Lobular carcinomas of the breast: cytological diagnostics
- Authors: Grigoruk O.G.1,2, Moskvina T.A.1, Bazulina L.M.1, Sinkina T.V.1, Vihljanov I.V.1
-
Affiliations:
- Altai Regional Oncological Dispensary
- Altai State Medical University
- Issue: Vol 27, No 2 (2022)
- Pages: 83-92
- Section: Clinical investigations
- Submitted: 07.02.2023
- Accepted: 14.02.2023
- Published: 14.05.2023
- URL: https://rjonco.com/1028-9984/article/view/197446
- DOI: https://doi.org/10.17816/onco197446
- ID: 197446
Cite item
Abstract
AIMS: To estimate potentialities of cytological diagnostics of different types of lobular carcinomas of the breast while outpatient examination.
MATERIALS AND METHODS: The data of cytological investigations of 444 patients with carcinoma, which were detected by fine-needle aspiration biopsy, were studied. Traditional cytological diagnostics, as well as the liquid-based technique of preparation of patterns were used, staining of patterns according to the Pappenheim and Papanicolaou methods. A standard protocol for immunocytochemical reactions was used.
RESULTS: Lobular carcinoma was detected in 15 patients. Types of lobular carcinomas were verified by cytological method were retrospectively identified.
Classical, solid and tubular types of lobular carcinoma (n=7,46.7%; n=5,33.3%; n=1,6.7%) differed from unspecified breast carcinomas. In the classical type, vacuoles with a target-like inclusion (probably a drop of mucin) were a significant feature. In the solid type, the absence of complexes with a large number of separately located similar tumor cells was noticed. The tubular type was distinguished by the presence of tubular structures. The liquid-based technique helps to differentiate lobular and unspecified carcinoma using an immunocytochemical reaction with E-cadherin.
CONCLUSION: The results of the study indicate that lobular carcinomas of the breast are 3.4% of all breast carcinomas. Taking into consideration the differences in prognosis, it is important to differentiate between lobular and unspecified ductal carcinoma at the outpatient level of diagnostics, as this is deciding for treatment strategy choice.
Full Text
ОБОСНОВАНИЕ
Дольковая карцинома молочной железы — наиболее часто встречаемый подтип рака молочной железы из числа специфицированных карцином. Это второй по распространённости тип карциномы после неспецифицированной протоковой карциномы. Дольковые карциномы молочной железы составляют 5–15% всех случаев карцином молочной железы [1, 2]. В научной литературе имеются данные об увеличении числа таких карцином за последние два десятилетия. Наибольшее количество наблюдается среди пациенток старше 50 лет. Предполагаемыми причинами увеличения числа карцином данного типа являются использование заместительной гормональной терапии у женщин при коррекции климактерических расстройств, а также улучшение возможностей диагностики [3, 4]. Средний возраст пациенток с дольковой карциномой на момент постановки диагноза составляет 57–65 лет, что на три года больше по сравнению с возрастом пациенток с неспецифицированной протоковой карциномой [2, 5].
Диагностируется дольковая карцинома чаще на более поздней стадии, когда уже имеются метастатические лимфатические узлы [2]. Опухоль может поражать любую часть молочной железы, хотя есть данные, что центрально расположенные опухоли более распространены [2]. У большинства женщин диагностика заболевания затруднена, опухоли не всегда хорошо определяются при пальпации. На маммографии отмечается более низкая чувствительность диагностики дольковых карцином (57–89%), чем при неспецифицированных формах, с ложноотрицательными показателями до 19% [5]. Ультразвуковое исследование является более чувствительным (78–95%), хотя размер опухоли может быть недооценён [5]. МРТ-исследования более информативны при мультифокальных поражениях молочной железы, но они могут привести к ложноположительным результатам и завышению размера опухоли. Наиболее информативны морфологические исследования.
Этиология заболевания имеет многофакторный характер, включая особенности стиля жизни, гормональные и генетические расстройства. Наследственная дольковая карцинома возникает как опухоль у пациентов с семейным синдромом наследственного диффузного рака желудка, вызванного мутациями в гене CDH7. Частота обнаружения мутаций в гене CDH1 колеблется от 12 до 83% [6]. Женщины-носители мутации CDH7 имеют пожизненный риск развития дольковой карциномы молочной железы 42% [7]. Несколько дополнительных молекулярных факторов, а именно гены TP53, PIK3CA, FOXA1, ZNF703, FGFR1 и BCAR4, определяют развитие дольковой карциномы или перехода её in situ в инвазивный рак [6]
Дольковые карциномы отличаются относительно благоприятным течением, связаны с лучшим прогнозом по сравнению с неспецифицированными формами. Карциномы негативны на рецептор HER2, в 95% наблюдений имеют положительную реакцию на эстрогеновые рецепторы (ЭР) и до 70% случаев — позитивную реакцию на рецепторы к прогестерону (ПР) [8–12]. Для сравнения, только 60–70% неспецифицированных карцином экспрессируют как ЭР, так и ПР. Инвазивная дольковая карцинома практически всегда ЭР+, ПР+, HER2–, исключение — плеоморфный вариант. Данный факт обеспечивает эффективный ответ на эндокринную терапию, которая является оптимальным выбором при лечении дольковой карциномы [13, 14]. Использование летрозола, вероятно, обеспечивает лучшую общую выживаемость по сравнению с тамоксифеном [15].
