Results of successful application of radiofrequency ablation in the treatment of hepatocellular carcinoma (HCC)
- Authors: Trifanov V.S.1, Budurova M.D.1,2, Kamalova M.A.1, Chernichenko M.A.1, Grishin N.A.1
-
Affiliations:
- National Medical Research Radiological Center
- Russian University of Medicine
- Issue: Vol 30, No 2 (2025)
- Pages: 144-151
- Section: Case Reports
- Submitted: 30.01.2025
- Accepted: 08.07.2025
- Published: 13.07.2025
- URL: https://rjonco.com/1028-9984/article/view/646863
- DOI: https://doi.org/10.17816/onco646863
- EDN: https://elibrary.ru/BIKBZT
- ID: 646863
Cite item
Abstract
BACKGROUND: One of the surgical treatment methods for hepatocellular carcinoma is energy-based tumor ablation, indicated in patients with BCLC stage 0 and stage A disease when liver resection or transplantation is not feasible.
CASE DESCRIPTION: A 72-year-old patient with hepatocellular carcinoma, cT1bN0M0 (stage IB), underwent percutaneous radiofrequency ablation because of severe comorbidities, including cirrhosis secondary to nonalcoholic steatohepatitis, Child-Pugh class B (7 points), portal hypertension, dilatation of the portal venous system, portosystemic shunts, grade 1 ascites, splenomegaly, and grade 2 esophageal varices (endoscopic ligation of grade 2 varices was performed in 2018), as well as type 2 diabetes mellitus. Chest and abdominal computed tomography with intravenous contrast at 3, 6, and 9 months after the procedure revealed no evidence of tumor progression.
CONCLUSION: At the P. Hertsen Moscow Oncology Research Institute, the results of successful radiofrequency ablation in hepatocellular carcinoma were analyzed. The method demonstrated favorable short-term outcomes, a minimal number of complications, and favorable long-term outcomes, with overall 5-year survival reaching 94% of cases and overall 10-year survival 32.3% of cases, including patients with severe comorbidities. Over the past 10 years, at the P. Hertsen Moscow Oncology Research Institute, radiofrequency ablation has been used as an independent treatment modality in 5 patients. Overall 3-year recurrence-free survival was achieved in 80% of patients (4 patients), and overall 5-year survival in 20% of patients (1 patient).
Full Text
INTRODUCTION
Hepatocellular carcinoma (HCC) ranks sixth among the most common cancers worldwide and third among the leading causes of cancer-related mortality [1]. Based on the data from the Surveillance, Epidemiology, and End Results (SEER) program in the United States, projections of the epidemiology of malignant neoplasms up to 2040 were made. The authors indicate that HCC is among the fastest-growing causes of cancer-related mortality [2].
According to the National Medical Research Radiological Center (Ministry of Health of Russia), the incidence of liver and intrahepatic bile duct malignancies increased by 32.28% over the past 10 years. The incidence of HCC in the Russian Federation in 2022 was 6.70 per 100,000 population [3].
Depending on tumor spread, nodule size, and liver function according to the Barcelona Clinic Liver Cancer (BCLC) staging system, treatment options may include liver resection, transplantation, transarterial chemoembolization (TACE), radiofrequency ablation (RFA), or systemic therapy.
Based on RUSSCO clinical practice guidelines [4], energy-based ablation is the primary radical treatment for solitary tumors ≤2 cm (BCLC stage 0) in patients not eligible for liver transplantation. When the tumor is adjacent to major bile ducts, the gallbladder, or the intestine, or when general anesthesia cannot be performed, percutaneous ethanol ablation (PEA) under local anesthesia is recommended. If percutaneous or laparoscopic-assisted ablation cannot be performed, surgical liver resection should be offered to the patient. In cases where resection is not feasible, balloon-occluded or superselective TACE is indicated.
Long-term studies demonstrate that 5-year overall survival after RFA ranges from 49% to 94%, whereas 10-year overall survival ranges from 27% to 74% [5–7]. Five-year recurrence-free survival ranges from 17% to 26%, and 10-year recurrence-free survival from 12.5% to 19%. This article presents a case of RFA in a patient with BCLC stage A HCC and a high risk of postoperative complications (history of non-alcoholic steatohepatitis; Child–Pugh class B; severe thrombocytopenia of 47 × 109/L).
