Difficulties and possibilities of cytodiagnosis of origin of adenocarcinoma in cervical smears
- Authors: Grigoruk O.G.1,2, Moskvina T.A.1, Bazulina L.M.1, Bakharev S.J.1, Pupkova E.J.1, Elchaninova S.A.2
-
Affiliations:
- Altai Regional Oncological Dispensary
- Altai State Medical University
- Issue: Vol 27, No 2 (2022)
- Pages: 71-81
- Section: Clinical investigations
- Submitted: 07.02.2023
- Accepted: 14.02.2023
- Published: 14.05.2023
- URL: https://rjonco.com/1028-9984/article/view/197194
- DOI: https://doi.org/10.17816/onco197194
- ID: 197194
Cite item
Abstract
BACKGROUND: The duration and accuracy of verification of origin and morphological variant of adenocarcinoma in the cervical smear affect the effectiveness of the treatment of patients. Currently, few publications on the possibility of clarifying the origin of adenocarcinoma in a cervical smear using the traditional cytological method are not sufficient for evidence-based conclusions.
AIMS: To identify patterns of cytological indicators of origin of adenocarcinoma in the biomaterial from the cervix.
MATERIALS AND METHODS: In an observational one-stage retrospective study, a comparative analysis of cytological tests of cervical smears with the conclusion “adenocarcinoma” was carried out with clinical and anamnestic information and the results of histological, immunohistochemical, molecular and genetic examinations. Information about 143 patients in the cancer registry of the Altai Regional Oncological Dispensary (Barnaul) for 2021 was used for analysis. Cytology preparations were prepared by the traditional method, as well as by the method of liquid cytology, staining was carried out by the Papanicolaou (Pap Test) and Pappenheim methods. Testing for human papillomavirus (HPV) was carried out by immunohistochemical method and polymerase chain reaction. PIK3CA and KRAS mutations were detected by polymerase chain reaction.
RESULTS: The cytological conclusion “adenocarcinoma” was confirmed by histology for all 143 women. There were cytology features of the morphological variant of AC, as well as to suggest the primary organ of adenocarcinoma, subsequently verified by visualization methods, histological, immunohistological examinations of biopsy and/or surgical material. The adenocarcinoma elements in the cervical smear was accompanied by adenocarcinoma in the endometrium, cervix, ovary/fallopian tube, colon (68.5, 17.6, 9.8 and 2.8% of cases, respectively; p <0.001). Differentiation of endometrial adenocarcinoma varied. Clear cell adenocarcinoma had specific cellular features. Cellular characteristics of HPV-associated and HPV-unassociated endocervical carcinomas differed from each other. Invasion of intestinal adenocarcinoma into the uterus and cervix was characterized by complexes with a “palisade” arrangement of cells in cervical smears.
CONCLUSION: Cytolodiagnostics of adenocarcinoma in smear from the cervix has prospects for further improvement in the verification of the organ origin of carcinoma. It is assumed that it is rational to assess associations of cytology with histo-, cytochemical, molecular and genetic characteristics of adenocarcinoma.
Full Text
ОБОСНОВАНИЕ
Рак шейки матки (РШМ) до настоящего времени остаётся одним из наиболее распространённых злокачественных новообразований в мире и Российской Федерации [1, 2]. По проблеме диагностики и лечения РШМ опубликовано большое количество научных работ, бόльшая часть которых касается плоскоклеточного рака. Плоскоклеточная карцинома диагностируется чаще других злокачественных опухолей шейки матки и характеризуется длительным преинвазивным периодом. Большинство морфологических вариантов плоскоклеточного РШМ ассоциировано с вирусом папилломы человека (ВПЧ) онкогенных генотипов, в России — чаще всего с ВПЧ типа 16 и/или 18 [1–4].
В последнее время в структуре гистотипов РШМ наблюдается увеличение доли аденокарциномы — с 5 до 25% [1]. При этом около 85% эндоцервикальных аденокарцином ассоциированы с ВПЧ, чаще всего с онкогенными типами 16 и 18, а также с типом 45 [1, 5, 6]. ВПЧ-независимые эндоцервикальные аденокарциномы имеют особенности клинических проявлений, ответа на лечение и прогноза [7]. Это определяет актуальность применения классификации Всемирной организации здравоохранения 2020 года [1], в которой эндоцервикальные аденокарциномы дифференцируются в соответствии с ВПЧ-статусом, а морфотип опухоли указывается дополнительно. Кроме плоскоклеточного рака и эндоцервикальных аденокарцином встречаются редкие формы РШМ (без дополнительного уточнения; БДУ), которые могут быть как ассоциированными с ВПЧ, так и независимыми от него [1].
Различение первичной или метастатической аденокарциномы шейки матки в гистологическом или цитологическом материале может быть затруднительным [8, 9]. В части случаев это обусловлено тем, что эндоцервикальные и эндометриальные аденокарциномы имеют «перекрёстную» морфологию, особенно при вовлечении в процесс тела матки (обычно нижний сегмент) и эндоцервикса [10]. В зависимости от направления роста опухоли эндоцервикальная аденокарцинома может распространяться в сторону подлежащих тканей, в матку, влагалищную стенку или же расти в просвет влагалища.
При использовании как традиционного способа приготовления стеклопрепаратов, так и жидкостной цитологии в материале с шейки матки могут обнаруживаться клеточные комплексы аденокарциномы при раке яичников, чаще всего при прогрессировании этого новообразования [11, 12]. Имеются редкие сообщения об обнаружении клеток аденокарциномы маточной трубы в мазках с шейки матки [13, 14]. По данным ретроспективного анализа 12 случаев серозной карциномы яичников или маточных труб, при цитологическом исследовании материала с шейки матки с применением жидкостной цитологии могут быть выявлены морфологические особенности, характерные для данных первичных новообразований [14]. С наибольшей вероятностью это возможно при наличии опухолевых клеток в асците [14].