Дольковая карцинома отличается от карциномы неспецифицированной по своим морфологическим характеристикам и особенностям клинического течения, а также имеет другие клинические и рентгенологические особенности. Как правило, дольковая карцинома характеризуется более высокой степенью дифференцировки, низкой степенью злокачественности. Её гистологические формы определяют классический (57%), солидный (11%), альвеолярный (19%), тубулярный, плеоморфный и смешанный типы (в совокупности 13%) [15]. При иммуногистохимическом исследовании отличительной особенностью дольковой карциномы является потеря молекулы межклеточной адгезии E-кадгерина, низкие уровни опухоль-инфильтрирующих лимфоцитов. Биологические характеристики, которые связаны с плохими клиническими исходами, обнаруживаются редко. Исключением является плеоморфный тип дольковой карциномы, при котором отмечается отсутствие экспрессии EР и ПР, позитивная реакция на HER2. У пациентов с плеоморфной дольковой карциномой в четыре раза чаще диагностируется рецидив, чем у пациентов с классическим вариантом рака [15].
К клиническим особенностям дольковой карциномы относится высокая частота мультицентрического, мультифокального роста. Билатеральный характер поражения при таком типе опухоли выше, чем при неспецифицированной протоковой карциноме (20,9 и 11,2% соответственно) [16]. Локализация метастазов также отличается при дольковой карциноме. Кроме типичных для карцином молочной железы метастазов в кости, печень, лёгкие, мягкие ткани, встречаются метастазы в органы желудочно-кишечного тракта, по брюшине, в яичниках [17–19]. Дольковая карцинома молочной железы среди всех злокачественных новообразований занимает первое место по частоте метастазирования в органы желудочно-кишечного тракта (27,9%), при этом карцинома лёгкого — 23,8%, пищевода — 19,1%, почечно-клеточная — 7,6%, меланома — 7% [20].
Лечение дольковой карциномы до настоящего времени нередко проводится по стандартам неспецифицированных протоковых карцином и имеет примерно одинаковые показатели общей и безрецидивной выживаемости при наличии более благоприятных прогностических факторов [18, 19]. Эта опухоль практически нечувствительна к неоадъювантной и адъювантной химиотерапии, при которой лечебный ответ составляет от 0 до 11% [6, 21, 22]. Положительные края резекции после операции по сохранению груди встречаются относительно часто. В 17–65% случаев проводится повторное хирургическое вмешательство [6].
Изучение особенностей данного типа карцином вызывает большой интерес и в определении точности морфологической диагностики, в том числе возможностей цитологической диагностики, проводимой в амбулаторных условиях. Цитологическая диагностика дольковой карциномы в материале тонкоигольной аспирационной биопсии отличается наибольшими трудностями по сравнению с другими типами карцином молочной железы. По данным работ [23–25], неэффективные цитологические исследования отмечаются в 4,0–39,5% случаев. Точность цитологической диагностики с помощью тонкоигольной аспирационной биопсии при установлении злокачественного процесса отмечается в 63,0–94,8% всех случаев карцином молочной железы (медиана — 84%) в зависимости от уровня знаний и опыта врача-цитолога [23]. Такой показатель объясняется прежде всего диагностикой неспецифицированной протоковой карциномы, которая является наиболее распространённым типом рака молочной железы, чувствительность метода ниже для некоторых других типов, включая дольковую карциному [23].
В последнее время значительно возросло количество исследований, посвящённых изучению дольковой карциномы, включая диагностику, определение молекулярного статуса, лечение, а также определение нескольких потенциальных терапевтических направлений [26–28]. Научных работ, посвящённых цитологической диагностике дольковых карцином, в литературных источниках немного.
Цель исследования — оценить возможности цитологической диагностики различных типов дольковых карцином молочной железы.
МАТЕРИАЛЫ И МЕТОДЫ
Дизайн исследования
Наблюдательное одномоментное одноцентровое ретроспективное сплошное исследование.
Критерии соответствия, условия проведения и продолжительность исследования
Работа выполнена в Алтайском краевом онкологическом диспансере (Барнаул). В исследование вошли 2152 пациентки, у которых на амбулаторном этапе обследования проведены тонкоигольные аспирационные биопсии для первичного верифицирования процесса в молочной железе.
Методы
Клеточные признаки карцином изучали при световой микроскопии на препаратах, окрашенных по методу Паппенгейма и Папаниколау. В некоторых случаях помимо традиционного цитологического исследования использовали метод жидкостной цитологии с применением процессора ThinPrep 5000 (Hologic, США). Приготовленные на процессоре препараты использовали для проведения иммуноцитохимических реакций. Применяли стандартный протокол проведения иммуноцитохимических реакций. Определили группу пациенток с дольковой карциномой.
Оценили и проанализировали результаты цитологического исследования дольковых карцином молочной железы, сопоставили их с данными гистологического исследования операционного материала и информацией из канцер-регистра диспансера. Ретроспективно провели пересмотр препаратов с оценкой принадлежности клеток опухоли к дольковой карциноме.
