are marked (top right). Pappenheim staining. Magnification ×400.
Цитоплазма светлая, нежная, часть клеток без цитоплазмы. Митозы встречались во всех препаратах, так же, как и небольшие участки некротических масс (табл. 2).
Выявленные цитологические признаки ТК и АК были подвергнуты статистическому анализу. Наиболее значимые клеточные признаки карциноидов по результатам многофакторного анализа показаны в табл. 2.
Таблица 2. Распределение признаков (вариантов) типичного и атипичного карциноидов по факторам
Table 2. Distribution of signs (variants) of typical and atypical carcinoids by factors
Цитологический признак (варианты) | Карциноид | Факторный вес клеточных признаков | |||
типичный (n=13) | атипичный (n=5) | Фактор 1 | Фактор 2 | Фактор 3 | |
Относительно мономорфные клетки мелкого и среднего размера | |||||
Округлые | 10 | 2 | 0,72 | – | – |
Овальные | 1 | – | – | – | – |
Веретеновидные | 1 | 3 | – | – | – |
Полигональные | – | – | – | – | – |
Расположение клеток | |||||
Разрозненно и в рыхлых скоплениях, | 7 | 5 | – | – | – |
Формирование небольших | 6 | 5 | – | 0,74 | – |
Размер клеток | |||||
12–20 мкм | 13 | 2 | – | 0,94 | – |
24–36 мкм | – | 3 | – | – | – |
Ядра опухолевых клеток | |||||
Мономорфные | 12 | 1 | – | – | 0,68 |
Округлые, расположены | 1 | 4 | – | – | – |
Хроматин со структурой | 13 | 5 | 0,92 | – | – |
Контур ядерной мембраны | |||||
Ровный | 13 | 3 | – | – | – |
Неровный | – | 2 | – | – | – |
Ядрышки | |||||
Отсутствуют или мелкие, | 10 | 0 | – | – | – |
Определяются | 3 | 5 | – | 0,52 | – |
Цитоплазма | |||||
Скудная | 2 | 1 | – | – | – |
Умеренно обильная | 11 | 4 | – | – | – |
В цитоплазме определяется | 11 | 5 | – | 0,62 | – |
Отмечаются оксифильные | 11 | 5 | – | – | – |
Микрокапилляры | |||||
Присутствуют | 11 | 4 | 0,68 | – | – |
Не определяются | 2 | 1 | – | – | – |
Отмечаются участки | 4 | 4 | – | – | 0,52 |
Митозы | |||||
Отмечаются | 3 | 5 | – | – | 0,76 |
Отсутствуют | 10 | – | – | – | – |
Некрозы | 0 | 5 | – | – | 0,62 |
Примечание. Признаки приведены в порядке уменьшения частоты выявления (значимости) согласно собственным данным. Не приводятся показатели с незначительным факторным весом (ячейки с прочерком).
Note. The signs are given in order of decreasing detection frequency (significance) according to their own data. Indicators with insignificant factor weight (cells with a dash) are not given.
При многофакторном анализе установлено (см. табл. 2), что в первый фактор объединены с максимальным значением факторного веса следующие признаки: мономорфные округлые клетки; хроматин со структурой «соль-перец»; присутствие микрокапилляров. По совокупности признаков, группируемых вокруг первого фактора, его условно можно назвать «мономорфные клетки со структурой хроматина «соль-перец», располагающиеся среди сосудов». Клеточные признаки с факторным значением менее 0,50 не учитывались, обозначены в таблице прочерком.
Для второго фактора характерны другие цитологические признаки: размеры клеток 12–20 мкм в диаметре; формирование небольших палисадообразных структур и розеток; наличие в цитоплазме азурофильной зернистости. По совокупности признаков, группируемых вокруг второго фактора, его условно можно назвать фактором «разрозненно лежащих клеток и формированием палисадообразных структур и розеток с присутствием азурофильной зернистости в цитоплазме».
Для третьего фактора значимы следующие переменные: мономорфные ядра опухолевых клеток; признаки плоскоклеточной метаплазии; присутствие митозов и участков некроза. По совокупности признаков, группируемых вокруг третьего фактора можно условно его назвать фактор «мономорфные ядра с частичной плоскоклеточной метаплазией, присутствием участков некроза и митозов». Общий факторный вес вариантов клеточных признаков составил 96,02% выборки (дисперсии). Таким образом, по результатам проведённой математической обработки совокупность клеточных признаков характеризует цитологический тип карциноидов лёгкого у 96,02% больных.