Диагностические трудности при цитологическом исследовании возникают также при сочетании аденокарциномы с плоскоклеточным интраэпителиальным поражением высокой степени (high-grade squamous intraepithelial lesion, HSIL) [15, 16]. Положительная прогностическая ценность цитологического исследования для такой сочетанной патологии составляет 86% [15]. По результатам анализа 74 случаев в работе N. Lashmanova с соавт. [17] сочетание эндоцервикальной аденокарциномы in situ с плоскоклеточным интраэпителиальным поражением выявлено в 54% случаев, в том числе с плоскоклеточным интраэпителиальным поражением высокой степени — в 26,7%.
Несмотря на давно признанные трудности уточнения локализации аденокарциномы, выявленной при цитологическом исследовании материала с шейки матки, публикации по этому вопросу немногочисленны. В настоящее время в полной мере не охарактеризованы цитологические особенности и частота первичной локализации внеэндоцервикальных аденокарцином. Поэтому актуально накопление фактов о возможностях цитологического метода в верификации первичной локализации и морфологических вариантов аденокарцином при их выявлении в мазках с шейки матки.
Цель исследования — выявление паттернов цитологических признаков органной принадлежности аденокарцином в биоматериале с шейки матки.
МАТЕРИАЛЫ И МЕТОДЫ
Дизайн исследования
Наблюдательное одномоментное одноцентровое ретроспективное сплошное исследование.
Критерии соответствия, условия проведения и продолжительность исследования
Исследование выполнено в Алтайском краевом онкологическом диспансере (г. Барнаул). По базе данных канцер-регистра учреждения проведён сравнительный анализ результатов цитологических исследований материала с шейки матки с заключением «аденокарцинома» с клинико-анамнестическими сведениями и результатами гистологических, иммуногистохимических и молекулярно-генетических исследований. В работу включены 143 пациентки с аденокарциномами, выявленными традиционным цитологическим методом исследования биоматериала с шейки матки за 2021 год.
Методы
Приготовление препаратов для цитологического исследования проводили традиционным методом, а также с помощью жидкостной цитологии с применением процессора ThinPrep (Hologic Inc., США). Использовали окраску по Папаниколау и по Паппенгейму.
При гистологическом исследовании биопсийного и операционного материала препараты окрашивали гематоксилином и эозином по стандартной методике. Иммуногистохимические исследования ВПЧ-статуса эндоцервикальной аденокарциномы проводили на срезах опухоли до 4 мкм с поликлональным антителом р16 на аппарате BenchMark XT (Ventana Medical Systems, США). В четырёх случаях ВПЧ-статус карцином определяли молекулярно-биологическим методом с использованием пробы биоматериала из цитологического материала пациенток. Выделение ДНК для молекулярно-биологического исследования проводили с использованием наборов «ДНК-сорб-АМ» («АмплиСенс», Россия). Амплификацию с гибридизационно-флюоресцентной детекцией в режиме реального времени осуществляли с помощью набора «АмплиСенс ВПЧ ВКР скрин-титр-14-FL» на приборе CFX-96 (Bio-Rad, США). Анализировали и интерпретировали полученные результаты в программе FRT Manager.
Мутации для извлечения ДНК исследовали по протоколу производителя с помощью набора DNA Sample Preparation Kit (Roche, Германия). Изучение мутаций гена PIK3CA (E542K, E545K, E545Q, H1047R, H1047L) проводили методом полимеразной цепной реакции (ПЦР) в режиме реального времени с использованием набора PIK3CA Мutation Analysis Kit (Roche, Германия). Для выявления мутаций в гене KRAS применяли аллель-специфическую ПЦР в режиме реального времени с использованием набора Real-time-PCR-KRAS-7M («Биолинк», Россия). Исследовали 6 мутаций гена KRAS в 12-м кодоне (G12C, G12S, G12R, G12V, G12D, G12A) и мутацию G13D в 13-м кодоне.
Статистический анализ выполнен в программе Statistica 8.0 (StatSoft Inc., США). Оценку различий частот для двух групп проводили по двухстороннему точному критерию Фишера, для трёх и более групп — по критерию хи-квадрат Пирсона. Для применённых статистических критериев принят критический уровень значимости р <0,05.
РЕЗУЛЬТАТЫ
В 2021 году в цитологической лаборатории при исследовании материала с шейки матки рак диагностирован у 331 пациентки, из них у 143 женщин (43,2%) в возрасте 38–82 года диагностирована аденокарцинома.
Чаще всего в мазках из шейки матки обнаруживались комплексы клеток аденокарциномы эндометрия (табл. 1). Отметим, что в структуре заболеваемости злокачественными новообразованиями женского населения Алтайского края в 2021 году рак эндометрия составил 7,8% (448 случаев).
Таблица 1. Органная принадлежность аденокарцином, выявленных цитологическим методом при исследовании материала с шейки матки
Table 1. Organ localization of adenocarcinomas detected by cytology in cervical smears
Органная принадлежность аденокарцином Organ affiliation of adenocarcinomas | Количество пациенток Number of patients | |
Абс. число (n) | % | |
Эндометрий Endometrium | 98 | 68,5 |
Цервикальный канал Cervix | 25 | 17,5 |
Яичник Ovary | 12 | 8,4 |
Толстый кишечник Colon | 4 | 2,8 |
Маточная труба Oviduct | 2 | 1,4 |
Сочетание аденокарцином двух локализаций (толстой кишки и яичника) A combination of two adenocarcinomas localizations (colon and ovary) | 2 | 1,4 |
Всего Total | 143 | 100,0 |
Примечание. Критерий Пирсона хи-квадрат для частот органной принадлежности аденокарцином — 351,9; р <0,001.
Note. Pearson’s chi-square test for the frequencies of organ belonging to adenocarcinomas — 351.9; p <0.001.
Из всех случаев аденокарциномы эндометрия, выявленных при цитологическом исследовании материала с шейки матки, данное новообразование впервые диагностировано у 82 женщин (83,7%). У 16 пациенток (16,3%) установлен рецидив этого рака: после завершения лечения в течение года (у 7) и в период от года до 11 лет (у 9).
Цитологические заключения по результатам обследования женщин с аденокарциномой эндометрия соответствовали заключениям последующих гистологических исследований операционного материала с дополнительными уточнениями морфологических вариантов этой карциномы (табл. 2).
