Successful Use of Cytokines in Combined Breast Cancer Treatment: a Case Study
- Authors: Ben Ammar A.M.1, Zarkua V.T.1, Ilyushin A.L.1
-
Affiliations:
- OncoCare Clinic 308
- Issue: Vol 30, No 1 (2025)
- Pages: 61-68
- Section: Case Reports
- Submitted: 10.01.2025
- Accepted: 13.03.2025
- Published: 23.06.2025
- URL: https://rjonco.com/1028-9984/article/view/645358
- DOI: https://doi.org/10.17816/onco645358
- EDN: https://elibrary.ru/SVNQGK
- ID: 645358
Cite item
Abstract
BACKGROUND: Treatment of HER2/neu-positive breast cancer poses significant challenges. Approximately 50% of patients do not achieve near-complete tumor regression with standard neoadjuvant antitumor therapy. New approaches are needed to minimize the adverse effects of targeted therapies and maintain their effectiveness. One solution is cytokine-based gene therapy, which uses a combination of interferon gamma and a recombinant tumor necrosis factor (TNF)/thymosin α1 hybrid.
CASE DESCRIPTION: A female patient with histologically confirmed non-luminal, HER2/neu-positive breast cancer (cT2N3M0, stage III; estrogen receptor: 0, progesterone receptor: 0, HER2/neu 3+, Ki67 70%) received two treatment cycles of paclitaxel, trastuzumab, and pertuzumab and presented due to poor treatment tolerance. Cytokine-based genetic therapy (interferon gamma + recombinant TNF/thymosin α1) was added to the standard treatment regimen. The quality of life improved after two cycles of combined treatment. Complete tumor regression in the breast, as well as in the axillary and supraclavicular lymph nodes, was confirmed after eight treatment cycles through mammography, computed tomography, and a histopathological examination of the resected breast tissue. The treatment resulted in an increase in TNFα levels and Karnofsky Performance Scale Index. The patient is still receiving maintenance circles of cytokine-based gene therapy.
CONCLUSION: The addition of cytokine-based genetic therapy to the neoadjuvant regimen improved patients’ quality of life, increased the effectiveness of antitumor treatment, and resulted in complete tumor regression.
Full Text
INTRODUCTION
Breast cancer (BC) is the most common oncological disease among women. More than 70,000 new cases of BC are registered annually in Russia. It is estimated that one in twelve women will develop BC during her lifetime [1]. Traditionally, treatment in this patient population includes surgery in the form of radical mastectomy or sectoral resection, radiotherapy, or drug therapy, with the choice of modality or their combinations depending on tumor extent and biological characteristics. Active research is ongoing regarding the potential use of immuno-oncological drugs and antitumor vaccines [2]. In contrast to melanoma and non-small cell lung cancer, BC is considered poorly immunogenic and is characterized by a low tumor mutational burden [3]. In a substantial proportion of patients with HER2/neu-positive (HER2/neu+) BC, high expression of tumor-infiltrating lymphocytes and programmed death-ligand 1 has been identified, which opens opportunities for applying various immunotherapy approaches in this molecular subtype. One of the potential strategies is the combination of different types of antitumor drug therapy (ADT) with cytokine-based gene therapy (CGT) agents. Previously published studies have demonstrated the efficacy of combining CGT with standard treatment in patients with pancreatic cancer [4], ovarian cancer [5], melanoma, and hepatocellular carcinoma [6]. In the present case, we employed CGT in a patient with HER2/neu+ BC to reduce toxicity and enhance the effectiveness of ADT.
CASE DESCRIPTION
Patient K., a 47-year-old female, was admitted with a diagnosis of right breast cancer, cT2N3M0, stage III, non-luminal, HER2/neu-positive, status post two cycles of systemic therapy with paclitaxel, trastuzumab, and pertuzumab; grade 2 emetic syndrome; grade 3 neutropenia.
Anamnesis
In July 2022, the patient self-detected a mass in the right breast. In August 2022, she underwent ultrasonography (US) at her place of residence. A solid lesion of irregular shape measuring 30 × 26 × 19 mm was identified at the 6 o’clock position in the right breast, with indistinct, irregular margins and intratumoral blood flow on color Doppler imaging (CDI), BI-RADS 4. In the right axillary region, a single lymph node measuring 12 × 8 mm was visualized, with an unevenly thickened hypoechoic cortical layer and preserved differentiation. Enlarged supraclavicular lymph nodes were also detected on the right. Conclusion: consistent with right BC, with axillary and supraclavicular lymphadenopathy.