CASE DESCRIPTION
Patient P., male, 72 years old, was found to have elevated hepatic transaminase levels in 2006. In 2010, liver cirrhosis was diagnosed in the setting of hepatitis B, for which the patient was followed-up and underwent inpatient treatment in Irkutsk. In 2018, gastroscopy revealed grade 2 esophageal varices, and prophylactic ligation of the varices was performed. In 2019, ascites was detected for the first time, along with signs of impaired liver function (hypoalbuminemia, coagulopathy). PCR testing excluded viral hepatitis. In December 2022, with ascites, edema of both lower extremities, and dyspeptic disorders, the patient received conservative therapy in the Internal Medicine department of a Moscow hospital.
Abdominal magnetic resonance imaging (MRI) dated December 2022 (reviewed at the N.N. Blokhin National Medical Research Center of Oncology): hepatic parenchyma shows signs of cirrhosis. In segments S8/S5, a HCC nodule measuring 2.9 × 2.4 cm was identified. No tumor lesions were detected in other parts of the liver. The portal vein was dilated to 19 mm (normal values: ≤14 mm), without signs of thrombosis. Esophageal varices were present. The spleen was enlarged to 18 cm in length (normal values: 12–14 cm). The splenic vein measured up to 1 cm in diameter (normal values: ≤1.5 cm; Fig. 1).
Fig. 1. MRI of the abdominal cavity from 01.2023. Liver parenchyma structure with signs of cirrhosis. In S8/S5, a tumor node of HCC measuring 2.9×2.4 cm is determined. In other parts of the liver — without obvious tumor formations. The portal vein is dilated to 1.9 cm, without signs of thrombosis. Varicose veins of the esophagus. The spleen is enlarged to 18 cm.
Tumor markers (February 8, 2023): alpha-fetoprotein (AFP), 1.7 mIU/mL (normal values: ≤7.29 mIU/mL); CEA, 2.7 ng/mL (normal values: ≤10 ng/mL); and CA 19-9, 5.4 U/mL (normal values: 0–34 U/mL).
In February 2023, the patient independently sought medical care at the P. Hertsen Moscow Oncology Research Institute. A comprehensive examination was performed.
Positron emission tomography–computed tomography (PET–CT) with 18-FDG, whole-body mode (February 8, 2023): in liver segments S5/S8, a tumor lesion measuring 14 × 9 mm was identified, showing weak contrast accumulation and no significant hyperfixation of the radiopharmaceutical. The hepatic parenchyma demonstrated diffusely reduced density +41 HU. Extrahepatic bile ducts were not dilated. The portal vein was dilated to 19 mm (normal value: ≤14 mm), with a mural contrast defect extending up to 41 mm within its lumen. Hepatosplenomegaly. Evidence of portal hypertension and ascites.
Esophagogastroduodenoscopy (EGD) (February 25, 2022): grade 1 esophagitis. Grade 2 esophageal varices. Mixed gastritis. Gastric erosions.
Liver tumor biopsy was not performed. Given the presence of a solitary lesion in liver segments S5–S8 measuring up to 3 cm in diameter, nonalcoholic steatohepatitis, Child–Pugh class B, and severe thrombocytopenia 47×109/L, verification of the lesion followed by RFA of the lesion was recommended as an additional hemostatic measure.
Clinical diagnosis: hepatocellular carcinoma, cT1bN0M0 (stage IB), clinical group II.
Comorbidities: K74.6 cirrhosis of the liver secondary to nonalcoholic steatohepatitis, Child–Pugh class B (7 points); portal hypertension; dilatation of the portal venous system; portosystemic shunts; grade 1 ascites; splenomegaly; grade 2 esophageal varices. Endoscopic ligation of grade 2 esophageal varices (2018). Type 2 diabetes mellitus.
The patient was hospitalized in the Abdominal Department of the P. Hertsen Moscow Oncology Research Institute for RFA of the tumor lesion in the right hepatic lobe.
