Merkel cell carcinoma with adrenal metastasis: a clinical case
- Authors: Rebrova D.V.1, Malyshenko Y.A.2,3, Savelyeva T.V.1, Rudyuk L.A.2,3, Mityukov А.Е.2, Ivonina Е.S.2, Soroko I.V.3, Chernikov R.A.1, Sleptsov I.V.1, Vorokhobina N.V.4
-
Affiliations:
- Saint Petersburg State University
- Immanuel Kant Baltic Federal University
- Regional Clinical Hospital of the Kaliningrad Region
- North-Western State Medical University named after I.I. Mechnikov
- Issue: Vol 28, No 3 (2023)
- Pages: 145-154
- Section: Case Reports
- Submitted: 07.12.2023
- Accepted: 16.02.2024
- Published: 10.07.2024
- URL: https://rjonco.com/1028-9984/article/view/624319
- DOI: https://doi.org/10.17816/onco624319
- ID: 624319
Cite item
Abstract
Merkel cell carcinoma is a rare primary malignant skin tumor with epithelial and neuroendocrine differentiation, which is usually characterized by an aggressive course with frequent local recurrence and a high metastatic potential. This article presents a clinical case of diagnosing Merkel cell carcinoma with secondary lesions of the adrenal glands, which is a rare localization of distant metastasis of this tumor with a low survival prognosis. Merkel cell carcinoma is difficult to diagnose due to its rare occurrence and can be mistaken for another dermatological disease. The patient's medical history was analyzed, starting from the outpatient stage of medical care until hospitalization for diagnostic surgery. The article is valuable for doctors of any specialty due to the difficulties in differential diagnosis of adrenal incidentalomas.
Full Text
АКТУАЛЬНОСТЬ
Карцинома Меркеля (КМ) — это редкая первичная злокачественная опухоль кожи с эпителиальной и нейроэндокринной дифференцировкой [1]. Как правило, КМ характеризуется агрессивным течением с частым местным рецидивированием и высоким потенциалом метастазирования [2].
Распространённость КМ в России не поддаётся оценке в связи с кодированием её по международной классификации болезней 10-го пересмотра как С44 — «Другие злокачественные заболевания кожи». Эта категория включает все немеланоцитарные опухоли кожи [2]. Предполагаемая распространённость, основанная на данных Европейского союза и США, составляет около 650 новых случаев КМ в год [1]. C 2017 года КМ в России включена в перечень орфанных заболеваний.
Несмотря на довольно редкую встречаемость данной опухоли, своевременная диагностика заболевания позволяет значимо увеличить выживаемость пациентов [3]. В настоящей статье представлено описание клинического случая КМ с метастатическим распространением.
ОПИСАНИЕ КЛИНИЧЕСКОГО СЛУЧАЯ
Пациент К., 69 лет, обратился к терапевту по месту жительства с жалобами на общую слабость, повышенную утомляемость, повышение уровня артериального давления (АД) максимально до 180/110 мм рт. ст. (привычный уровень АД для пациента — 140/90 мм рт. ст.), ощущение перебоев в работе сердца, наличие пальпируемых плотных образований в паховой области слева, зуд в области спины.
Анамнез
Из анамнеза известно, что образования в паховой области пациент заметил около трёх месяцев назад, при этом за прошедший период отмечался их рост. Кроме того, известно, что больной наблюдается по поводу гипертонической болезни, постоянной формы фибрилляции предсердий, дислипидемии. Два года назад перенёс транзиторную ишемическую атаку. В анамнезе также присутствуют мочекаменная болезнь, верифицированная по данным цитологического исследования, и тубулярная аденома толстой кишки.
На момент обращения постоянно принимал следующие медикаменты:
- периндоприл в дозе 2,5 мг, два раза в день;
- метопролол в дозе 25 мг, два раза в день;
- амлодипин в дозе 2,5 мг, вечером;
- аторвастатин в дозе 40 мг, вечером;
- эзетимиб в дозе 10 мг, вечером;
- ривароксабан в дозе 20 мг, вечером;
- ацетилсалициловая кислота в дозе 100 мг, утром.