Таблица 2. Морфологические варианты аденокарциномы эндометрия, выявленной при исследовании материала с шейки матки
Table 2. Morphological variants of endometrial adenocarcinoma detected in cervical smears
Заключение по результатам исследования Conclusion on the study results | Количество пациенток, абс. число/% Number of patients, n/% | |
цитологического (материал с шейки матки) cytological (biomaterial from the cervix) | гистологического (операционный материал) histological (operational biomaterial) | |
Аденокарцинома, больше данных за высокодифференцированную Adenocarcinoma, likely well-differentiated | Высокодифференцированная эндометриоидная аденокарцинома Well-differentiated endometrioid adenocarcinoma | 21/21,4 |
Умеренно дифференцированная аденокарцинома Moderately differentiated adenocarcinoma | Умеренно дифференцированная эндометриоидная аденокарцинома Moderately differentiated endometrioid adenocarcinoma | 39/39,8 |
Низкодифференцированная аденокарцинома Poorly differentiated adenocarcinoma | Низкодифференцированная эндометриоидная аденокарцинома Poorly differentiated endometrioid adenocarcinoma | 24/24,5 |
Аденокарцинома Adenocarcinoma | Серозная аденокарцинома Serous adenocarcinoma | 8/8,2 |
Светлоклеточная аденокарцинома Clear cell adenocarcinoma | Светлоклеточная аденокарцинома Clear cell adenocarcinoma | 4/4,1 |
Аденокарцинома Adenocarcinoma | Эндометриоидная аденокарцинома с плоскоклеточной дифференцировкой Endometrioid adenocarcinoma with squamous differentiation | 2/2,0 |
Всего Total | 98/100,0 | |
Примечание. Критерий Пирсона хи-квадрат для частот морфологических вариантов аденокарциномы эндометрия — 57,9; р <0,001.
Note. Pearson’s chi-square test for the frequencies of morphological variants of endometrial adenocarcinoma — 57.9; p <0.001.
В двух наблюдениях в гистологическом материале отмечена эндометриоидная аденокарцинома с плоскоклеточной дифференцировкой (железистоплоскоклеточный рак), тогда как в цитологических препаратах констатирована только аденокарцинома.
В результате гистологических исследований биоматериала 98 пациенток с аденокарциномой эндометрия установлено распространение карциномы на шейку матки у 33 женщин (33,7%), сопутствующий цервицит — у 16 (16,3%), наботовы кисты шейки матки — у 14 (14,2%) пациенток. В 35 случаях (35,7%) патологии шейки матки не обнаружено.
Для отдельных морфологических вариантов аденокарциномы эндометрия, выявленных в мазках из материала с шейки матки, отмечены паттерны цитологических признаков. Так, при высокодифференцированных эндометриоидных аденокарциномах в цитологических препаратах среди элементов опухолевого «диатеза» обнаруживались группы хаотично расположенных опухолевых клеток с минимально выраженной клеточной атипией. При умеренно дифференцированных эндометриоидных аденокарциномах присутствовали железистоподобные опухолевые структуры (рис. 1).
Fig. 1. Cytological preparation of a cervical smear: moderately differentiated endometrioid adenocarcinoma; glandular tumor structures. Pappenheim staining, ×400.
В некоторых комплексах просматривались нейтрофильные лейкоциты (явление эмпериополеза) и элементы опухолевого «диатеза». Низкодифференцированные эндометриоидные аденокарциномы имели клетки с выраженной анаплазией, клеточные комплексы были дезорганизованы, отмечалось много раздельно лежащих клеток опухоли.
В восьми случаях аденокарциномы эндометрия клеточный состав соответствовал серозной аденокарциноме. В этих случаях в цитологических препаратах обнаруживалось большое количество папиллярных структур, состоящих из клеток эпителия с выраженными признаками атипии, установлено наличие опухолевого «диатеза», голоядерных элементов. Отметим, что в отличие от серозного рака яичников не принято определять степень дифференцировки серозной аденокарциномы эндометрия и расценивать её как рак высокой степени злокачественности.
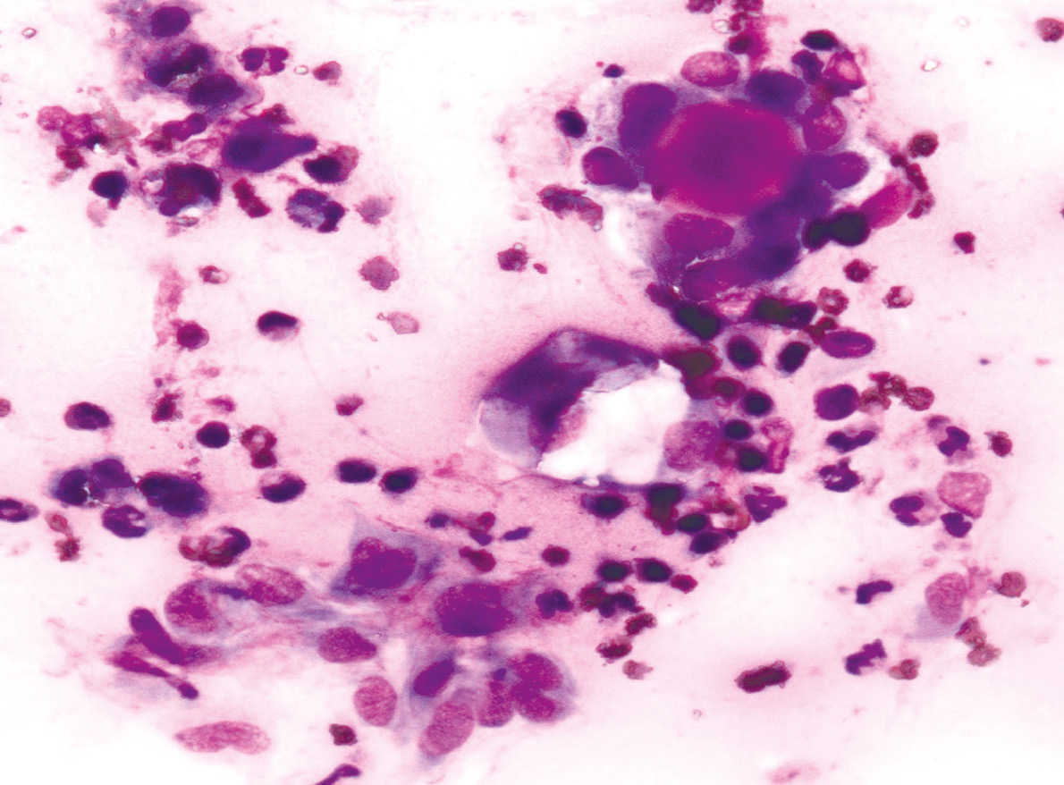
В четырёх наблюдениях диагностирована светлоклеточная аденокарцинома, имеющая специфические цитологические признаки: клетки со светлой оптически прозрачной цитоплазмой и оксифильным внеклеточным веществом в округлых и овальных скоплениях (рис. 2).