Surgery (February 22, 2023): intraoperatively, a trephine biopsy of the S5 hepatic tumor was performed. Histological examination revealed hepatocellular carcinoma of acinar–solid architecture with clear cell metaplasia. Under ultrasound guidance, an antenna was placed into the intraparenchymal tumor lesion in S5 of the liver, up to 25 mm in diameter; exposure time was 12 minutes. At the end of the procedure, the intratumoral temperature reached 75 °C. The antenna was removed with simultaneous coagulation.
On post-RFA day 5, the patient was discharged in satisfactory condition to be followed-up by the oncologist and surgeon at the place of residence.
Multidisciplinary tumor board at the P. Hertsen Moscow Oncology Research Institute. Considering the findings of routine morphological examination, the extent of the surgical intervention performed, and the presence of severe comorbidities, the patient was recommended to undergo regular follow-up by the local oncologist, with repeat evaluation scheduled at 3 months (chest CT, contrast-enhanced abdominal MRI, and measurement of the tumor marker alpha-fetoprotein).
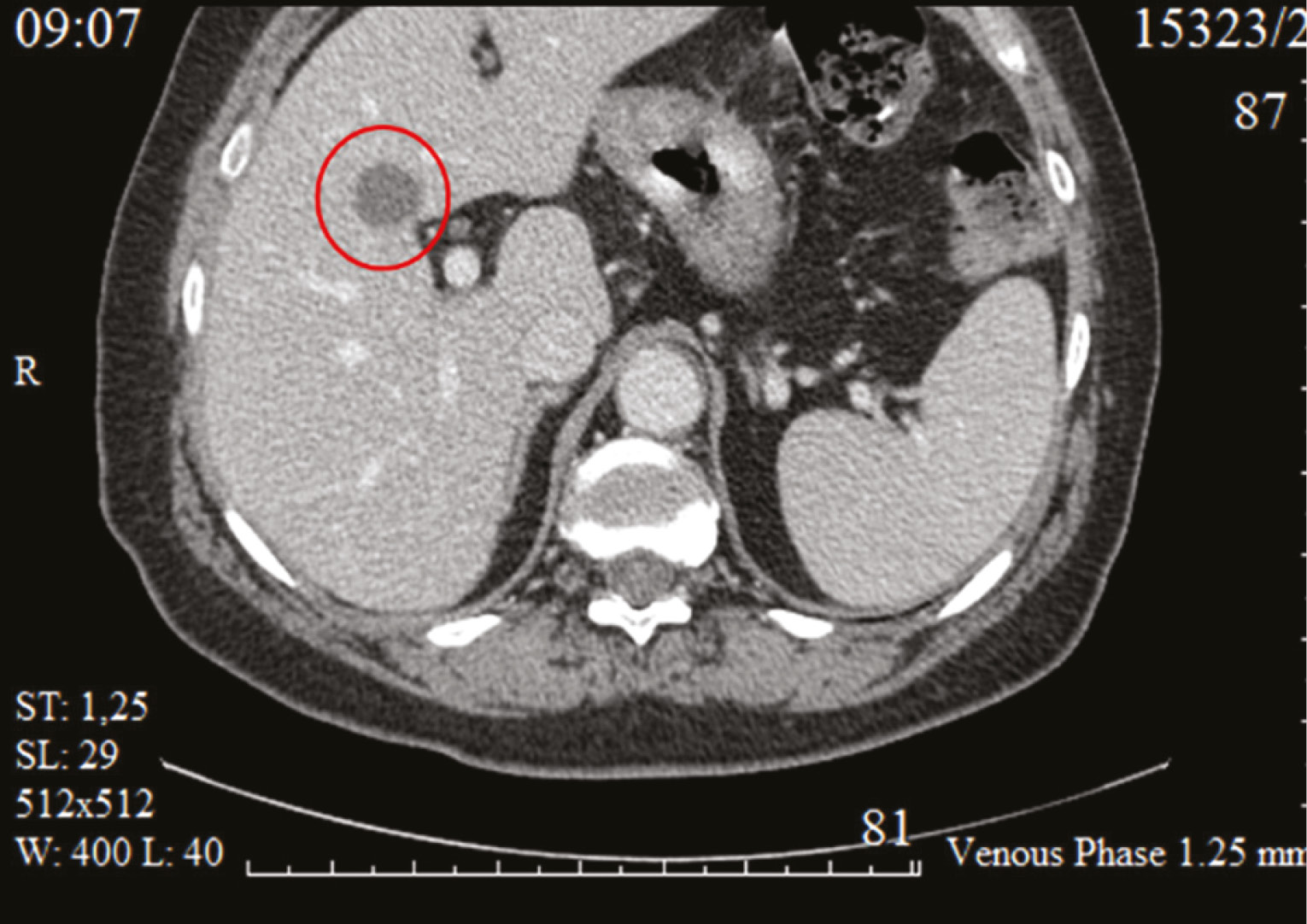
The follow-up examination at 3 months showed no evidence of local recurrence, regional spread, or distant metastases.