Осмотр при поступлении
Объективно состояние удовлетворительное. Рост 180 см, масса тела 96,5 кг, индекс массы тела 29,8 кг/м2, окружность талии 101 см. Дыхание жёсткое, хрипы не аускультировались. Частота сердечных сокращений 88 в минуту, аритмия. АД — 120/80 мм рт. ст. Тоны сердца приглушены, акцент II тона над аортой, шумы не выслушивались. Живот мягкий, безболезненный при пальпации. Кожные покровы сухие, тургор кожи снижен, на правой половине спины язвы и следы расчёсов, покрытые корочками. На левой голени плотный пигментированный узелок размером до 1,5 см. Мелкоразмашистый тремор рук. В паховой области справа и слева пальпировались плотные лимфатические узлы, увеличенные до 3–4 см. Лимфатические узлы других групп пальпаторно не были изменены. Щитовидная железа пальпаторно была мягко-эластической консистенции, смещаема при глотании.
Инструментальная и лабораторная диагностика
При ультразвуковом исследовании в паховой области справа визуализированы четыре лимфатических узла, размерами 7×3 мм, 10×3 мм, 12×6 мм и 35×5 мм, с изменённой структурой за счёт расширенного гиперэхогенного синуса, без убедительных данных за наличие кровотока при цветовом допплеровском картировании. В паховой области слева лоцированы два лимфатических узла схожей структуры размерами 6×5 мм и 17×7 мм. Кроме того, выявлены два лимфатических узла размерами 41×27 мм и 19×12 мм, неоднородной структуры за счёт чередования изо- и гипоэхогенных зон, без чёткой визуализации ворот, с ускоренным до 15 см в секунду кровотоком при цветовом допплеровском картировании. Учитывая наличие лимфаденопатии по пролиферативному типу и подозрение на вторичный характер поражения лимфатических узлов, пациент был направлен на консультацию к онкологу по месту жительства.
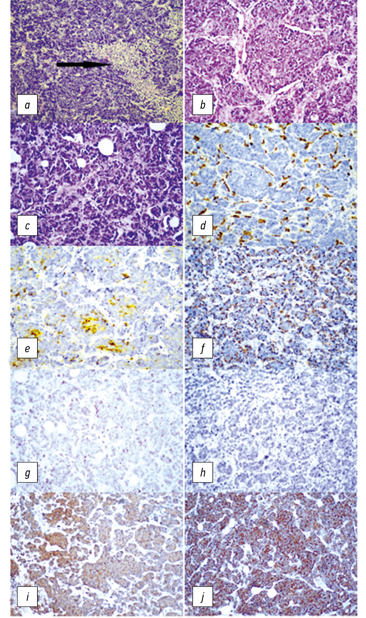
Амбулаторно была выполнены тонкоигольная аспирационная биопсия и трепан-биопсия лимфатического узла паховой области слева. При цитологическом исследовании пунктатов сделано заключение о подозрении на злокачественный характер поражения, предположительно, за счёт метастаза недифференцированного рака или неходжкинской лимфомы. Однако при иммуногистохимическом исследовании выявлена мелкоклеточная опухоль с позитивной реакцией на хромогранин А, слабопозитивной реакцией на синаптофизин, фокальной позитивной реакцией на CD56, точечным окрашиванием PCK и CK20, иммунонегативной реакцией на CD3, CD19, CD20 и TTF1. По данным исследования установлено, что иммунофенотип и гистоструктура опухоли соответствуют метастазу карциномы из клеток Меркеля (рис. 1). Индекс пролиферативной активности Ki-67 составил 80%.