Рис. 2. Цитологический препарат из материала с шейки матки: светлоклеточная аденокарцинома эндометрия; клетки со светлой оптически прозрачной цитоплазмой и оксифильным внеклеточным веществом в округлом скоплении. Окрашивание по Паппенгейму, ×400.
Fig. 2. Cytological preparation of a cervical smear: clear cell adenocarcinoma of the endometrium; сells with light optically transparent cytoplasm and oxyphilic extracellular substance in a round cluster. Pappenheim staining, ×400.
У 25 пациенток цитологическим методом выявлена эндоцервикальная аденокарцинома, подтверждённая гистологическим исследованием операционного материала. Количество эндоцервикальных аденокарцином без учёта карцином in situ составило 10,7% от числа всех первичных карцином шейки матки (n=214) в 2021 году.
Типирование эндоцервикальной аденокарциномы на ВПЧ проведено у 15 пациенток, причём у большинства аденокарцинома была ассоциирована с ВПЧ (р <0,001) (табл. 3).
Таблица 3. Ассоциация эндоцервикальной аденокарциномы с ВПЧ
Table 3. Association of endocervical adenocarcinoma with HPV
Распространённость эндоцервикальной аденокарциномы Extent of endocervical adenocarcinoma | Количество пациенток, абс. число/процент от указанной распространённости карциномы The number of patients, n/% of reported carcinoma extent | |
ВПЧ-ассоциированная аденокарцинома HPV-associated adenocarcinoma | ВПЧ-независимая аденокарцинома HPV-unassociated adenocarcinoma | |
In situ | 1/50,0 | 1/50,0 |
Инвазивная/Invasive | 11/84,6 | 2/15,4 |
Всего/Total | 12/80,0 | 3/20,0 |
Примечание. ВПЧ — вирус папилломы человека. Note. HPV — human papillomavirus.
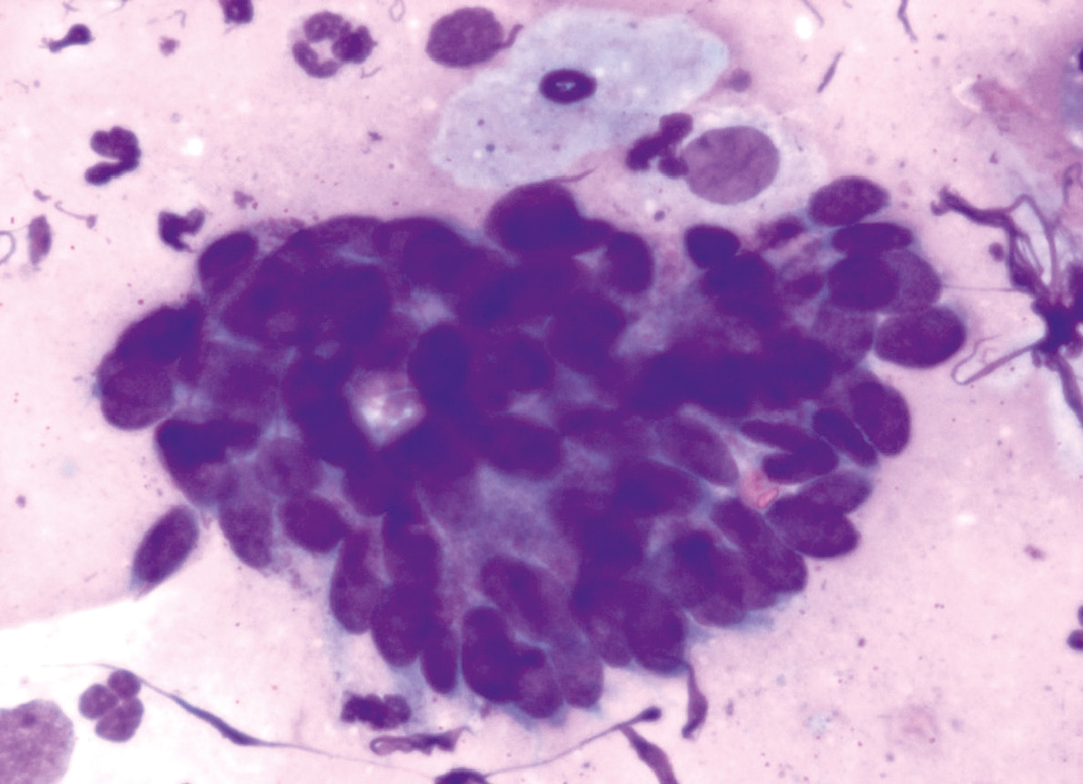
При гистологическом исследовании в двух случаях установлена эндоцервикальная аденокарцинома in situ, в одном — ВПЧ-ассоциированная (рис. 3), в другом — ВПЧ-независимая.
Рис. 3. Цитологический препарат из материала с шейки матки: эндоцервикальная аденокарцинома in situ, ассоциированная с вирусом папилломы человека; группа опухолевых клеток с признаками железистой дифференцировки. Окрашивание по Паппенгейму, ×400.
Fig. 3. Cytological preparation of a cervical smear: endocervical adenocarcinoma in situ associated with human papillomavirus; a group of tumor cells with signs of glandular differentiation. Pappenheim staining, ×400.
В препарате, приготовленном методом жидкостной цитологии с использованием процессора ThinPrep (Hologic Inc., США), признаки железистой дифференцировки определялись лучше, чем при традиционном способе приготовления цитологического препарата (рис. 4).
