The primary B-cell lymphoma of the breast: a clinical case
- Authors: Hoffman A.A.1, Fokeev S.D.2, Bakharev S.Y.1, Samoilenkova O.V.1
-
Affiliations:
- Altai Regional Oncological Dispensary
- Altai State Medical University
- Issue: Vol 26, No 1 (2021)
- Pages: 23-28
- Section: Case Reports
- Submitted: 01.09.2021
- Accepted: 10.12.2021
- Published: 15.01.2021
- URL: https://rjonco.com/1028-9984/article/view/79431
- DOI: https://doi.org/10.17816/1028-9984-2021-26-1-23-28
- ID: 79431
Cite item
Abstract
В-cell lymphoma is manifested by a variety of forms, which makes it difficult to establish an accurate lifetime diagnosis and has an unfavorable prognosis. Therefore, every case of primary B-cell lymphoma of the breast, demands attention close attention of doctors of different specialties. The feature of the presented investigation is B-cell lymphoma, that primarily affects the right breast. This type of breast cancer develops as chronic mastitis, confirming the variety of forms of its manifestation, what cause difficulties in making accurate primary diagnosis.
Keywords
Full Text
АКТУАЛЬНОСТЬ
Первичное поражение лимфомой молочной железы встречается крайне редко и составляет около 0,5٪ от всех злокачественных поражений молочной железы. На экстранодальные неходжкинские лимфомы приходится от 1,7 до 2,2٪ [1], из которых 95% – В-клеточная лимфома молочной железы [2]. В-клеточная лимфома проявляется многообразием форм, что затрудняет установление точного прижизненного диагноза и имеет неблагоприятный прогноз [1–4]. Поэтому каждый случай первичного поражения В-клеточной лимфомы молочной железы заслуживает пристального внимания врачей разных специальностей.
Приводим собственное наблюдение первичной В-клеточной лимфомы молочной железы.
ОПИСАНИЕ СЛУЧАЯ
Пациентка 28 лет в марте 2020 г. самостоятельно выявила образование в правой молочной железе, никуда не стала обращаться. Впервые пришла на приём к маммологу по месту жительства в поликлинику №11 в августе 2020 г., когда стали беспокоить боли в молочной железе. Врач-онколог провёл осмотр, пальпацию и УЗИ молочных желёз.
УЗИ молочной железы от 19.08.2020: «в правой молочной железе образование – 43×32 мм. Заключение: Susp. neo правой молочной железы. Status localis: от 19.08.2020 г.
Молочные железы правильной формы, симметричные. Соски не втянуты, выделений нет, кожа молочных желёз обычной окраски, без видимых изменений. Пальпаторно: левая молочная железа мягкая, безболезненная, патология не определяется, в правой молочной железе, в верхнем наружном квадранте пальпируется опухолевое образование, не спаяно с кожей, плотной консистенции, без чётких контуров, болезненное при пальпации, размерами около 3 см. Регионарные лимфатические узлы доступные пальпации, не увеличены.
Диагноз: Susp. nеo правой молочной железы. Пациентка направлена в Алтайский краевой онкологический диспансер (АКОД)».
При поступлении в АКОД провели обследование.
Status localis: от 25.08.2020 г.
«Молочные железы правильной формы, симметричные. Соски не втянуты, выделений из них нет, кожа молочных желёз не изменена, обычной окраски. При пальпации: левая молочная железа мягко-эластической консистенции, патология не определяется, в правой молочной железе, в верхнем наружном квадранте пальпируется образование до 3 см в диаметре, плотной консистенции, без чётких контуров, не спаяно с кожей, болезненное при пальпации, не смещаемое. Подмышечные, надключичные, подключичные лимфатические узлы слева, при пальпации не увеличены».
Произведена пункция образования правой молочной железы:
Гистологический диагноз № 20 0017597 от 07.09.2020 г. 1) клетки подозрительные на злокачественную опухоль, 2) хронический мастит в фазе обострения.
Для уточнения гистологического диагноза проведено иммуногистохимическое исследование:
Иммуногистохимический диагноз № 20 0017597 от 07.09.2020. Заключение: «Полученный иммунофенотип соответствует хроническому маститу в фазе обострения».