Рис. 1. Патоморфологическая характеристика карциномы Меркеля (Пациент К., 69 лет): a — опухолевые солидные структуры с сопутствующим лимфоцитарным инфильтратом, окраска гематоксилином и эозином, увеличение ×100; b — округлые «штампованные» клетки среднего размера с круглыми и овальными ядрами, окраска гематоксилином и эозином, увеличение ×200; c — опухолевые клетки, формирующие трабекулярный паттерн роста, окраска гематоксилином и эозином; d — иммунонегативная реакция опухолевых клеток с маркёром CD45, увеличение ×200; e — очаговая умеренная экспрессия CD56 в гнёздах опухолевых клеток, увеличение ×200; f — пятнистый тип экспрессии с антителом CK20 по типу dot-like, увеличение ×200; g — иммунонегативная реакция опухоли с маркёром HMB45, увеличение ×200; h — отрицательная реакция с Melan A (MART-1), увеличение ×200; i — положительная цитоплазматическая реакция с NSE, увеличение ×100; j — выраженная и умеренная цитоплазматическая реакция на синаптофизин, увеличение ×100.
Fig. 1. Pathomorphological characteristics of Merkel carcinoma (Patient K., 69 years old): a — solid tumor structures with concomitant lymphocytic infiltration, stained with hematoxylin and eosin, magnification ×100; b — rounded “stamped” medium-sized cells with round and oval nuclei, stained with hematoxylin and eosin, magnification ×200; c — tumor cells forming trabecular growth pattern, stained with hematoxylin and eosin; d — immunonegative reaction of tumor cells with CD45 marker, magnification ×200; e — focal moderate expression of CD56 in tumor cell nests, magnification ×200; f — spotty type of expression with dot-like antibody CK20, magnification ×200; g — immunonegative tumor reaction with HMB45 marker, magnification ×200; h — negative reaction with Melan A (MART-1), magnification ×200; i — positive cytoplasmic reaction with NSE, magnification ×100; j — pronounced and moderate cytoplasmic reaction to synaptophysin, magnification ×100.
При магнитно-резонансной томографии органов брюшной полости и забрюшинного пространства с контрастированием выявлены:
- деформация желчного пузыря с изоинтенсивным на Т1-взвешенных изображениях содержимым (по типу застойного);
- умеренные диффузные изменения поджелудочной железы (по типу фиброзно-липоматозных);
- спленомегалия;
- мелкие кисты левой почки (Bosniak I);
- новообразования обоих надпочечников схожих характеристик: овоидной формы, с чёткими контурами, изоинтенсивной структуры на Т1- и Т2-взвешенных изображениях с признаками ограничения диффузии, размерами до 20×14×17 мм справа и до 37×28×22 мм слева, при контрастном усилении характеризующиеся умеренным диффузным накоплением контрастного вещества в артериальную фазу с выведением его в венозную фазу.
Учитывая нейроэндокринный характер выявленной опухоли и наличие новообразований надпочечников, проведена консультация с эндокринологом. При гормональном обследовании показатели экскреции общего метанефрина и общего норметанефрина не были повышены и составили 115 мкг (44–261) в сутки и 276 мкг (138–521) в сутки соответственно. Концентрация кортизола крови в ранние утренние часы составила 526,5 нмоль/л (176–629), концентрации альдостерона и ренина плазмы были 146,7 пг/мл (40–310) и 51,3 мкМЕ/мл (3–77) — все показатели находились в пределах референсных значений. Ночной подавляющий тест с 1 мг дексаметазона не выполнялся. Учитывая отсутствие лабораторных данных за гормональную активность новообразований надпочечников, а также неровность их контуров по данным визуализирующих исследований, заподозрено вторичное поражение надпочечников.
При пересмотре диска магнитно-резонансной томографии (рис. 2) в правом и левом надпочечниках визуализированы патологические образования с чёткими, достаточно ровными контурами, с аксиальными размерами 2,13×1,43 см и 3,8×2,71 см соответственно, поражающие смежные отделы тел, латеральных и медиальных ножек желёз. Описанные образования характеризовались однородным изоинтенсивным сигналом на Т2-взвешенных изображениях, без признаков ограничения диффузии. Магнитно-резонансный сигнал менее интенсивный, чем от селезёнки, и чуть более интенсивный, чем от ткани печени, без достоверных признаков включения липидов. Магнитно-резонансный сигнал на Т1-взвешенных изображениях в противофазу без гипоинтенсивных включений. При внутривенном контрастировании образования правого и левого надпочечников достаточно равномерно умеренно накапливают контрастный препарат во всех отделах, с признаками минимального вымывания контраста в венозную фазу. Наиболее отсроченные томограммы выполнены через 4 минуты после введения контрастного препарата — на серии изображений в корональной плоскости структура образований надпочечников диффузно неоднородная, с признаками дальнейшего умеренного вымывания контраста, с более чёткой визуализацией тонкой капсулы, а также интактных отделов тел и ножек надпочечников. Образования надпочечников не имеют достоверных магнитно-резонансных признаков типичных аденом из-за отсутствия включений липидов и признаков гиперваскулярных включений, типичных для феохромоцитом.