Рис. 4. Цитологический препарат из материала с шейки матки: эндоцервикальная аденокарцинома in situ, ассоциированная с вирусом папилломы человека. Препарат приготовлен методом жидкостной цитологии. Окрашивание по Папаниколау, ×200.
Fig. 4. Cytological preparation of a cervical smear: endocervical adenocarcinoma in situ associated with human papillomavirus. The preparation was prepared by the method of liquid cytology. Papanicolaou staining, ×200.
В цитологических препаратах ВПЧ-ассоциированная и ВПЧ-независимая эндоцервикальные аденокарциномы in situ различались. При ВПЧ-независимой аденокарциноме клетки были крупнее, чем при ВПЧ-ассоциированной, с обильной цитоплазмой и крупными, хорошо просматриваемыми ядрышками, отмечались фрагменты опухолевого диатеза, нейтрофильные гранулоциты.
Из числа инвазивных эндоцервикальных аденокарцином (23 наблюдения) в четырёх случаях (17,4%) выявлена сопутствующая патология в плоском эпителии — цервикальная интраэпителиальная неоплазия высокой степени (HSIL, CINIII). Следует отметить, что у трёх пациенток (13,0%) эндоцервикальная аденокарцинома развилась через 14, 24 и 28 лет после надвлагалищной ампутации матки по поводу миомы.
По степени дифференцировки инвазивная эндоцервикальная аденокарцинома чаще всего была высокодифференцированной — 16 случаев (69,6%), реже — умеренной и низкодифференцированной — 4 (17,4%) и 3 (13,0%) случая соответственно.
По цитологическим признакам ВПЧ-ассоциированная инвазивная эндоцервикальная аденокарцинома в девяти наблюдениях была типичной и характеризовалась многочисленными клеточными скоплениями из округлых опухолевых клеток. В двух случаях установлена эндоцервикальная аденокарцинома муцинозного типа в виде скоплениий столбчатых клеток с образованием «частокола» на фоне слизистых масс.
ВПЧ-независимые инвазивные эндоцервикальные аденокарциномы были идентифицированы как светлоклеточная аденокарцинома и эндоцервикальная аденокарцинома мезонефрического типа. При цитологическом исследовании светлоклеточная эндоцервикальная аденокарцинома морфологически была однотипна со светлоклеточным раком эндометрия или яичника и представлена округлыми клетками с крупными выступающими ядрышками в полиморфных ядрах и обильной пенистой, мелкозернистой цитоплазмой. Отмечены единичные скопления клеток с присутствием гиалинизированной стромы.
При молекулярно-генетических исследованиях эндоцервикальных аденокарцином из цитологического материала (4 случая) мутаций гена PIK3CA не обнаружено. Выявлена мутация G12А в гене KRAS у одной пациентки с ВПЧ-независимой эндоцервикальной аденокарциномой. Наличие этой мутации в сочетании с особенностями цитологической картины материала с шейки матки позволило отнести аденокарциному у этой пациентки к мезонефрическому типу. В цитологических препаратах ВПЧ-независимая эндоцервикальная аденокарцинома мезонефрического типа была представлена крупными клетками с базофильной цитоплазмой и наличием в ядрах полиморфных ядрышек (рис. 5). Встречались признаки эмпериополеза лейкоцитов.
Рис. 5. Цитологический препарат из материала с шейки матки: эндоцервикальная аденокарцинома мезонефрического типа независимая от вируса папилломы человека. Крупные клетки с эксцентричными ядрами, обильной базофильной цитоплазмой. Окрашивание по Паппенгейму, ×1000.
Fig. 5. Cytological preparation of a cervical smear: endocervical adenocarcinoma of the mesonephric type, independent of the human papillomavirus. Large cells with eccentric nuclei, abundant basophilic cytoplasm. Pappenheim staining, ×1000.
Цитологическая картина препаратов пациенток, у которых ВПЧ-статус аденокарциномы не определяли, в восьми наблюдениях соответствовала типичной эндоцервикальной аденокарциноме, в одном — муцинозной аденокарциноме и в одном — аденокарциноме мезонефрического типа.
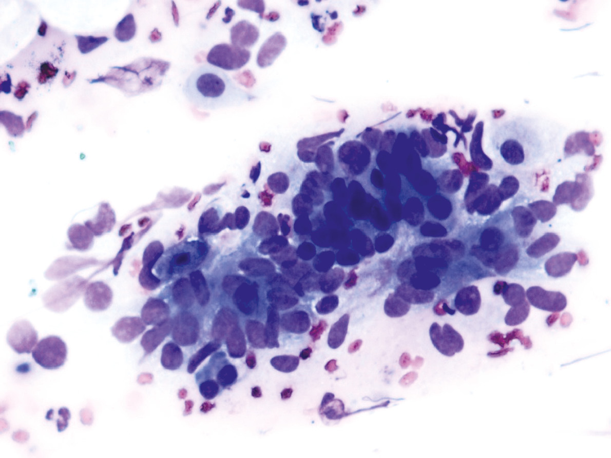
При цитологическом исследовании материала с шейки матки у 12 пациенток обнаружены клетки аденокарциномы яичника и у двух пациенток — клетки аденокарциномы маточных труб (см. табл. 1). В 11 из 14 этих случаев (78,6%) обнаружение аденокарциномы из яичников и маточных труб в цитологических препаратах с шейки матки наблюдалось на фоне прогрессирования заболевания: в течение года у трёх пациенток и от года до 7 лет — у 8 женщин. В остальных наблюдениях аденокарциномы четвёртой стадии установлены при первичном обследовании пациенток. Морфологический вариант серозной аденокарциномы выявлен в 12 наблюдениях (85,7%). У одной пациентки идентифицирована муцинозная аденокарцинома, ещё у одной — эндометриоидная аденокарцинома.
Отметим, что при распространении серозной аденокарциномы из яичника и маточных труб на шейку матки в цитологических препаратах обнаруживаются железистые комплексы из полиморфных клеток (рис. 6).
Рис. 6. Цитологический препарат из материала с шейки матки: серозная аденокарцинома яичника; железистые клеточные комплексы из полиморфных клеток. Окрашивание по Паппенгейму, ×400.