Tumor markers (September 4, 2023): CA 19-9, 17.0 U/mL; CEA, 5.6 ng/mL; AFP, 1.58 IU/mL.
MRI of the abdomen and retroperitoneum (September 12, 2023): avascular zone in liver S5 (status post ablation). Thrombosis of the splenic, portal, and superior mesenteric veins with signs of revascularization. Portal hypertension with dilatation of paraesophageal veins. Moderate ascites.
According to the follow-up examination, 18 months after RFA no evidence of HCC recurrence or progression was detected.
DISCUSSION
Over the past 25 years, several methods of chemical or thermal impact on tumors have been developed and successfully tested for clinical use [5]. In certain clinical situations, local ablation may be performed alone as a radical treatment for HCC [6–8]. Subsequently, thermoablative methods emerged, classified either as hyperthermic techniques (heating tissue to 60–100 °C), including rad iofrequency ablation, microwave ablation, and laser ablation, or as cryoablation (freezing tissue at –20 to –40 °C). Most procedures are performed percutaneously, although in some cases laparoscopic ablation is recommended [9].
RFA is the most common method of local treatment for HCC [10, 11]. During RFA, local destruction of tumor tissue occurs as radiofrequency energy passes through it. Thermal injury to cells begins at 42 °C; at 51 °C, cell destruction occurs within 2 minutes; and at temperatures above 60 °C, intracellular protein denaturation, dissolution of the cell lipid membrane, and cell death occur immediately [10, 11]. Currently, numerous RFA electrodes and electrode systems are available. Two fundamentally different electrode types are widely used: 1) expandable umbrella-shaped or “Christmas-tree” electrodes (e.g., LeVeen); and 2) cool-tip electrodes [10].
Five randomized studies compared RFA vs. percutaneous ethanol injection for early-stage HCC (see Table 1). It was concluded that RFA exerts a greater antitumor effect than percutaneous ethanol injection, resulting in better local disease control. The rate of local recurrence within 2 years was reported as 2%–18% vs. 11%–45%, respectively [12–14].
Table 1. Results of radiofrequency thermal ablation
Year | Author | Number of patients | Overall survival | Recurrence-free survival | ||
5-year | 10-year | 5-year | 10-year | |||
2009 | N’Kontchou G. | 235 | 40 | – | 17 | – |
2012 | Shiina S. | 1170 | 60.2 | 27.3 | 25.2 | 19.2 |
2013 | Kim Y.S. | 1305 | 59.7 | 32.2 | 26.1 | 12.5 |
2014 | Lee D.H. | 162 | 67.9 | – | 25.9 | – |
2016 | Yang W. | 316 | 49.7 | 28.4 | 32 | – |
2016 | Seror O. | 108 | 94 | – | 32 | – |
In two other randomized clinical trials, RFA was reported as the preferred treatment method in patients with ≤4 cm liver tumors (a total of 157 patients), who were randomly assigned to three groups: 52 patients received standard percutaneous ethanol injection (PEI), 53 received high-dose PEI, and 52 underwent RFA [12].