Рис. 2. Магнитно-резонансная томография органов брюшной полости и забрюшинного пространства с внутривенным контрастированием (Пациент К., 69 лет): a, b — Т2-взвешенные изображения; c, d — диффузионно-взвешенные изображения с фактором взвешенности b=1000; e, f — Т1-dual echo в противофазу; g, h, i — Т1-взвешенные изображения с подавлением сигнала от жира (нативная фаза, артериальная фаза контрастирования и венозная фаза контрастирования соответственно). Новообразования правого и левого надпочечников обозначены красными стрелками.
Fig. 2. Magnetic resonance imaging of the abdominal cavity and retroperitoneal space with intravenous contrast (patient K., 69 years old): a, b — T2-weighted images; c, d — diffusion-weighted images with a weighting factor b=1000; e, f — T1-dual echo in the out-phase; g, h, i — T1-weighted images with suppression of the signal from fat (native phase, arterial phase and venous phase of contrast, respectively). Neoplasms of the right and left adrenal glands are indicated by red arrows.
Оперативное вмешательство
Пациент был госпитализирован в хирургическое отделение по месту жительства, где ему были выполнены операция Дюкена с удалением левосторонней группы лимфатических узлов пахово-бедренной области и иссечение опухоли кожи левой голени.
По результатам гистологического исследования лимфатических узлов подтверждён метастаз КМ, однако в фрагменте иссечённой кожи голени установлен очаг фиброза в дерме без признаков опухолевого роста. Учитывая подтверждение наличия КМ с неустановленным первичным очагом и метастатическим распространением опухоли, а также агрессивный характер нейроэндокринного рака с высоким индексом пролиферативной активности Ki-67, пациент с целью дальнейшего лечения был направлен в федеральный онкологический центр.
ОБСУЖДЕНИЕ
КМ — это редкая нейроэндокринная опухоль, обычно возникающая на участках тела, непосредственно подвергающихся воздействию солнечных лучей [3]. Заболеваемость выше среди людей в возрасте старше 65 лет, тогда как среди пациентов моложе 50 лет патология затрагивает только 5%. Средний возраст больных на момент постановки диагноза составляет 69 лет [1]. Крупный многоцентровой статистический анализ 3870 случаев КМ из базы SEER Национального института онкологии США, выявленных с 1973 по 2006 гг., показал, что мужчины болели чаще (2380 случаев, 61,5%), чем женщины (1490 случаев, 38,5%), и большинство пациентов (95–98%) были белокожими в возрасте 60–85 лет (средний возраст 76 лет) [4]. Нами представлен случай диагностики заболевания у белокожего мужчины в возрасте 69 лет, что соответствует эпидемиологическим данным литературы.
Наиболее важными факторами риска данного заболевания признаны ультрафиолетовое облучение и состояние иммуносупрессии [3]. КМ включает две формы: вируспозитивное заболевание, возникающее после интеграции полиомавируса клеток Меркеля в геном хозяина и укорочения LT-Ag, и вируснегативное, связанное с повреждением в результате ультрафиолетового облучения и высокой мутационной нагрузкой [5].
Клиническая картина заболевания неспецифична, вследствие чего заподозрить КМ до морфологической верификации крайне трудно. Как правило, пациент указывает на появление единичного, безболезненного, однородного, не изъязвлённого образования на коже розового или красно-фиолетового цвета (иногда без изменения цвета кожных покровов), которое быстро растёт (в 2 раза и более за последние 3 месяца) [6].