On September 20, 2022, mammography revealed a stellate mass of heterogeneous structure with irregular and indistinct margins, measuring 34 × 30 × 22 mm, located in the lower-outer quadrant of the right breast. Enlarged axillary lymph nodes were noted on the right.
On September 22, 2022, contrast-enhanced multislice computed tomography (CT) of the chest showed clear lung fields without infiltrative or focal lesions. In the lower-outer quadrant of the right breast, a stellate mass measuring 35 × 31 × 22 mm was visualized. In the right axilla, two enlarged lymph nodes were detected, measuring 18 mm and 8 mm along the short axis. The sum of diameters (SoD) was 53 mm.
On October 17, 2022, the patient underwent core needle biopsy of the breast tumor with subsequent immunohistochemical examination, which revealed invasive carcinoma of no special type, ER 0, PR 0, HER2/neu 3+, Ki67 70%.
On October 25, 2022, fine-needle aspiration biopsy of the right supraclavicular and axillary lymph nodes cytologically confirmed malignant tumor.
On November 8, 2022, the patient was referred to the oncological tumor board. Considering the extent of the disease and the immunohistochemical profile of the tumor, neoadjuvant systemic therapy with paclitaxel, trastuzumab, and pertuzumab was recommended, along with standard supportive care. The patient received two cycles of ADT. Due to treatment-related toxicity (grade 2–3 nausea, grade 2 vomiting, grade 2–3 neutropenia per CTCAE v5.0), which required prolongation of intervals between ADT cycles and markedly worsened her condition, the patient sought care at our clinic.
Physical examination
Upon admission, the patient complained of grade 2–3 weakness lasting up to 7–10 days, grade 2–3 nausea and vomiting, and grade 2–3 neutropenia after each cycle of ADT, which required additional treatment at her place of residence. The patient noted that she was unable to perform routine household tasks and could not tolerate the smell of food. Persistent emetic urges, poorly controlled by antiemetics, forced her to remain almost constantly at home. The patient could not visit relatives and constantly needed outside assistance to reach the hospital. Objectively, the condition was of moderate severity. The Karnofsky performance status did not exceed 70%. The skin and visible mucous membranes were pale and excessively dry. Peripheral edema was not detected. On auscultation, breathing was vesicular and audible across both lungs. No rales, crepitation, or pleural rub were present. Heart sounds were muffled; tachycardia was present. The abdomen was not distended, symmetrical, participated in respiration, soft and non-tender on palpation in all regions, with audible peristalsis. The liver was not enlarged, along the midclavicular line at the costal margin; the spleen was not enlarged. Urination without abnormalities. Costovertebral angle tenderness was negative on both sides. Local status: on palpation, in the lower outer quadrant of the right breast, a moderately mobile, painless tumor 30 × 25 mm was detected. Enlarged, poorly mobile supraclavicular and axillary lymph nodes were palpable on the right.
Laboratory and instrumental examination
On December 2, 2022, the concentration of tumor necrosis factor alpha (TNFα) was less than 1.0 pg/mL.
On December 2, 2022, Ultrasound of the right breast was performed. At the 6 o’clock position, there was a mass of irregular shape measuring 26 × 22 × 15 mm with uneven, indistinct margins and the presence of intratumoral blood flow on CDI, BI-RADS 4. Enlarged lymph nodes were visualized in the right axillary and right supraclavicular regions.
