The effect of the surgical treatment in the complex management on life expectancy of thymic Hodgkin's lymphoma
- Authors: Fokeev S.D.1, Lazarev A.F.1, Kapitulin S.Y.1, Kazantseva E.S.2, Kapitulina E.K.3
-
Affiliations:
- Altai State Medical University
- Autonomous Noncommercial Organization “NIITO Clinic” (ANO “NIITO Clinic”)
- City Hospital No. 5
- Issue: Vol 26, No 4 (2021)
- Pages: 145-150
- Section: Case Reports
- Submitted: 30.05.2022
- Accepted: 28.09.2022
- Published: 15.08.2021
- URL: https://rjonco.com/1028-9984/article/view/108315
- DOI: https://doi.org/10.17816/onco108315
- ID: 108315
Cite item
Abstract
The result of treatment of primary Hodgkin's lymphoma lesion of the thymus gland of a 26-year-old patient is presented. At the preoperative stage of examination, “tumor maligna” cells were obtained during puncture of mediastinal formation. The diagnosis is malignant tumor of the mediastinum. Considering this, a surgical treatment was performed-radical removal of the mediastinal tumor. After the study of the postoperative drug, a clinical diagnosis was made: lymphogranulomatosis, a massive (bulky) tumor lesion of the mediastinum, stage IIХ, after surgical treatment. First course of ABVD chemotherapy was performed 28 days after the operation. When performing the second course of chemotherapy according to the same scheme, the patient developed complications in the form of moderate leukocytopenia (leukocytes, 0.9×109/l) and stomatitis. Special treatment was discontinued, and the patient was observed by an oncologist in the polyclinic of an oncological dispensary.
At the next examination, which was performed 11 months later, a relapse of the disease was identified. Considering the preservation of persistent leukopenia (leukocytes, 3.0×109/l), it was decided to conduct six courses of ABVD polychemotherapy with prednisone, against the background of G-CSF. At this stage of oncology, the main method of treating Hodgkin's lymphoma is chemo-hormone therapy in combination with radiation therapy. The performed non-standard complex treatment is radical surgical removal of a mediastinal tumor followed by polychemotherapy. It allowed 4 years after the completion of treatment to know motherhood, which did not affect the patient's health. As indicated by the long relapse, free period of the disease is 16 years, and life expectancy is 18 years.
Keywords
Full Text
АКТУАЛЬНОСТЬ
Опухоли средостения – это различные по гистогенезу образования, по анатомической локализации относящиеся к торакальной хирургии. В 80% это тимомы, тератомы, невриномы, герминомы и другие опухоли негемопоэтической природы [1].
Лечение злокачественных опухолей средостения, на которые приходится около 75% всех новообразований, является пока не решённой задачей [2, 3]. Среди лимфоидных опухолей средостения наиболее часто (14–15%) диагностируют лимфому Ходжкина. Источником её роста служат лимфатические узлы средостения или тимуса. Манифестация данного заболевания происходит в виде появления медиастинальной массы, локализованной в переднем, верхнем или среднем средостении, и это является единственным проявлением данной болезни, протекающей длительное время бессимптомно [4–6]. Этой патологии с одинаковой частотой подвержены мужчины и женщины молодого и среднего возраста.
На современном этапе развития онкологии основной метод лечения лимфомы Ходжкина – химиогормонотерапия в сочетании с лучевой терапией. Рецидив при таком лечении возникает у 10–40% больных в зависимости от исходной стадии заболевания, прогностических признаков и метода индукционной терапии [7].
Результаты лечения рецидивов лимфомы Ходжкина после полной ремиссии, индуцированной химиотерапией или комбинированной химиолучевой терапией, не могут считаться удовлетворительными [8].
Следует подчеркнуть, что хирургическое удаление опухолевидно-изменённой вилочковой железы при лимфоме Ходжкина не только не ухудшает общего состояния больных, но и в некоторых случаях (что зависит, по-видимому, от характера течения болезни) может дать положительный эффект [8, 9].
Представляет интерес клинический пример первичного поражения лимфомой Ходжкина вилочковой железы, где на первом этапе лечения проведено оперативное удаление опухоли средостения с последующей химиотерапией и рождением ребёнка через 4 года после завершения лечения.