Наиболее распространённые локализации опухоли — голова, шея, преимущественно разгибательные поверхности кисти, предплечья, плеча, голени и бедра. Редко (менее 20% случаев) первичная опухоль располагается на коже туловища или в области ягодиц [1]. Описаны единичные случаи развития КМ в области гениталий и слизистой оболочки полости рта, которые являются наиболее агрессивными формами [7]. В описываемом нами клиническом случае на коже левой голени пациента выявлено пигментированное плотное образование размером до 1,5 см, однако при гистологическом исследовании после удаления данного участка кожи с предполагаемой опухолью подтверждения наличия в нём КМ не было получено. В литературе также описаны случаи с неустановленной первичной локализацией КМ, диагностированной при обнаружении метастазов [7].
Помимо описанных классических признаков, КМ может проявляться в виде папул, бляшек, кист, зудящих неспецифических новообразований кожи, папилломатоза и глубоких кожных поражений [8]. Можно предположить, что в описанном нами случае первичный очаг опухоли находился в области правой половины спины, где при объективном осмотре были обнаружены язвы и следы расчёсов.
Дифференциальная диагностика КМ проводится с меланомой, лимфомой, мелкоклеточной карциномой, альвеолярной рабдомиосаркомой, при этом решающую роль в постановке диагноза играет морфологическая диагностика с обязательным проведением иммуногистохимического исследования [2]. Первичное цитологическое исследование у представленного нами пациента не позволило установить природу исследуемого поражения паховых лимфатических узлов, тогда как применение иммуногистохимического исследования привело к верификации диагноза.
К факторам риска быстрого прогрессирования заболевания относят наличие иммуносупрессивных состояний, хронических инфекционных заболеваний, сахарного диабета и ожирения. Примером агрессивности КМ у подобных пациентов может служить клинический случай, опубликованный M.Y. Ren и соавт.: мужчина, 56 лет, страдающий сахарным диабетом 2-го типа и гепатитом B, обратил внимание на резкое увеличение образования на коже правой щеки в течение последнего месяца. Пациенту была проведена обширная резекция кожи с регионарной лимфодиссекцией и паротидэктомией. Гистологически подтверждена КМ с поражением жировой ткани, мышц, нервов и околоушной слюнной железы с лимфоваскулярной инвазией [8]. Как уже отмечалось, в большинстве случаев первичная диагностика КМ основана именно на морфологической верификации опухоли по результатам биопсии или удаления.
Важно отметить частую ассоциацию КМ с наличием других опухолей. У больных с В-клеточными новообразованиями риск КМ увеличивается в 15,7 раза [1]. Показано, что в 18,7% случаев данная опухоль сочетается с другими злокачественными новообразованиями кожи, такими как базальноклеточный рак кожи, плоскоклеточный рак кожи, карцинома из клеток сальных желёз [2, 9]. Кроме того, наличие меланомы также повышает риск КМ [2, 4, 10, 11].
Характерной особенностью КМ является раннее лимфогенное распространение опухолевых клеток [10]. Вблизи первичного образования могут появляться быстро растущие узелки-сателлиты [7]. Отмечается высокая частота метастазирования в регионарные лимфатические узлы — до 50–70% [10]. Для КМ также характерно быстрое отдалённое метастазирование. Наиболее часто опухоль метастазирует в печень (13%), кости (10–15%), лёгкие (10–23%), головной мозг (18%), удалённые участки кожи (9–30%) и отдалённые лимфатические узлы (9%) [7, 12, 13]. Поскольку часто клиническая картина неспецифична, то первыми (а иногда и единственными) клиническими проявлениями могут быть регионарная лимфаденопатия или отдалённые метастазы [11, 12]. В описанном в данной статье случае поводом для обращения пациента к врачу стала паховая лимфаденопатия, являющаяся проявлением отдалённого метастазирования. При дальнейшем обследовании установлено подозрение на метастазы в обоих надпочечниках — редкую локализацию дистанционного метастазирования при КМ.