According to published data, the best outcomes were observed in patients with HCC after RFA: overall 1-year survival was 97%, overall 3-year survival was 67%, and overall 5-year survival was 41% [15, 16]. The most favorable results were reported in patients with Child–Pugh class A cirrhosis and single tumors <2 cm in diameter [16].
The scientific data also highlights ongoing debate regarding the radicality of RFA and histological assessment of liver specimens after the procedure. Investigators have reported necrosis of <50% of tumor volume in >3 cm HCC lesions, due to perfusion-mediated tissue cooling in the ablation zone that significantly reduces the efficacy of RFA [17, 18]. In addition, subcapsular HCC tumors or those adjacent to the gallbladder carry a higher risk of incomplete ablation or serious complications such as bleeding and peritonitis [19]. Other RFA-related complications have also been reported, including liver abscess (0.9%), subcapsular hematoma (0.5%), bile duct injury (strictures, 0.5%; biloma, 0.2%; bile leakage into the peritoneal cavity, 0.2%), liver failure (0.8%), and cardiopulmonary complications (0.8%) [20].
In a retrospective study that was conducted at the University of Michigan Medical Center and others (2016) and enrolled 224 patients with unresectable, nonmetastatic HCC, the effects of RFA (161 patients) and stereotactic body radiation therapy (SBRT, 63 patients) were evaluated. Recurrence-free survival and toxicity were analyzed retrospectively. The RFA and SBRT groups were comparable in terms of the number of tumor lesions treated. One- and two-year recurrence-free survival rates in patients treated with RFA were 83.6% and 80.2%, respectively, compared with 97.4% and 83.8% after SBRT [21].
In a multinational study, a retrospective cohort of 2064 patients with HCC was analyzed: 496 received SBRT and 1568 underwent RFA. This study found that in patients with large tumors >3 cm in diameter located in subdiaphragmatic liver segments, RFA was associated with one- and two-year recurrence-free survival rates of 69.6% and 52.9%, respectively, compared with 74.1% and 46.3% after SBRT. No significant difference between the treatment groups was identified [22].
In another retrospective study of the efficacy of RFA in HCC patients (2012), conducted by the Department of Gastroenterology and others (1170 patients), long-term survival up to 10 years after RFA was reported. Anti-HCV status was identified as one of the prognostic factors for HCC recurrence, with anti-HCV–positive patients experiencing recurrence more frequently. Local recurrence rate of HCC in this study was lower than in other trials, at approximately 10% three years after RFA. Moreover, patient age was determined to be a negative factor for survival in this study: 23% of patients were older than 75 years, which led to a higher proportion (18.5%) of deaths unrelated to HCC [23].
Overall, patients with HCC tumors measuring 2.1–5.0 cm had significantly worse outcomes than those with ≤2.0 cm tumors, whereas patients with >5.0 cm tumors did not have worse survival than those with ≤2.0 cm tumors. This was explained by the small number of patients with >5.0 cm tumors (n = 35), which was insufficient for the difference to reach statistical significance. It is likely that patients with HCC and >5.0 cm tumors who underwent RFA initially had more favorable conditions for survival [24]. A total of 67 complications (2.2%) and one fatal outcome (0.03%) were reported. The investigators concluded that RFA can be an effective local treatment for HCC, providing survival up to 10 years, and that it is a safe treatment procedure. According to the authors, RFA may be considered a first-line treatment option for select patients with early-stage HCC [24].
Based on retrospective meta-analyses, the American Association for the Study of Liver Diseases (AASLD) recommends RFA as a treatment option for patients with solitary HCC who are not candidates for liver resection or for those who decline surgery. The “ablation first” strategy may be considered for patients with tumors located in central segments or at the border of hepatic lobes, who would otherwise require extended liver resection, and for patients with early-stage HCC [25].
According to the clinical guidelines of the Association of Oncologists of Russia (AOR), local tumor destruction methods (energy-based ablation) are indicated as standard of care for patients with HCC at BCLC stage 0 (solitary tumor ≤2 cm in diameter, preserved liver function) and BCLC stage A (up to three tumors ≤3 cm in diameter) in cases where resection or liver transplantation is not feasible.