Fig. 6. Cytological preparation of a cervical smear: serous adenocarcinoma of the ovary; glandular cell complexes of polymorphic cells. Pappenheim staining, ×400.
При муцинозной аденокарциноме присутствовали комплексы клеток с просветом между клетками, массы муцина не обнаруживались. Комплексы клеток эндометриоидной аденокарциномы яичника в материале с шейки матки были подобны эндометриоидной аденокарциноме эндометрия.
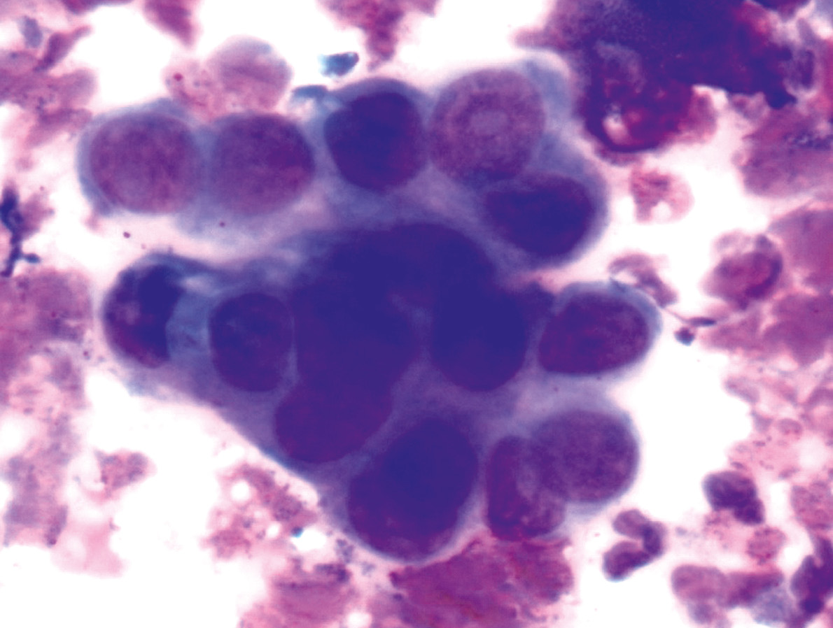
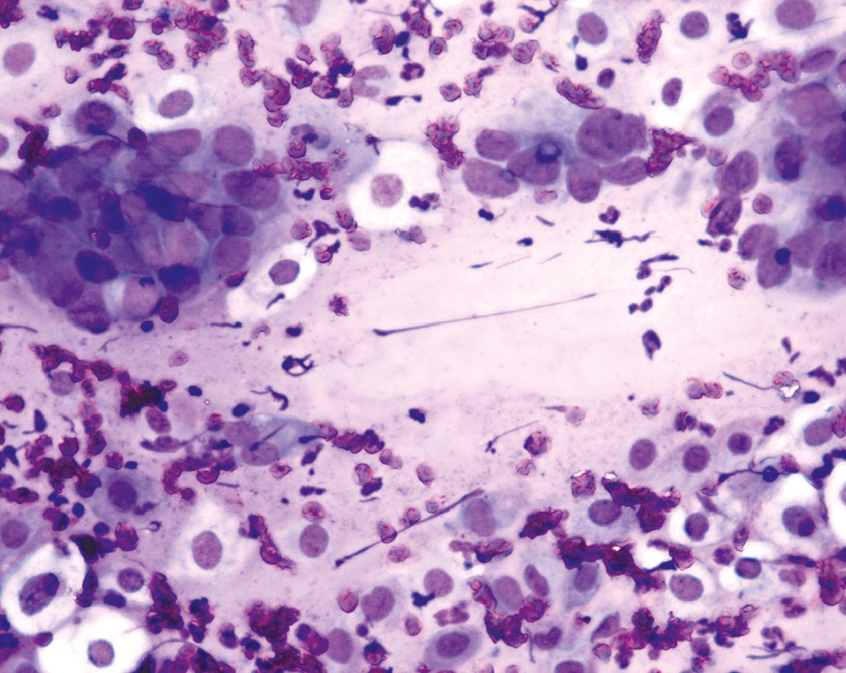
В четырёх наблюдениях в цитологических препаратах с шейки матки диагностированы аденокарциномы кишечного типа (см. табл. 1). В этих случаях отмечено распространение аденокарциномы кишечника с врастанием в заднюю стенку влагалища, тело и шейку матки. Часть клеточных комплексов сохраняла «частокольное» расположение клеток аденокарциномы, характерное для аденокарциномы кишечного типа (рис. 7).
Рис. 7. Цитологический препарат из материала с шейки матки: аденокарцинома кишечного типа; клеточные комплексы с «частокольным» расположением клеток. Окрашивание по Паппенгейму, ×40.
Рис. 7. Цитологический препарат из материала с шейки матки: аденокарцинома кишечного типа; клеточные комплексы с «частокольным» расположением клеток. Окрашивание по Паппенгейму, ×40.
При микроскопии препаратов с шейки матки двух женщин, которым проведено комплексное лечение по поводу серозной аденокарциномы яичника, а через два года — оперативное лечение с последующей лекарственной терапией по поводу аденокарциномы кишечника, отмечены комплексы клеток аденокарциномы без специфических признаков.
ОБСУЖДЕНИЕ
Проведён сравнительный ретроспективный анализ описательной и заключительной части традиционного цитологического исследования мазка из биоматериала с шейки матки с результатами гистологических, гистохимических, молекулярно-генетических исследований, а также с клинико-анамнестическими данными 143 пациенток с аденокарциномой, выявленной методом световой микроскопии. Все цитологические заключения «аденокарцинома» для этих пациенток подтверждены результатами гистологических исследований с учётом принятой точности цитологического определения морфотипа опухоли.