В исследовании J.G. Iyer и соавт. проведён статистический анализ данных крупной выборки в 8044 пациента с КМ из Национальной базы США. По результатам было показано, что риск развития метастазирования в регионарные лимфатические узлы напрямую связан с размером опухоли. Так, при размере первичной опухоли 0,5 см риск составляет 14%, при среднем размере первичной опухоли 1,7 см — 25%, а при дальнейшем увеличении возрастает до 36% и более [14]. Данные, полученные на популяции российских пациентов, также подтверждают зависимость характера течения заболевания от размера первичной опухоли: медиана выживаемости без прогрессирования с размером первичного очага опухоли ≤2 см составила 109 месяцев (95% доверительный интервал: 13–204), в то время как при первичной опухоли размером >2 см она составила 10 месяцев (95% доверительный интервал: 4,8–16,0) [15]. Данные результаты демонстрируют важность своевременной постановки диагноза для прогноза пациентов.
Метастазирование КМ в надпочечники является редкостью. Описаны единичные случаи, большинство из которых характеризовались односторонним поражением [16–18]. В описанном нами случае выявлены двусторонние новообразования надпочечников, вероятно, являющиеся метастазами КМ. Необходимость оперативного лечения дискутабельна. В работе S.H. Baek и соавт. представлен клинический случай КМ с метастазированием в подмышечные лимфатические узлы и наличием образования в надпочечнике. Пациентке проведено оперативное вмешательство и лучевая терапия, однако через 7 месяцев выявлено прогрессирование в виде появления других отдалённых метастазов [17]. Тем не менее Z. Alguraan и соавт. представили случай 59-летней женщины с КМ левого предплечья pT2N1 с метастазом в левый надпочечник, которой было выполнено широкое иссечение опухоли кожи с лимфодиссекцией и лапароскопическая роботизированная левосторонняя адреналэктомия. Пациентка была выписана домой на второй день после операции. При дальнейшем наблюдении в течение 18 месяцев признаков рецидива заболевания по данным визуализирующих исследований выявлено не было [18].
ЗАКЛЮЧЕНИЕ
КМ — редкая нейроэндокринная опухоль с агрессивным течением и быстрым метастазированием. Не- специфичность клинической картины затрудняет первичную диагностику заболевания. Знание эпидемиологических данных и групп риска позволяет заподозрить КМ при наличии быстрорастущего поверхностного новообразования, проводить дифференциальную диагностику с другими карциномами кожи на этапе до морфологической верификации. Описание клинических случаев редкой опасной опухоли КМ позволяет привлечь внимание к данной проблеме и повысить информированность врачей различных специальностей об этом заболевании.
ДОПОЛНИТЕЛЬНАЯ ИНФОРМАЦИЯ
Источник финансирования. Работа выполнена по инициативе авторов без привлечения финансирования.
Конфликт интересов. Авторы декларируют отсутствие явных и потенциальных конфликтов интересов, связанных с содержанием настоящей статьи.
Вклад авторов. Все авторы подтверждают соответствие своего авторства международным критериям ICMJE (все авторы внесли существенный вклад в разработку концепции, проведение исследования и подготовку статьи, прочли и одобрили финальную версию перед публикацией).
Наибольший вклад распределён следующим образом: Д.В. Реброва, Ю.А. Малышенко — концепция и дизайн исследования, сбор информации, написание текста; А.Е. Митюков, Е.В. Ивонина, И.В. Сороко, Т.В. Савельева, Л.А. Рудюк, Н.В. Ворохобина, Р.А. Черников, И.В. Слепцов — анализ и интерпретация данных, внесение правок в рукопись.
Информированное согласие на публикацию. Авторы получили информированное письменное согласие пациента на публикацию персональной медицинской информации в обезличенной форме.
ADDITIONAL INFORMATION
Funding source. This study was not supported by any external sources of funding.
Competing interests. The authors declare that they have no competing interests.
Authors’ contribution. All authors made a substantial contribution to the conception of the work, acquisition, analysis, interpretation of data for the work, drafting and revising the work, final approval of the version to be published and agree to be accountable for all aspects of the work.
The greatest contribution is distributed as follows: D.V. Rebrova, Y.A. Malyshenko — the concept and design of research, information collection, text writing; A.E. Mityukov, E.V. Ivonina, I.V. Soroko, T.V. Savelyeva, L.A. Rudyuk, N.V. Vorokhobina, R.A. Chernikov, I.V. Sleptsov — analysis and interpretation of data, making edits to the manuscript.