Типичный карциноид дифференцировали с бронхиальным эпителием. В отличие от бронхиальных клеток, клетки ТК располагались разреженно и были лишены ресничек. Из-за мономорфности клеток ТК следует дифференцировать с базальноклеточной гиперплазией, при которой отмечаются плотные клеточные структуры из более мелких клеток с равномерным хроматином. При образовании розеток в ТК, они могут имитировать дифференцированную аденокарциному. Однако в аденокарциномах клетки имеют вариабельный вид и размер, формируют железистоподобные комплексы, а не розетки. В некоторых случаях ТК дифференцировали с лимфоидными клетками, но лимфоидные клетки имеют узкий ободок цитоплазмы и не образуют розеток.
ТК цитологически могут быть сходны с АК, а иногда и с мелкоклеточными карциномами. В отличие от этих опухолей, митозы и очаги некрозов в ТК отсутствуют. Ограниченное количество клеток в цитологических препаратах не позволяет использовать иммуноцитохимические маркёры, а также Ki-67.
При дискриминантном анализе для отнесения пациентов к одной из двух групп (ТК и АК) использованы 14 исходных показателей клеток опухоли (дискриминантные индексы), по которым мы классифицировали результаты исследования карциноидов.
На первом шаге, на основании оценки взаимосвязей в дискриминантном анализе выбран вариант 7 (определение видимых ядрышек), на втором шаге — вариант 13 (наличие митозов в поле зрения), на третьем шаге — вариант 3 (присутствие клеток размером 24–36 мкм). На последующих этапах статистической обработки как значимые определены варианты 2 (формирование небольших розеток), 6 (неровная ядерная мембрана) (табл. 3).
Таблица 3. Значение F-критерия дискриминантных функций для построения классификации типичного и атипичного карциноидов лёгкого
Table 3. The value of the F-criterion of discriminant functions for the construction classifications of typical and atypical lung carcinoids
Клеточные признаки (переменные) | Значение F-критерия* | p |
Формирование небольших розеток (2) | 11,37 | 0,000972 |
Присутствие клеток размером 24–36 мкм (3) | 17,63 | 0,000049 |
Неровная ядерная мембрана (6) | 3,99 | 0,048170 |
Определение видимых ядрышек (7) | 22,55 | 0,000006 |
Наличие митозов в поле зрения (13) | 20,54 | 0,000011 |
* F-критерий предназначен для проверки гипотезы однородности дисперсий в 2 нормально распределённых совокупностях.
* F-criterion is used to check the hypothesis of dispersion homogeneity in 2 normally distributed populations.
Таким образом, из 14 клеточных признаков с помощью дискриминантного анализа статистически достоверными определены 5, которые вносят максимальные различия между клеточным составом в данных группах больных.
Наиболее информативные клеточные признаки, такие как «наличие видимых ядрышек» (7), «обнаружение митозов» (13) и «присутствие клеток размером 24–36 мкм» (3) имеют максимально значимые F-критерии. Другие цитологические признаки также вносили свой вклад в проведение дифференциальной цитологической диагностики. В результате проведённого дискриминантного анализа установлено, что различия по клеточным признакам ТК и АК незначительны, составляют только 37,97%, что свидетельствует о том, что клеточные признаки статистически не значимы.
Учитывая, что цитологически ТК и АК сходны между собой и значительно отличаются от НЭК, дифференциальная диагностика карциноидов и НЭК на амбулаторном этапе не представляет трудностей. Окончательная морфологическая диагностика основывается на тщательном гистологическом исследовании операционного материала.
ОБСУЖДЕНИЕ
Проведён сравнительный ретроспективный анализ описательной и заключительной части дифференцирования карциноидных опухолей с результатами гистологических и иммуногистохимических исследований, а также с клинико-анамнестическими данными 18 пациентов. Все цитологические заключения «карциноидная опухоль» для этих пациентов подтверждены результатами гистологических исследований с учётом принятой точности цитологического определения морфотипа опухоли.
Резюме основного результата исследования
В цитологической картине карциноидов лёгкого при первичном обследовании пациентов имелись паттерны признаков, позволяющих диагностировать данную опухоль, верифицированную последующим обследованием, включая гистологические исследования биопсийного и/или операционного материала. Оценённые нами клеточные признаки характеризуют цитологический тип карциноидов лёгкого у 96,02% пациентов, что статистически достоверно. Определена частота развития карциноидов лёгкого от числа нейроэндокринных новообразований лёгких, которая составила 2,72%
Обсуждение основного результата исследования
Окончательный диагноз карциноидов лёгкого устанавливается на основании результатов гистологического и иммуногистохимического исследования биоптатов/операционного материала, а также результатов визуализирующих методов обследования. В случае выявления карциноидных опухолей важно уже на первом этапе обследования пациентов определить направление последующей диагностики. Это позволит определить наиболее рациональную индивидуальную тактику обследования пациентов и, следовательно, сократить сроки диагностического поиска. Особую важность эти показатели эффективности диагностики карциноидов имеют при дифференцировании нейроэндокринных карцином с высоким потенциалом метастазирования.