Статистический анализ
В связи с тем, что обнаружено небольшое количество наблюдений дольковых карцином, использована статистическая обработка с помощью прикладной программы Microsoft Office Excel 2010.
РЕЗУЛЬТАТЫ
Карциномы молочной железы на амбулаторном этапе обследования при цитологическом исследовании установлены у 444 женщин (20,6%) (табл. 1). Дольковая карцинома установлена у 15 пациенток (3,34% всех карцином молочной железы). Возраст пациенток с дольковой карциномой составил от 44 до 77 лет (медиана — 62,13±10,47).
Таблица 1. Количество пациенток с карциномой молочной железы, установленной цитологическим методом
Table 1. The number of patients with cytologically verified breast carcinoma
Тонкоигольная аспирационная биопсия, количество пациенток | Установлена карцинома, абс. число | В том числе «дольковая», абс. число | Доля дольковой карциномы от общего числа, % |
Проведена в Алтайском краевом онкологическом диспансере (n=1962) | 311 | 10 | 3,21 |
Пересмотр направленного цитологического материала из других лечебно-профилактических учреждений (n=190) | 133 | 5 | 3,76 |
Всего пациенток (n=2156) | 444 | 15 | 3,34 |
Мультицентризм опухоли отмечен у семи пациенток (46,7%). Метастазы на момент обращения в онкологический диспансер диагностированы у девяти женщин (60%), у одной из которых кроме метастазов в лимфатические узлы обнаружены метастазы в кости.
Основанием принадлежности клеток опухоли к морфологическому типу дольковой карциномы было гистологическое исследование операционного материала с определением прогностических маркёров. При иммуногистохимическом исследовании во всех наблюдениях отмечены позитивная реакция на ЭР, которая составляла 8 баллов; ПР-позитивная — от 3 до 8 баллов; негативная реакция на HER2/neu; Ki67 — 12–34% (табл. 2). Отличительной особенностью дольковой карциномы явилась потеря молекулы межклеточной адгезии E-кадгерина, низкие уровни опухоль-инфильтрирующих лимфоцитов — 10%. Люминальный подтип А отмечен у 11 пациенток (73%), люминальный подтип B — у 4 (27%).
Таблица 2. Некоторые сравнительные характеристики пациенток с дольковой карциномой
Table 2. Comparative characteristics of patients with lobular carcinoma
Оцениваемый признак дольковых карцином | Классическая | Солидная | Тубулярная | Смешанная карцинома с компонентом |
Количество пациенток | 7 | 5 | 1 | 2 |
Доля от числа дольковых карцином, % | 46,7 | 33,3 | 6,7 | 13,3 |
Мультицентризм опухоли, абс. число | 5 | 2 | 0 | |
Метастазирование в лимфатические узлы, абс. число | 5 | 2 | 2 | |
Метастазы в другие органы, абс. число | 0 | 0 | 1 | |
Иммуногистохимическая реакция на ЭР, среднее значение, M±m | 7,73±0,37 | 7,80±0,40 | 7,73±0,45 | |
Иммуногистохимическая реакция на ПР, среднее значение, M±m | 6,80±0,75 | 6,90±1,03 | 5,36±2,84 | |
Иммуногистохимическая реакция на HER2/neu, % | 0 | 0 | 2,9 | |
Показатель пролиферативного индекса Ki-67, среднее значение, M±m | 12,80±8,11 | 16,40±9,23 | 26,82±19,45 | |
Примечание: ЭР — рецепторы к эстрогенам; ПР — рецепторы к прогестерону.
Note: ER — estrogen receptors; PR — progesterone receptors.
При цитологическом исследовании препаратов на амбулаторном этапе обследования пациенток в 9 случаях из 15 (60%) было дано заключение «дольковая карцинома», в 6 наблюдениях (40%) — карцинома без дополнительного уточнения. В гистологическом материале данных пациенток в четырёх наблюдениях отмечена дольковая карцинома, в двух — смешанная: неспецифицированная с участками дольковой карциномы. В связи с данным фактом препараты этих наблюдений взяты в настоящее исследование. Их ретроспективно пересматривали, оценивая клеточный состав.
Помимо диагностики злокачественного процесса нам важно было попытаться определить морфологический тип дольковых карцином. Цитологические критерии не являются полностью специфичными для дольковой карциномы, поскольку могут наблюдаться при других типах карцином молочной железы, прежде всего при неспецифицированной протоковой карциноме. Характеристики дольковой карциномы представлены несколькими гистологическими вариантами, в основе которых имеются либо цитологические признаки, либо особенности характера роста опухоли.
Ретроспективно нами оценены клеточные признаки, по которым 7 наблюдений дольковой карциномы определены как принадлежащие к классическому варианту, 5 — к солидному, 1 — к тубулярному и 2 — к смешанной карциноме с компонентом дольковой. Во всех наблюдениях отмечалась высокая клеточность. Альвеолярный и плеоморфный подтипы дольковой карциномы в данной работе не наблюдали.
Цитологические характеристики классического варианта дольковой карциномы различались клеточностью в зависимости от степени дифференцировки: в одном наблюдении определили высокую дифференцировку (в гистологическом исследовании соответствие GI), в пяти — умеренную (GII) и в одном — низкую (GIII).