Резюме основного результата исследования
В цитологической картине материала с шейки матки при первичном обследовании женщин с аденокарциномой/рецидивом аденокарциномы имелись паттерны признаков, позволяющих во многих случаях предположить локализацию первичного очага карциномы, верифицированного последующим обследованием, включая гистологические исследования биопсийного и/или операционного материала. Отмечались некоторые цитологические различия эндометриальных аденокарцином в зависимости от ассоциации опухоли с ВПЧ. Определена частота локализаций первичного очага аденокарцином, первоначально выявленных при исследовании материала с шейки матки традиционным цитологическим методом. Обнаружение элементов аденокарциномы в материале с шейки матки сопутствует аденокарциномам, первично развивающимся в эндометрии, шейке матки, яичнике/маточной трубе, толстом кишечнике (в 68,5; 17,6; 9,8 и 2,8% случаев соответственно). Бóльшая часть эндоцервикальных карцином ассоциированы с ВПЧ (12 из 15 случаев, 80,0%).
Обсуждение основного результата исследования
В соответствии с клиническими рекомендациями в алгоритме диагностического обследования при гинекологическом осмотре используются забор мазков на цитологическое исследование с экзо- и эндоцервикса, кольпоскопия, биопсия всех подозрительных участков шейки матки. Окончательный диагноз устанавливается на основании результатов гистологического и иммуногистохимического исследования биоптатов/операционного материала, а также результатов визуализирующих методов обследования. Несомненно, что в случае выявления злокачественного новообразования важно уже на первом этапе обследования пациентки определить направление последующей дифференциальной диагностики. Это позволит подобрать наиболее рациональную индивидуализированную тактику обследования, а следовательно, сократить сроки диагностического поиска и, возможно, ресурсы на его проведение. Особую важность эти показатели эффективности онкодиагностики имеют при быстропрогрессирующих злокачественных новообразованиях с высоким потенциалом метастазирования. Такие особенности характерны для аденокарцином различной первичной локализации.
С учётом широкой распространённости в медицинской практике профилактических и диагностических обследований женщин с цитологической оценкой материала с шейки матки актуально повышение клинической информативности традиционного цитологического метода исследования этого биоматериала в отношении предположительной локализации первичного очага аденокарциномы.
Полученные в проведённом исследовании результаты согласуются с данными весьма немногочисленных аналогичных работ других исследователей [12] и указывают на перспективность дальнейшего поиска ассоциаций цитологических признаков аденокарциномы не только с традиционными гистологическими характеристиками, но и с ВПЧ-статусом и окончательно верифицированной органной локализацией этой опухоли.
Необходимо подчеркнуть, что, безусловно, традиционная световая микроскопия мазков материала с шейки матки имеет ограничения, которые следует принимать во внимание при формулировке цитологического заключения. Однако применение жидкостной цитологии стеклопрепаратов может способствовать более чёткому выявлению отдельных, диагностически важных цитологических признаков аденокарциномы. Так, в препарате, приготовленном методом жидкостной цитологии, признаки железистой дифференцировки эндоцервикальной аденокарциномы определяются лучше, чем в традиционном цитологическом препарате.
Немаловажно, что, как показали результаты представленного исследования, приготовленный жидкостным методом цитологический материал с шейки матки можно успешно использовать для обнаружения генных мутаций аденокарцином, их биомаркёров.
Отметим, что высокая частота цитологического выявления в мазке с шейки матки аденокарциномы эндометрия (68,5% от всех наблюдений) вполне логична в свете общепризнанных представлений о возможности отделения элементов этой опухоли и их неинвазивного поступления в эксфолиативный материал с эндоцервикса. Обнаружение клеток аденокарциномы из яичника (12 наблюдений) и маточных труб (2 наблюдения) в материале с шейке матки может объясняться тем, что опухолевые клетки могут опускаться в полость матки, проходя путь выхода яйцеклетки из фолликула.
Ограничения исследования
С учётом немногочисленности публикаций по рассматриваемому вопросу, относительно невысокой частоты выявления различных морфологических вариантов аденокарциномы представляются необходимыми дальнейшее накопление и систематизация фактов для окончательного формулирования заключений о цитологических особенностях аденокарцином разных локализаций, выявленных при оценке материала с шейки матки, а также для количественной характеристики диагностической чувствительности и специфичности совокупности этих признаков.
ЗАКЛЮЧЕНИЕ
Проведённое исследование позволяет заключить, что цитологическая верификация аденокарцином в материале, полученном с шейки матки, является высокоинформативным методом диагностики и имеет перспективы дальнейшего совершенствования в отношении предположения об органной принадлежности аденокарциномы. Эти перспективы связаны с возможностью установления ассоциаций цитологических признаков опухоли с её гисто-, цитохимическими, молекулярными и генетическими характеристиками.
ДОПОЛНИТЕЛЬНАЯ ИНФОРМАЦИЯ
Источник финансирования. Авторы заявляют об отсутствии внешнего финансирования при проведении исследования и подготовке публикации.
Конфликт интересов. Авторы декларируют отсутствие явных и потенциальных конфликтов интересов, связанных с проведённым исследованием и публикацией настоящей статьи.
Вклад авторов: О.Г. Григорук — концепция и дизайн исследования, анализ полученных данных, написание текста рукописи, составление таблиц, съёмка; Т.А. Москвина — информационный обзор литературы по данной теме, оформление списка литературы; Л.М. Базулина — информационный обзор литературы по данной теме, оформление списка литературы; С.Ю. Бахарев — уточнение информации результатов гистологического и иммуногистохимического заключения; Е.Э. Пупкова — проведение, оценка и интерпретация результатов молекулярных исследований; С.А. Ельчанинова — написание текста рукописи. Все авторы подтверждают соответствие своего авторства международным критериям ICMJE (все авторы внесли существенный равный вклад в разработку концепции, проведение исследования и подготовку статьи, прочли и одобрили финальную версию перед публикацией).
ADDITIONAL INFORMATION
Funding source. This study was not supported by any external sources of funding.
Competing interests. The authors declare that they have no competing interests.
Authors' contribution: O.G. Grigoruk — developing the research concept and study design, performing data analysis, writing the article, preparing tables and microphotographs; T.A. Moskvina — reviewing relevant publications, preparing the list of references; L.M. Bazulina — reviewing relevant publications, preparing the list of references; S.Ju. Bakharev — clarifying the results of histological and immunohistochemical examinations; E.Je. Pupkova — performing molecular testing and interpreting the results; S.A. Elchaninova — writing the article. All authors made a substantial contribution to the conception of the work, acquisition, analysis, interpretation of data for the work, drafting and revising the work, final approval of the version to be published and agree to be accountable for all aspects of the work.