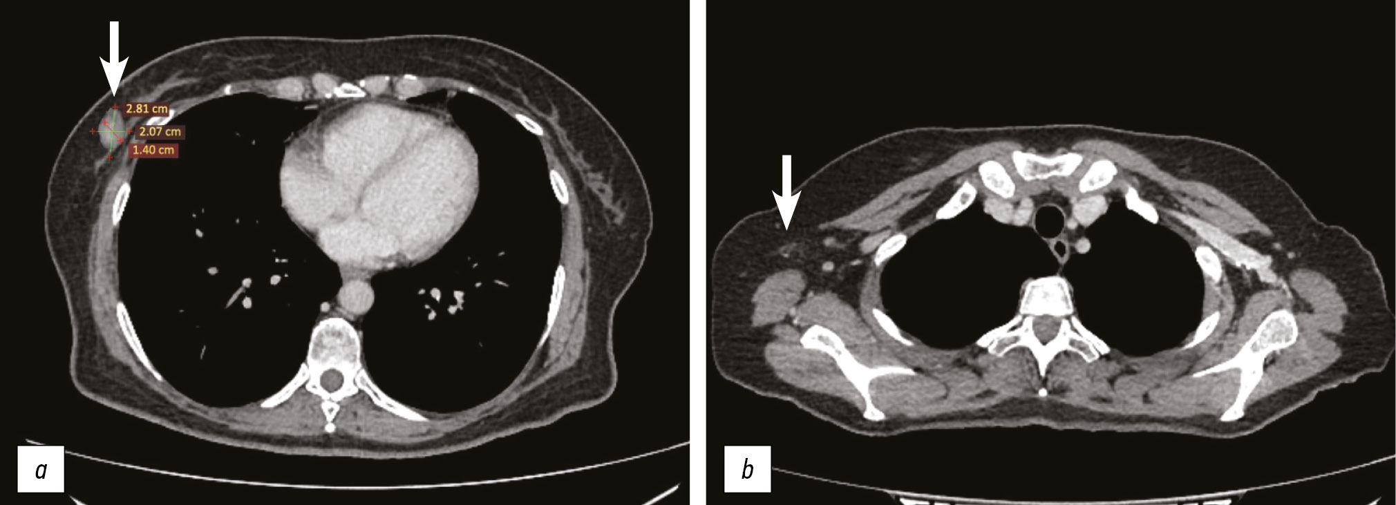
On December 2, 2022, Multislice CT of the chest was performed. No additional lesions in the lungs or mediastinum were detected. In the lower outer quadrant of the right breast, an irregularly shaped mass measuring 28 × 20 × 14 mm was identified. On the right, two enlarged axillary lymph nodes were visible, measuring 15 mm and 6 mm along the short axis (Fig. 1a, b). SoD was 43 mm.
Fig. 1. Computed tomography of the chest from dated December 2, 2022. In the lower-outer quadrant of the right mammary gland, a 28×20×14 mm irregularly shaped formation is identified (a). Two enlarged lymph nodes are identified in the right axillary region (b).
Treatment
On December 5, 2022, by decision of the multidisciplinary tumor board of the clinic, the patient was prescribed CGT: interferon gamma (IFN-γ) in combination with a recombinant drug of tumor necrosis factor fused with thymosin alpha-1 (rTNF-α1), under monitoring of TNFα levels and imaging diagnostics. The administration regimen was as follows: recombinant IFN-γ 500,000 IU subcutaneously every other day, 10 injections; rTNF-α1 100,000 IU subcutaneously every other day, 10 injections. The intervals between treatment courses were 10 days.
To monitor therapy, changes of the Karnofsky performance status and TNFα levels were assessed every 30 ± 3 days (see Table 1), and breast ultrasound, mammography, and CT were performed. Imaging studies were performed every 12 weeks (±3 days). Blood samples for TNFα measurement were collected in the morning (before 11:00), fasting, one day before the start of CGT and on the following day after the last injection of each treatment course. TNFα concentrations in blood were determined using enzyme-linked immunosorbent assay.
Table 1. Changes in indicators characterizing the patient’s condition during treatment
Examination date | Stage of treatment | Karnofsky performance status | Tumor necrosis factor alpha, pg/mL | Computed tomography results, sum of diameters, mm |
On December 2, 2022, | Before treatment | 70 | < 1.0 | 43 |
January 11, 2023 | After 2 courses | 82 | 2.1 | – |
April 11, 2023, | After 4 courses | 90 | 26.9 | 4 |
June 25, 2023 | After 8 courses | 95 | 30.6 | – |
Despite continuing her previous antitumor therapy regimen, after the addition of CGT the patient reported a marked improvement in well-being. Nausea rarely occurred and did not exceed grade 1, vomiting was absent, appetite returned, there was no longer a need to remain bedridden for a long time after ADT, and work capacity significantly improved. After 2 courses of CGT, the patient reported that she could perform routine household chores, come to the hospital independently for ADT, and visit relatives. No side effects associated with rTNF-α1 and IFN-γ were reported.
On February 7, 2023, breast ultrasound was performed: at the 6 o’clock position of the right breast, the irregularly shaped, heterogeneous hypoechoic mass with indistinct margins had decreased to 12 × 9 × 11 mm. No enlarged axillary or supraclavicular lymph nodes were detected.
On April 9, 2023, the breast lesion was no longer clearly visualized on ultrasound. Axillary and supraclavicular lymph nodes were not enlarged.
On April 10, 2023, mammography showed some focal density in the projection of the previously detected tumor in the lower outer quadrant of the right breast. Regional lymph nodes were not clearly visualized.