Мультидисциплинарный консилиум АКОД от 09.09.2020. Диагноз: «Хронический мастит правой молочной железы. После core-биопсии от 26.08.2020. Рекомендовано лечение в отделении гнойной хирургии ГБ №8».
При поступлении 14.09.2020 г. в отделение гнойной хирургии ГБ №8 выполнили R-графию грудной клетки в 2 проекциях от 14.09.2020. Заключение: «Без очаговых и инфильтративных изменений в лёгких».
УЗИ органов брюшной полости от 18.09.2020. Заключение: «Диффузные изменения структуры поджелудочной железы и почечных синусов».
УЗИ матки и придатков от 18.09.2020. Заключение: «Картина 2-й фазы менструального цикла».
Консультация врача-гинеколога от 18.09.2020. Заключение: «Патология не выявлена».
Операция от 14.09.2020: «Вскрытие гнойного мастита правой молочной железы, биопсия.
Гистологический диагноз. №4081/8 от 18.09.2020. Рост злокачественной опухоли неясного генеза. На светооптическом уровне больше данных за медулярную карциному молочной железы».
Пациентка выписана из отделения гнойной хирургии с диагнозом: «Susp. nеo правой молочной железы и направлена на приём к онкологу в поликлинику».
При поступлении в поликлинику АКОД провели дополнительные исследования:
УЗИ щитовидной железы от 08.10.2020. Заключение: «Без патологии»;
УЗИ периферических лимфатических узлов с пункцией от 08.10.2020 – подчелюстные справа – 16 мм, слева – 16 мм, на шее справа – 18 мм, слева – 19 мм, подмышечные справа – 16 мм, паховый справа – 22 мм, слева – 27 мм.
Цитологический диагноз №22136 от 09.10.2020. Заключение: «Подчелюстные справа и слева, подмышечные справа – жировые массы. Шейные лимфатические узлы справа – гиперплазия лимфоидных элементов. Шейные лимфатические узлы слева – кровь».
Цитологический диагноз №22132 от 09.10.2020 – «Паховые лимфатические узлы справа и слева – гиперплазия лимфоидных элементов».
24.09.2020 консультация биопсийного материала ГБ №8, в патологоанатомическом отделении АКОД, № 20 0019709 – «в ткани молочной железы рост мелко круглоклеточной опухоли с диффузным характером роста, высокой митотической активностью, большим количеством сосудов. На светооптическом уровне больше данных за лимфому (гистологический диагноз ГБ №8 – больше данных за медулярную карциному молочной железы). Для уточнения гистогенеза опухоли рекомендовано проведение иммуногистохимической диагностики (ИГХ-диагностика)».
30.09.2020. После первого этапа ИГХ-диагностики: «В-клеточная лимфома». Для уточнения субтита назначен 2-й этап ИГХ-диагностики.
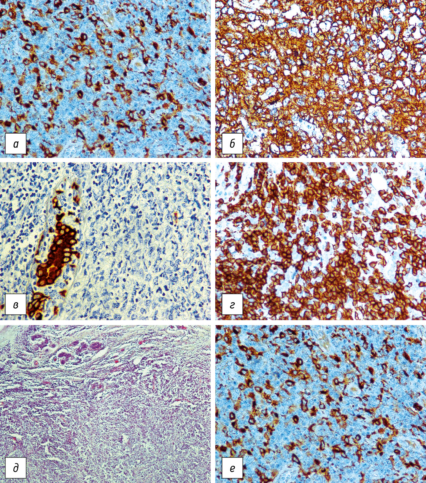
Результат ИГХ-исследования:
«СD20 – позитивная реакция в опухолевых клетках.
СD23 – негативная реакция.
СD3 – позитивно в большом количестве клеток, в том числе крупных.
СD79а – позитивная реакция в опухолевых клетках.
Cytokeratin PAN – негативная реакция.
BcL-6 – позитивная реакция в опухолевых клетках.
СD10 – негативная реакция.
СD30 – негативная реакция.
СD68 – выраженная позитивная реакция.
MUMI Рrotein – позитивная реакция».
02.10.2020. Учитывая гистологическое строение и полученный иммунофенотип, опухоль следует расценить как В-клеточную лимфому молочной железы, богатую В-клетками, гистиоцитозами, non-GCB подтип (рис. 1).