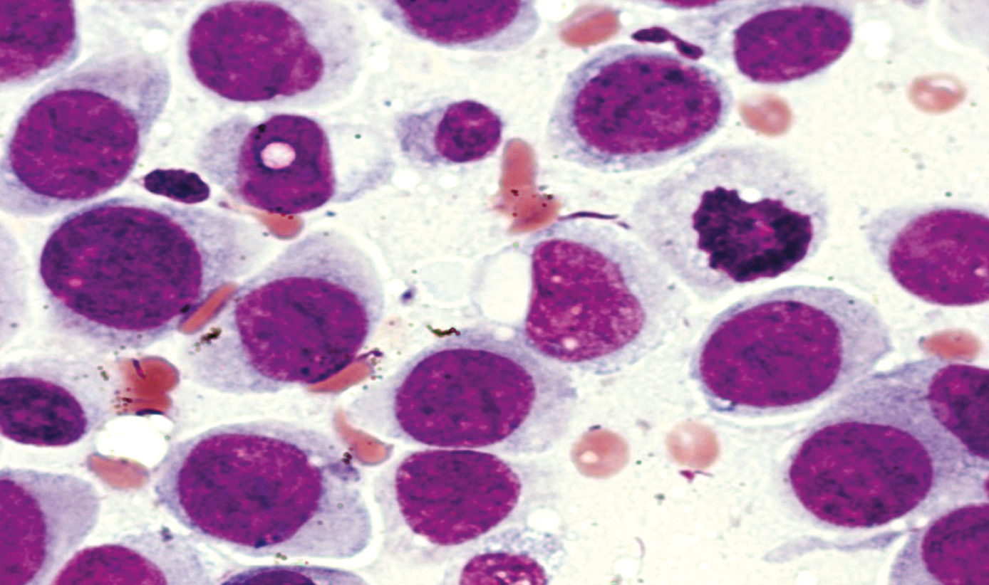
Для классического подтипа дольковой карциномы GI характерны небольшие мономорфные клетки с незначительной атипией. Клетки имели округлую форму, нередко — перстневидный вид. Размер опухолевых клеток — 12–24 мкм. Отмечен специфический признак: в части клеток опухоли с эксцентрическими бобовидными ядрами цитоплазма — в виде вакуоли с мишеневидным включением (вероятно, каплей муцина) (рис. 1). Клетки изолированы, а также формируют небольшие рыхлые скопления с клеточным просветом между ними, располагаются образованиями в виде одноклеточных цепочек. Митозы отмечаются редко.
Рис. 1. Дольковая карцинома молочной железы, классический вариант. В цитоплазме клеток опухоли отмечаются вакуоли с мишеневидным включением. Окрашивание по Паппенгейму. ×1000.
Fig. 1. Lobular carcinoma of the breast, classical type. There are vacuoles with a target-like inclusion in the cytoplasm of tumor cells. Pappenheim staining. ×1000.
Классический подтип GII отличается от описанного варианта клетками более крупного размера — 25–34 мкм. Клеточные скопления сохраняют признаки, подобные признакам подтипа GI. Клеточный состав классического подтипа GIII определяется выраженным клеточным полиморфизмом. Размеры клеток варьируют от мелких (12 мкм) до крупных (более 40 мкм). Отмечаются анаплазированные бесформенные крупные голоядерные элементы, а также фрагменты самостоятельно лежащих вакуолей с мишеневидным включением. В сохранных клетках цитоплазма имеет чёткий базофильный ободок.
При использовании метода жидкостной цитологии при классической дольковой карциноме клеточные признаки сохраняются: клетки имеют округлую форму, нередко — перстневидный вид. Отмечается также специфический признак: в части клеток опухоли с эксцентрическими бобовидными ядрами цитоплазма — в виде вакуоли с мишеневидным включением (рис. 2).
Рис. 2. Дольковая карцинома молочной железы, классический вариант. Жидкостная цитология. Окрашивание по Папаниколау. ×200.
Fig. 2. Lobular carcinoma of the breast, classic type. Liquid-based cytology. Papanicolaou staining. ×200.
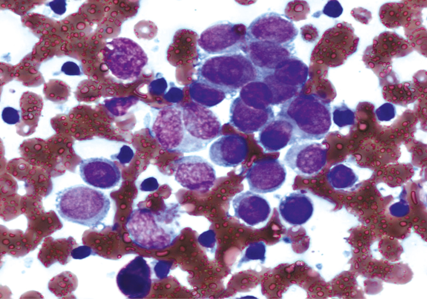
Цитологические характеристики солидного варианта дольковой карциномы отличаются от классического типа тем, что формируют большие сплошные поля преимущественно раздельно лежащих опухолевых клеток (рис. 3) размером от 24 до 40 мкм. Они характеризуются «зернистым» хроматином ядер, которые располагаются преимущественно эксцентрично. Цитоплазма сохранная, чаще видна с одного края клетки. Присутствуют единичные клетки со специфическим признаком вакуоли с мишеневидным включением, в этом типе их значительно меньше. Митозы отмечаются чаще, чем при классическом типе. При данном подтипе отсутствуют клеточные комплексы, характерные для практически всех карцином, в связи с чем при недостаточном опыте врача-цитолога подобные опухолевые клетки ошибочно могут быть приняты за другие опухоли или цитологическое заключение будет носить лишь предположение о принадлежности клеток к карциноме.