ОПИСАНИЕ СЛУЧАЯ
Пациентка 26 лет поступила 24.04.04 г. в отделение торакальной онкологии Алтайского краевого онкологического диспансера с жалобами на общую слабость, одышку при физической нагрузке.
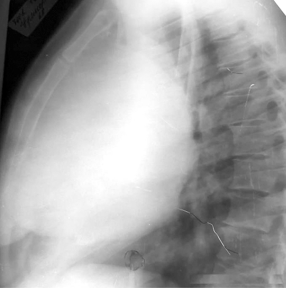
Из анамнеза известно, что больная в течение двух последних месяцев стала отмечать появление одышки при физической нагрузке. Состояние ухудшалось, дополнительно появились отёки на лице к вечеру. При обращении к участковому терапевту в поликлинику по месту жительства выполнена рентгенография грудной клетки, в результате выявлено массивное опухолевое образование в средостении (рис. 1, 2).
Рис. 1. Рентгенография грудной клетки в прямой проекции.
Fig. 1. X-ray of the chest in direct projection.
Рис. 2. Рентгенография грудной клетки в левой боковой проекции.
Fig. 2. Chest X-ray, left lateral view.
При поступлении в отделение торакальной онкологии проведены дополнительные уточняющие исследования:
- фибробронхоскопия от 06.05.04 г.;
- заключение: «Смещение трахеи вправо за счёт давления извне»;
- пункция образования средостения под рентгенологическим контролем от 30.04.04 г.
Установлен цитологический диагноз № 342 «Malignant tumor». На врачебном консилиуме с участием врачей отделения торакальной онкологии, химиотерапевта и радиолога рекомендовано оперативное лечение с учётом наличия злокачественной опухоли переднего верхнего отдела средостения.
01.06.04 г. проведена операция: «Неполная стернотомия. Комбинированное удаление опухоли переднего средостения, с резекцией перикарда».
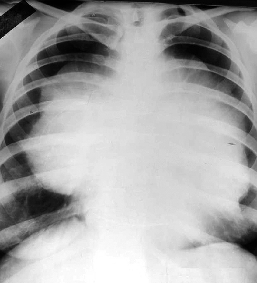
После вмешательства выполняли рентгенографию грудной клетки в прямой проекции (рис. 3). Установлен послеоперационный диагноз: «Лимфогранулематоз, массивное (bulky) опухолевое поражение средостения, IIХ стадия, состояние после оперативного лечения»; гистологический диагноз № 3308 от 04.06.04 г.: «Лимфогранулематоз, смешанно-клеточный вариант». Послеоперационный период протекал без осложнений. Пациентка выписана с выздоровлением на 15-е сутки с момента операции.
Рис. 3. Послеоперационная рентгенография грудной клетки в прямой проекции.
Fig. 3. Postoperative chest X-ray in direct projection.
В результате консилиума в составе заведующего отделением торакальной онкологии, заведующего отделением лекарственной противоопухолевой терапии и врача-радиолога рекомендовано провести 6 курсов полихимиотерапии по схеме ABVD в условиях отделения торакальной онкологии:
1-й курс с 29.06.04 по 14.07.04 г.: адрибластин – 50 мг; блеомицин – 15 мг; дакарбазин – 500 мг; винкристин – по 1,5 мг (в 1-й и 15-й день курса);
2-й курс с 26.07.04 по 16.08.04 г.: адрибластин – 50 мг; блеомицин – 15 мг; дакарбазин – 500 мг; винкристин – 1,5 мг (в 1-й и 15-й день курса).
При выполнении 2-го курса химиотерапии по той же схеме у пациентки возникли осложнения в виде лейкоцитопении средней степени (лейкоциты – 0,9×109/л) и стоматита. Проведён консилиум с участием заведующей отделением лекарственной противоопухолевой терапии и врачей отделения. Рекомендовано отменить химиотерапию и провести лечение антибиотиками, витаминами группы В, С, а также назначить гранулоцитарный колониестимулирующий фактор (G-CSF). Пациентка выписана из отделения 16.08.04 г. в удовлетворительном состоянии, лейкоциты – 4,5×109/л.