The main criterion for determining indications for RFA is the technical feasibility of performing the procedure with minimal risk of complications
(see Table 2). Radiofrequency ablation is generally applied to no more than five nodules with a diameter of ≤3 cm [4]. RFA of larger nodules is technically possible, but the rate of local recurrence increases substantially when tumor size exceeds 3 cm in the largest dimension [4]. Some authors also consider it reasonable in selected cases to perform ablation after prior transarterial chemoembolization of the liver tumor [4].
Table 2. Indications for conducting. Summary of the recommendations of the international guidelines for the treatment of HCC depending on the stage of BCLC (Barcelona Liver Cancer Staging System)
Barcelona Clinic Liver Cancer Stage | Very early stage (0) | Early stage (A) | Intermediate stage (B) | Advanced stage (C) | Terminal stage (D) |
Criteria | single ≤2 cm tumor | single tumor or ≤3 nodules, each ≤3 cm | multiple nodules; preserved liver function, PS 0 | portal invasion and/or extrahepatic spread; preserved liver function, PS 1–2 | any tumor burden; severe liver failure, PS 3–4 |
APASL (Asian-Pacific Association for the Study of the Liver) | 1. RFA 2. Resection 3. RT | 1. Resection or ablation 2. RT | 1. TACE 2. SBRT 3. Radiotherapy | Sorafenib | Supportive care |
AASLD (American Association for the Study of Liver Diseases) | 1. Resection 2. Ablation 3. RT | 1. Resection 2. Ablation 3. RT | Locoregional therapy | Systemic therapy | Supportive care |
EASL–EORTC (European Association for the Study of the Liver and European Organization for Research and Treatment of Cancer) | 1. Ablation 2. Resection 3. RT | 1. Ablation 2. Resection 3. RT | Locoregional therapy | Sorafenib / lenvatinib / regorafenib / cabozantinib | Supportive care |
Note: RFA, radiofrequency ablation; RT, radiotherapy; TACE, transarterial chemoembolization; SBRT, stereotactic body radiotherapy.
Contraindications to RFA include:
- uncorrectable coagulopathy;
- Child–Pugh class C liver cirrhosis;
- presence of a cardiac pacemaker;
- presence of metallic foreign bodies within 2 cm of the intended radiofrequency exposure zone;
- proximity of lesions to intrahepatic tubular structures (portal and hepatic veins, lobar bile ducts) or to organs adjacent to the liver (stomach, intestine, gallbladder, diaphragm), which may result in thermal injury to these structures.
CONCLUSION
The use of RFA according to the established indications and in compliance with the developed technique demonstrates favorable outcomes, a minimal number of complications, and good long-term results in the treatment of HCC, with 5-year overall survival reaching up to 94% of cases and 10-year overall survival 32.3% of cases, including patients with severe comorbidities. When radical liver resection is impossible, RFA may be considered the treatment of choice provided that the established indications for its use are followed. In HCC, RFA can be applied as an independent and effective treatment modality in BCLC stages 0 and A. Over the past 10 years at the P. Hertsen Moscow Oncology Research Institute, RFA has been used as a standalone treatment method in 5 patients, achieving the overall 3-year recurrence-free survival of 80% (4 patients) and the overall 5-year survival of 20% (1 patient).
ADDITIONAL INFORMATION
Author contributions: M.A. Chernichenko, N.A. Grishin, M.A. Kamalova: investigation, writing—original draft; V.S. Trifanov, M.D. Budurova: supervision, writing—original draft, writing—review & editing. All authors approved the version of the manuscript to be published and agree to be accountable for all aspects of the work, ensuring that questions related to the accuracy or integrity of any part of the work are appropriately investigated and resolved.
Consent for publication: Written informed consent was obtained from the patient for the publication of personal data in de-identified form in the Russian Journal of Oncology (dated March 3, 2024).
Funding sources: No funding.
Disclosure of interests: The authors have no relationships, activities, or interests for the last three years related to for-profit or not-for-profit third parties whose interests may be affected by the content of the article.
Statement of originality: No previously published materials (text, images, or data) were used in this work.
Data availability statement: All data generated during this study are available in this article.