Pис. 1. Иммуногистохимическая диагностика опухоли / Fig. 1. Immunohistochemical characteristics of the tumor
Консилиум онкологов АКОД от 12.10.2020. Диагноз: «С 83.0 В-клеточная лимфома I Е стадии, с поражением правой молочной железы. После оперативного лечения (вскрытие, дренирование, биопсия от 14.09.2020). Рекомендовано для определения распространённости процесса проведение ПЭТ/КТ».
ПЭТ/КТ от 26.10.2020
Исследование проведено по поводу В-клеточной лимфомы.
На серии томограмм всего тела (от уровня орбит до средней трети бедра) определяется патологическая гиперметаболическая активность РФП в правой молочной железе (по шкале Deauville – 4 балла), в нёбных, язычковых миндалинах (по шкале Deauville – 5 баллов), в лимфатических узлах шеи с обеих сторон (по шкале Deauville – 4 балла), в костном мозге поясничного отдела позвоночника и в костях таза (по шкале Deauville – 4 балла). Заключение: «Метаболическая активность РФП расценена как проявление основного заболевания в правой молочной железе, в нёбных, язычковых миндалинах, в костном мозге поясничного отдела позвоночника и в костях таза».
Консультация гематолога от 03.11.2020: учитывая клинику, проведённое обследование, выполнение пункции костного мозга на момент осмотра не показано. Диагноз: «В-клеточная лимфома».
Решение консилиума онкологов АКОД № 47222/20 от 13.11.2020. Диагноз: «С 83.0 В-клеточная лимфома IV стадии с поражением правой молочной железы, лимфатических узлов шеи, нёбных и язычковых миндалин, костного мозга. Вскрытие, дренирование, биопсия (14.09.2020) правой молочной железы. Рекомендовано: проведение полихимиотерапии с оценкой эффекта по ПЭТ-КТ, после 4 курсов химиотерапии».
Лечение: с 20.11.2020 по 25.11.2020. 1-й курс индукционной химиотерапии по схеме «CHOP» (рост 162 см, вес 86 кг, площадь тела 1,91 м2).
При выписке: ОАК: L – 9,2 х109/л, Hb – 120 г/л, СОЭ – 17 мм/ч, тр. – 292х109/л.
БАК, ОАМ, ЭКГ – без особенностей.
Выписывается домой в удовлетворительном состоянии. ЕСОG1.
Лечение: с 14.12.2020 по 21.12.2020. 2-й индукционный курс химиотерапии по схеме «СНОР» (рост 162 см, вес 86 кг, площадь тела 1,91 м2).
Локальный статус: молочные железы симметричны, при осмотре в верхнем наружном квадранте правой молочной железы имеется асептическая наклейка. При осмотре и пальпации левой молочной железы, патология не определяется. Регионарные лимфатические узлы при пальпации не увеличены.
На перевязке: после удаления асептической повязки с правой молочной железы имеется открытая рана в верхнем наружном квадранте, размерами 3,5х2,2х2,5 см, рана представлена грануляционными тканями, обработана Н2О2, осушена, турунда с левомеколем. Асептическая наклейка.
Лечение перенесла без осложнений.
При выписке ОАК: L – 11,0 х109/л, Hb – 129 г/л, СОЭ – 8 мм/ч, тр. – 136 х109/л.
БАК, ОАМ, ЭКГ – без особенностей.
Выписывается домой в удовлетворительном состоянии. ЕСОG1.
Лечение: с 05.01.2021 по 06.01.2021. 3-й индукционный курс химиотерапии по схеме «СНОР» (вес 93 кг, рост 162 см, площадь тела – 1,97 м2).
Лечение перенесла без осложнений.
При выписке ОАК: L – 9,1х109/л, Hb – 121 г/л, СОЭ – 8 мм/ч, тр. – 111х109/л.
БАК, ОАМ, ЭКГ – без особенностей.
Выписывается домой в удовлетворительном состоянии. ЕСОG1.
Планируется 4-й индукционный курс химиотерапии по схеме «СНОР» через 14 дней.
Перед проведением 4-го индукционного курса химиотерапии провели исследование.