Рис. 3. Дольковая карцинома молочной железы, солидный вариант. Раздельно лежащие опухолевые клетки, не формирующие комплексов. В одной клетке отмечен митоз. Окрашивание по Паппенгейму. ×1000.
Fig. 3. Lobular carcinoma of the breast, solid type. Separately situated tumor cells, that don’t forming complexes. Mitosis was noted in one cell. Pappenheim staining. ×1000.
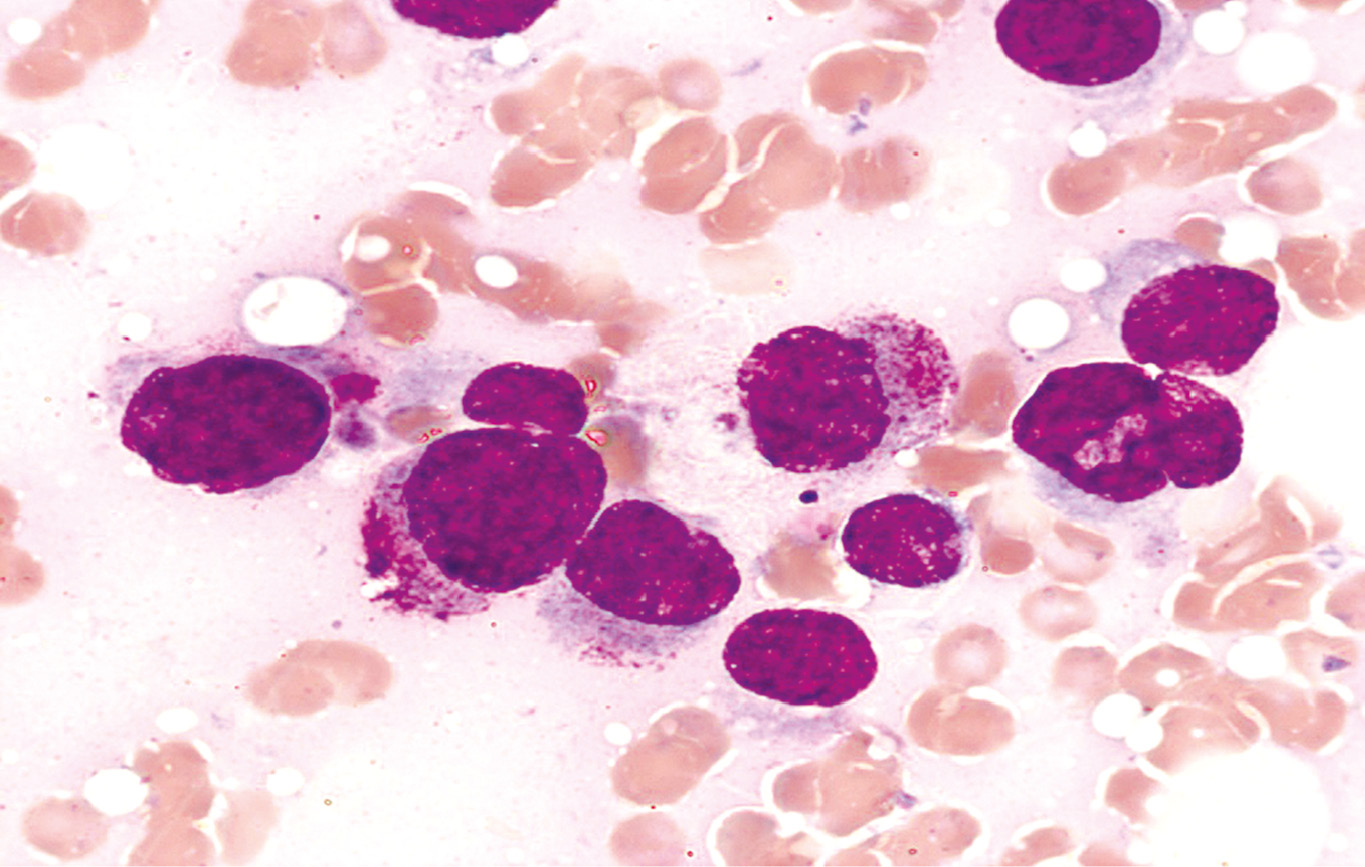
Тубулярный тип дольковой карциномы (одно наблюдение) отличался от других типов присутствием тубулярных структур из клеток размером 25–34 мкм (рис. 4). Ядра гиперхромные, нуклеолы не просматривались, цитоплазма отмечена во всех клетках.
Рис 4. Дольковая карцинома молочной железы, тубулярный вариант. Отмечена тубулярная структура. Окрашивание по Паппенгейму. ×1000.
Fig. 4. Lobular carcinoma of the breast, tubular type. The tubular structure is noted. Pappenheim staining. ×1000.