Generative AI: No generative artificial intelligence technologies were used to prepare this article.
Provenance and peer review: This paper was submitted unsolicited and reviewed following the standard procedure. The peer review process involved two external reviewers, a member of the editorial board, and the in-house scientific editor.
About the authors
Vladimir S. Trifanov
National Medical Research Radiological Center
Email: trifan1975@yandex.ru
ORCID iD: 0000-0003-1879-6978
SPIN-code: 3710-8052
MD, Dr. Sci. (Medicine), Assistant Professor
Russian Federation, MoscowMarina D. Budurova
National Medical Research Radiological Center; Russian University of Medicine
Email: m.budurova@rambler.ru
ORCID iD: 0000-0003-1391-0516
SPIN-code: 1412-8811
MD, Dr. Sci. (Medicine), Professor
Russian Federation, Moscow; MoscowMilyausha A. Kamalova
National Medical Research Radiological Center
Author for correspondence.
Email: milyausha.kamalova.97@mail.ru
ORCID iD: 0000-0003-0495-8585
SPIN-code: 3108-1094
Russian Federation, 3 2nd Botkinsky passage, Moscow, 125284
Maria A. Chernichenko
National Medical Research Radiological Center
Email: mashustic04@mail.ru
ORCID iD: 0000-0002-2427-9232
SPIN-code: 5619-4469
MD, Cand. Sci. (Medicine)
Russian Federation, MoscowNikolay A. Grishin
National Medical Research Radiological Center
Email: grishinlap@mail.ru
ORCID iD: 0000-0003-1703-9115
MD, Cand. Sci. (Medicine)
Russian Federation, MoscowReferences
- Salgia R, Mendiratta V. The Multidisciplinary Management of Hepatocellular Carcinoma. Clinical Liver Disease. 2021;17(6):405–408. doi: 10.1002/cld.1068
- Rahib L, Wehner MR, Matrisian LM, Nead KT. Estimated Projection of US Cancer Incidence and Death to 2040. JAMA Netw Open. 2021;4(4):e214708. doi: 10.1001/jamanetworkopen.2021.4708
- Kaprin AD, Starinsky VV, Shakhzadova AO, Lisichnikova IV, editors. Malignant neoplasms in Russia in 2022 (incidence and mortality). Moscow: MNIOI named after P.A. Herzen — branch of the Federal State Budgetary Institution “NMITs of Radiology” of the Ministry of Health of Russia; 2023. (In Russ.)
- Breder VV, Bazin IS, Balakhnin PV, et al. Practical recommendations for drug treatment of patients with malignant tumors of the liver and biliary system. Malignant tumours. 2022;12(3s2-1):467–529. doi: 10.18027/2224-5057-2022-12-3s2-467-529
- Lencioni R. Loco-regional treatment of hepatocellular carcinoma. Hepatology. 2010;52(2):762–773. doi: 10.1002/hep.23725
- Tiong L, Maddern GJ. Systematic review and meta-analysis of survival and disease recurrence after radiofrequency ablation for hepatocellular carcinoma. British Journal of Surgery. 2011;98(9):1210–1224. doi: 10.1002/bjs.7669
- Germani G, Pleguezuelo M, Gurusamy K, et al. Clinical outcomes of radiofrequency ablation, percutaneous alcohol and acetic acid injection for hepatocelullar carcinoma: A meta-analysis. Journal of Hepatology. 2010;52(3):380–388. doi: 10.1016/j.jhep.2009.12.004
- Zhu ZX, Liao MH, Wang XX, Huang JW. Radiofrequency ablation with or without ethanol injection for hepatocellular carcinoma: a systematic review and meta-analysis. Minerva Med. 2016;107(6):381–391.