On April 11, 2023, the patient’s condition was satisfactory at the clinical examination. Karnofsky performance status was 95%. Skin and visible mucosa were of normal color and moisture. Peripheral edema was not detected. On auscultation, breathing was vesicular and audible across both lungs. No rales, crepitation, or pleural rub were present. Heart sounds were rhythmic, clear. The abdomen was not distended, symmetrical, participated in respiration, soft and non-tender on palpation in all regions, with audible peristalsis. The liver was not enlarged, along the midclavicular line at the costal margin; the spleen was not enlarged. Urination without abnormalities. Costovertebral angle tenderness was negative on both sides. Local status: on palpation, the tumor in the lower outer quadrant of the right breast was not clearly determined. Right supraclavicular and axillary lymph nodes were not enlarged.
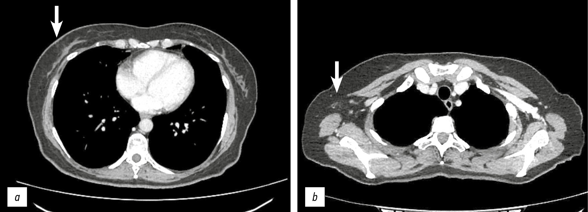
On April 11, 2023, chest multislice CT was performed. No infiltrative or focal lesions were in the lung fields. Mediastinal lymph nodes were not enlarged. In the lower outer quadrant of the right breast, the previously detected mass was not visualized; on the right, both previously enlarged axillary lymph nodes measured 0 mm along the short axis (Fig. 2a, b). SoD was 0 mm. The response was 100%, with complete regression of the breast tumor, supraclavicular and axillary lymph nodes.
Fig. 2. Computed tomography of the chest from 11.04.2023. In the lower-outer quadrant of the right breast, the previously identified formation is not defined (a). Enlarged lymph nodes in the axillary region on the right are not identified (b).
On May 11, 2023, the patient underwent radical mastectomy according to Madden on the right side. No invasive residual tumor in the breast was identified; residual cancer burden (RCB) was 0 (pCR, complete pathological response). Twelve lymph nodes were removed, no metastases were found.
At present, the patient continues to receive maintenance courses of CGT once every 3 months. She leads an active lifestyle, can travel independently, hosts family celebrations, and attends theaters.
This clinical case demonstrates that the combined use of polychemotherapy, targeted therapy, and cytokine-based genetic therapy not only enhances the effectiveness of antitumor treatment but also helps to maintain a high quality of life by reducing the severity of adverse effects of antitumor drugs.
Prognosis
HER2/neu 3+ breast cancer with a high Ki67 index (70%) carries a poor prognosis with respect to recurrence, metastasis, and survival. However, in the present clinical case, combined therapy (cytostatic drug, targeted therapy, and cytokine-based genetic therapy) offers the prospect of longer disease-free survival. During two years of follow-up, no signs of further tumor growth were observed. It is likely that maintenance therapy with IFN-γ and rTNF-α1, which suppresses malignant cell proliferation, may contribute to improving the prognosis of the disease whereas not impairing quality of life.
DISCUSSION
HER2/neu-positive BC accounts for 15%–20% of newly diagnosed invasive breast carcinomas. Standard first-line therapy for these patients involves HER2/neu-targeted agents (trastuzumab and/or pertuzumab) in combination with chemotherapy. A complete pathological response (pCR0) serves as a surrogate marker of long-term overall survival, particularly in the HER2/neu-positive subtype of BC [7]. However, approximately 50% of patients with HER2/neu-positive BC fail to achieve pCR0 following standard neoadjuvant ADT. The high likelihood of disease progression due to primary or secondary resistance to anti-HER2 therapy, as well as the toxicity of treatment, necessitate the search for new approaches to overcome the limitations of targeted therapy and to reduce the adverse effects of ADT without compromising its efficacy.
A promising direction for optimizing the treatment of HER2/neu-positive BC may involve incorporating agents into ADT that counteract immunosuppressive mechanisms within the tumor microenvironment [2], as well as drugs that enhance the activity of T-helper 1 (Th1) cells. These include recombinant cytokines used in CGT.