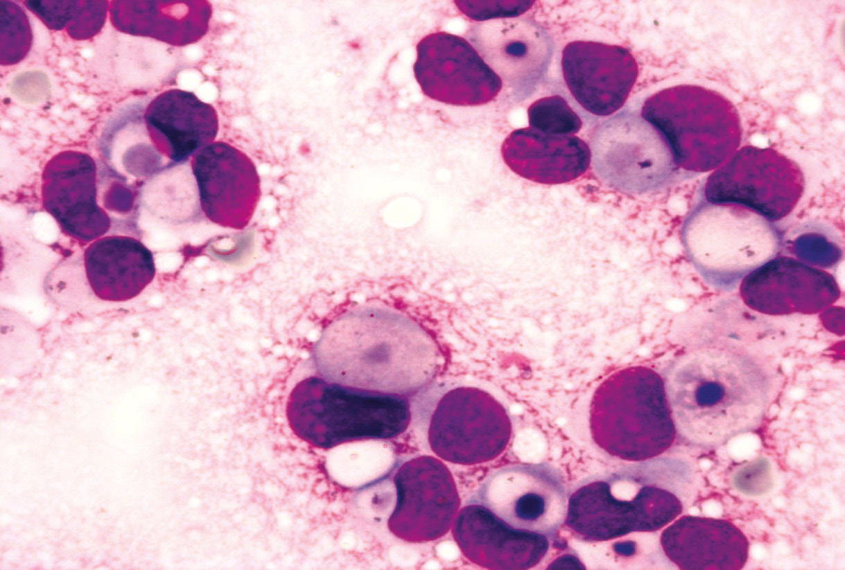
Смешанная карцинома с компонентом дольковой карциномы в цитологических препаратах характеризовалась признаками неспецифицированной карциномы, в связи с этим цитологически лишь констатировали факт принадлежности клеток опухоли к карциноме. В одной из двух смешанных карцином отмечен признак мелкогранулированной цитоплазмы, который характерен для опухоли с нейроэндокринной дифференцировкой (рис. 5).
Рис. 5. Дольковая карцинома молочной железы, смешанный вариант. Отмечен признак мелкогранулированной цитоплазмы, который характерен для опухоли с нейроэндокринной дифференцировкой. Окрашивание по Паппенгейму. ×1000.
Fig. 5. Lobular carcinoma of the breast, mixed type. A sign of finely granular cytoplasm was noted, which is characteristic of a tumor with neuroendocrine differentiation. Pappenheim staining. ×1000.
При использовании метода жидкостной цитологии в четырёх наблюдениях при установлении принадлеж- ности клеток к карциноме клеточные признаки напоминали классическую дольковую карциному. В ходе иммуноцитохимической реакции с использованием E-кадгерина реакция оказалась позитивной, что выявило неспецифицированную протоковую карциному (рис. 6).
Рис. 6. Неспецифицированная карцинома молочной железы. Жидкостная цитология. Позитивная иммуноцитохимическая реакция на Е-кадгерин. ×400.
Fig. 6. Unspecified breast carcinoma. Liquid-based cytology. Positive immunocytochemical reaction with E-cadherin. ×400.
ОБСУЖДЕНИЕ
Проведён сравнительный ретроспективный анализ описательной и заключительной части цитологического исследования тонкоигольной аспирационной биопсии молочных желёз с результатами гистологических и иммуногистохимических исследований, а также с клинико-анамнестическими данными 444 пациенток с аденокарциномой, установленной методом световой микроскопии на амбулаторном этапе диагностики. Все цитологические заключения «аденокарцинома» для этих пациенток подтверждены результатами гистологических исследований с учётом принятой точности цитологического определения морфотипа опухоли.
Резюме основного результата исследования
При цитологическом исследовании пункционного материала молочной железы в ходе первичного обследования женщин с аденокарциномой имелись определённые признаки, позволяющие во многих случаях предположить дольковую карциному, верифицированную при последующем проведении трепан-биопсии и/или операционного материала. Результаты исследования свидетельствуют о том, что метод цитологической диагностики опухолей молочной железы на амбулаторном этапе обследования является высокоэффективным. Определена частота дольковых карцином: по нашим данным, они составили 3,4% всех карцином молочных желёз.
Обсуждение основного результата исследования
Окончательный диагноз устанавливается на основании результатов гистологического и иммуногистохимического исследования биоптатов/операционного материала, а также результатов визуализирующих методов обследования. В случае выявления злокачественного новообразования важно уже на первом этапе обследования пациентки определить направление последующей дифференциальной диагностики, тем самым сокращая сроки диагностического процесса. Метод жидкостной цитологии приготовления препаратов вместе с иммуноцитохимическими методиками могут способствовать более чёткому определению неспецифицированных протоковых и дольковых карцином с использованием E-кадгерина.
Ограничения исследования
Учитывая немногочисленность публикаций по цитологической диагностике дольковых карцином, необходимы дальнейшее накопление и систематизация фактов для окончательного формулирования заключений о цитологических особенностях таких карцином, включая альвеолярный и плеоморфный подтипы дольковой карциномы, которых в данной работе не наблюдали.