При контрольном осмотре 30.08.04 г.: лейкоциты – 3,5×109/л; жалобы на слабость, утомляемость, отсутствие аппетита. В результате консилиума с участием заведующей отделением лекарственной противоопухолевой терапии, оперирующего хирурга, радиолога рекомендовано провести обследование: УЗИ брюшной полости, консультацию гинеколога, биохимические анализы, коагулограмму, общий анализ мочи, общий анализ крови. В результате обследования убедительных данных за рецидив заболевания нет. При этом отмечена лейкопения: лейкоциты – 3,0×109/л. С учётом всего вышеперечисленного рекомендовано динамическое наблюдение за пациенткой.
В течение 6 мес у больной отмечали стойкую лейкопению (лейкоциты в пределах 3,0–3,5×109/л), выраженный астенический синдром, проявляющийся слабостью, недомоганием, плохим аппетитом, быстрой утомляемостью. Кроме того, в осенне-зимний период пациентка была подвержена частым заболеваниям (ОРВИ).
После восстановления общего самочувствия 15.03.05 г. пациентку обсудили на консилиуме с участием заведующей отделением лекарственной противоопухолевой терапии, оперирующего хирурга, радиолога. С учётом длительного (6 мес) периода после окончания химиотерапии и проведённых обследований (КТ органов грудной клетки, клинические и биохимические анализы) рекомендовано динамическое наблюдение в Алтайском краевом онкологическом диспансере. Поставлен диагноз: «Лимфогранулематоз, массивное (bulky) опухолевое поражение средостения, IIХ стадия, состояние после оперативного лечения и двух неполных курсов химиотерапии. Стойкая лейкопения. Астенический синдром».
В июле 2005 года при контрольном осмотре выявлен рецидив заболевания, проявившийся поражением подмышечных лимфатических узлов справа. Пациентка госпитализирована в отделение торакальной онкологии, где ей выполнена открытая биопсия лимфатического узла. Гистологический диагноз № 878 от 01.08.05 г.: «Лимфогранулематоз, смешанно-клеточный вариант». Диагноз: «Лимфогранулематоз, массивное (bulky) опухолевое поражение средостения, IIХ стадия, состояние после оперативного лечения и двух неполных курсов химиотерапии в 2004 году. Рецидив».
У пациентки продолжалась стойкая лейкопения (лейкоциты – 3,0×109/л). На консилиуме с участием врачей отделения торакальной онкологии, заведующей отделением лекарственной противоопухолевой терапии и радиолога решено проводить химиотерапию по ABVD с преднизолоном на фоне G-CSF.
С 03.08.05 по 30.08.05 г. проведён 1-й курс химиотерапии на фоне G-CSF и витаминотерапии по схеме ABVD: адрибластин – 40 мг; блеомицин – 15 мг; дакарбазин – 600 мг; винбластин – 10 мг; преднизолон – 30 мг (в 1-й и 15-й день курса).
Проведено 6 курсов химиотерапии по схеме ABVD с преднизолоном на фоне G-CSF, лечение завершено 09.06.06 г. Диагноз: «Лимфогранулематоз, массивное (bulky) опухолевое поражение средостения, IIХ стадия, состояние после оперативного лечения и двух неполных курсов химиотерапии в 2004 году. Рецидив. Состояние после шести курсов химио-терапии в 2006 году». Лейкоциты при выписке – 7,9×109/л.
С 2006 по 2022 год пациентка наблюдалась в Алтайском краевом онкологическом диспансере: один раз в год – рентгенография грудной клетки, клинические и биохимические анализы. В 2010 году женщина родила ребёнка.