About the authors
Ol’ga G. Grigoruk
Altai Regional Oncological Dispensary; Altai State Medical University
Email: cytolakod@rambler.ru
ORCID iD: 0000-0001-9981-2348
SPIN-code: 7250-6259
Dr. Sci. (Biol.), Associate Professor
Russian Federation, Барнаул; BarnaulTat’jana A. Moskvina
Altai Regional Oncological Dispensary
Author for correspondence.
Email: tanhellita2010@bk.ru
MD
Russian Federation, BarnaulLarisa M. Bazulina
Altai Regional Oncological Dispensary
Email: lardoc69@mail.ru
ORCID iD: 0000-0002-7222-0657
MD
Russian Federation, BarnaulSergej Ju. Bakharev
Altai Regional Oncological Dispensary
Email: bachero@mail.ru
Russian Federation, Barnaul
Elena Je. Pupkova
Altai Regional Oncological Dispensary
Email: elenapupkova@yandex.ru
Russian Federation, Barnaul
Svetlana A. Elchaninova
Altai State Medical University
Email: saelch@mail.ru
ORCID iD: 0000-0003-2730-615X
SPIN-code: 9015-4554
Dr. Sci. (Biol.), Professor
Russian Federation, BarnaulReferences
- WHO classification of female genital tumours (Vol. 4), 5th edition. Lyon: International Agency for Research on Cancer; 2020. 631 p.
- Curty G, de Carvalho PS, Soares MA. The role of the cervicovaginal microbiome on the genesis and as a biomarker of premalignant cervical intraepithelial neoplasia and invasive cervical cancer. Int J Mol Sci. 2019;21(1):222. doi: 10.3390/ijms21010222
- Hohlova SV, Kolomiec LA, Kravec OA, i dr. Prakticheskie rekomendacii po lekarstvennomu lecheniju raka shejki matki. Malignant tumors. 2019;9(3s2):203–217. (In Russ). doi: 10.18027 / 2224-5057-2019-9-3s2-203-217
- Rogovskaya SI, Shabalova IP, Mikheeva IV, et al. Human papillomavirus prevalence and type-distribution, cervical cancer screening practices and current status of vaccination implementation in Russian Federation, the Western countries of the former Soviet Union, Caucasus region and Central Asia. Vaccine. 2013;31(suppl. 7):H46–H58. doi: 10.1016/j.vaccine.2013.06.043
- Ren H, Almadani N, Pors J, et al. International endocervical adenocarcinoma criteria and classification (IECC). International Journal of Gynecological Pathology. 2021;40(6):533–540. doi: 10.1097/PGP.0000000000000764
- Stolnicu S, Park KJ, Kiyokawa T, et al. Tumor typing of endocervical adenocarcinoma: contemporary review and recommendations from the international society of gynecological pathologists. International Journal of Gynecological Pathology. 2021;40(2):S75–S91. doi: 10.1097/PGP.0000000000000751
- Hodgson A, Park KJ, Djordjevic B, et al. International endocervical adenocarcinoma criteria and classification: validation and interobserver reproducibility. Am J Surg Pathol. 2019;43(1):75–83. doi: 10.1097/PAS.0000000000001095
- Sidoruk AA, Ul’rih EA, Novik VI, Urmancheeva AF. Trudnosti diagnostiki adenokarcinomy in situ shejki matki. Siberian journal of oncology. 2009;(S1):177–178. (In Russ).
- Grigoruk OG, Cherdantseva TM, Моskvina TA, et al. Evaluated possibility of adenocarcinoma diagnostics under the cytological method by the uterine cervix material. Tumors of female reproductive system. 2016;12(2):52–59. (In Russ). doi: 10.17650/1994-4098-2016-12-2-52-59
- Yemelyanova A, Vang R, Seidman JD, et al. Endocervical adenocarcinomas with prominent endometrial or endomyometrial involvement simulating primary endometrial carcinomas: utility of HPV DNA detection and immunohistochemical expression of p16 and hormone receptors to confirm the cervical origin of the corpus tumor. Am J Surg Pathol. 2009;33(6):914–924. doi: 10.1097/PAS.0b013e3181971fdd
- Biskup E, Wils RS, Hogdall C, Hogdall E. Prospects of improving early ovarian cancer diagnosis using cervical cell swabs. Anticancer Res. 2022;42(1):1–12. doi: 10.21873/anticanres.15451
- Suzuki M, Suzuki T, Matsuura M, et al. Prediction of histologic type and lymph node metastasis for advanced ovarian cancer on uterine cervical and endometrial cytology. Acta Cytol. 2010;54(4):575–581. doi: 10.1159/000325180
- Shintaku M, Taniguchi H, Yamamoto Y, et al. Detection of tumor cells of serous tubal intraepithelial carcinoma (STIC) in cervical smears and rapid development of the ovarian involvement: a case report. Diagn Cytopathol. 2018;46(11):945–949. doi: 10.1002/dc.23957
- Xu Y, Liu B, Zhang X, Chen L. Cytological features of ovarian or tubal high-grade serous carcinoma: a retrospective study of 12 cases with abnormal cervical liquid-based smear. Diagn Cytopathol. 2021;49(11):1207–1212. doi: 10.1002/dc.24871
- Kumar N, Bongiovanni M, Molliet MJ, et al. Diverse glandular pathologies coexist with high-grade squamous intraepithelial lesion in cyto-histological review of atypical glandular cells on ThinPrep specimens. Cytopathology. 2009;20(6):351–358. doi: 10.1111/j.1365-2303.2008.00568.x
- Jones R, Dale F, Fite JJ, et al. Endocervical glandular involvement is associated with an increased detection rate of high-grade squamous intraepithelial lesions on the Papanicolaou test. J Am Soc Cytopathol. 2020;9(3):137–145. doi: 10.1016/j.jasc.2019.12.004
- Lashmanova N, Braun A, Cheng L, et al. Endocervical adenocarcinoma in situ-from Papanicolaou test to hysterectomy: a series of 74 cases. J Am Soc Cytopathol. 2022;11(1):13–20. doi: 10.1016/j.jasc.2021.08.002
Supplementary files