Consent for publication. The authors received the informed written consent of the patient to publish personal medical information in an impersonal form.
About the authors
Dina V. Rebrova
Saint Petersburg State University
Author for correspondence.
Email: endocrinology@list.ru
ORCID iD: 0000-0002-7840-4174
SPIN-code: 6284-9008
Scopus Author ID: 57195152806
ResearcherId: AHD-5099-2022
MD, Cand. Sci. (Medicine)
Russian Federation, Saint PetersburgYuliya A. Malyshenko
Immanuel Kant Baltic Federal University; Regional Clinical Hospital of the Kaliningrad Region
Email: doctor-yula85@mail.ru
ORCID iD: 0000-0002-2632-5415
MD, Cand. Sci. (Medicine)
Russian Federation, Kaliningrad; KaliningradTatyana V. Savelyeva
Saint Petersburg State University
Email: taleon76@yandex.ru
ORCID iD: 0000-0002-2846-4056
SPIN-code: 9740-6360
MD, Cand. Sci. (Medicine)
Russian Federation, Saint PetersburgLiudmila A. Rudyuk
Immanuel Kant Baltic Federal University; Regional Clinical Hospital of the Kaliningrad Region
Email: kokb.rudyukla@infomed39.ru
ORCID iD: 0000-0003-4396-6043
MD, Cand. Sci. (Medicine)
Russian Federation, Kaliningrad; KaliningradАleksandr Е. Mityukov
Immanuel Kant Baltic Federal University
Email: doctor-alex@inbox.ru
ORCID iD: 0000-0002-5066-1865
SPIN-code: 6003-4940
MD, Cand. Sci. (Medicine)
Russian Federation, KaliningradЕkaterina S. Ivonina
Immanuel Kant Baltic Federal University
Email: kativo21@gmail.com
ORCID iD: 0009-0005-2867-6840
MD
Russian Federation, KaliningradIrina V. Soroko
Regional Clinical Hospital of the Kaliningrad Region
Email: irinavsoroko@gmail.com
ORCID iD: 0000-0002-9573-6111
Russian Federation, Kaliningrad
Roman A. Chernikov
Saint Petersburg State University
Email: yaddd@yandex.ru
ORCID iD: 0000-0002-3001-664X
SPIN-code: 7093-1088
Scopus Author ID: 57190294900
ResearcherId: AAZ-1549-2021
MD, Dr. Sci. (Medicine)
Russian Federation, Saint PetersburgIlya V. Sleptsov
Saint Petersburg State University
Email: newsurgery@yandex.ru
ORCID iD: 0000-0002-1903-5081
SPIN-code: 2481-4331
Scopus Author ID: 57216017997
ResearcherId: F-1670-2019
MD, Dr. Sci. (Medicine)
Russian Federation, Saint PetersburgNatalya V. Vorokhobina
North-Western State Medical University named after I.I. Mechnikov
Email: natvorokh@mail.ru
ORCID iD: 0000-0002-9574-105X
SPIN-code: 4062-6409
MD, Dr. Sci. (Medicine), Professor
Russian Federation, Saint PetersburgReferences
- Merkel cell carcinoma. Clinical guidelines. ID 297. Approved by the Scientific and Practical Council of the Ministry of Health of the Russian Federation. 2019. Available from: https://cr.minzdrav.gov.ru/recomend/297_1 (In Russ)
- Utyashev IA, Orlova KV, Zinov’ev GV, et al. Practical recommendations for drug treatment of malignant non-melanocytic skin tumors (basal cell skin cancer, squamous cell skin cancer, Merkel cell carcinoma). Zlokachestvennye opukholi. 2022;12(3):672–696. (In Russ). EDN: OAZKFI doi: 10.18027/2224-5057-2022-12-3s2-672-696
- Hernandez LE, Mohsin N, Yaghi M, et al. Merkel cell carcinoma: An updated review of pathogenesis, diagnosis, and treatment options. Dermatol Ther. 2022;35(3):e15292. doi: 10.1111/dth.15292