The study by Jia et al., performed on sensitive (BT-474) and anti-HER2 therapy-resistant (HCC1419) cell lines, showed that combined treatment with trastuzumab and pertuzumab induces proteasomal degradation of unbound, non-complexed HER2/neu via downregulation of Cdc37 (a cell division cycle control protein). At the same time, a paradoxical increase in the Cdc37-Hsp90-HER2 complex (Hsp90, heat shock protein) occurs, protecting HER2/neu from further degradation by E3 ligases [8]. The addition of IFN-γ to targeted therapy, through CUL5-mediated ubiquitination and dissociation of Hsp90 from Cdc37 bound to HER2/neu, results in proteasomal degradation of HER2/neu receptor proteins, downregulation of its expression, induction of apoptosis, and tumor senescence. In combination with anti-HER2 therapy, IFN-γ may further contribute to proliferation arrest and inhibition of tumor growth.
According to both in vitro (BT-474, HCC1419 cell lines) and in vivo (BALB/c female mice) studies, IFN-γ exhibits synergistic effects in inhibiting HER2/neu-positive BC growth when combined with various agents of targeted therapy (trastuzumab, pertuzumab, lapatinib, T-DM1) and paclitaxel, and helps to overcome resistance to anti-HER2-targeted therapy. The authors suggest that these effects are associated with the activation of a Th1 immune response mediated by IFN-γ. The results open new perspectives for the treatment of HER2/neu-positive BC and other HER2/neu-expressing tumors. A phase II clinical trial [8] is currently underway, where IFN-γ is administered in combination with weekly paclitaxel, trastuzumab, and pertuzumab in patients with locally advanced ER-positive, HER2/neu-positive BC in a neoadjuvant setting. Incorporating IFN-γ into antitumor regimens, by regulating antigen presentation and PD-1 receptor expression on T cells, may increase the sensitivity of HER2/neu-positive BC to immune checkpoint inhibitor therapy.
In laboratory animals (BALB/c mice), IFN-γ has been shown to reduce the number of cancer stem cells in a murine BC model [9]. In addition to the aforementioned mechanisms, it should be noted that IFN-γ, via the transcription factor IRF1, promotes enhanced expression of major histocompatibility complex class I molecules on both immune and non-immune cells [10]. IFN-γ also affects endoplasmic reticulum stress [11], can induce a reduction in endothelial cells, cause destruction of blood vessels and necrosis of tumor tissue, and plays a crucial role in tumor immunoediting [12].
The second component of CGT is rTNF-Tα1, a hybrid molecule of the cytokine TNF-α and the hormone thymosin α1 (Tα1), a multifunctional polypeptide involved in immune regulation. The clinical application of Tα1 is limited due to its short half-life; therefore, various strategies have been developed to create combinations that maintain prolonged activity. For example, fusion of Tα1 with the Fc domain of human IgG1 has yielded a long-acting protein that inhibits the growth of BC 4T1 and MCF-7 cells in vivo (murine 4T1 BC model), partly through the recruitment of cytotoxic T cells [13]. rTNF-Tα1 exhibits direct antitumor effects, induces apoptosis of tumor cells, activates T-cell immunity, and participates in humoral immune responses, whereas lacking the toxicity of TNF-α. Administration of rTNF-Tα1 in patients with stage IIB–IIIB BC during the preoperative period potentiated the effects of cytostatics, reduced the frequency and severity of systemic adverse reactions to ADT, shortened the duration of preoperative treatment, and exerted an immunocorrective effect [14].
CONCLUSION
Thus, the inclusion of cytokine-based genetic therapy drugs in the neoadjuvant treatment regimen improved the patient’s quality of life, potentiated the effects of antitumor drugs, and achieved complete tumor regression. The overall survival of the patient from the time of histological diagnosis is 28+ months.
ADDITIONAL INFORMATION
Author contributions: All the authors confirm that their authorship meets the ICMJE criteria (all authors made substantial contributions to the conceptualization, investigation, and manuscript preparation, and reviewed and approved the final version prior to publication). A.M. Ben Ammar: investigation, writing—original draft, writing—review & editing; V.T. Zarkua: investigation, writing—original draft; A.L. Ilyushin: investigation, writing—review & editing.
Consent for publication: Written informed consent was obtained from the patient for the publication of personal data in a scientific journal, including its online version (signed on October 8, 2024). The scope of the published data was approved by the patient.
Funding sources: No funding.
Disclosure of interests: The authors have no relationships, activities, or interests for the last three years related to for-profit or not-for-profit third parties whose interests may be affected by the content of the article, or other relationships, activities, or interests for the last three years that must be declared.
About the authors
Amir M. Ben Ammar
OncoCare Clinic 308
Author for correspondence.