Необходимо подчеркнуть, что, безусловно, возможности традиционной световой микроскопии материала, полученного при видеобронхоскопии, имеют ограничения, которые следует принимать во внимание при формулировке цитологического заключения.
Дифференцировать ТК и АК затруднительно, математический анализ показал, что клеточные признаки составляют только 37,97%, что статистически не значимо. В перспективе, применение жидкостной цитологии может способствовать при дифференциальной диагностике использованию возможностей иммуноцитохимических исследований с маркёром Ki-67, а также проведения молекулярно-генетических исследований.
Ограничения исследования
Учитывая немногочисленность публикаций по рассматриваемому вопросу и относительно невысокую частоту выявления карциноидных опухолей, представляется необходимым дальнейшее накопление и систематизация фактов для окончательного формулирования заключений о цитологических особенностях ТК и АК, а также для количественной оценки чувствительности и специфичности этих признаков.
ЗАКЛЮЧЕНИЕ
Цитологическая диагностика карциноидов лёгкого на амбулаторном этапе обследования имеет важное значение. Наиболее значимые, факторно весомые клеточные признаки карциноидов составляют 96,02%.
В результате проведённого дискриминантного анализа установлено, что различия по клеточным признакам в двух группах карциноидов незначительны, составляют 37,97%. Наиболее информативными клеточными признаками с максимально значимым F-критерием являются наличие видимых ядрышек в атипичных формах карциноидов, обнаружение митозов и присутствие более крупных клеток.
Дополнительная информация
Источник финансирования. Авторы заявляют об отсутствии внешнего финансирования при проведении исследования и подготовке публикации.
Конфликт интересов. Авторы декларируют отсутствие явных и потенциальных конфликтов интересов, связанных с проведённым исследованием и публикацией настоящей статьи.
Вклад авторов. Все авторы подтверждают соответствие своего авторства международным критериям ICMJE (все авторы внесли существенный равный вклад в разработку концепции, проведение исследования и подготовку статьи, прочли и одобрили финальную версию перед публикацией). Наибольший вклад распределён следующим образом: О.Г. Григорук — концепция и дизайн исследования, анализ полученных данных, написание текста рукописи, составление таблиц, микрофотографии; И.В. Вихлянов — инициирование работы, редактирование текста; Д.А. Цой — работа с канцер-регистром и медицинскими картами, оценка клеточного состава на препаратах; Л.М. Базулина — информационный обзор литературы по данной теме, оформление списка литературы.
Additional information
Funding source. This study was not supported by any external sources of funding.
Competing interests. The authors declare that they have no competing interests.
Authors’ contribution. All authors made a substantial contribution to the conception of the work, acquisition, analysis, interpretation of data for the work, drafting and revising the work, final approval of the version to be published and agree to be accountable for all aspects of the work. Grigoruk OG — developing the research concept and study design, performing data analysis, writing the article, preparing tables and microphotographs; Vikhlyanov IG — initiation of the work, editing of the text; Tsoy DA — the work with cancer-registry, the work with medical cards, estimation of cell composition of specimens; Bazulina LM — reviewing relevant publications, preparing the list of references.
About the authors
Olga G. Grigoruk
Altai Regional Oncological Dispensary; Kemerovo State Medical University
Author for correspondence.
Email: cytolakod@rambler.ru
ORCID iD: 0000-0001-9981-2348
SPIN-code: 7250-6259
Dr. Sci. (Biology), Professor
Russian Federation, 110k Zmeinogorsky tract, Barnaul 656045; 22a, Voroshilova st., Kemerovo 650056Igor V. Vikhlyanov
Altai Regional Oncological Dispensary; Kemerovo State Medical University
Email: akod@zdravalt.ru
ORCID iD: 0000-0003-3290-7187
MD, Dr. Sci. (Medicine), Professor
Russian Federation, 110k Zmeinogorsky tract, Barnaul 656045; 22a, Voroshilova st., Kemerovo 650056Dmitrii A. Tsoy
Altai Regional Oncological Dispensary
Email: dimazeu@gmail.com
ORCID iD: 0000-0003-4925-1938
SPIN-code: 6603-9568
MD
Russian Federation, 110k Zmeinogorsky tract, Barnaul 656045Larisa M. Bazulina
Altai Regional Oncological Dispensary
Email: lardoc69@mail.ru
ORCID iD: 0000-0002-7222-0657
MD
Russian Federation, 110k Zmeinogorsky tract, Barnaul 656045References
- WHO Classification of Tumours Editorial Board. WHO Classification of Tumours, 5th Edition, Volume 5. Thoracic tumours. Lyon: International Agency for Research on Cancer; 2021.