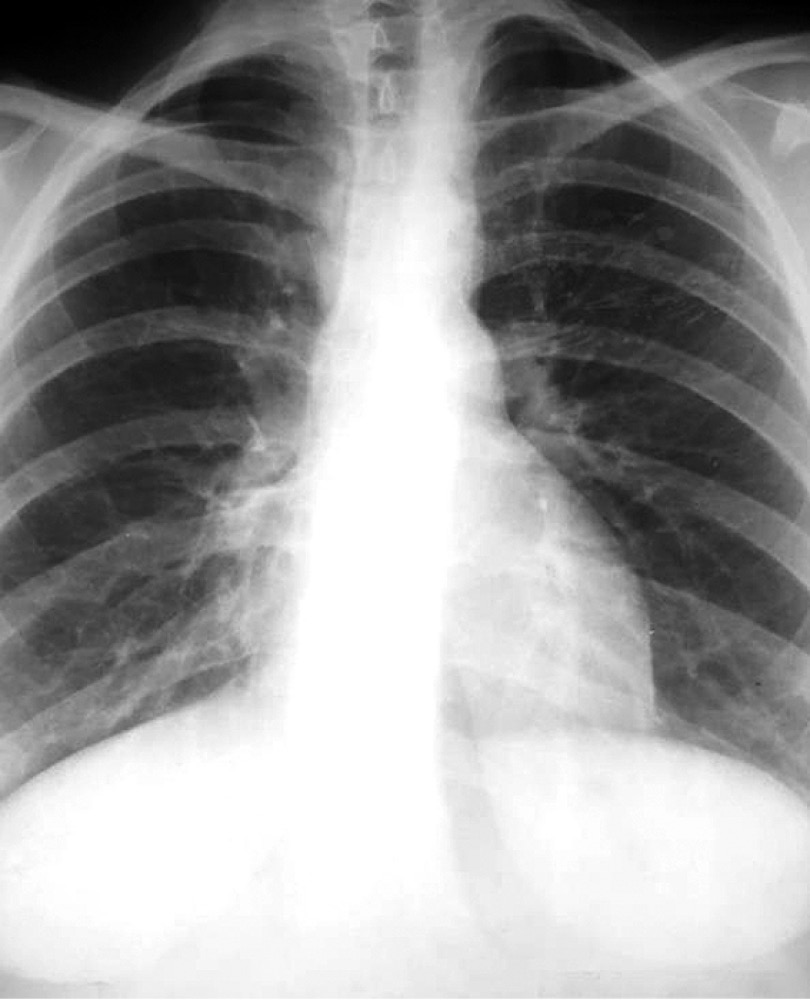
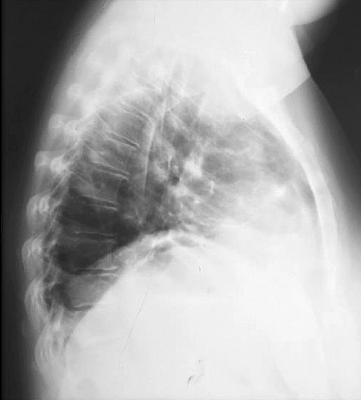
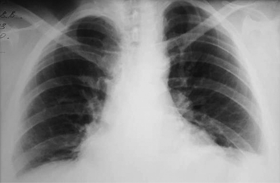
Контрольный осмотр проведён 15.04.22 г. Состояние удовлетворительное, жалоб не предъявляет. Контрольная рентгенография грудной клетки от 15.04.22 г. не выявила патологии в лёгких (рис. 4, 5). Клинические и биохимические показатели крови в пределах нормы.
Рис. 4. Контрольная рентгенография грудной клетки в прямой проекции через 16 лет после комплексного лечения.
Fig. 4. Control radiography of the chest in direct projection 16 years after complex treatment.
Рис. 5. Контрольная рентгенография грудной клетки в правой боковой проекции через 16 лет после комплексного лечения.
Fig. 5. Control radiography of the chest in the right lateral projection 16 years after complex treatment.
ЗАКЛЮЧЕНИЕ
Последовательность в проведении комплексного лечения лимфомы Ходжкина вилочковой железы, которое включало радикальное хирургическое удаление опухоли с последующей полихимиотерапией, обусловила безрецидивное течение заболевания в течение 16 лет, позволила через 4 года после завершения лечения познать материнство, которое не отразилось на состоянии здоровья пациентки, и обеспечить продолжительность жизни 18 лет.
Необходимо дальнейшее изучение эффективности первичной хирургической санации средостения при поражении вилочковой железы лимфомой Ходжкина.
ДОПОЛНИТЕЛЬНАЯ ИНФОРМАЦИЯ / ADDITIONAL INFORMATION
Согласие пациента. Персональные медицинские данные и изображения опубликованы с письменного разрешения пациента.