- Ross WB, Horton M, Bertolino P, Morris DL. Cryotherapy of liver tumours–a practical guide. HPB Surg. 1995;8(3):167–73. doi: 10.1155/1995/93283
- Ionkin DA, Vishnevsky VA, Chzhao AV. History of radiofrequency ablation formation as a surgical technique. High-tech medicine. 2014;1(2):4–11. EDN: YRVULV
- N’Kontchou G, Mahamoudi A, Aout M, et al. Radiofrequency ablation of hepatocellular carcinoma: Long-term results and prognostic factors in 235 Western patients with cirrhosis. Hepatology. 2009;50(5):1475–1483. doi: 10.1002/hep.23181
- Lin SM, Lin CJ, Lin CC. Radiofrequency ablation improves prognosis compared with ethanol injection for hepatocellular carcinoma < or =4 cm. Gastroenterology. 2004;127(6):1714–23. doi: 10.1053/j.gastro.2004.09.003
- Lencioni RA, Allgaier HP, Cioni D, et al. Small hepatocellular carcinoma in cirrhosis: randomized comparison of radio-frequency thermal ablation versus percutaneous ethanol injection. Radiology. 2003;228(1):235–40. doi: 10.1148/radiol.2281020718
- Brunello F, Veltri A, Carucci P, et al. Radiofrequency ablation versus ethanol injection for early hepatocellular carcinoma: A randomized controlled trial. Scand J Gastroenterol. 2008;43(6):727–735. doi: 10.1080/00365520701885481
- Lencioni R, Cioni D, Crocetti L, et al. Early-stage hepatocellular carcinoma in patients with cirrhosis: long-term results of percutaneous image-guided radiofrequency ablation. Radiology. 2005;234(3):961–967. doi: 10.1148/radiol.2343040350
- Omata M, Tateishi R, Yoshida H, Shiina S. Treatment of hepatocellular carcinoma by percutaneous tumor ablation methods: Ethanol injection therapy and radiofrequency ablation. Gastroenterology. 2004;127(5):S159–S166. doi: 10.1053/j.gastro.2004.09.030
- Sala M, Llovet JM, Vilana R, et al. Initial response to percutaneous ablation predicts survival in patients with hepatocellular carcinoma. Hepatology. 2004;40(6):1352–1360. doi: 10.1002/hep.20465
- Huang J, Yan L, Cheng Z, et al. A randomized trial comparing radiofrequency ablation and surgical resection for HCC conforming to the Milan criteria. Ann Surg. 2010;252(6):903–912. doi: 10.1097/SLA.0b013e3181efc656
- Komorizono Y, Oketani M, Sako K, et al. Risk factors for local recurrence of small hepatocellular carcinoma tumors after a single session, single application of percutaneous radiofrequency ablation. Cancer. 2003;97(5):1253–1262. doi: 10.1002/cncr.11168
- Teratani T, Yoshida H, Shiina S, et al. Radiofrequency ablation for hepatocellular carcinoma in so-called high-risk locations. Hepatology. 2006;43(5):1101–1108. doi: 10.1002/hep.21164
- Fiorentini G, Sarti D, Aliberti C, et al. Multidisciplinary approach of colorectal cancer liver metastases. World J Clin Oncol. 2017;8(3):190–202. doi: 10.5306/wjco.v8.i3.190
- Wahl DR, Stenmark MH, Tao Y, et al. Outcomes After Stereotactic Body Radiotherapy or Radiofrequency Ablation for Hepatocellular Carcinoma. J Clin Oncol. 2016;34(5):452–459. doi: 10.1200/JCO.2015.61.4925
- Shiina S, Tateishi R, Arano T, et al. Radiofrequency Ablation for Hepatocellular Carcinoma: 10-Year Outcome and Prognostic Factors. American Journal of Gastroenterology. 2012;107(4):569–577. doi: 10.1038/ajg.2011.425
- Kudo M, Hasegawa K, Kawaguchi Y, et al. A multicenter randomized controlled trial to evaluate the efficacy of surgery versus radiofrequency ablation for small hepatocellular carcinoma (SURF trial): Analysis of overall survival. Journal of Clinical Oncology. 2021;39(15):4093. doi: 10.1200/jco.2021.39.15_suppl.4093
- Dolgushin BI, Patyutko YuI, Sholokhov VN, Kosyrev VYu. Radiofrequency thermal ablation of liver tumors. Davydov MI, editor. Moscow: Practical medicine; 2007. (In Russ.) EDN: QLNYMX
Supplementary files