- Metovic J, Barella M, Bianchi F, et al. Morphologic and molecular classification of lung neuroendocrine neoplasms. Virchows Arch. 2021;478(1):5–19. doi: 10.1007/s00428-020-03015-z
- Faggiano A, Ferolla P, Grimaldi F, et al. Natural history of gastro-entero-pancreatic and thoracic neuroendocrine tumors. Data from a large prospective and retrospective Italian epidemiological study: the NET management study. J Endocrinol Invest. 2012;35(9):817–823. doi: 10.3275/8102
- McCaughan BC, Martini N, Bains MS. Bronchial carcinoids. Review of 124 cases. J Thorac Cardiovasc Surg. 1985;89(1):8–17.
- Halperin DM, Shen C, Dasari A, et al. Frequency of carcinoid syndrome at neuroendocrine tumour diagnosis: a population-based study. Lancet Oncol. 2017;18(4):525–534. doi: 10.1016/S1470-2045(17)30110-9
- Trevis WD, Brambilla E, Burke AP, et al. WHO Classification of Tumours of the Lung, Pleura, Thymus and Heart. 4th ed. Lyon: IARC; 2015.
- Melosky B. Low Grade Neuroendocrine Tumors of the Lung. Front Oncol. 2017;7:119. doi: 10.3389/fonc.2017.00119
- Riihimaki M, Hemminki A, Sundquist K, et al. The epidemiology of metastases in neuroendocrine tumors. Int J. Cancer. 2016;139:2679–2686. doi: 10.1002/ijc.30400
- Travis WD. Pathology and diagnosis of neuroendocrine tumors: lung neuroendocrine. Thorac Surg Clin. 2014;24(3):257–266. doi: 10.1016/j.thorsurg.2014.04.001
- Siegel RL, Miller KD, Jemal A. Cancer statistics, 2020. CA Cancer J Clin. 2020;70(1):7–30. doi: 10.3322/caac.21590
- Rindi G, Klimstra DS, Abedi-Ardekani B, et al. A common classification framework for neuroendocrine neoplasms: an International Agency for Research on Cancer (IARC) and World Health Organization (WHO) expert consensus proposal. Mod Pathol. 2018;31(12):1770–1786. doi: 10.1038/s41379-018-0110-y
- Caplin ME, Baudin E, Ferolla P, et al. Pulmonary neuroendocrine (carcinoid) tumors: European Neuroendocrine Tumor Society expert consensus and recommendations for best practice for typical and atypical pulmonary carcinoids. Ann Oncol. 2015;26(8):1604–1620. doi: 10.1093/annonc/mdv041
- Rooper LM, Sharma R, Li QK, Illei PB, Westra WH. INSM1 Demonstrates Superior Performance to the Individual and Combined Use of Synaptophysin, Chromogranin and CD56 for Diagnosing Neuroendocrine Tumors of the Thoracic Cavity. Am J Surg Pathol. 2017;41(11):1561–1569. doi: 10.1097/PAS.0000000000000916
- Fujino K, Motooka Y, Hassan WA, et al. Insulinoma-Associated Protein 1 Is a Crucial Regulator of Neuroendocrine Differentiation in Lung Cancer. Am J Pathol. 2015;185(12):3164–3177. doi: 10.1016/j.ajpath.2015.08.018
- Walts AE, Ines D, Marchevsky AM. Limited role of Ki-67 proliferative index in predicting overall short-term survival in patients with typical and atypical pulmonary carcinoid tumors. Mod Pathol. 2012;25(9):1258–1264. doi: 10.1038/modpathol.2012.81
- Swarts DR, Rudelius M, Claessen SM, et al. Limited additive value of the Ki-67 proliferative index on patient survival in World Health Organization-classified pulmonary carcinoids. Histopathology. 2017;70(3):412–422. doi: 10.1111/his.13096
- Marchiò C, Gatti G, Massa F, et al. Distinctive pathological and clinical features of lung carcinoids with high proliferation index. Virchows Arch. 2017;471(6):713–720. doi: 10.1007/s00428-017-2177-0
Supplementary files