ЗАКЛЮЧЕНИЕ
Проведённое исследование позволяет заключить, что цитологическая верификация дольковой карциномы сложнее, чем неспецифицированной протоковой карциномы, даже для опытных врачей-цитологов. Определённые цитологические признаки классического, солидного и тубулярного подтипов дольковой карциномы имеют специфические характеристики, позволяющие устанавливать данный тип карциномы. При смешанной карциноме в пункционном материале преобладал компонент неспецифицированной карциномы, в связи с чем дольковая карцинома не предполагалась.
Учитывая различия в прогнозе, на амбулаторном этапе диагностики важно дифференцировать дольковую и неспецифицированную протоковую карциному, так как это имеет решающее значение для выбора стратегии лечения.
ДОПОЛНИТЕЛЬНАЯ ИНФОРМАЦИЯ
Источник финансирования. Авторы заявляют об отсутствии внешнего финансирования при проведении исследования и подготовке публикации.
Конфликт интересов. Авторы декларируют отсутствие явных и потенциальных конфликтов интересов, связанных с проведённым исследованием и публикацией настоящей статьи.
Вклад авторов: О.Г. Григорук — концепция и дизайн исследования, анализ полученных данных, написание текста рукописи, составление таблиц, съёмка; Т.А. Москвина — информационный обзор литературы по данной теме, оформление списка литературы; Л.М. Базулина — информационный обзор литературы по данной теме, оформление списка литературы; Т.В. Синкина — анализ данных о пациентах при амбулаторном обследовании; И.В. Вихлянов — инициирование работы, редактирование текста. Все авторы подтверждают соответствие своего авторства международным критериям ICMJE (все авторы внесли существенный равный вклад в разработку концепции, проведение исследования и подготовку статьи, прочли и одобрили финальную версию перед публикацией).
ADDITIONAL INFORMATION
Funding source. This study was not supported by any external sources of funding.
Competing interests. The authors declare that they have no competing interests.
Authors’ contribution: O.G. Grigoruk — developing the research concept and study design, performing data analysis, writing the article, preparing tables and microphotographs; T.A. Moskvina — reviewing relevant publications, preparing the list of references; L.M. Bazulina — reviewing relevant publications, preparing the list of references; T.V. Sinkina — analyzing data on patients obtained at their outpatient examination; I.V. Vihljanov — initiation of the work, editing of the text. All authors made a substantial contribution to the conception of the work, acquisition, analysis, interpretation of data for the work, drafting and revising the work, final approval of the version to be published and agree to be accountable for all aspects of the work.
About the authors
Ol’ga G. Grigoruk
Altai Regional Oncological Dispensary; Altai State Medical University
Email: cytolakod@rambler.ru
ORCID iD: 0000-0001-9981-2348
SPIN-code: 7250-6259
Dr. Sci. (Biol.), Associate Professor
Russian Federation, Barnaul; BarnaulTat’jana A. Moskvina
Altai Regional Oncological Dispensary
Email: tanhellita2010@bk.ru
MD
Russian Federation, BarnaulLarisa M. Bazulina
Altai Regional Oncological Dispensary
Author for correspondence.
Email: lardoc69@mail.ru
ORCID iD: 0000-0002-7222-0657
MD
Russian Federation, BarnaulTat’jana V. Sinkina
Altai Regional Oncological Dispensary
Email: tatyanasin@mail.ru
MD, Cand. Sci. (Med.)
Russian Federation, BarnaulIgor’ V. Vihljanov
Altai Regional Oncological Dispensary
Email: akod@zdravalt.ru
MD, Dr. Sci. (Med.)
Russian Federation, BarnaulReferences
- Li CI, Anderson BO, Daling JO, Moe RE. Trends in incidence rates of invasive lobular and ductal breast carcinoma. JAMA. 2003;289(11):1421–1424. doi: 10.1001/jama.289.11.1421
- Li CI, Malone KE, Porter PL, et al. Differences in breast cancer hormone receptor status and histology by race and ethnicity among women 50 years of age and older. JAMA. 2003;289(24):3254–3263. doi: 10.1001/jama.289.24.3254
- Daling JR, Malone KE, Doody DR, et al. Relation of regimens of combined hormone replacement therapy to lobular, ductal, and other histological types of breast carcinoma. Cancer. 2002;95(12):2455–2464. doi: 10.1002/cncr.10984
- Newcomb PA, Titus-Ernstoff L, Egan KM, et al. Postmenopausal estrogen and progestin use in relation to breast cancer risk. Cancer Epidemiol Biomarkers Prev. 2002;11(7):593–600.
- Breast tumours/edited by WHO Classification of Tumours Editorial Board. Fifth edition. I Lyon: International Agency for Besearch on Cancer; 2019. Р. 303.
- Christgen M, Steinemann D, Kühnle E, et al. Lobular breast cancer: clinical, molecular and morphological characteristics. Pathol Res Pract. 2016;212(7):583–597.