УЗИ органов брюшной полости от 14.01.2021. Заключение: «Увеличение печени за счёт правой доли. УЗИ молочных желёз и лимфатических узлов».
Осмотр во II фазу МЦ. Железистая ткань выражена, средней эхогенности, неоднородная за счёт жировых включений. Диффузно лоцируется большое количество гипоэхогенных трубчатых структур, сливающихся между собой.
Жировая ткань слабо выражена, неоднородна.
Млечные пути не расширены.
Очаговые изменения: не выражены.
Правая молочная железа после оперативного лечения. В проекции послеоперационного рубца лоцируется гипоэхогенный участок, с нечёткими неровными контурами, размерами около 27х11 мм.
Подмышечные лимфатические узлы:
справа: 20х7 мм, в инволюции.
слева: 17х7 мм, в инволюции.
Заключение: «УЗИ признаки диффузной железистой гиперплазии. Состояние после оперативного лечения правой молочной железы. Рубцовая деформация ткани правой молочной железы» (рис. 2).
Рис. 2. УЗИ молочной железы / Fig. 2. Patient's breast ultrasound
Планируется 8 курсов полихимиотерапии по схеме «СНОР», с последующим проведением ПЭТ КТ для оценки эффективности лечения.
ЗАКЛЮЧЕНИЕ
Таким образом, особенностью данного наблюдения является В-клеточная лимфома с первичным поражением правой молочной железы, протекающей под маской хронического мастита, что ещё раз показывает многообразность форм её проявления и трудности в постановке правильного первичного диагноза.
ДОПОЛНИТЕЛЬНАЯ ИНФОРМАЦИЯ /ADDITIONAL INFO
Источник финансирования. Рукопись подготовлена на личные средства авторского коллектива.
Согласие пациента. Пациент добровольно подписал информированное согласие на публикацию персональной медицинской информации в обезличенной форме в журнале «Российский онкологический журнал».
Конфликт интересов. Авторы декларируют отсутствие явных и потенциальных конфликтов интересов, связанных с публикацией настоящей статьи.
Funding. The research had no financial funding.
Informed consent. Patient signed the informed consent form for the publication of personal medical information in Russian Journal of Oncology.
Conflicts of interest. Authors declare no explicit and potential conflicts of interests associated with the publication of this article.
About the authors
Alina A. Hoffman
Altai Regional Oncological Dispensary
Email: akod@akod22.ru
SPIN-code: 2115-7522
Head Day Hospital
Russian Federation, BarnaulSergey D. Fokeev
Altai State Medical University
Author for correspondence.
Email: fokeev.sergey@yandex.ru
SPIN-code: 9609-0896
MD, Dr. Sci. (Med.), Professor
Russian Federation, 40 Lenina pr., 656038, BarnaulSergey Yu. Bakharev
Altai Regional Oncological Dispensary
Email: fokeev.sergey@yandex.ru
Russian Federation, Barnaul
Olga V. Samoilenkova
Altai Regional Oncological Dispensary
Email: fokeev.sergey@yandex.ru
Russian Federation, Barnaul
References
- Wiseman C, Liao KT. Primary lymphoma of the breast. Cancer. 1972;29(6):1705–1712. doi: 10.1002/1097-0142(197206)
- Cohen PL, Brooks JJ. Lymphomas of the breast. A clinicopathologic and immunohistochemical study of primary and secondary cases. Cancer. 1991;67(5):1359–1369. doi: 10.1002/1097-0142(19910301)
- Ganjoo K, Advani R, Mariappan MR, et al. Non-Hodgkin lymphoma of the breast. Cancer. 2007;110(1):25–30. doi: 10.1002/cncr.22753
- Zvonkov EE. Pervichnye ekstranodal'nye V-kletochnye limfaticheskie opukholi: klinika, diagnostika, lechenie [dissertation]. Moscow; 2009. Available from: http://medical-diss.com/medicina/pervichnye-ekstranodalnye-v-kletochnye-limfaticheskie-opuholi-klinika-diagnostika-lechenie
- Minullina RI, Afanas'eva ZA, Petrov CV, et al. Pervichnaya limfoma molochnoi zhelezy. Problems in oncology. 2010;56(6):726–728. (In Russ).