- Albores-Saavedra J, Batich K, Chable-Montero F, et al. Merkel cell carcinoma demographics, morphology, and survival based on 3870 cases: a population based study. J Cutan Pathol. 2010;37(1):20–27. doi: 10.1111/j.1600-0560.2009.01370.x
- Ermilov VV, Zagrebin VL, Barkanov VB, Markelov VV, Mikailzade GF. Morphological features and modern strategies of treatment of Merkel cell carcinoma. Journal of Volgograd State Medical University. 2020;1(73):3–9. EDN: GVPRKM doi: 10.19163/1994-9480-2020-1(73)-3-9
- Heath M, Jaimes N, Lemos B, et al. Clinical characteristics of Merkel cell carcinoma at diagnosis in 195 patients: the “AEIOU” features. J Am Acad Dermatol. 2008;58(3):375–381. doi: 10.1016/j.jaad.2007.11.020
- Skelton HG, Smith KJ, Hitchcock CL, et al. Merkel cell carcinoma: Analysis of clinical, histologic, and immunohistologicfeatures of 132 cases with relation to survival. J Amer Acad Dermatol. 1997;37(5 Pt 1): 734–739. doi: 10.1016/s0190-9622(97)70110-5
- Ren MY, Shi YJ, Lu W, et al. Facial Merkel cell carcinoma in a patient with diabetes and hepatitis B: А сase report. World J Clin Cases. 2023;11(17):4179–4186. doi: 10.12998/wjcc.v11.i17.4179
- Tetzlaff MT, Harms PW Danger is only skin deep: Aggressive epidermal carcinomas. An overview of the diagnosis, demographics, molecular-genetics, staging, prognostic biomarkers, and therapeutic advances in Merkel call carcinoma. Mod Pathol. 2020;33:42–55. doi: 10.1038/s41379-019-0394-6
- Bichakjian CK, Lowe L, Lao CD, et al. Merkel cell carcinoma: Critical review with guidelines for multidisciplinary management. Cancer. 2007;110(1):1–12. doi: 10.1002/cncr.22765
- Pulitzer M. Merkel cell carcinoma. Surg Pathol Clin. 2017;10(2):399–408. doi: 10.1016/j.path.2017.01.013
- Carneiro C, Juliano CS, Balchiero JC, et al. Merkel cell carcinoma: Clinical presentation, prognostic factors, treatment and survival in 32 patients. Rev Bras Cir Plástica. 2013;28(2):196–200.
- Schmidt U, Muller U, Metz KA, et al. Cytokeratin and neurofilament protein staining in Merkel cell carcinoma of the small cell type and small cell carcinoma of the lung. Amer J Dermatopathol. 1998;20(4):346–351. doi: 10.1097/00000372-199808000-00004
- Iyer JG, Storer BE, Paulson KG, et al. Relationships among primary tumor size, number of involved nodes, and survival for 8044 cases of Merkel cell carcinoma. J Am Acad Dermatol. 2014;70(4):637–643. doi: 10.1016/j.jaad.2013.11.031
- Orlova KV, Oryol NF, Trofimova OP, Kostina NP, Demidov LV. Merkel cell carcinoma: current treatment options. Effektivnaya farmakoterapiya. 2016;39:88–93. EDN: XWUPEZ
- Young S, Oh J, Bukhari H, et al. Primary parotid Merkel type small cell neuroendocrine carcinoma with oligometastasis to the brain and adrenal gland: case report and review of literature. Head Neck Pathol. 2021;15:311–318. doi: 10.1007/s12105-020-01164-w
- Baek SH, Jung HK, Kim W, et al. Merkel cell carcinoma of the axilla and adrenal gland: a case report with imaging and pathologic findings. Case Rep Med. 2015;2015. doi: 10.1155/2015/931238
- Alguraan Z, Agcaoglu O, Aliyev S, Berber E. A rare case of Merkel cell carcinoma metastasis to the adrenal resected robotically. Surg Laparosc Endosc Percutan Tech. 2013;23(1):e35–e37. doi: 10.1097/SLE.0b013e31827479a1
Supplementary files