Конфликт интересов. Авторы декларируют отсутствие явных и потенциальных конфликтов интересов, связанных с публикацией настоящей статьи.
Источник финансирования. Подготовка и публикация настоящей статьи проведена без спонсорской поддержки.
Вклад авторов. Все авторы подтверждают соответствие своего авторства международным критериям ICMJE (все авторы внесли существенный вклад в разработку концепции, проведение исследования и подготовку статьи, прочли и одобрили финальную версию перед публикацией).
Informed consent. Patient has signed the informed consent to publish personal medical data and images.
Conflict of interest. Authors declare no conflict of interest related to the publication of this article.
Funding. The preparation and publication of this article recieved no additional funding.
Contribution of authors. All authors confirm that their authorship complies with the international ICMJE criteria (all authors made a significant contribution to the development of the concept, research and preparation of the article, read and approved the final version before publication).
About the authors
Sergey D. Fokeev
Altai State Medical University
Author for correspondence.
Email: fokeev.sergey@yandex.ru
ORCID iD: 0000-0002-1157-6692
SPIN-code: 9609-0896
Alexander F. Lazarev
Altai State Medical University
Email: lazarev@akzs.ru
ORCID iD: 0000-0003-1080-5294
SPIN-code: 1161-8387
Stanislav Yu. Kapitulin
Altai State Medical University
Email: stass0331429@mail.ru
ORCID iD: 0000-0001-8131-3161
SPIN-code: 1217-0508
Cand. Sci. (Med.), Associate Professor
Elena S. Kazantseva
Autonomous Noncommercial Organization “NIITO Clinic” (ANO “NIITO Clinic”)
Email: ktyf1984@yandex.ru
ORCID iD: 0000-0003-3575-047X
SPIN-code: 5074-1757
Elina K. Kapitulina
City Hospital No. 5
Email: elinalevina4@gmail.com
ORCID iD: 0000-0002-3856-2012
Russian Federation, Barnaul
References
- Sushko AA, Prokopchik NI, Mozheyko MA, et al. Diagnostics and treatment of tumors and tumor-like formations of the mediastinum. Journal of the Grodno State Medical University. 2015;(3):51–55. (In Russ).
- Lazutin YuN, Kartashov SZ, Zinkovich SA, et al. Modern approaches to treatment of patients with tumours of mediastinum. Izvestia of Samara Scientific Center of the Russian Academy of Sciences . 2009;(11(5-2):468–471. (In Russ).
- Poteshkina NG, Troshina AA, Maslova MY, at al. Mediastinal mass in clinical practice // Medical advice. 2018;(5):104–108. (In Russ). doi: 10.21518/2079-701X-2018-5-104-108
- Aroor AR, Prakasha SR, Seshadri SST, Raghuraj U. A study of clinical characteristicsof mediastinal mass. J Clin Diagn Res. 2014;8(2):77–80. doi: 10.7860/JCDR/2014/7622.4013
- Eichenauer DA, Engert A, André M, et al. Hodgkin’s lymphoma: ESMO Clinical Practice Guidelines for diagnosis, treatment and follow-up. Ann Oncol. 2014;25(Suppl 3):iii70–iii75. doi: 10.1093/annonc/mdu181
- Mazurok LA, Kolomeitsev OA, Tumyan GS, et al. Primary mediastinal B-large cell lymphoma. Oncohematology. 2007;2(2):16–23. (In Russ).
- Trahtenberg AH, Pikin OV. Zlokachestvennye opuholi sredostenija. In: Chissov VI, Daryalova SL, editors. Klinicheskie rekomendacii. Onkologija 2006. Moscow; 2006. P. 246–266. (In Russ).
- Shavlokhov VS, Karagyulyan SR, Moiseeva TN, et al. Surgical treatment of relapsing mediastinal and pulmonary tumors in patients with Hodgkin’s disease and diffuse large B-cell lymphoma. Russian Journal of Hematology and Transfusiology. 2012;57(1):18–23 (In Russ).
- Shalyga IF, Grishakov VV, Martemyanova LA, et al. Hodgkin’s lymphoma with extranodular manifestations. Health and Ecology Issues. 2017;2:106–110. (In Russ).
Supplementary files