Email: amirbenammar94095@gmail.com
ORCID iD: 0000-0001-9239-2539
SPIN-code: 4553-4484
Russian Federation, Moscow
Vladimir T. Zarkua
OncoCare Clinic 308
Email: miro.zarkua@gmail.com
ORCID iD: 0000-0002-7973-5231
SPIN-code: 9383-8150
Russian Federation, Moscow
Andrey L. Ilyushin
OncoCare Clinic 308
Email: onkolog_77@mail.ru
ORCID iD: 0009-0000-5065-4342
SPIN-code: 8808-6761
MD, Cand. Sci. (Medicine)
Russian Federation, MoscowReferences
- Merabishvili VM, Semiglazov VF, Komyakhov AV, et al. The state of cancer care in Russia: breast cancer. Epidemiology and survival of patients. The impact of the SARS-CoV-2-beta-coronavirus epidemic (clinical and population study). Tumors of female reproductive system. 2023;19(3):16–24. doi: 10.17650/1994-4098-2023-19-3-16-24
- Krasniqi E, Barchiesi G, Pizzuti L, et al. Immunotherapy in HER2-positive breast cancer: state of the art and future perspectives. J Hematol Oncol. 2019;12(111). doi: 10.1186/s13045-019-0798-2
- Liu R, Mao X, Li T, et al. Immunotherapy and immunоbiomarker in breast cancer: current practice and future perspectives. Am J Cancer Res. 2022;12(8):3532–3547.
- Ilyushin AL, Ben Ammar AM. A case of successful treatment of pancreatic cancer. Russian Journal of Oncology. 2022;27(5):243–250. doi: 10.17816/onco456482
- Ardzha AYu, Nepomnyashchaya EM, Zlatnik EYu, et al. Features of the expression of some immunohistochemical markers in patients with stage IIIC-IV ovarian cancer as a criterion for the effectiveness of chemoimmunotherapy. Science of the Young. 2020;8(4):582–590. doi: 10.23888/HMJ202084582-590
- Costantini C, Bellet MM, Pariano M, et al. A Reappraisal of Thymosin Alpha1 in Cancer Therapy. Sec. Cancer Immunity and Immunotherapy. 2019;9. doi: 10.3389/fonc.2019.00873
- Broglio KR, Quintana M, Foster M, et al. Association of Pathologic Complete Response to Neoadjuvant Therapy in HER2-Positive Breast Cancer With Long-Term Outcomes: A Meta-Analysis. JAMA Oncol. 2016;2(6):751–760. doi: 10.1001/jamaoncol.2015.6113
- Jia Y, Kodumudi KN, Ramamoorthi G, et al. Th1 cytokine interferon gamma improves response in HER2 breast cancer by modulating the ubiquitin proteasomal pathway. Molecular Therapy. 2021;29(4):1541–1556. doi: 10.1016/j.ymthe.2020.12.037
- Zhuang X, Shi G, Hu X, et al. Interferon-gamma inhibits aldehyde dehydrogenasebright cancer stem cells in the 4T1 mouse model of breast cancer. Chinese Medical Journal. 2022;135(2):194–204. doi: 10.1097/CM9.0000000000001558
- Gocher AM, Workman CJ, Vignali DAA. Interferon-γ: teammate or opponent in the tumour microenvironment? Nat Rev Immunol. 2022;22:158–172. doi: 10.1038/s41577-021-00566-3
- Fang C, Weng T, Hu S, et al. IFN-γ-induced ER stress impairs autophagy and triggers apoptosis in lung cancer cells. Oncoimmunology. 2021;10(1). doi: 10.1080/2162402X.2021.1962591
- Mojic M, Takeda K, Hayakawa Y. The Dark Side of IFN-γ: Its Role in Promoting Cancer Immunoevasion. International Journal of Molecular Sciences. 2018;19(1):89. doi: 10.3390/ijms19010089
- Shen X, Li Q, Wang F, et al. Generation of a novel long-acting thymosin alpha1-Fc fusion protein and its efficacy for the inhibition of breast cancer in vivo. Biomedicine & Pharmacotherapy. 2018;108:610–617. doi: 10.1016/j.biopha.2018.09.064
- Vladimirova LYu, Podzorova NA, Zlatnik EYu, et al. Experience of peritumoral application of recombinant hybrid protein of tumor necrosis factor-alpha-thymosin-alpha1 in stage IIB-IIIB locally advanced breast cancer. Fundamental research. 2014;7:921–926. (In Russ.)
Supplementary files