- Pharoah PD, Guilford P, Caldas C, et al. The international gastric cancer linkage consortium incidence of gastric cancer and breast cancer in CDH1 (E-Cadherin) mutation carriers from hereditary diffuse gastric cancer families. Gastroenterology. 2001;121(6):1348–1353. doi: 10.1053/gast.2001.29611
- Luveta J, Parks RM, Heery DM, et al. Invasive lobular breast cancer as a distinct disease: implications for therapeutic strategy. Oncol Ther. 2020;8(1):1–11. doi: 10.1007/s40487-019-00105-0
- Sastre-Garau X, Jouve M, Asselain B, et al. Infiltrating lobular carcinoma of the breast. Clinicopathologic analysis of 975 cases with reference to data on conservative therapy and metastatic patterns. Cancer. 1996;77(1):113–120. doi: 10.1002/(SICI)1097-0142(19960101)77:1<113::AID-CNCR19>3.0.CO;2-8
- Reed AE, Kutasovic JR, Lakhani SR, Simpson PT. Invasive lobular carcinoma of the breast: morphology, biomarkers and ‘omics. Breast Cancer Res. 2015;17(1):12. doi: 10.1186/s13058-015-0519-x
- Rakha EA, Gill MS, El-Sayed ME, et al. The biological and clinical characteristics of breast carcinoma with mixed ductal and lobular morphology. Breast Cancer Res Treat. 2009;114(2):243–250. doi: 10.1007/s10549-008-0007-4
- Dixon JM, Anderson TJ, Page DL, et al. Infiltrating lobular carcinoma of the breast. Histopathology. 1982;6(2):149–161. doi: 10.1111/j.1365-2559.1982.tb02712.x
- Wilson N, Ironside A, Diana A, Oikonomidou O. Lobular breast cancer: a review. Front Oncol. 2021;10:591399. doi: 10.3389/fonc.2020.591399
- Luveta J, Parks RM, Heery DM, et al. Invasive lobular breast cancer as a distinct disease: implications for therapeutic strategy. Oncol Ther. 2020;8(1):1–11. doi: 10.1007/s40487-019-00105-0
- Orvieto E, Maiorano E, Bottiglieri L, et al. Clinicopathological characteristics of invasive lobular carcinoma of the breast: results of an analysis of 530 cases from a single institution. Cancer. 2008;113(7):1511–1520. doi: 10.1002/cncr.23811
- Arpino G, Bardou VJ, Clark GM, Elledge RM. Infiltrating lobular carcinoma of the breast: tumor characteristics and clinical outcome. Breast Cancer Res. 2004;6(3):R149–R156. doi: 10.1186/bcr767
- Sledge GW, Chagpar A, Perou C. Collective wisdom: lobular carcinoma of the breast. Am Soc Clin Oncol Educ Book. 2016;35:18–21. doi: 10.1200/EDBK_100002
- Borisova EI, Vyshinskaja GV, Gutorov SL, Stepanchenko MV. Osobennosti klinicheskogo techenija invazivnogo dol’kovogo raka molochnoj zhelezy. Farmateka. 2014;(17):38–42.
- Filonenko DA, Ganshina IP, Kondratyeva OE. Characteristics of metastatic lobular breast cancer. Obstetrics and gynecology. 2019;10:180–187. doi: 10.18565/aig.2019.10.180-187
- Namikawa T, Hanazaki K. Clinicopathological features and treatment outcomes of metastatic tumors in the stomach. Surg Today. 2014;44(8):1392–1399. doi: 10.1007/s00595-013-0671-9
- Joh JE, Esposito NN, Kiluk JV, et al. Pathologic tumor response of invasive lobular carcinoma to neo-adjuvant chemotherapy. Breast J. 2012;18(6):569–574. doi: 10.1111/tbj.12006
- Truin W, Voogd AC, Vreugdenhil G, et al. Effect of adjuvant chemotherapy in postmenopausal patients with invasive ductal versus lobular breast cancer. Ann Oncol. 2012;23(11):2859–2865. doi: 10.1093/annonc/mds180
- Menet E, Becette V, Briffod M. Cytologic diagnosis of lobular carcinoma of the breast experience with 555 patients in the Rene Huguenin Cancer Center. Cancer Cytopathology. 2008;114(2):111–117. doi: 10.1002/cncr.23347
- Hwang S, Ioffe O, Lee I, et al. Cytologic diagnosis of invasive lobular carcinoma: factors associated with negative and equivocal diagnoses. Diagn Cytopathol. 2004;31(2):87–93. doi: 10.1002/dc.20084
- Tan SM, Behranwala KA, Trott PA, et al. A retrospective study comparing the individual modalities of triple assessment in the pre-operative diagnosis of invasive lobular breast carcinoma. Eur J Surg Oncol. 2002;28(3):203–208. doi: 10.1053/ejso.2001.1236
- McCart Reed AE, Kalinowski L, Simpson PT, Lakhani SR. Invasive lobular carcinoma of the breast: the increasing importance of this special subtype. Breast Cancer Res. 2021;23(1):6. doi: 10.1186/s13058-020-01384-6
- Mouabbi JA, Hassan A, Lim B, et al. Invasive lobular carcinoma: an understudied emergent subtype of breast cancer. Breast Cancer Res Treat. 2022;193(2):253–264. doi: 10.1007/s10549-022-06572-w
- Djerroudi L, Cabel L, Bidard FC, Vincent-Salomon A. Invasive lobular carcinoma of the breast: toward tailoring therapy? J Natl Cancer Inst. 2022;114(11):1434–1436. doi: 10.1093/jnci/djac159
Supplementary files









